希望这样的事情不要在发生


今天有一位同行老师给我发来照片说一个孕妇产检多次(都是在小医院查的并未做系统排畸)均未发现异常,结果生下来.......,问我怎么处理这事


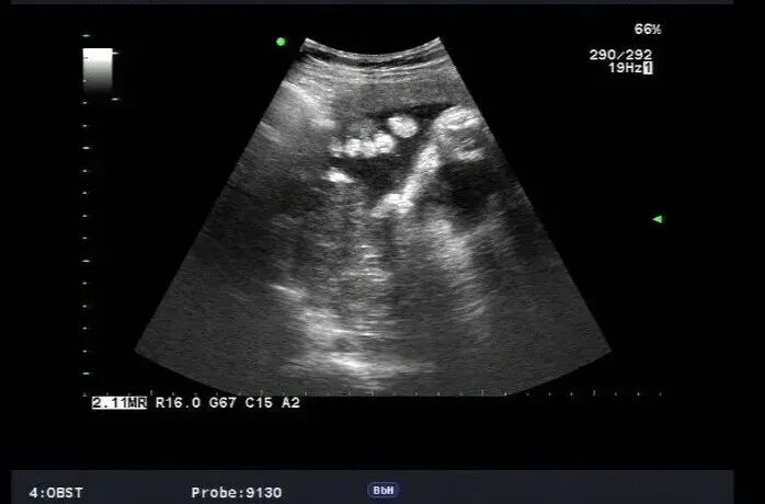
​咱们先来看个病例,孕妇30岁常规胎儿系统畸形筛查发现
手指横断面仅显示两个,指间隙明显增大,裂隙深

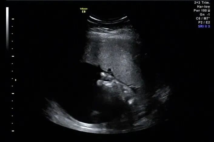
再看脚也不对劲,马上启动三维超声,下图是三维超声表现





手脚都有问题,呈龙虾爪样,非常典型的手裂足裂,胎儿父母没有啥疾病
最后孕妇选择了引产,下图是引产照片

引产结果跟超声图像一样,父母都做了基因检查结果正常。
裂手(足)畸形又称分裂手( 足)、裂掌( 足)、龙虾爪手( 足) 畸形, 是一种罕见的染色体显性遗传病, 可能由染色体长臂7q21q22缺陷所致。另一种裂手、裂足综合征和缺指/ 趾畸形、外胚层发育不良及面裂综合征( EEC) 的患者则有染色体3q27上的p63基因突变。
裂手、裂足畸形也可见于羊膜带粘连序列征。裂手、裂足可单为裂手或裂足畸形,也可两者同时发生,不论是裂手或裂足一般均发生在双侧。手纵裂分为桡、尺侧两部分,故称“龙虾手”,重者可缺4指, 仅拇指或小指残余。裂足表现似裂手, 重者近侧分裂至跗骨, 常伴跗骨异常, 跖骨缺如或趾畸形, 形成“龙虾足”,趾畸形而拇趾和小趾常存在。其主要二维声像特征为在纵切手掌时可见2个增大的手指, 且彼此间的距离明显分开至掌水平中部, 两手掌的第3掌骨缺失,根据这些特征即可明确诊断。临床上将裂手分两种类型, 中心型: 由近中心轴线的缺陷所致, 第3 列骨发育抑制最严重, 手掌中央有一深纵裂, 将手掌分成两部分, 常有一个或多个指列缺损, 残余指常倾向融合或长短不一;中间偏桡侧型: 主要累及第2列或第1列的骨骼结构, 纵裂V型顶点指向第1掌骨, 掌有一个横行骨位于第2 和第3 掌骨远端, 与邻近指的掌指关节接触, 可能是从正常解剖位置上挤出来的近节指骨, 但横行骨上没有肌腱和肌肉附着。
12周后胎儿四肢就可以完整显示,NT筛查时也建议对胎儿四肢进行观察。对于肢体检查最好采用连续追踪扫查法,尽量一次完成,如果由于体位原因看了一半,没有完成,最好在下次观察肢体时依然采用连续不间断扫查把整个肢体检查完毕。扫查时包括关节、肢体姿势、骨骼及皮肤。扫查到手脚后旋转探头打到远端指骨(趾骨)末端,观察手指(脚趾)个数、形态,有无手指(脚趾)缺失、多指(趾)或重叠指等,具体方法如下图

手指关节指骨情况

腕关节情况

膝关节及踝关节情况

远节指骨

手指个数,这个切面有时大拇指跟其余四指不在同一切面,最好再旋转或移动探头看下大拇指情况

打到足底水平长轴切面后旋转探头显示五个脚趾头,同时足底长轴切面一定要留图。
上图这个宝宝只是一只手有问题,可能无染色体异常,原因可能是羊膜束带造成的手裂及并指、缺指畸形。同时让人欣慰是这个宝宝异常是在左手,后期治疗后应该能恢复简单功能,日后不影响生活和学习。
另外据这位同行老师说这个孕妇还是熟人过来的当时也没缴费和出报告,就是看了看把图存在了机器里。在这里我想说的是,往往出事的都是熟人,越是熟人越要小心谨慎、认真仔细......
最后本人要多说一句,目前国际和国内专家共识和指南均未把胎儿手指脚趾作为必须筛查要求,胎儿手指脚趾不在常规筛查范围内,希望孕妇知情并理解。
到顶部