【实验研究】核转录因子Gli在恒河猴轮状病毒致胆道闭锁小鼠肝脏上皮间充质化中的调控作用


点击蓝字 关注我们
作者:张一茂 蒲思宇 汪俊祥 王琦 靳曙光通信作者:靳曙光,Email:shgjin2003@aliyun.com作者单位:四川大学华西医院小儿外科,成都 610041本文刊发于 中华实用儿科临床杂志,2022,37(10):768-773.引用本文:张一茂,蒲思宇,汪俊祥,等.核转录因子Gli在恒河猴轮状病毒致胆道闭锁小鼠肝脏上皮间充质化中的调控作用[J].中华实用儿科临床杂志,2022,37(10):768-773.DOI:10.3760/cma.j.cn101070-20210127-00121.
摘要
目的 研究sonic hedgehog(Shh)信号通路核转录因子Gli1/Gli2在恒河猴轮状病毒(RRV)感染致胆道闭锁小鼠肝脏上皮间充质化(EMT)中的调控作用。方法 通过RRV构建胆道闭锁小鼠模型,根据RNA干扰技术对Shh信号通路关键转录因子Gli1/Gli2表达调控的不同,将实验小鼠分为正常组、模型组、Gli1过表达组、Gli1 shRNA组、Gli2过表达组、Gli2 shRNA组,应用实时荧光定量聚合酶链反应及蛋白质印迹法检测实验小鼠肝脏组织中EMT关键调控因子Snail/Slug及EMT特征性细胞因子波形蛋白(Vimentin)、平滑肌肌动蛋白(α-SMA)、钙黏蛋白(E-cadherin)mRNA及蛋白的表达;对不同分组中的小鼠肝脏组织分别行苏木精-伊红染色和Masson染色观察记录肝纤维组织表达面积百分比。采用单因素方差分析和LSD-t检验进行数据分析。结果 Gli2过表达组、Gli2 shRNA组及模型组Snail、Slug、Vimentin、α-SMA、E-cadherin mRNA相对表达量分别为15.13±3.40、5.48±0.46、8.78±1.06、12.40±2.18和3.06±0.53;3.73±1.16、5.62±1.75、3.56±1.06、3.88±1.16和10.51±1.83;8.13±1.27、5.32±0.98、5.05±0.98、4.02±0.77和5.12±1.60。与模型组相比,Gli2过表达组Snail、Vimentin、α-SMA的mRNA表达明显升高,E-cadherin的mRNA表达明显降低,差异均有统计学意义(t=4.53、5.29、8.12、-2.13,均P<0.05);与模型组相比,Gli2 shRNA组Snail、Vimentin的mRNA表达明显降低,E-cadherin的mRNA表达明显升高,差异均有统计学意义(t=-2.86、-2.12、5.62,均P<0.05)。Gli2过表达组、Gli2 shRNA组及模型组Snail、Slug、Vimentin、α-SMA、E-cadherin 蛋白灰度比值分别为2.02±0.39、0.31±0.08、0.95±0.17、1.07±0.17和0.42±0.06;0.53±0.13、0.40±0.18、0.20±0.04、0.28±0.07和1.09±0.31;0.70±0.15、0.42±0.22、0.64±0.13、0.81±0.11和0.42±0.09。与模型组相比,Gli2过表达组Snail、Vimentin、α-SMA蛋白灰度比值明显升高,差异均有统计学意义(t=12.71、4.28、3.70,均P<0.05);与模型组相比,Gli2 shRNA组Vimentin、α-SMA表达明显降低,E-cadherin表达明显升高,差异均有统计学意义(t=-6.14、-7.57、5.96,均P<0.05)。Gli1过表达组及Gli1 shRNA组小鼠肝脏组织未见明确EMT特征细胞因子表达变化趋势。