致命病毒和人体实验,美国德特里克堡生物实验室的秘密




关注视频号,发现更多精彩
随着德尔塔等变异毒株突破疫苗屏障,来之不易的抗疫成果或将失去,目前,虽然科学界对新冠病毒的起源问题仍没有肯定的答案,但随着美国和中国之间的口水战愈演愈烈,可以肯定的是,关于疫情起源的溯源工作已不再是一次简单的调查研究。美国与中国已在科技、经济、文化、政治和军事等各领域上开始了全面对抗,这是一场全方位的大国博弈。新冠大流行后,中国武汉的P4生物实验室和美国马里兰州的德特里克堡军方实验室已经成为了大国博弈的焦点。

德特里克堡
2020年6月,中国政府对世卫组织(WHO)开放溯源。为国际溯源合作和国际抗疫合作提供一个良好的环境,1月14日,世卫组织(WHO)新冠病毒溯源国际专家组再次来华,经过14天的溯源调查工作,公布了溯源结果,否定了武汉P4实验室泄露论和人造病毒论。7月21日中午,逾450万中国网民联署,呼吁世卫组织在下一阶段的新冠病毒溯源中对美国德特里克堡实验室进行调查。
《你不知道的秘密,德特里克》点击播放视频
坐落于美国马里兰州的德特里克堡生化实验室(Fort Detrick),即美国陆军传染病研究所所在地,二战时期的德特里克堡曾是美军的生物战研究基地,是美国军方拥有的唯一一座P4级别的生物实验室。这个项目最早开始于1942年,当时的目的是为了对付日本,一雪珍珠港之耻。1944年,这个基地完成了模拟测试,准备为美军生产大量致死率极高的炭疽炸弹。不过杀伤力更显著的原子弹投入战场后,日本被迫投降,美军也就随之取消了这个订单。但是战争虽然结束了,美军也拥有了强大的核武,他们依然没有放弃这项研究,反而更加深入。在二战结束以后,美军开始频繁与日军细菌部队主要人员接触,并且还和这些战犯进行了交易,以帮助他们不被以战争罪起诉为交换,获得了日军的生物战研究数据。继承了这份沾满无数人鲜血的魔鬼遗产后,美军的生化战能力大增,研制了无数致命性的生物武器,甚至还有进行精神控制的洗脑术。美国政府曾从该基地中订购了一百万枚炭疽炸弹。
去年,全球新冠大流行以来,国内外充斥着关于德特里克堡可能泄漏新冠病毒的报道。根据该军事实验室的数据库显示,这个基地中储存着高传染性的猪流感病毒、埃博拉病毒和非典相关的冠状病毒;而根据该基地发布的招聘资料显示,基地中需要专门的照顾动物的人员,这也证明其研究已经进行到了动物试验阶段。

美国陆军传染病研究所的外部,该研究所位于德特里克堡,负责维护武器级炭疽的储存,USAMR
德特里克堡隐含着各种黑历史早已鲜为人知。如今这个前沿的实验室的前身是美国政府进行黑暗实验的中心。美国记者约翰·鲍威尔在他的书中写道,美军曾在日本战犯的协助下,对韩国巨济岛战俘营中的战俘进行细菌实验,每天高达3000人次。不仅是战俘。美国政治新闻网站在去年9月份披露了美军在上世纪50年代的一项代号为“蓝鸟”的试验,这项实验简言之就是研究洗脑术,在计划的负责人杜勒斯的授意下,化学家戈特利布运用各种精神药物,对一些囚犯秘密进行了精神控制实验。1954年,肯塔基州的一名狱医隔离了7名黑人囚犯,并且连续77天给他们注射高倍量的致幻剂。时至今日,这些囚犯的下落依然无人知晓,与之相关的资料也被大量销毁。
生化武器研究
而德特里克堡的平民雇员也没有逃脱。1975年,纽约时报发布了一篇报道,揭露了1951年时因一种罕见疾病离奇死亡的微生物学家博伊尔斯的死亡真相,他在刚发病时被诊断为普通感冒,随后病情开始急剧恶化,不久后就离世。死亡证明上的原因是“伴有胃溃疡和出血的支气管肺炎”,在他死后14年,美军才承认博伊尔斯是死于炭疽病,他的死亡证明是美军伪造的。
更难以置信的是,美军连自己人都不放过,CNN的一份报道中披露,在1955年后长达20年的时间里,曾有近7000名美军在德特里克堡等地接受过化学实验。并且这些士兵,至今都不知道自己参与的是什么性质的试验,被注射的药物是什么,会不会对后代产生影响。从2009年开始,这些士兵就提出诉讼要求美军公布资料,但至今杳无音讯。
生化武器研究
一次次的人体实验,美国取得了显著的成果。德特里克堡的目标也变成了,使美国的生物战水平始终保持世界领先地位。
为了这一目标的实现,美军又进行了一系列骇人听闻的实验,用飞机释放带黄热病病毒的蚊子,在人口稠密区进行生物毒素试验,在地铁线路上投掷装有模拟生物毒素的“灯泡”,在驳船上进行细菌武器试验等。

