​钟南山点赞首个新冠全球预测系统;法国研究人员在重症患者中发现了一种新的新冠症状;无需药丸或注射,新药物可能会阻断新冠病毒...




法国研究人员在重症患者中发现了一种新的新冠症状
科学家开发的新药物可能会阻断新冠病毒 无需任何药丸或注射
美CDC建议:在接种新冠疫苗后的2周内 不应接种另一种疫苗
钟南山点赞首个新冠全球预测系统:相当可靠

关注视频号,发现更多精彩视频
01
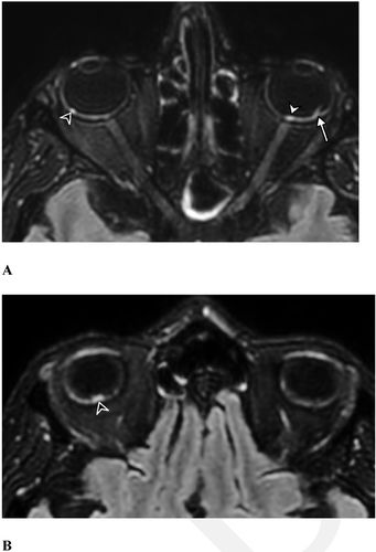
法国研究人员在重症患者中发现了一种新的新冠症状
发表在《放射学》杂志上的一项新研究发现,重症新冠患者会出现一些眼部异常症状。“我们的研究表明,来自法国COVID-19队列的少数重症COVID-19患者眼底后极部有一个或几个结节,”研究主要作者、医学博士Augustin Lecler在一份新闻稿中说。“这是第一次使用MRI描述这些发现。”

这项研究是由法国神经放射学协会提出的,涉及129名经历过严重COVID症状的患者,其中大部分患者在ICU度过了一段时间,并进行了插管治疗。值得注意的是,研究人员承认他们的研究具有一定的局限性,因为没有对照组,而且评估患者的样本量相当低。
不过,这项研究还是强调了新冠病毒感染可以成为多么可怕的事情。虽然COVID-19被归类为呼吸系统问题,但该病毒有时会在任何数量的器官上造成破坏,并且,在这个过程中,可能会造成永久性的肺部和心脏损伤。
关于眼睛,梅奥诊所写道,严重的新冠症状会“导致眼睛问题,如肿大、红血管、眼睑肿胀、过度流泪和分泌物增加”。也有患者报告说对光敏感和刺激。
COVID-19感染比较可怕的一点是,一些患者在最初诊断后会出现挥之不去的症状,可能会持续数周甚至数月,这种情况后来被归类为Long COVID。与Long COVID相关的最常见的症状包括疲劳、呼吸困难、味觉和嗅觉丧失,以及一系列认知问题,如记忆力减退和难以集中精力做一件事等。
https://pubs.rsna.org/doi/10.1148/radiol.2021204394
02
科学家开发的新药物可能会阻断新冠病毒 无需任何药丸或注射
来自俄亥俄州立大学的一个研究小组已经开发出了微小的蛋白质片段,可以阻止新冠病毒感染细胞,它可以变成一种潜在的COVID-19治疗方法,任何人将可以使用。就像新冠病毒感染或接种疫苗所产生的中和抗体一样,这些肽与刺突糖蛋白结合,阻止病毒与ACE2受体结合并感染细胞。

这些肽可以用来开发一种鼻腔喷雾剂,阻止病毒感染鼻腔和肺部的细胞,以及其他可以阻断病毒刺突糖蛋白的药物。
现在授权紧急使用的新冠疫苗也有同样的目标,无论技术如何,它们的作用都是相似的。疫苗必须防止严重的COVID-19和死亡,3期试验表明,各种药物都可以做到这一点,并且有不同程度的疗效。但这意味着接种过疫苗的人仍然可能感染病毒。研究人员可以对疫苗进行调整以应对新的突变,就像每年都会更新的流感疫苗一样。但如果这种新的鼻腔喷雾剂的效果像研究人员所说的那样好,那么可能还有其他方法可以阻止病毒对你的身体造成伤害。
俄亥俄州立大学的研究人员研究了新冠病毒和ACE2受体之间的化学键,ACE2受体位于鼻、肺和其他器官的细胞外部,以了解两者如何“握手”。新冠病毒必须感染细胞才能生存。为此,它与ACE2受体结合,然后接管细胞内的“化工厂”进行自我复制。它的后代离开垂死的细胞,去感染其他细胞。这种情况反复发生,直到免疫系统进来阻止病毒并清除碎片,包括死亡细胞。
在分析了新冠病毒与ACE2的结合后,研究人员得出了被称为肽的蛋白质片段,这些肽可以在病毒看来是ACE2受体的一部分。这些肽会与SARS-CoV-2病毒的刺突糖蛋白结合,阻止病毒感染细胞。这个过程与中和抗体的工作原理类似。抗体是免疫系统在接触病毒后或接种疫苗后产生的蛋白质。它们也会抑制同样的刺突糖蛋白。它们之间的区别是,免疫系统会在感染或接种疫苗后的几个月内制造更多的抗体,也许是几年。这些肽需要借助鼻腔喷雾剂涂抹到呼吸系统。但这可能足以阻止病毒的繁殖。
防止复制将减少感染者体内的病毒负荷。这也将降低并发症和死亡的风险,并且可以加速康复。此外,通过减少肺部和鼻部的病毒负荷,这种潜在的新冠治疗方法可以减少感染者将疾病传染给其他人的可能性。
“我们的目标是,任何时候SARS-CoV-2与肽接触,病毒都会被灭活。这是因为病毒刺突糖蛋白已经与它需要使用的东西结合在一起,以便与细胞结合,”该研究的共同首席作者Amit Sharma在一份声明中说。“要做到这一点,我们必须在病毒还在细胞外时就去找它。”
Sharma和他的团队分析了新冠病毒刺突糖蛋白和ACE2受体的图像,放大了这两种元素相互作用的区域。在了解了化学连接之后,他们将重点放在ACE2受体的螺旋丝带状“尾巴”上,用于设计多肽。Sharma说。"我们专注于创建尽可能短的肽,最小的基本接触。"
该团队在实验室试验中测试了几种肽,发现其中两种候选物与对照组相比,能有效减少感染。这些肽可以用来开发其他可以中和病毒的物质,而不仅仅是COVID-19治疗方法,如鼻腔喷雾剂。它们可以被内置到气溶胶表面消毒剂中,在病毒到达人体之前就能中和病毒。
Sharma和他的团队现在将专注于开发他们的新冠病毒抑制剂的方面,用于治疗目的。研究人员还将针对该病毒新出现的变异测试他们的多肽。在任何相关的COVID-19药物可以向大众提供之前,需要进行临床试验来验证这种潜在的新冠治疗方法在人类身上的疗效。
俄亥俄州立大学的研究成果已发布在《Bioconjugate Chemistry》上。
https://pubs.acs.org/doi/pdf/10.1021/acs.bioconjchem.0c00664
03
美CDC建议:在接种新冠疫苗后的2周内 不应接种另一种疫苗
美国疾病控制和预防中心(CDC)日前建议,任何人在接种COVID-19疫苗后,不应该在14天内接种另一种疫苗--比如流感疫苗。虽然没有理由相信这样做会影响COVID-19疫苗的安全性或有效性,但CDC采取的是谨慎的态度。美国已经为近4500万美国人接种了疫苗,目前平均每天接种约130万人次。