正常组、模型组、Gli1过表达组、Gli1 shRNA组、Gli2过表达组、Gli2 shRNA组肝脏纤维组织表达面积百分比分别为(1.03±0.58)%、(33.02±11.39)%、(39.81±5.67)%、(26.06±1.29)%、(49.81±8.57)%和(17.55±0.66)%。Gli2过表达组及Gli2 shRNA组与模型组肝脏纤维组织表达面积百分比相比,差异均有统计学意义(t=3.21、-2.96,均P<0.05);Gli1过表达组及Gli1 shRNA组与模型组肝脏纤维组织表达面积百分比相比,差异均无统计学意义(均P>0.05)。结论 Shh信号通路在胆道闭锁小鼠肝纤维化中起重要作用,Shh信号通路关键转录因子Gli2可显著调控胆道闭锁小鼠肝脏EMT过程。
关键词
胆道闭锁;上皮间充质化;Sonic hedgehog信号通路;核转录因子Gli
胆道闭锁是新生儿病理性黄疸的常见病因之一[1],是由肝外胆管梗阻引起的严重胆道疾病,可导致淤胆性肝纤维化,最终发生肝衰竭[2-4],约占新生儿梗阻性黄疸的一半,其发病率为1/18 000~1/5 000,东亚地区发病率最高[5-6]。胆道闭锁未经Kasai手术治疗的平均生存期为12个月[5],经Kasai手术后5年生存率也仅为 30%~60%,且伴反复胆管炎、门脉高压症、食道静脉曲张出血等并发症[7-8],肝移植是胆道闭锁发展至终末期唯一有效的治疗手段[7]。胆道闭锁的病因尚不清楚,通常认为与病毒感染、多基因突变等有关[9-11]。目前多数研究倾向胆道闭锁是一类病毒诱导的自身免疫性疾病,机体在致病因素的作用下对胆道特异性抗原产生了自身免疫损伤,最终导致肝内外胆管的纤维化[5],同时上皮间充质化(EMT)在胆道闭锁肝纤维化中起主要作用[12],而sonic hedgehog(Shh)信号通路的激活可诱导肝脏组织发生EMT,促进肝脏纤维化[13-16]。因此,本研究通过检测恒河猴轮状病毒(RRV)致胆道闭锁小鼠肝脏组织标本中Shh信号通路及EMT相关因子的表达及肝脏组织的纤维化程度,探究Shh信号通路关键转录因子Gli1/Gli2对RRV致胆道闭锁小鼠肝脏EMT的调控作用。
1
材料与方法1.1 材料 BALB/c小鼠,5周龄,购自成都达硕实验动物有限公司[生产许可证号:SCXK(川)2015-030];MA104细胞,购自武汉大学中国典型培养物保藏中心;病毒:ATCC RRV MU 10086;转轮式切片机(德国徕卡仪器有限公司);TSJ-Ⅱ 型全自动封闭式组织脱水机 PHY-Ⅲ 型病理组织漂烘仪(常州市中威电子仪器有限公司);BMJ-Ⅲ 型包埋机(常州市郊区中威电子仪器厂);数码三目摄像显微镜(BA400Digital,麦克奥迪实业集团有限公司);图像分析软件Image-Pro Plus 6.0(美国Media Cybernetics公司)。1.2 方法 1.2.1 RRV胆道闭锁幼鼠模型的建立 无特定病原体级BALB/c小鼠32只,按照雌雄比例3∶1合笼,待雌鼠产仔后,取新生1 d龄乳鼠随机(随机数法)分为2组,实验组腹腔注射轮状病毒液100 μL[病毒TCID50(50%组织细胞感染量):TCID50=10-7.64/0.2 mL]。正常组腹腔注射等量的病毒维持液。观察病毒注射后正常组与实验组小鼠变化,胆道闭锁评价标准[17]:体质量增长缓慢,黄疸,小便深黄,陶土样大便。1.2.2 分组与构造 通过RRV构建胆道闭锁模型小鼠,根据RNA干扰技术对Shh信号通路关键转录因子Gli1/Gli2表达调控的不同,将实验小鼠分为正常组、模型组、Gli1过表达组、Gli1 shRNA组、Gli2过表达组、Gli2 shRNA组。