继续操作前请注册或者登录。

胎儿腹部肿瘤与囊肿(三):神经母细胞瘤


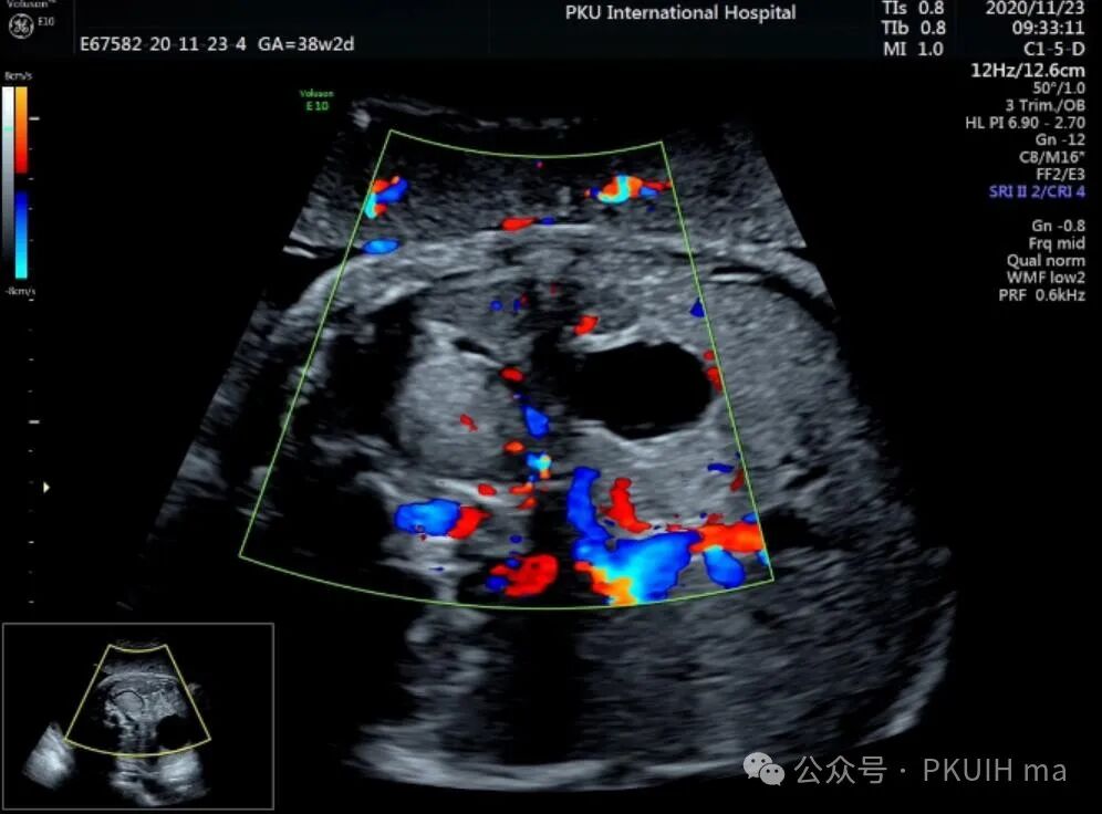
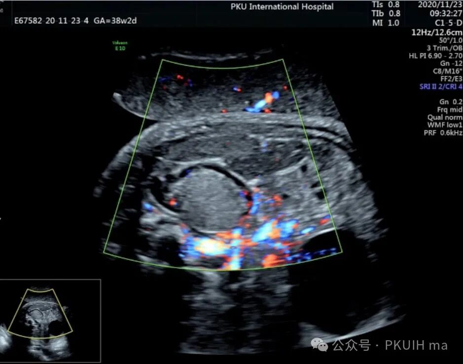
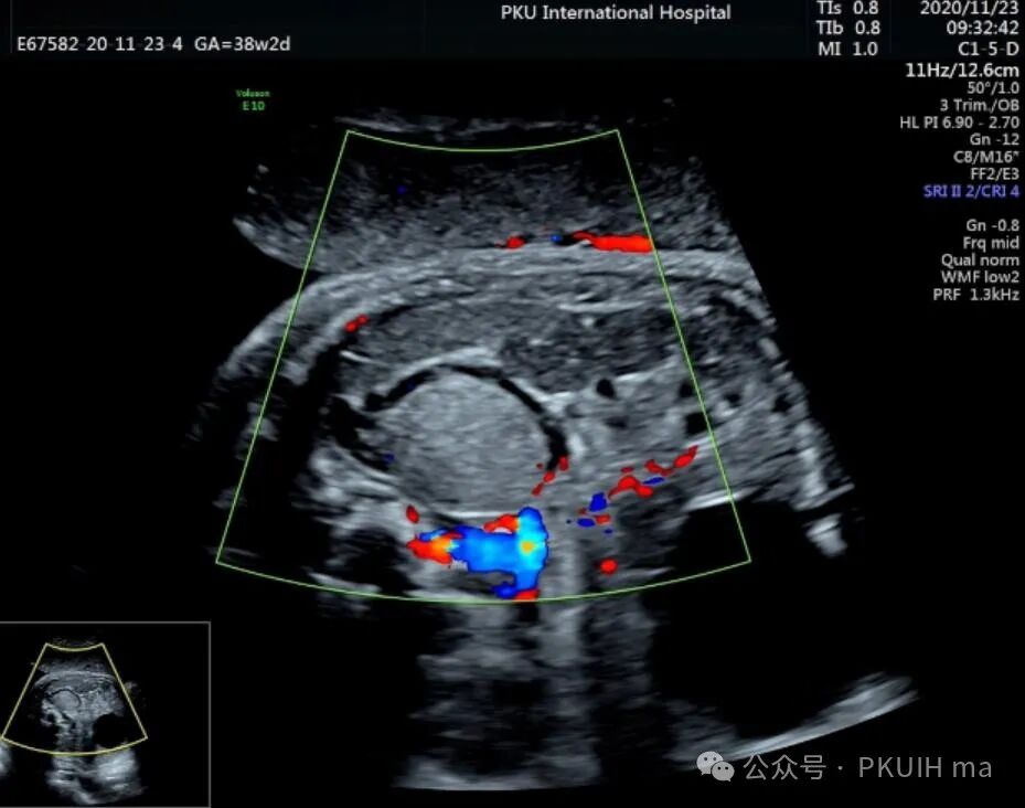
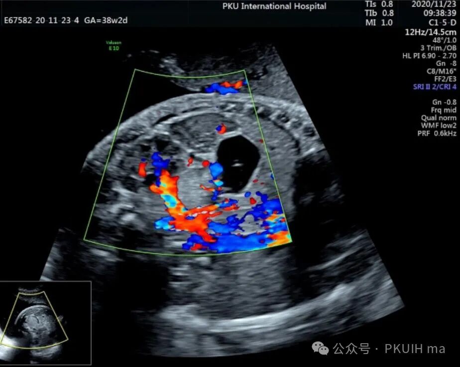
神经母细胞瘤是儿童时期最常见的肿瘤之一,其发病率为1/10,000 -30,000儿童。神经母细胞瘤可在妊娠晚期被诊断出来。产前诊断的肿瘤往往较小,90%涉及肾上腺。囊性和实性区域是典型的,可伴有出血和坏死。囊性病变预后较好。