死于新冠的患者心脏里包含病毒;研究称较富裕地区第二波疫情期间死亡率大幅下降;研究称英国COVID-19变异毒株在英国养老院迅速蔓




研究称较富裕地区第二波疫情期间的COVID-19死亡率大幅下降
美CDC:即便已经注射新冠疫苗,现阶段旅行仍不安全
研究称英国COVID-19变异毒株在英国养老院迅速蔓
美CDC警告:允许室内就餐与COVID-19病例日增长率增加有关
研究称法国新冠病毒变种无法通过PCR检测出来
接种疫苗后仍感染COVID-19的老师解释戴口罩仍很重要的原因
研究发现不少死于COVID-19的病患心脏里包含病毒

关注视频号,发现更多精彩
01
研究称较富裕地区第二波疫情期间的COVID-19死亡率大幅下降
悉尼大学和清华大学的新研究显示,在第二波COVID-19感染期间,美国东北部较富裕的州和西欧国家的死亡率往往显著降低。然而,这种模式并不像预期的那样普遍,瑞典和德国的这种趋势有明显的例外。

研究人员表示,死亡率变化可能有几种解释:
欧洲的第一波病例数被低估了。
第一波死亡病例不成比例地影响了老年人。
第二波感染倾向于影响年轻人。
除了一些例外,较低的死亡率发生有更社会化和公平的卫生系统的国家。
研究人员Nick James、Max Menzies和Peter Radchenko认为,他们的新方法可以帮助流行病学家一致分析数据,以评估COVID-19死亡率对不同人群的影响。
“我们已经能够以更动态的方式观察死亡率,”来自悉尼大学的James说。
该研究于3月16日发表在数学杂志《Chaos》上。
悉尼大学数学与统计学院的博士生Nick James说:“我们将各国感染率的时间序列,应用算法方法将其分成第一波和后一波,然后进行一些相对简单的优化和计算,以确定两个不同的死亡率数字。”
欧洲第二次大规模浪潮的死亡率结果比预期的要低:至少在报告的病例和死亡人数方面。研究人员想知道这种死亡率的下降幅度有多大,以及不同国家之间的差异。