正常组,即普通BALB/c小鼠腹腔注射9 g/L盐水,模型组即胆道闭锁模型鼠腹腔注射等量病毒维持液,Gli1 shRNA组应用Gli1 shRNA沉默模型鼠Gli1基因,Gli2 shRNA组应用Gli2 shRNA沉默模型鼠Gli2基因,Gli1过表达组应用Gli1腺病毒过表达模型鼠Gli1基因,Gli2过表达组应用Gli2腺病毒过表达模型鼠Gli2基因。应用实时荧光定量聚合酶链反应及蛋白质印迹法检测实验小鼠肝组织中EMT关键调控因子Snail/Slug及EMT特征性细胞因子波形蛋白(Vimentin)、平滑肌肌动蛋白(α-SMA)、钙黏蛋白(E-cadherin)mRNA及蛋白的表达,对肝组织分别行苏木精-伊红染色(HE)染色和Masson染色观察记录肝纤维组织表达面积百分比。1.2.3 过表达Gli1/Gli2基因对RRV胆道闭锁模型小鼠胆道发育及肝脏EMT的调控作用1.2.3.1 构建过表达Gli1/Gli2基因的腺病毒载体及病毒制备 反转录聚合酶链反应扩增小鼠Gli1/Gli2基因的cDNA序列,测序正确后插入到腺病毒载体pAd-Track-CMV,与穿梭质粒Ad-easy1共转染BJ5183重组菌,挑取重组阳性克隆菌DH5α扩增后,进行高纯度无内毒素抽提,转染293T细胞,制备腺病毒。通过超离心的方法浓缩病毒。1.2.3.2 小鼠体内病毒注射 胆道闭锁模型小鼠随机(随机数法)分为2组,于注射RRV第14天用200 μL含腺病毒的磷酸缓冲盐溶液(PBS)瞬间经尾静脉注射,以含空病毒为对照组,每组实验均重复3次。1.2.3.3 Snail/Slug基因及EMT特征性细胞因子的表达 注射慢病毒7 d后(即注射RRV第21天),各组小鼠断颈处死,取肝组织,进行实时荧光定量聚合酶链反应、蛋白质印迹,在mRNA和蛋白水平分别检测Snail/Slug基因及EMT特征性细胞因子的表达改变。1.2.3.4 肝脏纤维化程度检测 取小鼠肝脏同一部位肝组织100 g/L甲醛固定后石蜡包埋,常规切片,分别行HE染色及Masson染色观察肝脏组织学改变及胶原纤维分布,根据我国肝纤维化分期标准[18],应用病理图像分析系统定量检测肝胶原纤维的面积、周长、平均光密度、积分光密度和平均灰度,以及采用酸水解法测定同一部位肝组织羟脯氨酸含量综合评估肝纤维化的程度。1.2.4 siRNA沉默Gli1/Gli2基因表达对RRV胆道闭锁小鼠胆道发育及肝脏EMT的调控作用1.2.4.1 慢病毒载体的制备 应用计算机软件设计、合成小鼠Gli1、Gli2基因shRNA寡核苷酸片段,将其插入构建慢病毒干扰质粒载体、慢病毒穿梭质粒、辅助包装原件载体质粒等三种质粒载体并分别进行高纯度无内毒素抽提,共转染293T细胞,转染后6 h更换为完全培养基,培养48 h,收集富含慢病毒颗粒的细胞上清液,通过超离心的方法浓缩病毒并收集,保存于-70 ℃冰箱备用。1.2.4.2 小鼠体内病毒注射 RRV胆道闭锁模型小鼠随机(随机数法)分为2组,于注射RRV第14天时,用200 μL含重组慢病毒的PBS瞬间经尾静脉注射,以含非特异性shRNA慢病毒为对照组,每组实验均重复3次。1.2.4.3 Snail/Slug基因及EMT特征性细胞因子的表达 方法同1.2.3.3。1.2.4.4 肝脏纤维化程度检测 方法同1.2.3.4。1.2.5 图像采集 采用麦克奥迪实业集团有限公司生产的BA200Digital数码三目摄像显微摄像系统显微摄像系统对切片进行图像采集,每张切片先于100倍下观察全部组织,再于400倍下采集图像。1.3 统计学处理 采用Image-Pro Plus 6.0图像分析系统测定所采集全部图像的光密度和面积,计算纤维组织表达面积百分比。应用SPSS 26.0软件进行统计学分析,计量资料用x̄±s表示,采用单因素方差分析和LSD-t检验对数据进行统计分析,P<0.05为差异有统计学意义。
