【每日晨读】难以琢磨的小细胞肺癌



乌云后面依然是灿烂的晴天。——朗弗罗
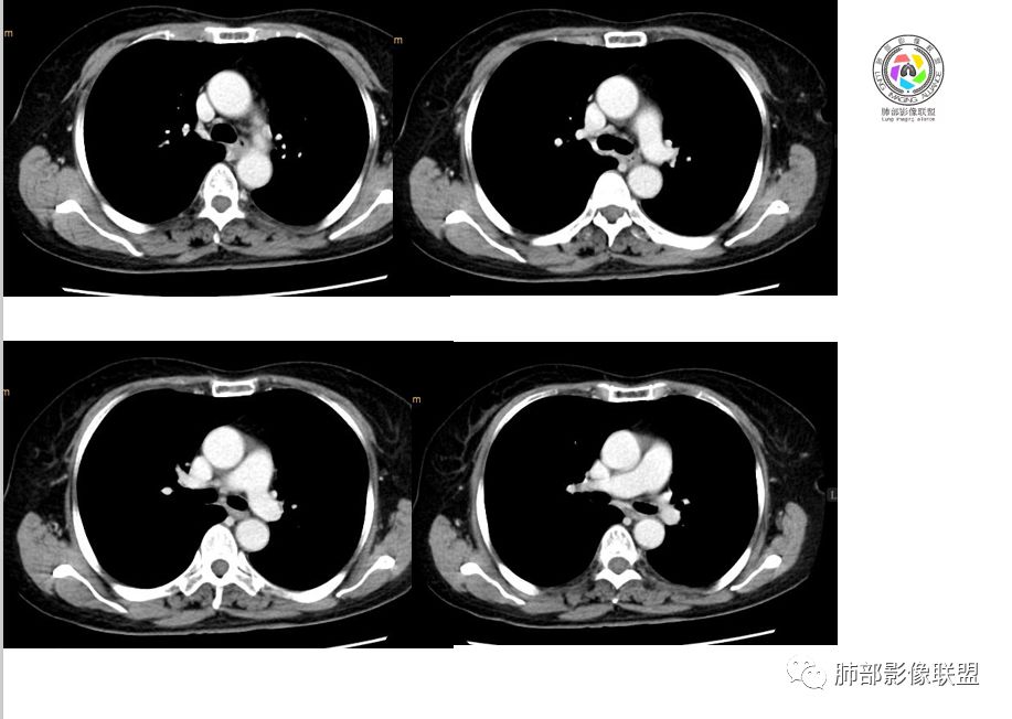
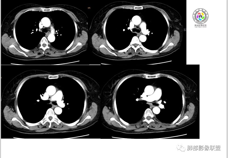
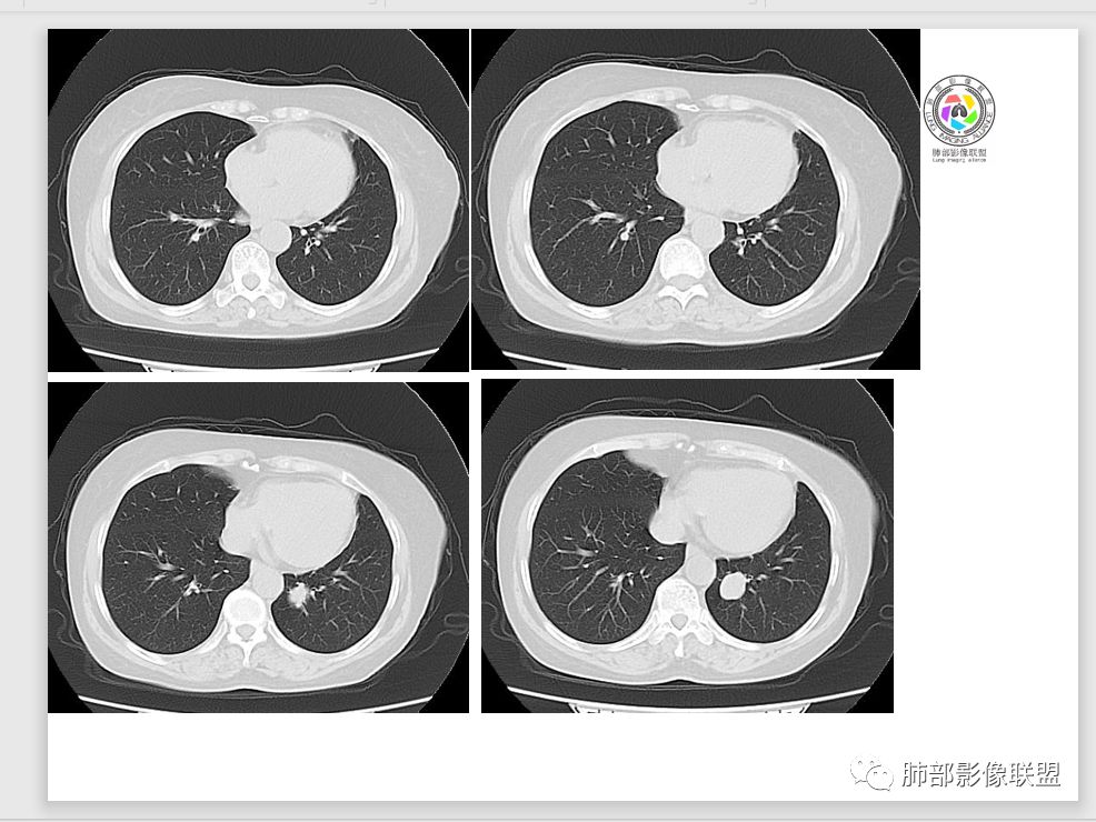
