锁骨下动脉迷走及右位主动脉弓


  锁骨下动脉是一对相对粗大的动脉干,为上肢的动脉主干。右侧起自无名动脉(又叫头臂干动脉),左侧直接起自主动脉弓。它们分别沿左右肺尖的内侧上行,然后斜越胸膜顶的前面出胸廓上口到颈根部,呈弓状向外侧行,依次经斜角肌间隙、锁骨中点下方和第一肋的上面达其外缘移行为腋动脉进入腋窝。

上图是正常锁骨下动脉解剖图,主动脉弓依次发出头臂干、左颈总动脉、左锁骨下动脉,头臂干又发出右锁骨下动脉和右颈总动脉
  左侧锁骨下动脉较右侧稍长,同时左侧相对恒定,约99.8%起自于主动脉弓,只有0.2%与左颈总动脉合成左头臂干起自于主动脉弓。右锁骨下动脉约98%起于头臂干,2%直接起于主动脉弓。右锁骨下动脉异常起始于主动脉弓胸主动脉移行部的情况,称为右锁骨下动脉迷走。这种起始异常的右锁骨下动脉多数经过食管的后方,也可经过气管的后方或前方。有时,还可与右位主动脉弓伴同出现,形成一“血管环”。这种起始异常的个体,在临床上可能压迫食管和气管,引起呼吸困难和吞咽困难。

上图是锁骨下动脉发育的变异,1、2是右锁骨下动脉迷走,3、4是左侧锁骨下动脉迷走(RCCA:右颈总动脉,LCCA:左颈总动脉,RSCA:右锁骨下动脉,LSCA:左锁骨下动脉,aLSCA:左锁骨下动脉迷走,aRSCA:右侧锁骨下动脉迷走)
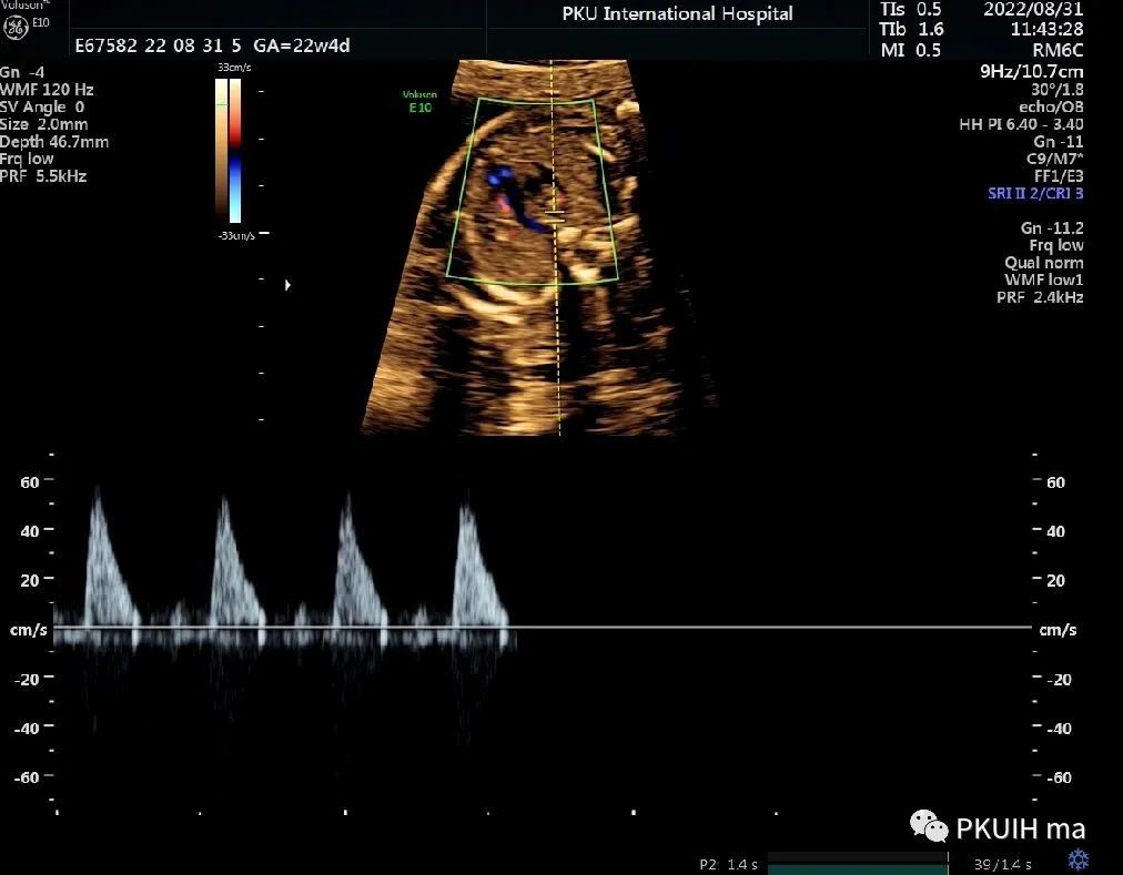
  锁骨下动脉观察一般在主动脉弓水平横切面观察,显示左右锁骨下动脉像弓箭样向左右肩部走形。对于迷走的锁骨下动脉观察需要在三血管气管切面和主动脉冠状切面观察。右锁骨下动脉迷走在三血管气管切面可见一血管于主动脉弓降部发出自脊柱前方气管后方向右肩走行,在主动脉冠状切面显示主动脉弓降部见一血管迂曲向右肩部走行,频谱显示为动脉频谱。右锁骨下动脉迷走在三血管气管切面要和左无名静脉鉴别,左无名静脉汇入上腔静脉,频谱为静脉频谱,同时右锁骨下动脉也要和走形于气管后方汇入上腔静脉的奇静脉相鉴别,血流频谱有助于两者鉴别。