德特里克堡航拍图

德特里克堡航拍图,1953年
除了研究致命的生化武器,历史上,德特里克堡曾多次发生病毒泄漏事故。德特里克堡频频被爆出安全漏洞,多次发生污染物泄露事故,甚至还发生了炭疽等致命菌株、毒株丢失事件。2001年美国爆发了为期数周的炭疽袭击事件,而事件的嫌疑人正是来自德特里克堡生物实验室,这一事件导致5人死亡,17人被感染,上万名美国人服用抗生素,实验室的名誉也一落千丈。2014年的时候,这个实验室又被爆出几十起防护服破裂事故。但针对这一系列事故,五角大楼的回应仅仅是会进行全面的审查,努力确保实验室遵守最佳安全标准,对重要问题一概避而不谈。
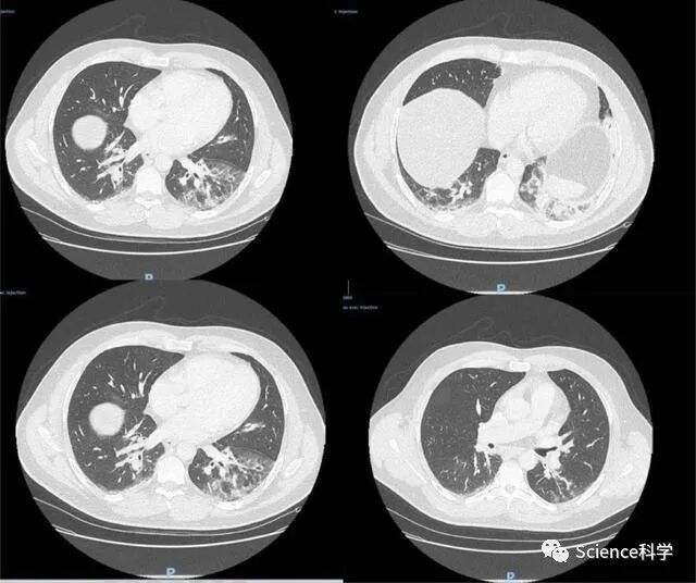
2019年7月,德克里特堡基地被突然关闭。就在基地关闭前一个多月,距离该基地一小时车程的一所养老院爆发了一场神秘的传染病,养老院中的老人均出现与感染新冠肺炎病人相似的症状——肺部CT扫描结果呈“毛玻璃”状,同时伴有肺炎和发烧的症状。这场神秘的传染病,最终导致养老院中的60多名老人身亡。

患者CT
2019年8月,美国疾病与控制中心(CDC)以该基地没有遵守安全守则,强行停止了该基地的所有研究;但是在涉及泄露病毒细节时,CDC以国家安全的名义,对所有细节进行保密。在CDC公布的调查报告中显示,该基地总共有六项违反安全条例的行为,其中包括实验废水净化系统失灵和操作程序不规范的违规行为。
 
另一件与德克里特堡实验室封闭的未经证实事件是在德特里克堡基地关闭后不久(2019年7月),2020年3月,美国开始爆发 “使用电子烟或电子雾化产品造成肺损伤” (e-cigarette, or vaping, product use associated lung injury,EVALI)电子烟肺炎的多起病例。截止到2020年2月中旬,美国疾控(CDC)报告了所有50个州的2800多例需要住院治疗的肺部伤害(EVALI),并已有68人死亡,并且连续发现新发病例。
该事件源起于2019年8月,因美国伊利诺伊州卫生官员援引美国CDC通报的疑因吸电子烟导致肺部严重病变死亡事件受到大众关注,而美国梅奥诊所研究了17位电子烟疾病患者的肺组织样本后,发现其损伤像是接触有毒化学物质导致的。
尽管美国CDC、《新英格兰医学》等发表的研究认为这可能与含四氢大麻酚产品电子烟中添加维生素E醋酸酯(Vitamin E Acetate)导致相关性肺损伤有关。《PNAS》研究发现,加热维生素E醋酸酯可以产生致癌的烯烃和苯,而这些物质在医学领域被公认为对人体产生不良影响。