当辉瑞公司去年年底宣布其新疫苗对预防新冠病毒感染有95%的效果时,健康专家甚至辉瑞公司自己的研究科学家都大吃一惊。该公司新冠疫苗的有效性明显高于大多数人的预期,最重要的是,疫苗在临床试验中没有引起任何严重的副作用。几周后,Moderna公司公布了自己的疫苗研究结果,并报告了同样令人鼓舞的结果。
自12月中旬以来,美国已经为约4410万美国人接种了新冠疫苗,随着疫苗接种工作的加快和资格的进一步开放,这一数字可能会大幅上升。好消息是,在有报道称辉瑞公司计划在3月中旬之前将每周向美国运送的疫苗剂量增加到1300万剂的情况下,这种情况可能会很快发生。而Moderna则认为,它可以在4月之前将出货量提高到每周1000万剂。

在接下来的几周内,疫苗资格将大幅扩大,值得强调的是CDC最近发布的一些关于COVID-19疫苗接种方案的指导意见。具体来说,CDC建议任何接受COVID-19疫苗的人,无论是第一剂还是第二剂,两周内不要再接种其他疫苗。
在接种COVID-19疫苗后,至少要等14天才能接种任何其他疫苗,包括流感或带状疱疹疫苗。或者,如果您先接种任何其他疫苗,至少要等14天后再接种COVID-19疫苗。
如果您在接种另一种疫苗后14天内接种了COVID-19疫苗,您不需要再接种任何一种疫苗。您仍应按计划完成这两个系列的疫苗接种。
需要说明的是,没有理由相信在接种冠状病毒疫苗的同时接种另一种疫苗会影响COVID-19疫苗的安全性和有效性。鉴于辉瑞公司和Moderna公司的新冠疫苗都是比较新的疫苗,CDC在这种情况下只是采取了谨慎的态度。
与此相关的是,强生公司的COVID-19疫苗极有可能在本月晚些时候获得FDA的紧急使用授权(EUA)。这将是美国疫苗接种工作的一大利好,因为强生公司的疫苗只需要一剂,而辉瑞和Moderna的疫苗需要接种两剂。
04
钟南山点赞首个新冠全球预测系统:相当可靠
这是世界上第一个全球预测系统,可以对全世界190多个国家的新冠肺炎疫情进行预测。据国内媒体报道,兰州大学西部生态安全省部共建协同创新中心研发了世界上首个新冠肺炎疫情全球预测系统。自2020年5月系统上线运行以来,已经实现对全球190余个国家新增确诊病例的预测。
近日,钟南山院士在“广州实验室科技助力基层疫情防控万里行”启动仪式上点赞称:“他们一些预测的模型还是相当可靠的。”

据介绍,新冠肺炎疫情全球预测系统会实时引入190多个国家的最新数据,综合考虑当地的温度、湿度、防控措施等,逐个建模,预测未来每日、每月、两个季度及突发疫情新增确诊病例。每10天更新一次预测数据,同时面向全世界免费开放。

该系统在实例中表现出了较高的准确性。该系统2020年11月第二次更新的预测数据显示,美国12月份单月累计确诊病例预计达到678万左右,而实际新增确诊病例约为658万,预测数据比实际数据仅偏高3.04%。
据了解,新冠肺炎疫情全球预测系统还将持续更新优化,未来将不再局限于新冠肺炎疫情预测,而是朝着全球流行病学预测的方向发展。
http://covid-19.lzu.edu.cn/


扫二维码关注视频号,发现更多精彩视频


Science科学 
了解未知 开启认知

按此关注中文公众号
Science科学英语平台 
THE SCIENCE OF EVERYTHING

按此关注英文公众号
TechEdge 
科技 点亮未来

按此关注中文公众号

◢ 豁然开朗请打赏 ◣

分享“票圈”,逢考必过,点亮“在看”SCI录用率提高18%
到顶部