脊柱前方一红色血管为迷走的右锁骨下动脉,频谱为动脉频谱


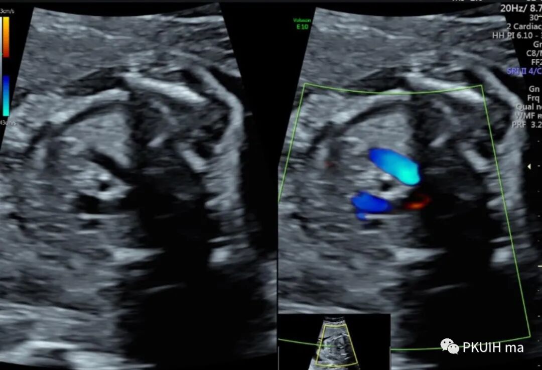
冠状切面显示右锁骨下动脉起于主动脉弓降部(ARSA:迷走的右锁骨下动脉,LSA:左锁骨下动脉)
  ARSA较多见,常认为是一种正常的变异。超声很容易诊断,观察时建议把血流标尺降到15-20cm/s,也可以采用三维超声多平面观察或四维血流显像模式辨认。发现右锁骨下动脉迷走时建议做心内外系统全面扫查。单纯的锁骨下动脉迷走如果不合并染色体异常一般无临床意义,出生后预后良好。由于单纯锁骨下动脉迷走不形成完整血管环,临床上常无明显症状,仅有极少数病例报道患儿有吞咽困难或呼吸困难。迷走的右锁骨下动脉还可能会压迫喉返神经,导致神经麻痹,这种情况称为 Ortner 综合症。因此,临床中发现锁骨下动脉迷走时要注意观察迷走的血管与气管和食管的关系,食管后型最常见(80%),其次是气管、食管间型(15%),最后是气管前型(5%)。ARSA合并21-三体有文献报道,同时ARSA也出现在其他一些染色体非整倍体异常中;同时ARSA也可合并一些心脏的锥干畸形,此时要注意22q11微缺失的染色体异常风险。
  单纯的左锁骨下动脉迷走少见,多合并右位主动脉弓或双主动脉弓。临床上较常见的是右位主动脉弓、左位动脉导管和左锁骨下动脉迷走。下图是右弓和双弓示意图。

下面几张图都是右位主动脉弓、左动脉导管合并左锁骨下动脉迷走的病例,患儿出生后随访均无明显临床症状






主动脉弓走行于气管的右侧,与左位的动脉导管形成“U”型环(不完全血管环),包绕气管和食管。主动脉冠状切面可见左锁骨下动脉起自于主动脉弓降部,向左肩部走行。
右弓左导管是左位主动脉弓在左锁骨下动脉与左颈总动脉起始处之间退化,形成右弓,左位动脉导管存在于左锁骨下起源区域,右位动脉导管退化,从而形成左向右环绕气管的血管环。右位主动脉弓依次发出左颈总动脉、右颈总动脉、右锁骨下动脉及迷走的左锁骨下动脉。在个别情况下,左锁骨下动脉也可以通过Kommerell憩室的动脉管道直接起源于降主动脉。右位主动脉弓可以是复杂先心的一部分,也可以孤立存在。三血管气管切面是诊断右位主动脉弓的重要切面,结合血流显像可以鉴别右弓的三种类型。
下图是一个双弓(右弓优势型)的病例,呈“O”型血管环包饶气管及食管。患儿出生后随访无临床症状。

双主动脉弓(右弓优势)

完整的血管环(O型环)

气管和食管位于血管环内
下图是右弓右导管和合并左锁骨下迷走的病例




动脉导管和主动脉弓均走行于气管的右侧,形成右“V”形征,未形成血管环,生后随访均无明显临床症状
对于发现右弓或双弓伴有或不伴有迷走左锁骨下动脉的病例超声检测原则是做心内外全面系统筛查,并建议染色体检查,以排除染色体异常,尤其是21-三体及22q11微缺失。对于孤立右弓或双弓不合并其它结构及染色体异常,建议继续妊娠,后期只需要常规超声检查即可。右弓、左导管不形成完整血管环,很少造成气管压迫,生后多数无临床症状,极少数病例由于生后动脉导管关闭,迷走的左锁骨下动脉血供减少,影响上肢供血,可能需要放置支架。右弓、右导管不形成血管环,生后多无临床症状,对预后无影响;但部分右弓右导管容易合并心内其他结构畸形,因此建议重点扫查胎儿心脏。而双弓可对气管造成压迫,建议孕妇在三级以上综合医院分娩。
到顶部