2019年3月31日-2020年2月15日,美国电子烟相关的肺部损伤(EVALI)患者的症状发作和入院情况,来源:美疾控(CDC)
除此之外,在德特里克堡基地周边存在高达上千位居民患上致命癌症的案例,成为致命的癌症集群( deadly cancer cluster)。有美国网友网上发布的请愿信称,自2008年以来,其两名家庭成员罹患罕见癌症,并参加了32个朋友的葬礼。仅在一个家庭中,就有11人被诊断出患有癌症,而住在同一条街上的57人也被诊断出癌症。公众认为马里兰州德特里克堡生物基地的危险化学武器渗入地下后导致该社区遭受了癌症的摧残。呼吁国会必须采取行动,通过立法,以确保陆军清理德里特里克堡并赔偿受影响者的医疗费用。

德特里克堡基地周边癌症患者
因为德特里克堡的几次封闭或因与实验室“结构缺陷”有关。人们开始怀疑该研究所与一系列致命疾病暴发之间存在一定联系,其中也包括目前正在全球肆虐的新冠大流行,该大流行在美国造成了2400万确诊病例,40万人死亡。


Samantha Hill Facebook上爆料信
2019年12月8日,中国官方通报了首例不明原因肺炎患者发病,2020年1月,武汉地区疫情失控,1月25日武汉市和湖北其他地区疫情高发市县开始封闭式管理。
当全球民众将视线聚焦在中国时,一些西方媒体和政客别有用心的怀疑发生在2019年12月武汉的新冠肺炎与武汉周边的P4实验室发生泄露有关。其结论主要来自于境外传播为何会在中国第二城市梯队的武汉发生,而非出入境更频繁、人口密度更大的北京、上海、广州等一线城市,反驳新冠病毒西方起源论的媒体主要认为,假设病毒最早产生于西方,按照目前的国际航班流动量,能够达到病毒输出的感染密度,那么该病毒已经在西方处于爆发状态。此外,2004年中疾控北京SARS实验室的非典(SARS)病毒也曾发生过泄露事件以及2019年以前武汉地区曾发现过养殖猪发现新冠病毒的报道。

中国官方媒体关于新冠病毒最早的报道
针对于西方媒体别有用心的渲染,石正丽研究团队多次驳斥谣言,世卫组织(WHO)强调新冠病毒来自大自然,WHO不断听取无数科学家的意见,他们研究了基因序列,研究了病毒,并且很肯定这个病毒源自于大自然。

新冠病毒源于大自然
在中国,一些敏感的网友把疑点放在了武汉2019年军运会时美国选手不同往常的表现上。中国民众认为,这都可能是一场蓄谋已久的投毒事件,病毒流行早期,新冠病毒更容易感染东亚人的报道层出不穷,同时病毒发生在九省通衢的中国板块中心武汉,发生在军运会后和春节前夕,一切太过巧合。当中国民众与国外民众开始口水仗后,2020年8月12日,一名声称曾在德特里克堡基地工作的印度员工爆料称,新冠病毒就是来源于美国德特里克堡生化实验基地。他表示,他的上司于2015年从一份来自中国的基因样本中合成了新冠病毒,在2019年5月的泄漏事故中,新冠病毒感染了实验室附近的居民,他的上司认为,这种病毒不会对白种人造成巨大的伤害,因此与美国军方达成一致,默认该病毒并非来源于美国。在美疾控(CDC)对全美流感数据调查统计时显示,2015到2018年间,德克里特堡基地所在的马里兰州的流感统计数据都是全美最低水平,然而到2019年,马里兰州的数据一反常态地达到全美最高水平,就在2019年全美流感调查结束之后,武汉军运会开始了。随后,2019年12月8日,中国通报了第一个不明原因肺炎病例。随后在进行的流行病溯源中,有证据显示2019年11月甚至更早到10月,新冠病毒就已经开始小范围的人际传播。他认为,2019年底美国所爆发的大流感,其病例中有相当部分都是感染新冠病毒所致。
以上的信息都是未经证实的,新冠病毒的溯源工作是一个严肃的科学问题,目前没有任何有效证据表明病毒来自中美之间任何一方的实验室,新冠病毒的溯源也是一场大国间的政治博弈,一场没有硝烟的战争,相信随着人类对该病毒的深入了解以及更为详尽的研究,新冠起源的秘密终会水落石出,时间将告诉我们真相。
       相关文章:囚禁致命病毒的武汉P4实验室到底有多牛?


Science视频号 

按此关注微信视频号
Science科学 
了解未知 开启认知

按此关注中文公众号
Science科学英语平台 
THE SCIENCE OF EVERYTHING

按此关注英文公众号
TechEdge 
科技 点亮未来

按此关注中文公众号

◢ 豁然开朗请打赏 ◣

分享“票圈”,逢考必过,点亮“在看”SCI录用率提高18%
到顶部