透明隔腔异常的诊断思路


昨天看了一个孕妇,透明隔腔比较细窄,由于胎儿姿势不好和孕妇较胖做了四次也没有很好的完成胎儿神经系统筛查,打算过几天再看。
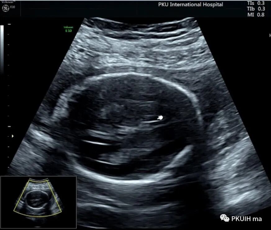
胎儿透明隔腔比较小(内径约1.6mm),透明隔存在,与侧脑室前角无相通,韦氏腔也比较小只有2.4mm

侧脑室看着也还可以没有发现有明显泪滴状,透明隔腔下方穹窿也存在,于是想着先看下胎儿胼胝体
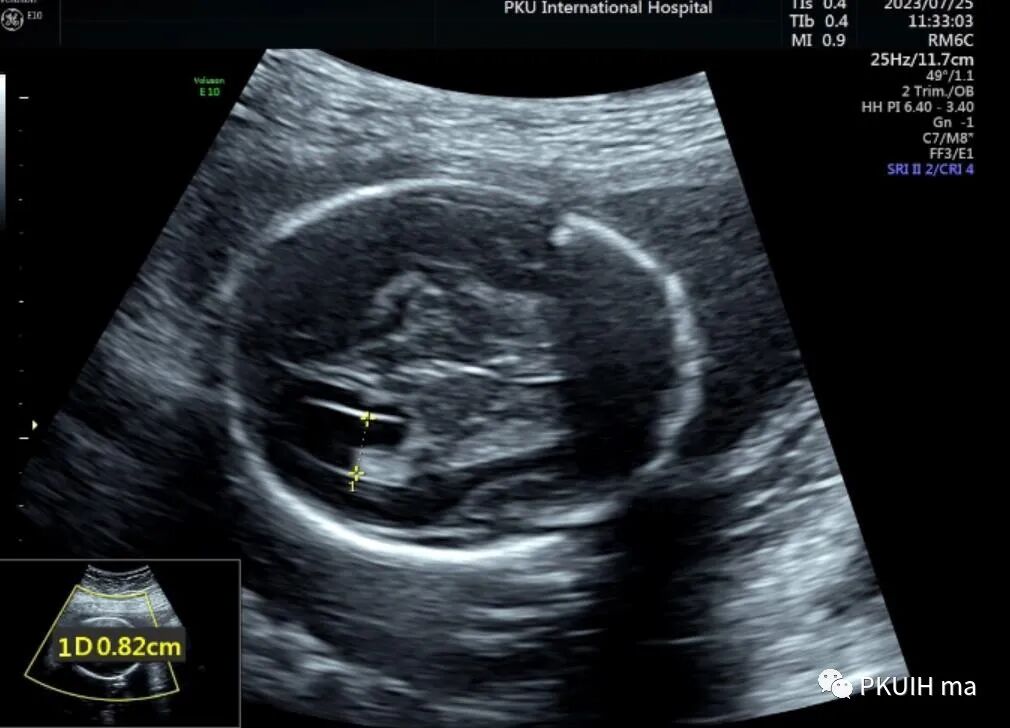
由于胎儿体位不好想着做一个三维,结果图像也不满意,只能等待胎儿仰卧或者俯卧观察正中矢状面了。
等了很久终于能打到一个矢状面的图像了,感觉胼胝体存在,长度还行,胼周动脉也有。由于孕妇太胖了怎么也打不好完整的胼胝体决定改天再观察。
透明隔腔是胎儿中枢神经系统正常发育的一个重要结构。其缺失或形态异常与许多中枢神经系统畸形有关。正常透明隔腔为位于脑中线前部两透明隔间的液体腔,其上方为胼胝体,下方为穹隆,侧壁为透明隔小叶。透明隔腔发育与胼胝体、前联合、穹隆柱密切相关。透明隔腔向后延伸至室间孔,室间孔后方为韦氏腔。
检查中不要把下方的穹窿柱和扩张上抬的三脑室以及融合的侧脑室前角误认为透明隔腔。正常情况下透明隔腔的内径约4-8mm,也有窄的或者宽的,只要形态正常即可,一般大于10mm可以报增宽,小于2mm考虑窄。此时需要关注透明隔腔的形态,一般透明隔腔呈长方形,个别的可以呈三角形,如果左右径大于前后径时认为形态异常。超声显示呈正方形或反长方形、圆形或者是前后径/左右径<1.5时要仔细观察胼胝体,以除外胼胝体发育异常。
妊娠18周前或37周后透明隔腔可以不显示,如果在18-37周之间未发现透明隔腔,要重点观察胼胝体、侧脑室、脑中线、视神经等,最好做个胎儿神经系统筛查,以排除前脑无裂畸形、胼胝体缺失、视-隔发育不良和孤立性透明隔发育不良、脑积水、孔洞脑、脑裂畸形、积水性无脑畸形、脑膨出等。透明隔腔缺失是完全性胼胝体缺失的重要标志,透明隔腔缺失合并“泪滴状”的侧脑室是提示胼胝体缺失的重要线索(如下图),此时一定要重点扫查胼胝体,包括二维及血流等,正中矢状切面是必不可少的扫查。

单纯的透明隔腔增宽(左右径大于10mm)可能是一种正常变异,但此时要与Galen静脉瘤、蛛网膜囊肿和第三脑室扩张等相鉴别。
发现透明隔腔异常时我们可以从以下几个方面观察及考虑(见下图),必要时一定要做系统中枢神经系统筛查或者是结合MRI检查。

往期阅读:
叶状HPE、SOD or SP缺如?
胎儿侧脑室的超声检查
胎儿中枢神经系统检查指南之胼胝体篇
到顶部