【每日晨读】肺良性小肿瘤竟然截断支气管,您见过吗?


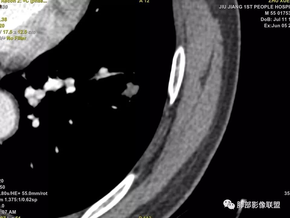
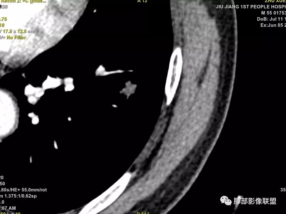
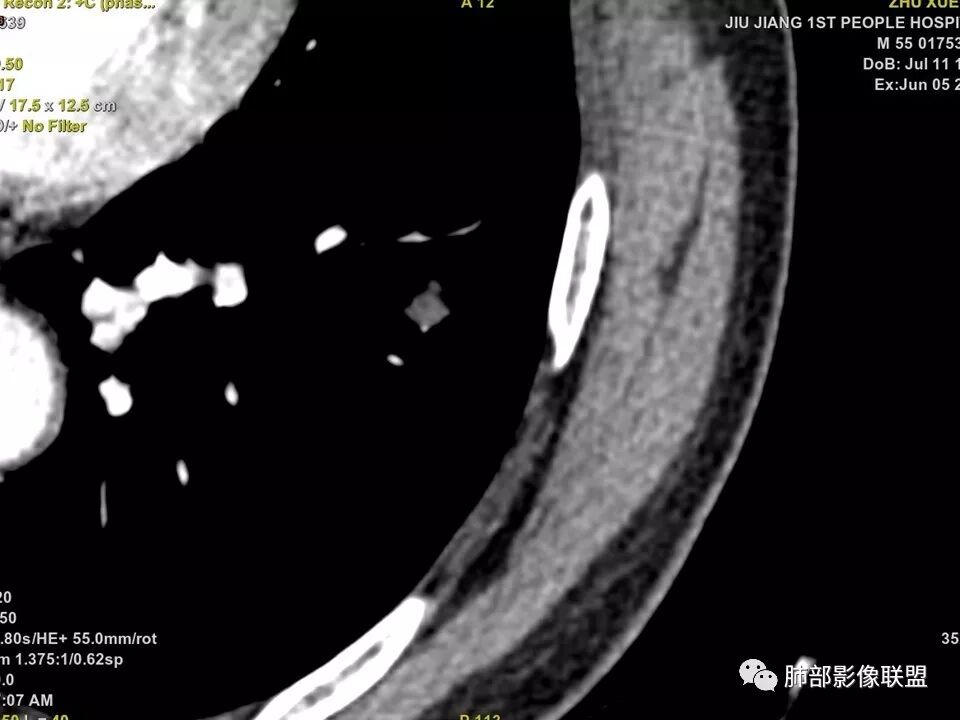
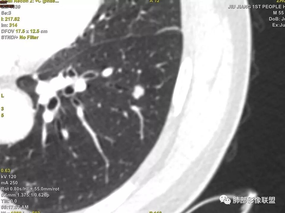
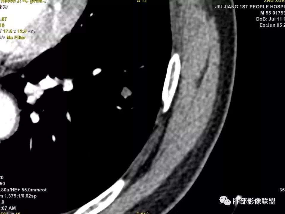
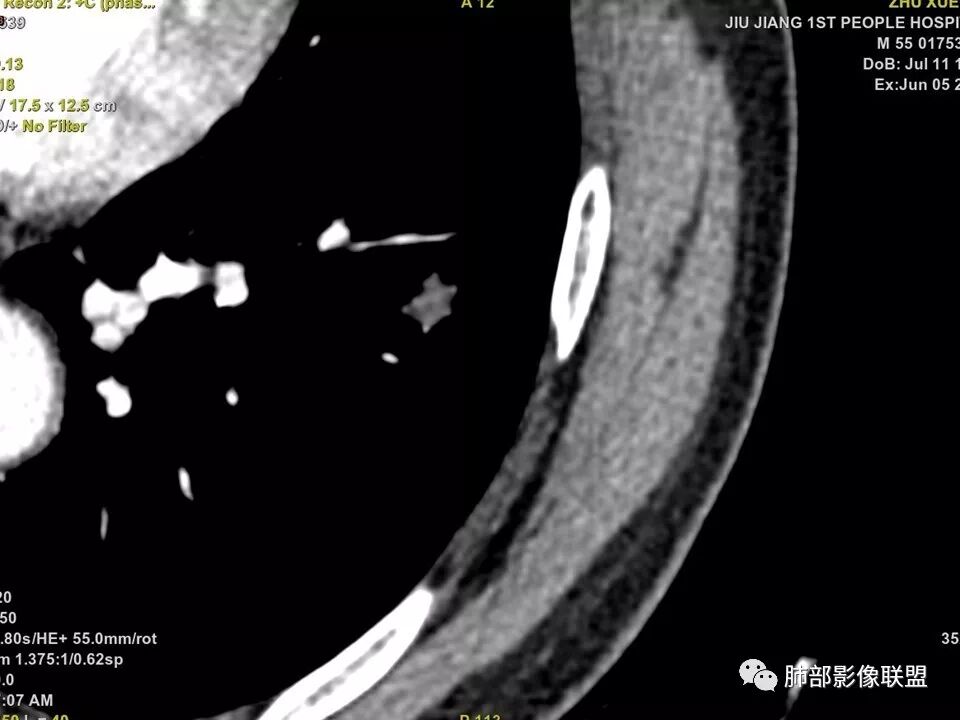
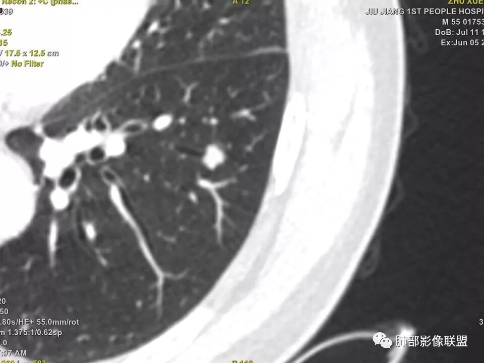
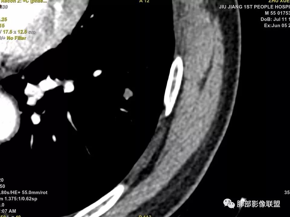
