大家觉得这是胆总管囊肿吗?


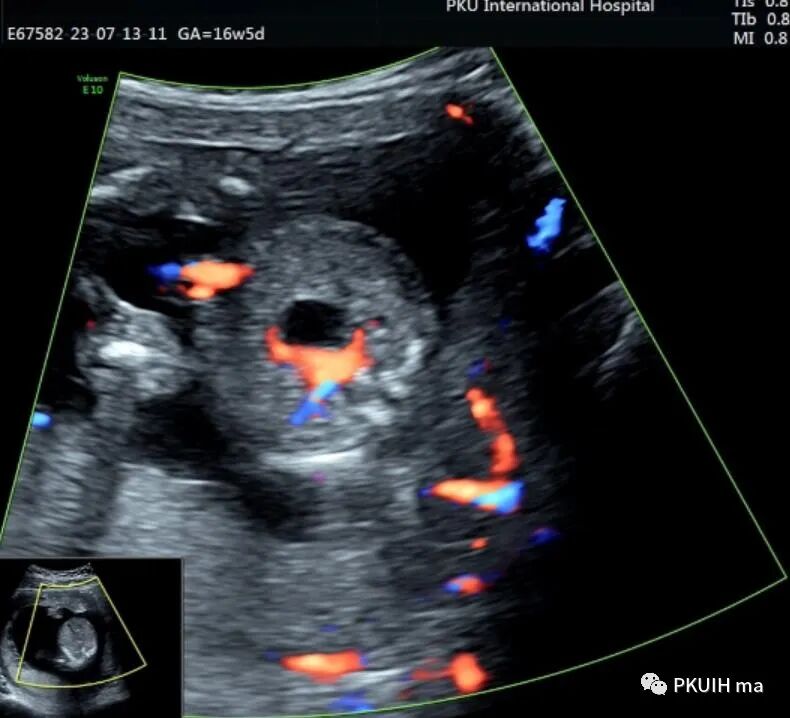
孕妇16周+5天常规超声检查发现腹部一囊性包块,如下图

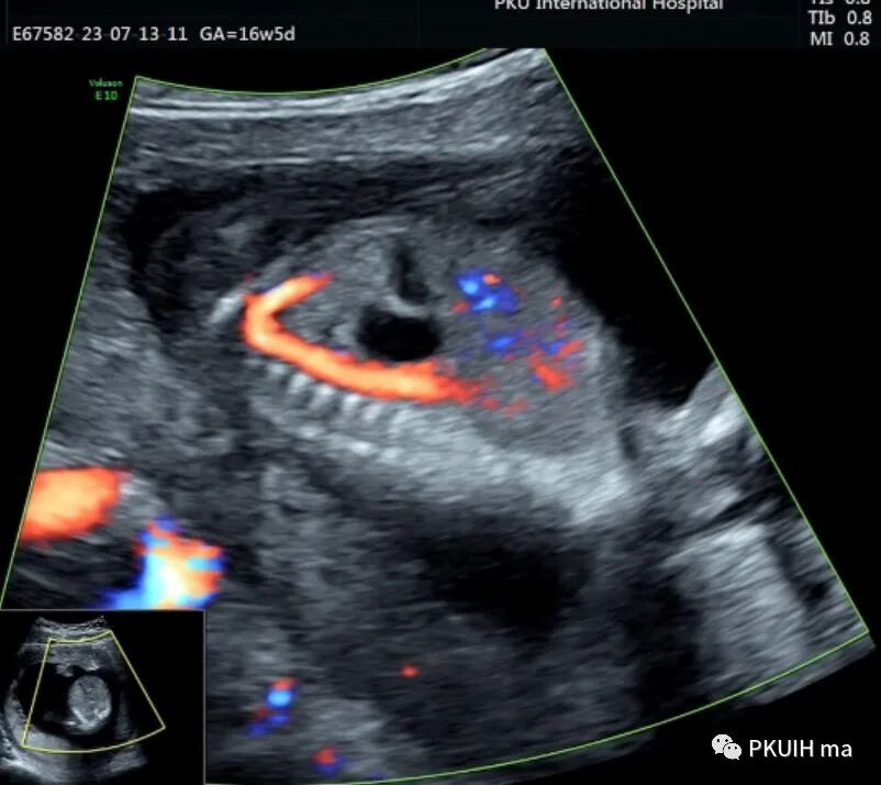
胎儿中腹部见一囊性包块,大小约1.2x1.0x0.8cm,边界清,形态规则,内透声好。囊肿位于脊柱前方、胆囊后方、门静脉窦旁,与后肾接近



