胎儿腹部肿瘤与囊肿(二):肾脏肿瘤


肾脏肿瘤: 中胚层性肾瘤和肾母细胞瘤
先天性肾脏肿瘤是罕见的,中胚层性肾瘤是最常见的出现在生命的最初几个月,占所有初生儿肿块的一半。百分之九十的中胚层肾瘤存在于生命的第一年。这些肿瘤由间充质组织构成,呈交错的卵圆形梭形细胞束。“经典”的形式是最常见的,但细胞变异是公认的越来越多的情况下。这种细胞变体的预后较差,并显示出一个与 NTRK3(染色体分别为12p13和15q25)有 ETV6序列融合的基因重排。
中胚层性肾瘤很少在胎儿中被诊断出来。这些年我们从未诊断过胎儿肾中胚层肿瘤,文献报道也不多。胎儿肾脏肿块的鉴别诊断包括肾母细胞瘤、肾积水和多囊性发育不良肾、局灶性肾发育异常和弥漫性肾母细胞瘤。中胚层性肾瘤通常表现为一个巨大的单侧肾脏肿块(4-8厘米) ,可能呈结节状或同质性。这些肿瘤主要是实性的,但偶尔可见囊性区域,通常是由于出血,随后囊性变性。羊水过多是中胚层性肾瘤胎儿常见的并发症,可能是由于邻近肠道受压,或因肾血流增加或肾浓缩能受损而导致胎儿尿量增加。早产破膜和早产在这些患者中很常见,许多人在妊娠34周之前分娩。这些肿瘤可能是由于出血和贫血,血管增多和动静脉分流,或者门静脉或下腔静脉上的肿块压迫所致。对于有肾脏肿块的胎儿,连续超声可以监测并发症,并计划在一个可以立即获得初生儿外科护理的地方分娩。胎儿 MRI 有助于准确判断肾脏肿块的产前诊断,并有助于区分肾母细胞瘤的中胚层性肾瘤,因为肾母细胞瘤往往具有明确的假包膜。双侧肾脏病变更像是肾母细胞瘤而不是先天性中胚层肾瘤。
在一份来自法国的多中心性调查中,大约一半的新生儿在妊娠34周之前接受了中胚层性肾瘤。在这项研究中,25%的胎儿出现胎儿窘迫,导致剖腹产分娩,22%的新生儿由于肿瘤或天然肾脏的肾素分泌而患有高血压(肿瘤的大量影响导致肾脏灌注改变至正常肾脏)。患有中胚层性肾瘤的婴儿也可能出现高钙血症,这是肿瘤分泌甲状旁腺激素样肽或前列腺素的肿瘤伴随症候群所致。
在较大的儿童,中胚层性肾瘤的细胞变异与典型组织学相比,局部复发或远处转移的发生率较高,但对于胎儿或3个月以下的婴儿似乎并非如此。
肾母细胞瘤占儿童肿瘤总数的80%,而其他肿瘤类型,如间变性肉瘤、透明细胞肉瘤、横纹肌样瘤和肾细胞癌占其余。肾母细胞瘤的高峰发病年龄在2-3岁,虽然有几个病例在产前被描述。肾母细胞瘤与许多遗传状况和综合征有关,包括 Beckwith-Wiedemann,Denys-Drash,klippel-Trenaunay,神经纤维瘤和 WAGR 综合征。

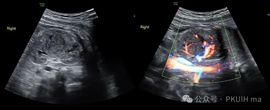
上图是33周发现右侧肾肾母细胞瘤

上图是来自文献的图片,显示胎儿一侧肾巨大的肾母细胞瘤
对于儿童肾母细胞瘤患者,50%患有高血压。分期检查包括胸部 X线、腹部 CT 扫描和腹部超声检查,以寻找肾静脉和下腔静脉内的瘤栓。怀疑肾母细胞瘤的新生儿应接受输尿管肾切除术和对侧肾脏探查术,以排除同步性双侧病变。在1期肾母细胞瘤患者中,2岁以下的患者肿瘤小于550gm,可以避免补助化学疗法,不像那些肿瘤较大或年龄较大的患者。局部癌症或转移性疾病患者的预期长期生存率分别大于90%和大约70%。
下图是肾脏囊性占位和实性占位的特点对比

