胎儿马蹄肾一例


前几天发的一个镜面人胎儿,结果发现在全国的超声医生群里报道的还挺多,好多医院最近都接连发现病例。大家猜测可能跟新冠有关系,去年12月全民都羊了个羊后,正好那一批胎儿都在四月份做系统筛畸。
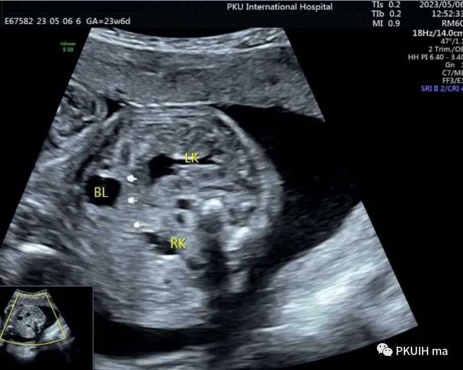
今天跟大家分享一个马蹄肾胎儿,23周常规系统排畸,矢状切发现胎儿肾脏偏长,下极边界相对不清晰,横断面发现肾盂有点轻度分离,但肾盂分离的方向有点不对劲,随仔细观察胎儿双肾。

矢状面肾下极轮廓不清,肾的位置相对偏低


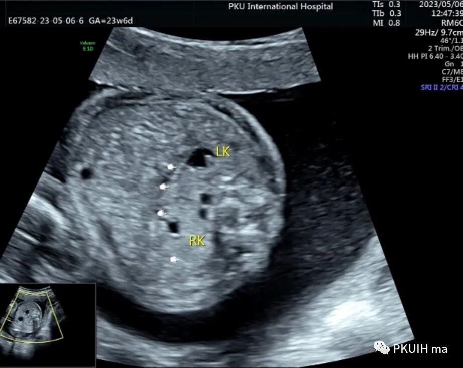
双肾横断面观察双肾盂轻微分离,肾门指向腹侧,呈倒“八”字征。(LK:左肾,RK:右肾)




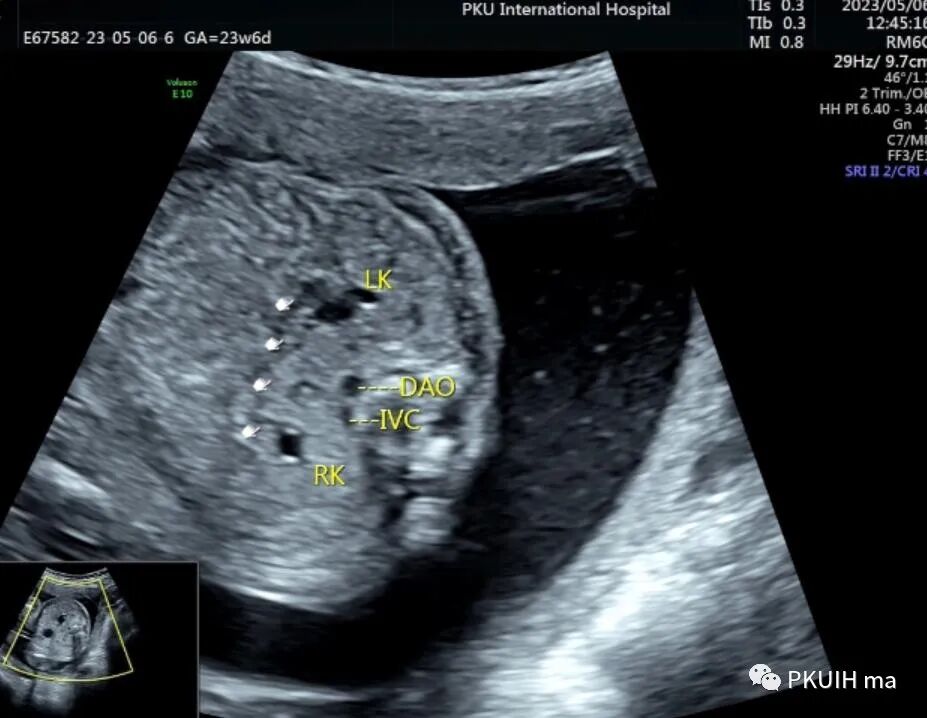
仔细观察双肾下极越过腹主动脉于腹主动脉和下腔静脉的前方相融合,同时肾的位置相对低,下极接近胎儿膀胱。(DAO:降主动脉,IVC:下腔静脉,BL:膀胱)
下图分别是23周和27周正常胎儿的肾横断面图像,显示肾门呈水平状,指向内侧,分离的肾盂也呈水平状


马蹄肾在日常成人超声中并非罕见,发病率约2.5‰,是一种先天肾融合畸形。一般男性多见,男女比例约2:1。通常多是肾下极融合,上极很少见,由于形似马蹄,故名“马蹄肾”。本例马蹄肾胎儿就是一个Boy宝宝,可以观察到胎儿外生殖器呈XY特征,检查中并可见小宝宝正在排尿(见下图)。


产前超声对于马蹄肾诊断相对困难,产前超声很容易漏诊。主要原因是胎儿肾回声与周围组织回声相近,对比度低,尤其是融合的部分与胎儿肠管回声相近,不容易分辨。另外,之前超声对胎儿马蹄肾认识也相对不足,很容易漏诊,近些年随着认知增加,病例报道逐渐增多。
超声下横断面正常肾盂指向内侧,两肾盂连线似一条水平线;矢状面肾盂也似水平状,与脊柱长轴近平行状;冠状面显示肾位于脊柱两侧,略呈“八”字征。对于有轻微肾盂分离的胎儿同样分离肾盂也是近水平状或“八”字征。而马蹄肾横断面或矢状面肾盂斜向腹侧呈角似倒“八”字征,冠状面肾长轴亦呈倒“八”字征。当发现这些间接征象时要高度怀疑马蹄肾,此时一定要仔细观察肾的下极有无融合,看到肾下极融合是诊断马蹄肾的直接征象。横断面和冠状面是观察马蹄肾的重要切面,亦可借助于血流,正常肾实质内可见肾动脉及肾静脉血流信号,而肾周围肠管回声内一般无明显血流信号。
下图是正常胎儿肾示意图和马蹄肾示意图

图1、3是正常肾示意图,2、4是马蹄肾示意图(SP:脊柱,K:肾脏,rib:肋骨),有文献报道说采用肾盂角来预测马蹄肾,一般肾盂角<140°可疑马蹄肾。
下图是一个28周胎儿正常肾的矢状面图像,肾位置正常,边界清晰,肾盂呈水平状,与脊柱方向近乎平行。

发现马蹄肾要注意观察胎儿肾外有无畸形,若同时合并其它结构畸形,建议染色体检查。对于孤立的马蹄肾一般无症状,正常情况下,成人马蹄肾多是体检发现,个别是肾结石、肾积水或者是腰痛等检查时发现有马蹄肾。对于孤立的马蹄肾产前无特殊处理,只需要正常产检即可,生后也不影响婴儿肾功能,若合并严重肾积水或者肾外畸形建议行产前诊断。
到顶部