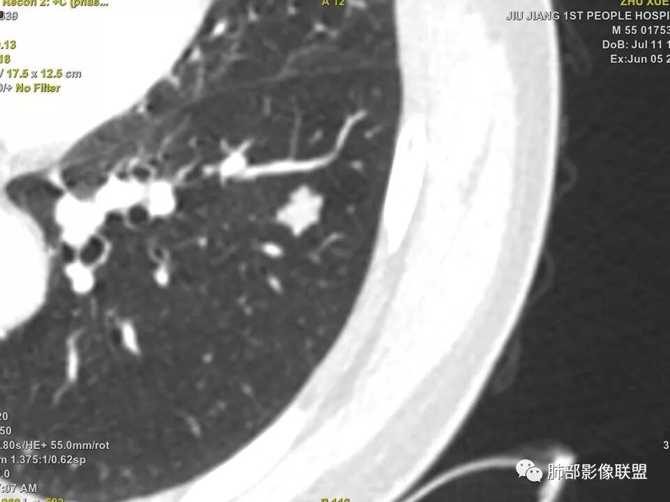
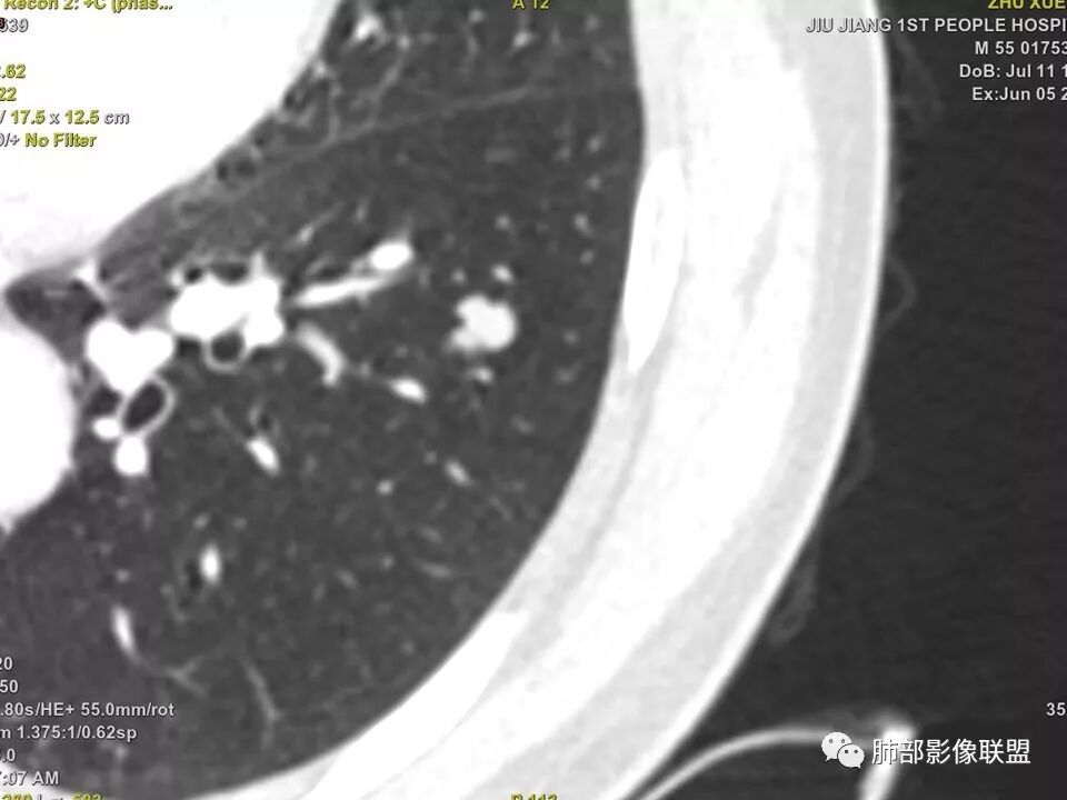
病例资料
(九江市一医院影像 於雄老师病例)
































群内讨论
黄云开
分叶,支气管截断,腺癌?
马宁强
分叶,支气管截断,无磨玻璃,供血动脉,鳞癌,鉴别,低分化腺癌
冯彩莲
中年男性,左肺下叶不规则实性结节,有分叶及棘状凸起,支气管截断,轻度不均匀强化,考虑鳞癌,鉴别炎性肉芽肿。
凝睦
多结节融合,密度低,结核要考虑
寒江雪
实性结节,深分叶,支气管截断,考虑腺癌。只是强化有点低。鉴别:肉芽肿病变。
彭君
左肺下叶前内基底段结节 深分叶和脐凹 表面部分膨隆 部分收缩 支气管截断 轻度强化 中央有坏死 考虑鳞癌 鉴别炎性结节

图像做的真漂亮 倾向鳞
红日东升
中年男性,支气管门口截断、邻近支气管未见管壁增厚,分叶明显,边缘彭隆,内见小坏死灶,周围未见GGO,考虑周围性鳞癌,鉴别炎性肉芽肿。
张玉
不规则状,有分叶,密度不均匀,支气管截断,考虑恶性
M-Imaging
病灶多结节融合,有分叶,也支气管截断,有细小血管连接,考虑恶性结节,周围型肺癌。
Coke with ice
鳞癌
崔少钢
分叶明显,表面凹凸不平,支气管截断,支持恶性。强化差一些,内有低密度,可疑一下。
丁啸
边缘有光滑,有圈黑晕,强化弱,似乎有脂肪密度,支气管截断的部位很自然,没有鼠尾状狭窄,考虑软骨型错构瘤?
