又一例盆腔异位肾


今天看到一22周的胎儿,一侧肾区未见肾脏结构,肾上腺呈平卧征,肾动脉也未显示,在盆腔见到一个发育不良的肾脏回声。















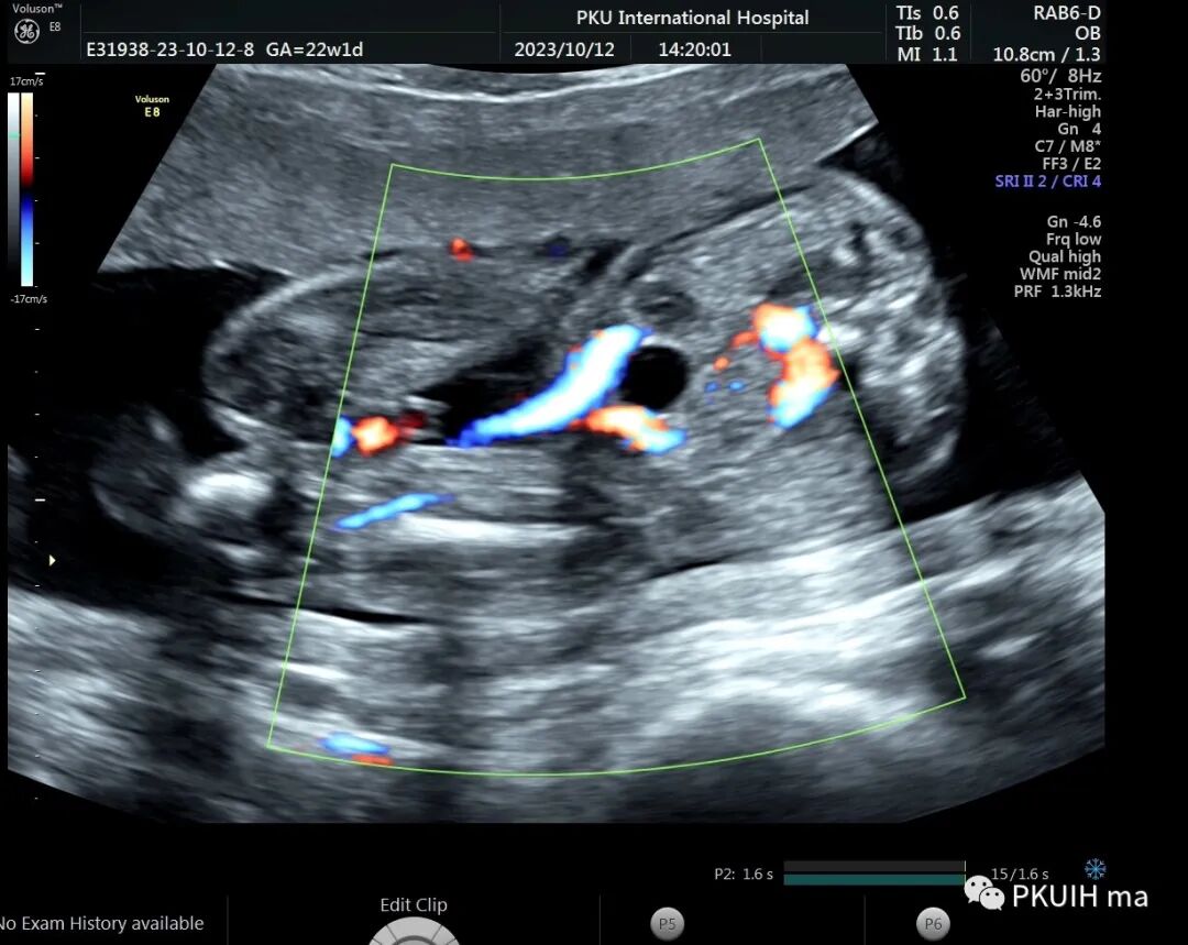
右肾大小位置正常,右肾动脉可见,左肾动脉缺如,正常的左肾区未见肾组织回声,可见肾上腺平卧。于膀胱后上方见一肾组织回声,大小约1.5x1.4x1.0cm,皮髓质分界欠清晰,血供来源于髂动脉。
肾缺如在成人和胎儿中经常能碰到并不是什么稀奇的事情,有的是先天未发育,有的是后天肾萎缩。正常人一个肾就够用,发现一侧肾缺如并不用担心,如果不合并其他异常也不建议引产。在日常检查中如果发现一侧肾区未见肾脏结构,此时不要着急下结论,要多扫扫其它区域,比如盆腔、胸腔。异位肾多发生于盆腔,容易合并肾发育不良。
胚胎期肾会形成前、中、后肾,前肾和中肾会退化,只有后肾会发育成真正的肾。胚胎学肾起源于中胚层,如果在发育过程中受阻或紊乱会出现多种畸形,比如多囊肾、单侧肾、重复肾等。一般妊娠6-9周肾开始上升至腰部,当上升受阻时出现盆腔异位肾,如果上升过快,可形成胸腔异位肾。还有马蹄肾、融合肾都是上升受阻中出现的变异畸形。
异位肾较常见,发生率约1/1200,目前产前确诊并不困难。异位肾最常见的就是盆腔异位肾,占异位肾的一半以上,往往合并发育不良。血供可来源于腹主动脉或髂动脉,部分可有血管迷走。超声诊断标准:1、一侧肾区内未见肾组织回声;2、同侧的肾上腺呈平卧征;3、对侧肾可增大也可正常;4、盆腔可见一发育不良或发育正常的肾脏回声;5、可合并其他畸形,比如输卵管发育畸形或者是Vacterl综合征。
到顶部