神经母细胞瘤可有微钙化,伴有声影、完整包膜和造成肾脏下移。这些肿瘤可能出现在颈部、胸部或腹部椎旁交感神经节的其他部位。引起气道压迫的宫内病变已有报道。肾上腺肿块伴肝肿大提示神经母细胞瘤的诊断。
虽然大多数产前诊断的神经母细胞瘤有良好的预后,一些肿瘤诊断在围产期有更具侵袭性的生物学行为。在2012年报告的300例胎儿或围产期神经母细胞瘤中,83%为I或II期,但2例为III或IV期,5例为IVS期。此外,在 Jennings及其同事的一系列研究中,有14例死产,44例新生儿死亡,2例晚期死亡,只有10例幸存者。8例合并胎盘转移,1例合并脐带转移。
怀疑为先天性神经母细胞瘤的新生儿应做平片检查,寻找钙化,腹部超声,CT扫描或MRI检查,以准确分期和确定肿瘤的确切范围。应收集尿液,现场测量儿茶酚胺和肿瘤代谢物,包括高香草酸、香草扁桃酸、多巴胺、去甲肾上腺素和肾上腺素。应获得基线肝酶。血清铁蛋白和神经元特异性烯醇化酶对1岁以下患者有预后意义。骨骼扫描、磁共振波形图扫描、骨髓检查和活检有助于完成术前分期。在IVS期的病例中,可以在婴儿的皮肤上看到来自转移性神经母细胞瘤的蓝色皮下结节。

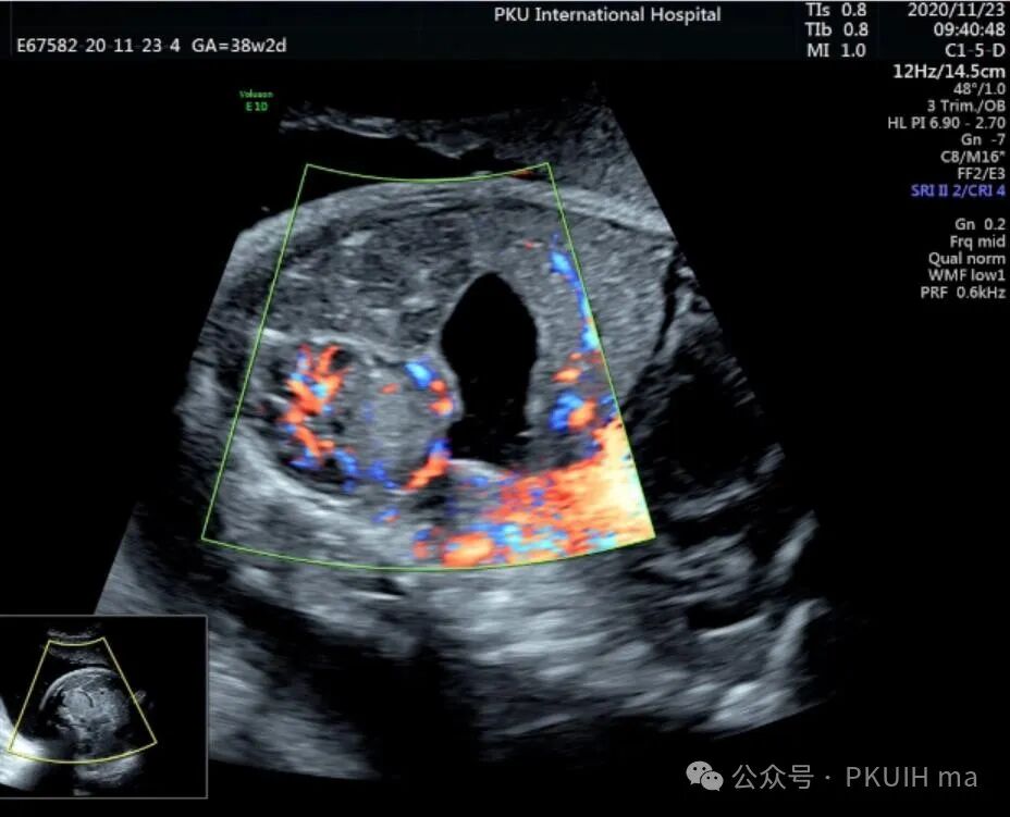
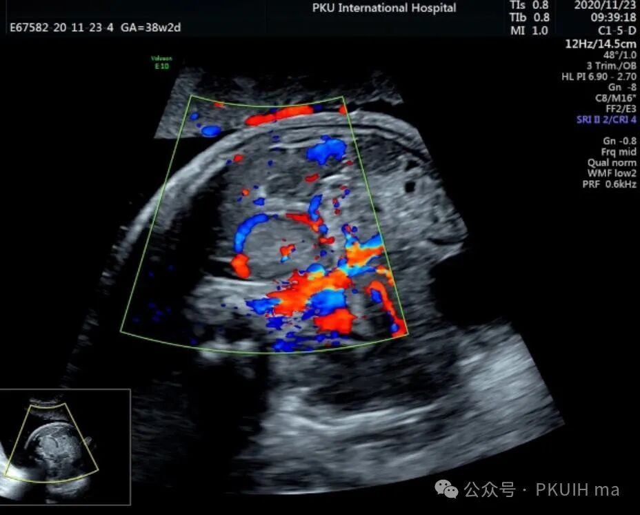
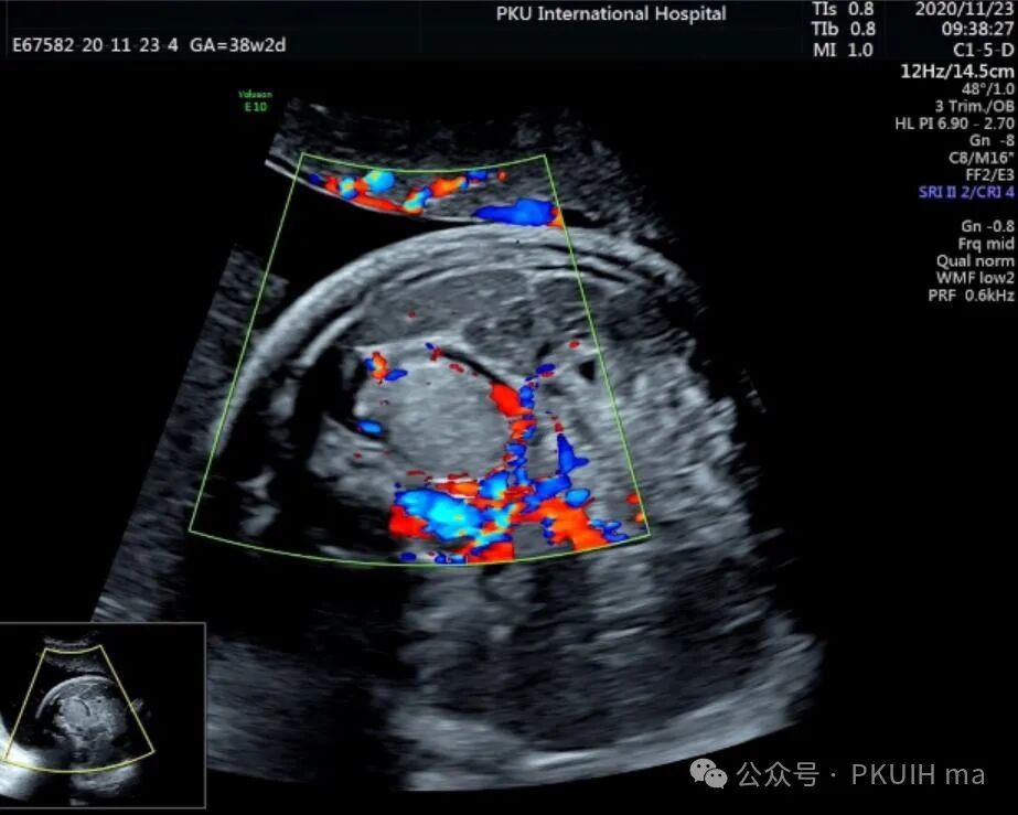
上图是一例在孕晚期发现的肾上腺占位,生后病理证实为神经母细胞瘤的患儿,生后及时做了治疗预后非常好,目前宝宝各项指标都很好。
同时在孕晚期也发现孕妇羊水增多
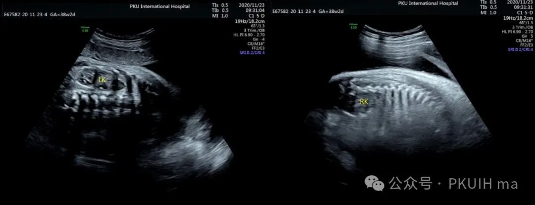
这几年我们在孕晚期发现有3例神经母细胞瘤胎儿,预后都很好。在孕晚期超声中建议常规扫查下胎儿双肾区
新生儿神经母细胞瘤的治疗取决于分期。一般来说,新生儿神经母细胞瘤DNA指数大于1,N-myc扩增率小于5%,预后较好。化疗适用于有 N-myc扩增或其他不利标记的IVS期患者。对于那些没有不利发现的人来说,单独观察是适当的。产前诊断的神经母细胞瘤的总体长期存活率超过90% 。没有产前干预的迹象。
到顶部