“我们认为回答这些问题是很重要的,我们希望回答整个欧洲的问题,而不仅仅是较富裕的西方国家。”清华大学的Max Menzies博士说。“”以白俄罗斯为例,在其第二波期间,死亡率实际上是增加了,而乌克兰和摩尔多瓦截至2020年11月底仍处于第一波。"
研究人员发现,这与荷兰、比利时、法国和其他国家有很大不同,这些国家在第一波和第二波之间大幅降低了死亡率--至少在报告的数字方面。
美国的差异往往不太明显。然而,纽约、新泽西和康涅狄格等在第一波中受冲击特别严重的州,其第二波死亡率的下降幅度与许多西欧国家一致。
利用一个复杂的数学模型,欧洲的每个国家和美国的每个州都得到了第一波和第二波的死亡率数据点。比较这些数据,每个国家或州都有一个数据点,或者说死亡率。
在欧洲,只有白俄罗斯--数据点为0.72--死亡率低于1.0,这意味着其死亡率上升。在美国,有两个州--阿肯色州(0.69)和田纳西州(0.88)--的比率低于1.0,说明死亡率上升。
在欧洲,死亡率大幅下降的国家是:比利时(11.25)、丹麦(0.88)、丹麦(0.88)。比利时(11.25)、丹麦(14.28)、法国(13.67)、荷兰(16.17)。
“我们的工作表明,在报告的病例和死亡方面,死亡率急剧下降,”Menzies博士说。“然而,问题永远是早期第一波的真实病例数是多少?我们可能永远不会知道,但我们想象未来的研究和分析将试图确定它。”
当研究人员对估计的真实病例和估计的死亡人数重新进行分析时,来自悉尼大学商学院的Peter Radchenko副教授指出,这些措施显示出严重的局限性。
“由于其他原因的波动,超额死亡率相对于往年来说可能是负数,所以它不适合测量COVID-19的真实死亡人数,”Radchenko副教授说。“我们希望其他人能更仔细地分析真实的数字,也许会使用更专业的数据,如出在特定的医院或地区,测试更可靠。”较富裕地区的第二波COVID死亡率大幅下降。
话题:COVID-19传染病数学公共卫生悉尼大学
作者:悉尼大学,2021年3月16日。
美国COVID死亡率变化
研究数据的地图表示,显示了美国各州从第一波到第二波COVID-19感染期的死亡率变化情况。资料来源:悉尼大学
对欧美死亡人数的数学分析显示,与第一波相比有变化。
悉尼大学和清华大学的新研究显示,在第二波COVID-19感染期间,美国东北部较富裕的州和西欧国家的死亡率往往显著降低。然而,这种模式并不像预期的那样普遍,瑞典和德国的这种趋势有明显的例外。
研究人员表示,死亡率变化可能有几种解释。
欧洲的第一波病例数被低估了。
第一波死亡病例不成比例地影响了老年人。
第二波感染倾向于影响年轻人。
除了一些例外,较低的死亡率 发生在国家 与更多的社会化和公平的卫生系统。
研究人员Nick James、Max Menzies和Peter Radchenko认为,他们的新方法可以帮助流行病学家一致分析数据,以评估COVID-19死亡率对不同人群的影响。
"我们已经能够以更动态的方式观察死亡率,"来自悉尼大学的詹姆斯先生说。
他们已经在今天(2021年3月16日)在数学杂志《混沌》上发表了他们的结果。
悉尼大学数学与统计学院的博士生Nick James说:"我们将各国感染率的时间序列,应用算法方法将其砍成第一波和后一波,然后进行一些相对简单的优化和计算,以确定两个不同的死亡率数字"。
欧洲第二次大规模浪潮的死亡率结果比预期的要低:至少在报告的病例和死亡人数方面。研究人员想知道这种死亡率的下降幅度有多大,以及不同国家之间的差异。
COVID欧洲的死亡率变化
地图描绘的数据显示了2020年第一波和第二波COVID感染之间欧洲国家COVID-19死亡率的变化。资料来源:悉尼大学
"我们认为回答这些问题是很重要的,我们希望回答整个欧洲的问题,而不仅仅是较富裕的西方国家。"清华大学的Max Menzies博士说。"以白俄罗斯为例,在其第二波期间,死亡率实际上是增加了,而乌克兰和摩尔多瓦截至2020年11月底仍处于第一波。"
研究人员发现,这与荷兰、比利时、法国和其他国家有很大不同,这些国家在第一波和第二波之间大幅降低了死亡率--至少在报告的数字方面。
美国的差异往往不太明显,结果比较平淡。然而,纽约、新泽西和康涅狄格等在第一波中受冲击特别严重的州,其第二波死亡率的下降幅度与许多西欧国家一致。
利用一个复杂的数学模型,欧洲的每个国家和美国的每个州都得到了第一波和第二波的死亡率数据点。比较这些数据,每个国家或州都有一个数据点,或者说死亡率。
在欧洲,只有白俄罗斯--数据点为0.72--死亡率低于1.0,这意味着其死亡率上升。在美国,有两个州--阿肯色州(0.69)和田纳西州(0.88)--的比率低于1.0,说明死亡率上升。
在欧洲,死亡率下降超过10倍的国家是:比利时(11.25)、丹麦(0.88)、丹麦(0.88)。比利时(11.25)、丹麦(14.28)、法国(13.67)、荷兰(16.17)。
"我们的工作表明,在报告的病例和死亡方面,死亡率急剧下降,"Menzies博士说。"然而,问题永远是早期第一波的真实病例数是多少?我们可能永远不会知道,但我们想象未来的研究和分析将试图确定它。"
当研究人员对估计的真实病例和估计的死亡人数重新进行分析时,来自悉尼大学商学院的Peter Radchenko副教授指出,这些措施显示出严重的局限性。
"由于其他原因的波动,相对于往年而言,高死亡率可能是负数,因此它不适合评估COVID-19的真实死亡人数,"Radchenko副教授说。"我们希望其他人能更仔细地分析真实的数字,也许会使用更专业的数据,如出在特定的医院或地区,测试更可靠。"
研究人员在欧洲和美国之间也观察到了广泛的相似性,东北各州的表现与富裕的西欧国家相似,都在第二波期间大幅降低了死亡率。
02
美CDC:即便已经注射新冠疫苗,现阶段旅行仍不安全
就在人们因新冠大流行而被困在家中一年之后觉得现在是时候出去旅行了。然而美疾病控制与预防中心(CDC)对此还没有准备好祝福。当地时间周一,该机构主任罗谢尔·华伦斯基博士在美白宫COVID-19应对小组简报会上表示:“目前,美CDC没有调整目前的旅行指南。我们相信,这些新建议是我们努力恢复社区日常活动的重要第一步。然而,我们仍处于一场严重的大流行之中,仍有90%以上的人口没有完全接种疫苗。但我们正在努力实现这个目标。”
彭博社的疫苗跟踪显示,自去年12月疫苗接种开始以来,美国已经接种了1.11亿剂新冠疫苗。

