胎儿腹部肿瘤与囊肿(五):胎儿腹部囊肿之卵巢囊肿


腹部囊性病变的产前诊断较为常见。胎儿囊性鉴别诊断的腹部包块范围广泛,包括卵巢囊肿(女性胎儿)、胆道囊肿、肝囊肿、脾囊肿或胰囊肿、肠系膜囊肿、胎粪假性囊肿、肾上腺出血囊肿、肾囊肿和肠重复囊肿。鉴别诊断的其他异常可能包括腹腔内肺叶外支气管肺隔离伴囊性改变,以及一些囊性肿瘤,如神经母细胞瘤,但这些更为罕见。一般来说,更精确的诊断可以依靠解剖关系和相关发现来缩小范围,例如在重复囊肿中所见的所谓肠壁标记,在胎粪假性囊肿中所见的钙化,在卵巢囊肿中膀胱侧的位置,与肝动脉胆道囊肿的关系,或者在肝脏,脾脏,胰腺或肾上腺囊肿的胎儿中所见的周围实质和位置。
腹内囊肿最常见于中晚孕期。妊娠早期发现的孤立性囊肿通常预后良好。在腹内结构的发展过程中,囊肿可能主要由胃肠道或泌尿生殖器管形成。囊肿可以自行分解。虽然我们可能会怀疑病理,但它仍然很难在胎儿中确定。对于有腹部囊性病变的胎儿,产前和产后诊断的相关性在72.3%到94.8%之间。胎儿MRI已被证明可以提高对腹腔内囊肿的胎儿诊断。在2015年Hugele及其同事的一项研究中,胎儿MRI显示腹部囊性病变胎儿的诊断准确率从51%提高到73.4%;在26.5%的病例中纠正诊断或提供更精确的信息。特定的产前诊断可能有助于咨询和计划在一个环境中分娩,立即获得适当的专家,包括新生儿科,儿科普通外科学,儿科肝脏病学,肾脏病学或泌尿科学。
当比较男性胎儿和女性胎儿时,男性囊肿在妊娠早期就被诊断出来,并且与较高的相关异常率有关。有肛门直肠异常的胎儿在妊娠早期可见“盆腔囊肿”,在闭锁的胎儿中可能表现为远端直肠扩张。由于直肠瘘(膀胱、尿道、前庭或会阴)的减压扩张,“囊肿”可能会在以后消退。胎儿磁共振成像已被证明对复杂肛周肌肉检查是有用的。女性胎儿的囊肿通常较大,因为大多数是卵巢囊肿。当排除卵巢囊肿时,囊肿的大小在女性胎儿和男性胎儿之间是相当的。
先天性肛门直肠畸形的发生率总体较低(1:5000活产婴儿) ,但这种畸形在诊断为胎儿囊性腹部病变的患者中更为常见。在那些出生时被证实有肛门直肠异常的病例中,3名女性中有1名胎儿囊肿消退,3名男性中有2名胎儿囊肿消退。大多数有肛门直肠异常的胎儿都有其他相关的异常。
卵巢囊肿起源于卵泡。胎儿卵巢囊肿的原因尚不清楚,但很可能是由于母体雌激素、胎儿促性腺激素和胎盘人绒毛膜促性腺激素刺激了胎儿卵巢。胎儿卵巢囊肿常见于妊娠合并母亲糖尿病,RH同种免疫和先兆子痫。双侧囊肿可见于5%的胎儿病例。
卵巢囊肿的发病率大约是1/2600,一般见于中、晚孕期。囊肿分为简单或复杂囊肿,呈单一回声或混合回声,可有分隔。复杂性囊肿产前卵巢扭转的发生率较高。当卵巢囊肿的大小<2厘米时,被认为是生理性的; 大多数这些囊肿都会退化。在≥4厘米的囊肿中,自发性卵巢扭转的风险增加。此外,较大的囊肿少数会引起肠梗阻和羊水过多。鉴别诊断包括肠系膜囊肿、脐尿管囊肿和肠重复囊肿。

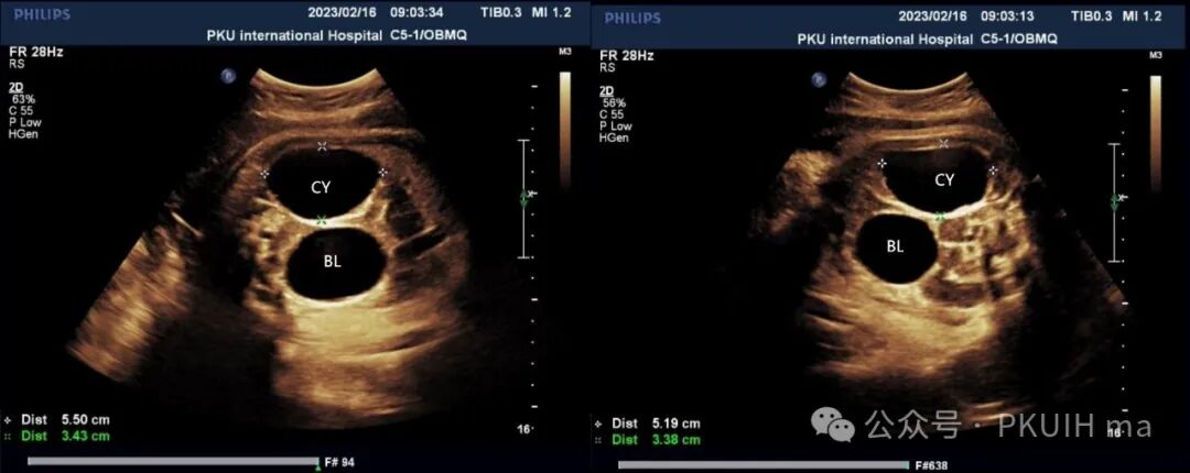
上图是一例孕36周+突然发现胎儿右下腹膀胱后方见一复杂囊性肿物,大小约6.3x5.0x5.1cm,边界清,形态规则,内回声不均匀,似囊实性改变。(该胎儿为女性胎儿)

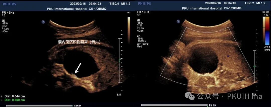
CDFI观察肿物内部未见明显血流信号
在随后的随访观察中(如下图)发现囊肿大小和内部回声有变化。最终考虑是卵巢出血性囊肿(卵巢扭转待除外)





胎儿囊肿抽吸已被描述为较大的假定卵巢囊肿的管理,虽然这种干预的好处尚未得到证实。如果囊肿引起肠道或其他器官压迫,导致潜在的梗阻和羊水过多,理由似乎更充分,但这些都是例外情况。预防卵巢扭转的未知潜在益处需要与潜在风险进行权衡,包括早产破膜、肠道或相关结构损伤、出血导致后期粘连和阻塞、感染或非卵巢囊肿病变的误吸。
新生儿卵巢囊肿的治疗还没有标准化。对于无症状的女孩,家属被建议观察与诊断性腹腔镜检查。囊肿较大(>4厘米)或囊肿较复杂的患者,手术治疗较为合适。理论上,卵巢扭转可能发生在观察期间。同样,一个坏死的扭曲的卵巢也会导致婴儿的肠梗阻和泌尿系梗阻。早期手术与附件保存率高相关的病例系列支持早期腹腔镜探查的概念。然而,在Brandt及其同事的综述中,在92%的手术病例中发现了出生时或出生前扭转的超声证据,表明大多数扭转发生在产前,产后扭转的风险可能较低。
到顶部