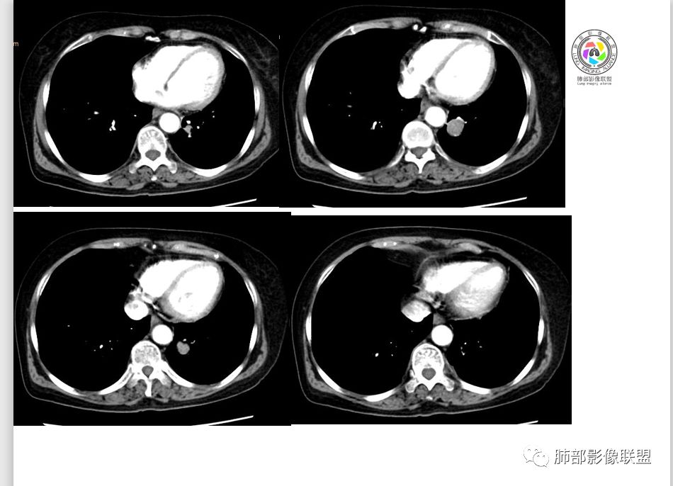
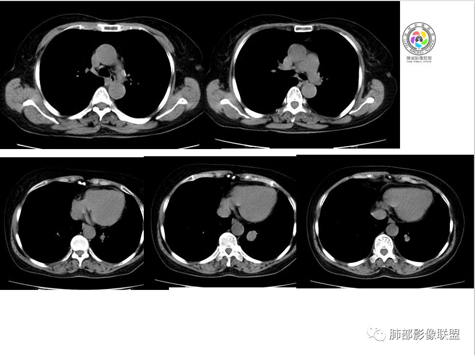
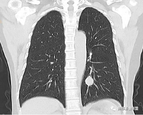
病例资料