美公共卫生官员开始担心,人们放松警惕的速度要以比接种疫苗的速度更快。此外,美运输安全管理局(TSA)对旅客进行的再次筛查。据悉,该国上周五的筛查人数超过135万人,周日则有134万人。据路透社报道,跟2020年的情况相比,航空客流量虽然仍有很大的降幅,但该国各地旅行并可能携带新冠病毒的人数仍非常多。
华伦斯基在新闻发布会上说道:“每次旅行人数激增,我们国家的病例就会激增。我们知道,我们的许多(病毒)变体都出现在国际上。我们知道,旅游走廊是一个人们混合的地方。我们真的在努力限制目前的旅行。我们希望我们的下一套指导方针将带来更多关于接种疫苗的人可以做什么的科学知识,旅行也许就是其中之一。”
然而,离家较近的旅游仍在继续升温,据迪士尼世界报道,他们的春假预订已经售罄。
03
研究称英国COVID-19变异毒株在英国养老院迅速蔓
根据伦敦大学学院研究人员的一项研究,去年11月和12月,SARS-CoV-2的英国变种在英格兰的养老院中迅速传播,大致反映了其在普通人群中的传播情况。

这项研究以信的形式发表在《新英格兰医学杂志》上,考察了10月至12月期间养老院工作人员和居民的PCR检测阳性情况。研究发现,在它能接触到的样本中,由新变种引起的感染比例从11月23日开始的一周内的12%上升到仅两周后-12月7日开始的一周内的60%的阳性病例。
在该变种出现的最主要的英格兰东南部地区,该比例在同一时期从55%上升到80%。在伦敦,变异体传播最快的地方,比例从20%增加到66%。研究人员表示,感染的时间表明,新的变种可能已经从工作人员传染给居民,老年人中的阳性病例发生较晚。
研究资深作者Laura Shallcross博士说:“我们的研究结果表明,英国变种在护理院的传播速度与在普通人群中的传播速度一样快。这表明公共卫生措施对减少整个国家传播的重要性。”
研究主要作者Maria Krutikov博士说。“我们的结果与全国的趋势一致,表明英国的变异体很早就存在于养老院中,尽管我们的样本并不能完全代表英格兰的所有养老院。由于我们在12月进行了这项工作,我们能够为当时的公共卫生决策提供信息。”
“为了了解像COVID-19这样的病毒是如何变化的,并迅速做出适当的反应,我们拥有一个先进的监测系统真的很重要,基因测序可以尽早识别新的变异。”
在这项研究中,研究人员分析了来自英国养老院工作人员和居民的4442份PCR阳性样本。这些是英国最大的新冠病毒检测实验室之一--位于米尔顿凯恩斯的Lighthouse实验室从10月到12月处理的所有工作人员和居民的阳性检测。护理院的工作人员每周都要进行检测,而住客则每月检测一次。
SARS-CoV-2的PCR检测旨在检测病毒的三个部分--S基因、N基因和ORF1ab。英国变种被称为B.1.1.7.,其S基因发生了变化,这意味着测试不能检测到这个特定的目标。这意味着研究人员能够通过观察其他两个目标,即N基因和ORF1b,但没有检测到S基因的样本来确定新变体引起的感染比例。
他们还比较了Ct值,它显示了多少病毒的存在,以检查样品没有错过S基因,因为它们是“较弱”的阳性测试,病毒物质较少。
他们的分析显示,11月下旬,英国多个地区与B.1.1.7相关的感染比例急剧上升。在伦敦,从20%(11月23日开始的一周)上升到66%(12月7日开始的一周)。在英格兰东部,同期从35%上升到64%,而在东南部则从55%上升到80%。数据主要来自伦敦、英格兰东南部和东部以及中部地区,英格兰北部和西南部的阳性检测样本较少。
大多数样本来自65岁以下的人,因为工作人员接受检测的频率比居民高得多。然而,在65岁以上的样本中,由新变种引起的感染比例由11月23日开始的一周的14%上升到12月7日开始的一周的76%。(阳性样本总数不多,分别只有21个和157个)。
这项研究是作为Vivaldi研究的一部分,研究护理院的COVID-19感染情况。该研究得到了英国卫生与社会保健部的支持和资助。
04
美CDC警告:允许室内就餐与COVID-19病例日增长率增加有关
根据《纽约时报》最新的新冠肺炎疫情更新报告,周一美国新报告的新冠肺炎确诊病例超过5.7万例,同时还有至少751例新的新冠肺炎相关死亡病例。不过在过去的一周里,美国平均每天的新增病例下降了18%,达到每天55153例。

