胎儿腹部肿瘤与囊肿(四):其他肿瘤


肝脏肿瘤在胎儿和新生儿中很少见,约占围产期肿瘤的5%。最常见的原发性肝脏病变是血管瘤,其次是间充质错构瘤和肝母细胞瘤。然而,转移性病变比原发性肝肿瘤更常见。最常见的转移到胎儿或新生儿肝脏的肿瘤是神经母细胞瘤,其次是白血病、骶尾部畸胎瘤卵黄囊肿瘤和肾脏横纹肌样瘤。
肝母细胞瘤是最常见的原发性肝脏肿瘤,发生在出生后的第一年,可以在胎儿中检测到。这些肿瘤可能与其他出生缺陷和畸形综合征有关,例如偏侧肥大综合征,包括贝克威思-威德曼症候群和肠腺瘤性息肉病。在产前超声检查中,肝母细胞瘤通常是实性回声的,并显示钙化。相比之下,错构瘤在声像图上通常表现为不规则囊肿,并伴有羊水过少和羊水过多。
对患有肝脏肿瘤的胎儿评估包括超声、胎儿核磁共振成像和超声心动图检查,以寻找心输出量升高的迹象。理想情况下,这些胎儿应该在一个能够立即接受初生儿肿瘤学和外科护理的中心分娩。产后评估和治疗包括测量血清甲胎蛋白,进一步的成像,如果可能的话进行手术切除。那些被认为不能切除的患者在几个周期后接受活检和新辅助化疗并进行确定性切除。

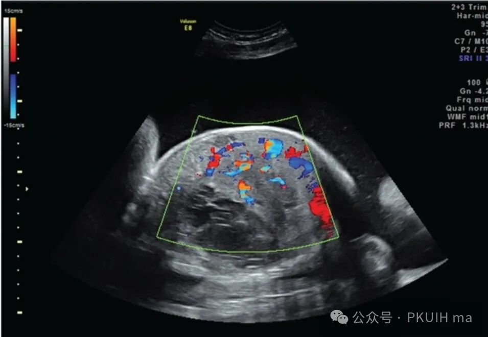
上图是一例孕晚期发现肝内实性占位,在出生后的随访中一直无明显变化,初步考虑是肝血管瘤。

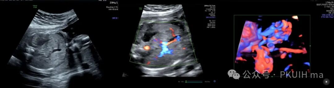
上图是一例在系统排畸时发现的肝局部回声不均并血流异常丰富杂乱,初步考虑肝内动静脉瘘或者是血管瘤,目前一直在随访中。
肝母细胞瘤是儿童最常见的肝脏恶性肿瘤,发病率仅为百万分之一。它通常表现为在妊娠中晚期单个实性中高回声的占位病变。病因尚不清楚。先前报道的关联包括细胞遗传学异常,如染色体2,8,18或20的增加。产科并发症包括家族性腺瘤性息肉病贝克威思-威德曼症候群、小于胎龄儿和早产。肿块效应可能引起羊水过多、积水或肺部压迫,导致窘迫。部分病例有报道了脑、骨和胎盘的转移。
目前还没有针对肝母细胞瘤的胎儿干预措施。连续超声监测肿瘤生长、早期水肿迹象和羊水量是至关重要的,因为羊水过多可继发于胃肠道压迫。分娩应计划在三级综合医院,有新生儿学,儿科手术,和儿科肿瘤学的医院就诊。
肝母细胞瘤的明确诊断通常是通过组织病理学分析。基于组织学有两种主要类型的肝母细胞瘤: 上皮型(细分为纯胎儿型,胎儿和胚胎型,纯胚胎型和小细胞型)和混合上皮-间充质亚型。这种分类已被证明具有预后和治疗意义。虽然先天性肝母细胞瘤被报道与不良预后相关,但最近的研究表明,通过联合手术切除和化疗,生存率得到了提高。
先天性肝母细胞瘤的鉴别诊断包括婴儿肝血管瘤/血管内皮瘤、间充质错构瘤和肝细胞性肝癌(HCC)。较少见的是转移性神经母细胞瘤或胚胎性横纹肌肉瘤,以及白血病或浸润性淋巴瘤。先天性肝母细胞瘤的初始诊断通常通过二维超声检查,如果肿瘤具有单一实体的特征,分界清楚并位于右肝叶。然而,这些发现并不足以排除肝癌或其他转移性病变的诊断。先前报道,40cm/s或更高的肿瘤收缩期血流速度与所有年龄段的患者的恶性肝肿瘤相关,而不是血管瘤。此外,三维能量多普勒评估的肿瘤血管化有助于区分肝母细胞瘤与 HCC 和转移性肝肿瘤。间充质错构瘤通常表现为具有可变软组织成分的多房囊性结构。
其他成像技术,如CT、MRI良好的筛选工具,然而羊水过多会降低MRI对肿瘤性质评估的质量。如果没有组织病理学分析,准确诊断肝母细胞瘤仍然是一个难题。超声引导下的细针穿刺对儿科大多数肝母细胞瘤的术前诊断和分类有帮助。在法律和道德上仍有可能晚期终止妊娠的国家,由于怀疑为肝母细胞瘤的超声检查结果出现较晚,可能会在很晚的阶段终止妊娠。在产前环境中,细针吸取活检可用于验证胎儿肝母细胞瘤是否存在,尽管支持数据有限。

这是一例孕晚期发现的肝内占位最终病理为肝母细胞瘤

上图是中孕期发现的肝脏占位,随后做了核磁怀疑肝母。
到顶部