中胚层肾瘤(CMN)是一种儿童少见的良性肿瘤,约占儿童肾脏肿瘤的3.4%,发生率为1:125000。发生于新生儿及婴儿早期,高峰年龄1-3月,是3个月以下婴儿最常见的肾脏肿瘤,90%小于1岁、部分可于产前超声发现,80%在新生儿期发现,多发生于男性,男女比2:1,好发于右侧肾。对于婴儿发现的肾肿瘤首先考虑中胚层肾瘤,其次考虑肾母。无特征表现,多表现为腹部包括或肾脏占位,70%有难治性高血压、10%有血尿、1.2%-12%高血钙。产前发生时多合并羊水过多。CMN可分为经典型、细胞型和混合型,组织学均表现成纤维细胞排列成束,细胞型与婴儿纤维肉瘤具有相同的染色体异位t,目前被认为是起源于肾脏的婴儿纤维肉瘤。超声表现为实性肿物周围伴有低回声晕环。增强扫描呈轻中度强化,可见瘤内局灶性明显强化区,文献报道增强扫描病灶内环形强化可能有提示诊断的意义。CMN主要采用手术治疗,预后良好。
CMN主要的鉴别诊断是肾母细胞瘤(Wilms Tumor),肾母是儿童最常见的肾脏肿瘤,来源于肾胚基细胞的恶性胚胎性肿瘤。绝大多数在5岁以内,新生儿和婴儿少见,产前更难以发现。一般具有完整包膜,呈圆形或椭圆形,肿瘤内易出现坏死和出血,少数可见钙化及脂肪成分,肿瘤较大时可跨越中线,周围血管可被推移但不包绕,这一点与神经母细胞瘤不同。增强扫描一般呈不均匀强化,可见肾静脉或下腔静脉癌栓(右肾静脉多见),可以远处转移(胸部)。
发生于婴幼儿肾肿瘤有:CMN、肾母细胞瘤、透明细胞肉瘤(CCSK)、横纹肌样瘤(MRT)、囊性肾瘤和囊性部分分化性肾母细胞瘤(CPDN)和婴儿骨化性肾肿瘤(ORTI)。下图为儿童肾肿瘤的常见病理类型及特征

肾透明细胞肉瘤是罕见的儿童肾恶性肿瘤,恶性程度较高,约占儿童肾肿瘤的3%,好发于6个月到5岁之间。常见骨转移(胸骨肋骨椎体),又称儿童骨转移性肾肿瘤,而肾母很少发生骨转移,这是鉴别之一。与肾母鉴别是CCSK易肾外浸润并包绕相邻血管,血供更丰富,密度杂乱,液性成分更多,其特点是形成“虎斑征”,肿瘤内钙化率高于肾母。
肾脏恶性横纹肌样瘤(MRTK)是罕见的肾脏恶性肿瘤,恶性程度非常高,发展迅速,好发于婴幼儿,多发生于2岁以内婴儿。发现肿瘤时应常规检查胎儿颅内。CPDN均为囊性肿瘤,超声表现边界清,有完整包膜,内可有分隔,不含实性部分,增强扫描包膜和分隔呈中等强化,肿瘤突入肾集合系统为其典型征象。CT扫描密度高于单纯水密度,偶见钙化。ORTI发病率较低,见于6到30月新生儿,由梭形细胞和成骨细胞组成。多附于肾乳头上,向肾盏和肾盂内生长。肿瘤内有钙化,形似鹿角形结石,CT增强可呈不同程度强化,MRI呈低信号,有时可见多孔结构
到顶部