这是好消息。更令人担忧的部分是,许多美国民众已经提前聚集庆祝病例的下降。例如,许多人在春假期间蜂拥而至迈阿密海滩,已导致数百人被捕,根据迈阿密市市长的说法,太多人忽视新冠防疫规则。而与此相关的是,美国疾病控制与预防中心(CDC)本月早些时候发布了一项新的研究结果,称社区中的餐厅重新开放、重新允许室内就餐与COVID-19新发率之间似乎有直接关系。
CDC报告说:“允许室内餐馆就餐与实施后41-100天的COVID-19病例日增长率增加有关,与实施后61-100天的日死亡率增长率增加有关。”
在CDC研究期间,约97%的美国县的餐馆开始重新开放室内就餐或所谓的堂食。研究进而发现,在餐厅既在室内用餐,也在室外用餐,会导致餐厅重开后61-80天的死亡人数增加2.2个百分点,而重开后81-100天的死亡人数增加到3个百分点。
CDC主任Rochelle Walensky在3月3日接受NPR主持人Ari Shapiro采访时表示。“我认为未来两三个月可能会朝着两个方向之一发展,”她说。"如果事情开放了,如果我们不是真的谨慎,我们可能会以春假后的激增结束,就像我们看到圣诞节后的激增一样。我们可能会看到更多的疾病。我们可能会看到更多的死亡。"
根据约翰斯-霍普金斯大学自COVID大流行以来一直追踪的研究人员的统计,目前美国已发现超过2940万例新冠肺炎确诊病例。此外,美国已有超过53.5万例与新冠病毒相关的死亡报告。
05
接种疫苗后仍感染COVID-19的老师解释戴口罩仍很重要的原因
最近几个月获得紧急使用授权的疫苗在阻断COVID-19严重病例和挽救生命方面非常有效。一些疫苗的疗效甚至高于最初的估计,最近的研究表明,这些疫苗在实际使用中的效果与预期一样。

以色列和英国等国家已经发布了各种研究报告,强调这些药物的有效性以及对当地新冠病毒爆发的直接影响。辉瑞公司和BioNTech公司的最新研究首次表明,疫苗可以预防无症状传播,这是药物的重大进展。
但在美国和其他地方使用的各种疫苗都不是100%有效的。人们在接种疫苗后仍有可能出现有症状的感染,包括严重的COVID-19症状。这些都是已经出现的 “突破性”病例。一名来自德克萨斯州的教师在完全接种疫苗后,检测出新冠病毒阳性,她解释了自己在接种疫苗后可能做错了什么,强调即使在接种了两剂疫苗后,包括口罩在内的健康措施仍然必不可少。
“有这种自由,还有接种疫苗后的喜悦,”Paige Crain告诉KXAN她的疫苗经历。她接种了Moderna疫苗,在2月份完成了接种。“我感觉一年来第一次,我可以,你知道,在我的口罩下喝一口水--这是我以前没有做的。”
Crain说,在大多数情况下,她还是很小心的。但她还是被感染了。诊断结果让她在几周后大吃一惊,一场小感冒竟然是COVID-19。
“我完全没有想到会是阳性。”她说。由于有基础疾病,这位老师符合接种疫苗的条件。她说,疫苗让她很安心。即使她感染了疾病,但她的COVID-19病例并不严重。
“这并不像本来那样可怕,我没有想到我下一分钟就得去医院,”她说。“它没有那么糟糕,但我还是生病了,这仍然是一个负担,我们不得不想办法照顾孩子,我丈夫要看孩子,我们现在不能让爷爷奶奶帮忙。”
一些完全接种疫苗的人最终感染了COVID-19,这并不意外。Moderna疫苗的有效率为95%,这是在没有新冠病毒变异可以逃避疫苗作用的时候所做的临床试验数据。南非和巴西的变种可以在一定程度上逃避抗体,针对它们的疫苗更新正在进行中。
目前不知道Crain恩感染了哪种新冠病毒变种。无论一个人是否接种了疫苗或疫苗是否形成了所需的免疫反应,口罩和保持社交距离都有助于降低疾病风险。
德克萨斯州和其他州几天前取消了口罩令,促使包括安东尼·福奇博士和CDC主任Rochelle Walensky在内的卫生官员发出警告。他们警告说,COVID-19有可能卷土重来,各州不应过快放松安全措施。
06
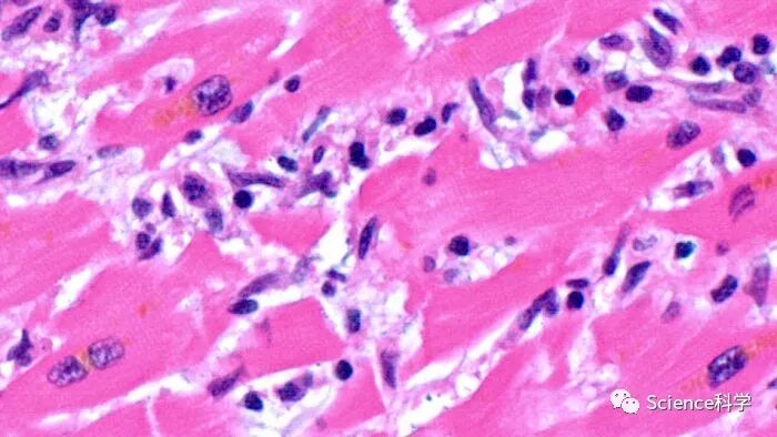
研究发现不少死于COVID-19的病患心脏里包含病毒
根据迄今为止最详细的心脏组织研究,四分之三死于COVID-19的人心脏中藏有SARS-CoV-2病毒。这些人在死前也比没有心脏受侵的患者更容易出现心律异常。这项研究提供了疾病如何损害心脏的诊断以及某些治疗方法。