2
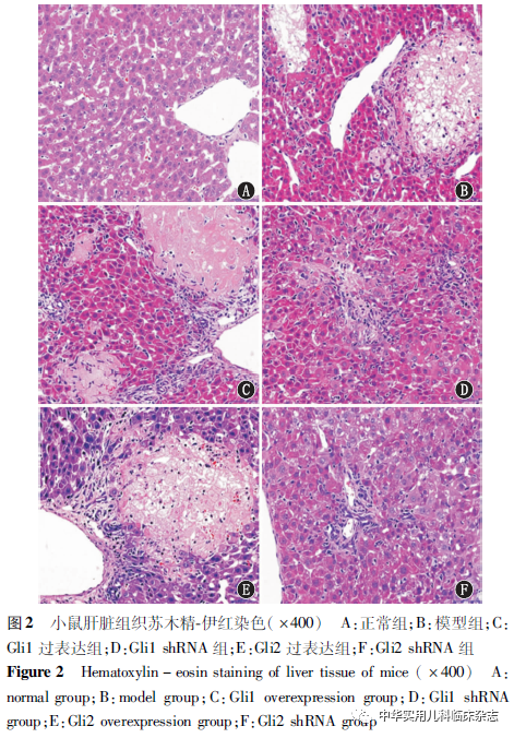
结果2.1 Shh信号通路对胆道闭锁小鼠EMT转录因子及其特征细胞因子表达的调控2.1.1 EMT转录因子Snail/Slug及其特征细胞因子E-cadherin、Vimentin、α-SMA的mRNA表达 Gli2过表达组、Gli2 shRNA组及模型组Snail、Slug、Vimentin、α-SMA、E-cadherin的mRNA相对表达量分别为 15.13±3.40、5.48±0.46、8.78±1.06、12.40±2.18 和3.06±0.53;3.73±1.16、5.62±1.75、3.56±1.06、3.88±1.16和10.51±1.83;8.13±1.27、5.32±0.98、5.05±0.98、4.02±0.77和5.12±1.60。与模型组相比,Gli2过表达组Snail、Vimentin、α-SMA的mRNA表达明显升高,E-cadherin的mRNA表达明显降低,差异均有统计学意义(t=4.53、5.29、8.12、-2.13,均P<0.05);与模型组相比,Gli2 shRNA组Snail、Vimentin的mRNA表达明显降低,E-cadherin的mRNA表达明显升高,差异均有统计学意义(t=-2.86、-2.12、5.62,均P<0.05);Gli1过表达组及Gli1 shRNA组未见明确Snail/Slug及EMT相关因子表达变化趋势。2.1.2 EMT转录因子Snail/Slug及其特征细胞因子E-cadherin、Vimentin、α-SMA的蛋白表达 Gli2过表达组、Gli2 shRNA组及模型组Snail、Slug、Vimentin、α-SMA、E-cadherin 蛋白灰度比值分别为2.02±0.39、0.31±0.08、0.95±0.17、1.07±0.17和0.42±0.06;0.53±0.13、0.40±0.18、0.20±0.04、0.28±0.07和1.09±0.31;0.70±0.15、0.42±0.22、0.64±0.13、0.81±0.11和0.42±0.09。与模型组相比,Gli2过表达组Snail、Vimentin、α-SMA表达明显升高,差异均有统计学意义(t=12.71、4.28、3.70,均P<0.05);与模型组相比,Gli2 shRNA组Vimentin、α-SMA表达明显降低,E-cadherin 表达明显升高,差异均有统计学意义(t=-6.14、-7.57、5.96,均P<0.05)(图1)。2.2 siRNA干扰胆道闭锁小鼠Shh信号通路关键转录因子Gli1/Gli2表达后肝脏组织病理改变2.2.1 HE染色结果 正常组肝组织结构较清晰,管区内未见明显纤维增生;模型组肝小叶内可见大小不一团状坏死灶,门管区可见轻微纤维化和炎细胞团状聚集;Gli1过表达组门管区轻度纤维化,并伴炎细胞浸润;Gli1 shRNA组门管区可见少量纤维组织增生和炎细胞浸润;Gli2过表达组门管区结构模糊,部分肝细胞坏死形成坏死性结节,周围可见纤维组织包囊,门管区结构紊乱,管腔狭窄;Gli2 shRNA组部分门管区管腔闭塞与肝小叶分界模糊,门管区周围轻度纤维增生(图2)。2.2.2 Masson染色结果 Image-Pro Plus 6.0图像分析系统测定结果显示,正常组、模型组、Gli1过表达组、Gli1 shRNA组、Gli2过表达组、Gli2 shRNA组肝脏纤维组织表达面积百分比分别为(1.03±0.58)%、(33.02±11.39)%、(39.81±5.67)%、(26.06±1.29)%、(49.81±8.57)%和(17.55±0.66)%。Gli2过表达组及Gli2 shRNA组与模型组比,差异均有统计学意义(t=3.21、-2.96,均P<0.05);Gli1过表达组及Gli1 shRNA组与模型组相比,差异均无统计学意义(均P>0.05)(图3)。