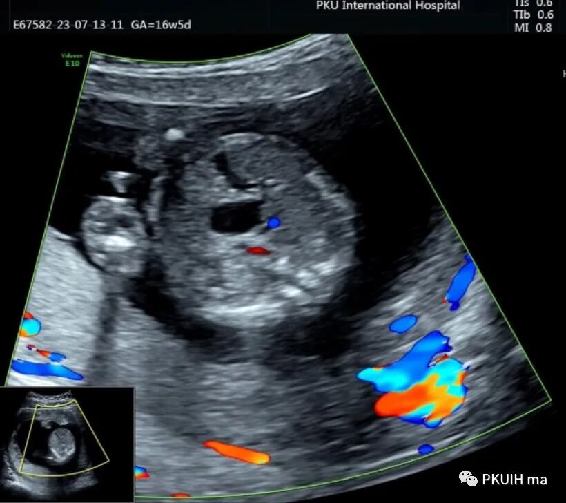
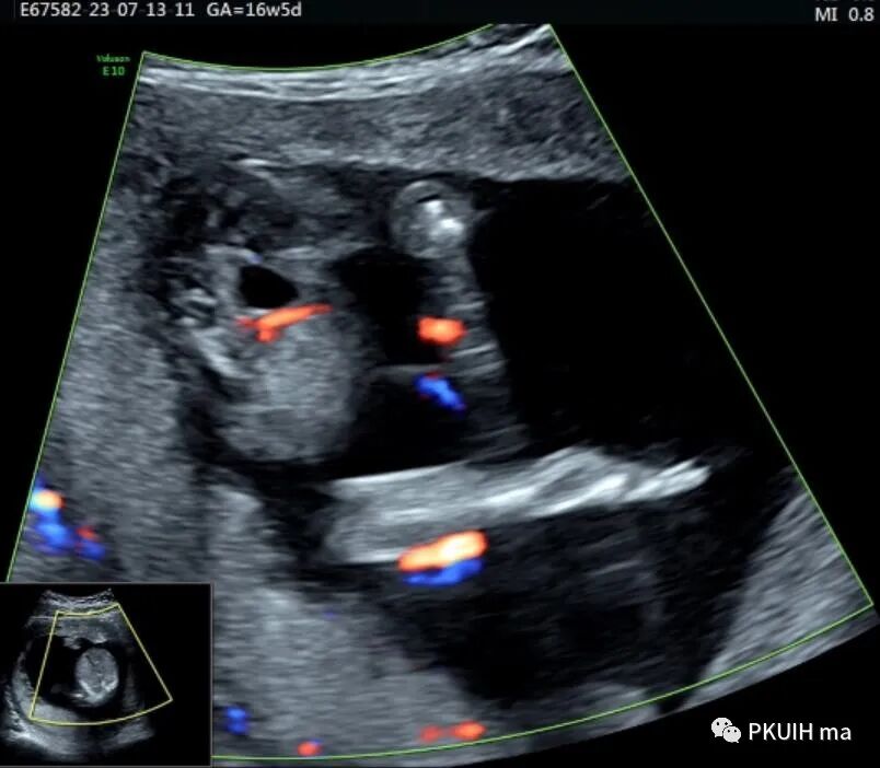
观察囊肿与肾、胃泡、膀胱均无相关。


仔细观察囊肿壁好像不完整,周边见微小管道回声与囊肿相通


CDFI:囊肿内未见明显血流信号。
由于囊肿位于胆囊后方、肝下方、门静脉窦旁,随考虑为胆总管囊肿
不知道诊断是否正确,已经建议孕妇做产前诊断并复查超声,后期会继续跟踪随访。
胆总管囊肿,目前称为先天性胆管扩张症,可发生于肝内外胆管的任何部位,以胆总管扩张最常见,常呈囊状或梭状扩张。病因不明,有学者提出胰胆管合流异常学说并根据形态学特点分为5型。胆总管囊状扩张型、胆总管憩室型、胆总管末端囊性脱垂型、多发性肝内或肝外胆管扩张(又分两个亚型即胆总管扩张同时合并肝内胆管控张和肝外胆管多发性扩张)、肝内胆管扩张。
本病可于中孕及晚孕期被发现,其超声特征为肝门区囊性包块,形状呈圆形或椭圆形,位于门静脉右前方,可对门脉造成压迫。如果显示囊性包块与胆囊相通,则有助于诊断,彩超一般内部无血流信号。
主要的鉴别诊断有:十二指肠闭锁、重复胃、肠重复畸形、肾上腺囊肿、肠系膜囊肿等。
对于预后,本病可以手术治疗,如果没有染色体异常,可以咨询小儿肝胆外科再决定去留。

到顶部