科学家现在有充分的证据表明COVID-19患者的心脏受损。例如,有些人的肌钙蛋白水平升高,这是心脏受伤时在血液中释放的分子。其他人则经历了心脏周围囊的炎症--以及心脏本身的炎症。但目前还不清楚这些问题是由SARS-CoV-2病毒直接攻击心脏引起的,还是由于过度活跃的免疫反应造成的损害。
之前的研究对SARS-CoV-2是否能侵入心脏组织的问题有颇多争议。因为心脏组织通常使用石蜡等化学物质进行处理和保存,这些物质可以分解RNA,因此难以检测出病毒样本。所以他和他的团队使用了另一种方法:原位杂交和NanoString转录组图谱。像RT-PCR一样,这些技术使用特殊的分子来附着和检测病毒RNA的片段,这样做时不必先制作DNA拷贝。这种方法即使在病毒RNA被分解成更小的碎片后,也能识别出病毒RNA。科学家们分析了大约1000块心脏组织--他们所研究的41名患者中的每一个人都有20多个样本,这是大多数研究中每位患者样本数量的两倍。
SARS-CoV-2存在于30颗心脏中,该团队今天在《现代病理学》上报告。而只有这些患者经历了新的心房颤动、快速和不规则的心律,或早期或额外的心跳,与研究中的其他患者相比有着"相当惊人 "的相关性。
不过,目前还不清楚在这些病例中,病毒是否直接攻击了心脏。大多数被感染的心脏细胞都是免疫细胞,SARS-CoV-2在进入心脏之前可能已经侵入了身体的其他地方。目前还不清楚是否是病毒而不是免疫细胞本身导致了这些问题。
无论如何,这项研究可能有助于解释为什么类固醇地塞米松对一些患者如此有帮助。这种药物是第一次发现防止严重COVID-19的死亡之一。它可以减少炎症,所以它可能抑制了心脏中存在的SARS-CoV-2宿主免疫细胞。在接受地塞米松治疗的患者中,只有50%的患者心脏中存在病毒,而没有服用该药的患者中,有90%的患者心脏中存在病毒。
但与大型临床试验相比,这项新研究中的患者人数较少,因此很难说一种药物保护心脏比另一种更好,不过,新的研究结果是一个行动的号召。科学家们需要探究更多的心脏组织,不只是为了看看COVID-19如何杀死病人,还要弄清楚它如何伤害那些正常的心脏。例如,这种疾病可能会产生疤痕组织,可能会在以后造成心脏问题。

扫二维码关注视频号,发现更多精彩视频


Science科学 
了解未知 开启认知

按此关注中文公众号
Science科学英语平台 
THE SCIENCE OF EVERYTHING

按此关注英文公众号
TechEdge 
科技 点亮未来

按此关注中文公众号

◢ 豁然开朗请打赏 ◣

分享“票圈”,逢考必过,点亮“在看”SCI录用率提高18%
到顶部