3
讨论胆道闭锁目前病因不明,多数研究认为胆道闭锁是一种纤维化性疾病,胆道闭锁肝纤维化是一个复杂的交互作用过程,肌成纤维细胞的激活和再生是纤维化的核心环节[19-20]。其中,EMT在胆道闭锁肝纤维化中发挥重要作用[12,21-24]。EMT指上皮细胞在形态学上发生成纤维细胞或间质细胞表型的转变,并获得迁移能力的过程[25]。EMT在胚胎发育、组织发生及多种病理过程中起重要作用[26]。生理状态下,EMT是组织器官重要的创伤修复机制,但这一过程持续存在则为病理状态,可造成组织器官纤维化、硬化。尽管目前关于肝脏EMT的调控机制尚不清楚,但信号通路的激活在其中可能发挥重要作用。Hedgehog基因是一组具有较高保守性的基因,编码及分泌的相关蛋白质在胚胎发育、成熟中发挥重要作用[27]。研究发现Hedgehog通路的过度激活为胆道闭锁的特点之一[28]。而Shh基因作为Hedgehog基因家族中的一员,如果Shh信号通路不能及时关闭或不正常激活,核转录因子Gli将继续发挥其转录激活功能,从而促使靶基因异常表达,最终导致疾病的发生[29]。而EMT关键调控因子Snail是Gli的靶基因[30-31],Snail家族包括Snail和Slug,可直接下调上皮细胞特征因子E-cadherin 的表达[32]。Cui等[33]发现胆道闭锁患儿胆管上皮细胞磷脂酰肌醇蛋白聚糖1(GPC1)表达水平明显低于正常对照组,而GPC1基因合成的一种硫酸类肝素蛋白多糖——磷脂酰肌醇聚糖,可调控Shh信号的表达。因此Shh信号通路可能在胆道闭锁肝纤维化中起重要作用。在本研究中,通过siRNA干扰胆道闭锁小鼠Shh信号通路关键转录因子Gli1和Gli2表达后,EMT细胞特征因子发生明显改变,并且干扰Gli2基因的表达后,EMT特征细胞因子改变更为显著,说明Shh信号通路在胆道闭锁小鼠的肝脏EMT过程中发挥重要作用,其中Shh信号通路核转录因子Gli2可显著调控胆道闭锁模型小鼠肝脏EMT过程。张志波等[24]发现胆道闭锁患儿肝脏组织Shh信号通路相关因子及EMT间质特征因子表达水平较对照组明显升高。Omenetti等[22]和Xue等[34]也发现胆道闭锁患儿肝脏及残存肝外胆管Shh配体及其转录因子Gli2明显升高,EMT间质细胞特征因子Vimentin、铁死亡抑制蛋白1(FSP1)等表达上调。Jung等[35]回顾性分析57例接受Kasai手术的胆道闭锁患儿,发现肝外胆管组织中Gli2和Shh信号通路的激活程度与肝纤维化程度密切相关,也说明了Shh信号通路和核转录因子Gli2在胆道闭锁肝纤维化中的重要作用。本研究用siRNA干扰胆道闭锁小鼠Shh信号通路关键转录因子Gli1/Gli2表达后,不同组别中的肝脏组织病理改变存在明显差异,肝脏组织内纤维程度以Gli2过表达组最为明显,shRNA沉默Gli2后可部分逆转肝纤维化程度,再次说明了Gli2在调控胆道闭锁小鼠肝脏EMT的过程中具有重要作用。同时本研究也证实EMT过程在一定程度上是可逆的,通过逆转EMT,使细胞从间叶表型向上皮表型转化,从而逆转胆道闭锁肝脏纤维化进程,这为将来胆道闭锁肝纤维化的防治提供新的依据、方法及靶点。
参考文献略(制作:新乡医学院期刊社网络与数字出版部)

《中华实用儿科临床杂志》
点击“阅读原文”免费下载PDF全文
到顶部