20岁女子染疫发烧3天后近乎失明 确诊为新冠引致视网膜病变



监制/丽可  编辑/杰富  校对/依森
这是奈普格公众号的第271篇健康推文
近日,内地一名20岁女子感染新冠发烧3天后,突然视力下降到0.02,连视力表上最大的视标都看不清,几近失明。该女子赴浙江温州市中西医结合医院求医,被诊断为急性黄斑区神经视网膜病变,为新冠引起的眼部并发症。


《澎湃新闻》10日(周二)报道指,从浙江温州市中西医结合医院了解到,女患者在感染新冠后突然视力下降,看不清东西,被家人送至医院检查。
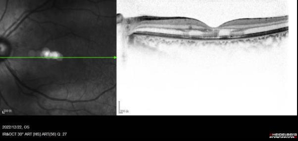
经眼部专科检查,她的双眼黄斑区可见暗红褐色病灶,色素紊乱,外层视网膜高反射病灶,集中在黄斑区视网膜外核层,椭圆体带和嵌合体带断裂。结合病史及专科检查,医生确诊其为急性黄斑区神经视网膜病变。
该院眼科副主任赵静医生认为,女患者的病症为新冠感染并发症,「新冠病毒可能存在眼部趋向性,能通过不同神经组成的精密网络,从上呼吸道传播至眼睛,新冠侵占眼部后,会诱发促炎症细胞因子以及趋化因子水平的升高,从而造成眼部不适以及视网膜或视神经炎症」。
报道指,内地多地已出现感染新冠病毒后发生眼部不适的患者。上周,新冠病毒很可能存在眼部趋向性话题冲上微博热搜第一。
研究:新冠病毒可从肺部传播至眼睛
此外,在2022年12月12日,Nature(《自然》)子刊《Nature Communications》上就发表过一篇由澳洲格里菲斯大学和韩国化学技术研究院联合完成的论文。研究表示,新冠病毒可以通过三叉神经和视神经的神经元,从肺部传播至大脑和眼睛,导致眼部不适和视网膜炎症,严重的情况下还会诱发深度感知下降或视力丧失。

版权声明:本文为奈普格整理编辑,欢迎转发朋友圈,任何公众号或其他媒体转载须提前联系小编并注明“本文来源于【奈普格】(ID:NPG_China)。


免责声明:本公众号只为客户提供疾病资讯服务和健康咨询(非诊疗服务),任何关于疾病的咨询建议均为参考意见,不作为诊断及医疗依据;专业医学诊治问题请咨询医生或医疗机构,本公众号和咨询医师不承担由咨询行为引起的法律责任。
来都来了,用您的金手指在下边点个「赞」和「在看」再走嘛~~~

到顶部