群内讨论

Coke with ice:PSP?M-Imaging :良性,PSPShelia:左肺下叶肿块,边缘光整,有血管贴边征,支气管受压推移,延迟强化,考虑PSP?鉴别类癌。不除外恶性
左手:老年女性,无特殊症状,左下肺类圆形结节,边缘清晰,增强见血管贴边,明显强化,无深分叶,无钙化,考虑pspForever:晨读病例病变与血管关系密切 确实psp首先考虑,类癌,腺癌,纤维瘤不能除外没意见:PSP,类癌待排徐超:psp
支气管无关,圆形,光滑,贴别血管稍粗,磨玻璃晕(出血),强化中度,支气管旁疑推挤非阻塞……良性
小木:考虑psp妞妞:支持PSP德芙~云味:考虑psp红日东升:支持PSP崔刚:强化具体CT值忘了标注,轻度强化
这个图像目前就这么多了,医院近期更换PACS系统,我看不了图像了
都是换之前把有用的层面拷贝下来的
目前大家意见一致一米阳光:左肺下叶类圆形病灶,边缘清晰,密度均匀,无分叶毛刺等恶性征像,增强,病变明显强化,血管贴边支持PSP,鉴别类癌,后者弱强化,貌似有分叶南边:

崔刚:当时写报告看好像是支气管确实没堵,受压的改变。
横断位应该显示了这个支气管,当时记得特意考下来图了
M-Imaging :周围有黑边,错构呢?南边:如果明确没堵塞就好办这个最主要的就是这个支气管是否堵塞没堵塞,支持PSP杨泽锋:如果是气管腔内起源的那就要考虑类癌M-Imaging :不见明显冰山征,没有钙化南边:心里不是很踏实,就是没看到支气管全景Forever:强化如果不高 我还是考虑小细胞肺癌或者腺癌
崔刚:有个层面支气管在病灶周边Yiren  Sishui(厶水伊人):其实就是PSP与类癌的鉴别M-Imaging :Forever:如果分不清结构关系了 这个时候强化还是有很大参考价值M-Imaging :周围有黑边崔刚:没有钙化和脂肪,张老师是不是考虑错构瘤?徐超:黑边是想说错构瘤M-Imaging :是啊滴水海:psp也可Forever:不像 觉得ct值有点高。一般错构瘤ct值低于20,没有钙化
滴水海:有黑晕更支持pspM-Imaging :黑边代表局限肺气肿错构瘤,应该和血管没有关系,这例血管贴近毛勤香:考虑PSP或错构瘤,类癌代排南边:我的判断原则:支气管无关——良性、间叶来源良性,强化明显——PSP,尤为明显——糖瘤,不明显——错构瘤
结果分析

Shelia:隆突下没看到肿大淋巴结呀南边:那就是支气管应该是堵了。图少了一点
wonderful:纵膈有吗徐超:隆突下没有肿大淋巴结。思路没问题,主要还是支气管的关系。还有CT值,有测量值最好。强化不同疾病范围不同,虽然有叠加Coke with ice:这个病灶好像有浅分叶,是否有鉴别意义呢南边:可能绕过去了。浅分叶没什么价值,深分叶有Forever:动脉期强化不太均匀 而且ct值不高我觉得有提示意义
M-Imaging :PSP强化应该达到一百多吧
张立:psp不是也有强化不高的
妞妞:有,看成分
张立:看成分了。这个部位的小细胞怎么看
毛勤香:好病例,学习了!没注意看淋巴结
那个人:
徐超:不一定,看psp处于那个期,如果硬化期或纤维化期,强化就不一定高。
强化特别高的,一般处于血管瘤样区为主
Forever:还得结合临床 psp中年女性多见点
张立:@徐超,曲周县医院影像 小细胞与支气管什么关系?
而且这例没看见肿大淋巴结
M-Imaging :淋巴结肿大的也不明显。下次看见,还是考虑良性
徐超:小细胞侵袭性强破坏相对没有其他癌肿强,血管和支气管破坏较晚。强化也较弱。截断罕见,阻塞的也很少,一般挤压狭窄多。
Yiren  Sishui(厶水伊人):


这个算不算腊肠尾巴?
宇宙星空:小细胞还是支气管堵塞的多吧。那个好像是血管吧。
M-Imaging :对,PSP不强化的,会有钙化,营养不良性钙化,小的PSP,强化还是很明显的
张立:高老师,小细胞起源在哪?
大雄:K细胞支气管黏膜
所以按理支气管会堵。小细胞癌,转移不明显的,不看薄层很难诊断,容易漏诊误诊。有的时候看到转移了,我找原发灶都找不到
Forever:崽大
徐超:哈遇见找不到原发的不少,确实肺门区和转移分不开
本例点评:
1.肺内如此大小的周边较光滑的孤立结节影或块影,密度较均匀的,一般会想到硬化性肺细胞瘤、错构瘤、小细胞癌、大细胞癌、类癌,以及单发转移灶等。
2.边缘光整,坏死不明显,未显示阻塞性炎症或不张,女性患者,肺鳞癌不支持。
3.缺乏典型深分叶及毛刺,强化不显著,似乎也缺乏肺腺癌的影像学特点。
4.未见脂质密度及钙化,强化程度等均不支持错构瘤。
5.同样病灶轻到中度强化也不支持类癌及大多数的硬化性肺细胞瘤(血管瘤样区为主)。
后者不能排除,毕竟不是所有的硬化性肺细胞瘤强化都那么显著。
6.转移瘤缺乏相关临床支持。
7.病灶的形态及强化程度都不能排除小细胞癌及大细胞癌,纵隔尤其是隆凸下未见增大淋巴结似乎不符合小细胞癌等的生物学行为。
 
未解之迷有:
1.图片未能提供病灶与支气管的确切关系,支气管截断有助于大细胞癌或腺癌的判断,管腔狭窄有助于小细胞癌的判断。
2.CT扫描到手术病病理相隔多久?影像并未显示隆凸下增大的淋巴结。
3.图像显示的结节影,它一定是该患者小细胞癌的发祥地吗?外围存在隐匿病灶吗?可惜我们没有更加全面的资料,殊为憾事!
更多内容请参考王兆宇老师讲座《小细胞肺癌的病理影像分析》小细胞肺癌的病理影像分析
编辑:张  立  冯连彩
审核:徐  晓
到顶部