这个支气管开口位置,如果是肿瘤应该有管壁浸润,也应该有膨胀感,这个没有,不像恶性肿瘤的支气管截断
THINKER
病灶部分平直丶内收,有脂肪密度,不强化支持错构瘤。部分病灶有结节堆积感,分叶,与支气管、肺动脉关系密切,需鉴别腺癌。不强化进一步结核结节。
wonderful
病灶呈收缩形态 感觉炎性 虽支气管截断。但是是小支气管并非大的支气管 倾向良性病变
雪狐7305
中年男性,左肺下叶不规则实性结节,有桑葚感和分叶,支气管截断,不均匀强化,有坏死,考虑鳞癌可能性大。
凯、KAI
支持癌
王萍
边缘分叶膨隆,这么小的结节支气管就截断了,首先考虑鳞癌
三生石上
边缘平直,部分内收,考试炎症
张延军
左肺下叶前内基底段结节,轮廓凹凸不平,局部边缘平直,密度不均,近段支气管阻塞,增强前后CT值无明显变化,考虑肉芽肿,结核?腺癌代排
张帅
左肺下叶前基底段结节,病灶边缘分叶,边缘平直,u型征,可见气管截断,增强可见病灶边缘血管,平扫ct值低,轻度强化。考虑良性病变。
那个人
支气管截断,边缘有收缩膨隆,分叶但毛刺不明显,无强化,小病灶内坏死,周围有卫星灶,考虑炎性肉芽肿,鉴别癌
支气管截断?坏死不是太清楚,有局部膨隆,分叶
大雄
这个病例要特别关注增强前后ct值
Ao..葉偲雨!
左下肺前内基底段结节灶,边缘分叶,相应支气管截断,增强后轻度强化,中央可见坏死。考虑麟癌。
食客
左肺下叶结节,凹凸不平,密度不均,近段支气管阻塞,增强轻度,结核?腺癌?
王秀仙
左肺下叶不规则实性结节,边缘平直收缩,轻度不均匀强化,考虑炎性肉芽肿。
紫气东来
左肺结节,分叶,支气管截断,轻度强化,腺,鉴别结核

气腔内结节,其内可见脂肪成分,强化不明 I'm显,错构瘤不能除外,需要定期观察除外恶性
如果是鳞癌,这么远端的支气管较少出现中央大气到的鳞癌征象,而且鳞癌强化明显
远端支气管鳞癌,支气管壁增厚明显
睡神-阿豆豆
有分叶,有支气管阻塞,定性恶性肿瘤可比较大。

左肺下叶结节,边缘分叶,支气管阻塞,轻度强化,考虑恶性肿瘤
Shelia
晨读病例,强化值小于20,还是提示良性,感觉支气管截断是坑,所以考虑错构瘤?肺癌待排
南边
大家说说思路,恶性?良性的依据?
波波
考虑错构瘤
Shelia
边缘平直,主要强化值小于20,说明基本不强化,提示良性
张小兵
实性结节,以收缩为主,强化弱,支气管截断面呈凹面,浅分叶,肉芽肿性炎
张延军
支气管截断,结节轮廓凹凸不平,密度不均,无明显强化,部分边缘呈平直征,考虑结核性肉芽肿,腺癌代排
南边


南边
支气管堵了,良性肿瘤一般不考虑
老曹
鳞癌首选
吴婧
支气管堵塞,有分叶,膨隆,考虑肺癌
强化低是粘液成分还是坏死,均有可能,腺癌鳞癌均有可能,这个交给病理,我们做的就是先考虑肺癌,建议手术。
鉴别,错构瘤,似乎支气管是堵塞,图片做的很好,挺赞的。然后结核球呢,会与支气管通吗?
这种小的,小细胞我也见过,所以定类型还真的有一点悬,这种强化也许鳞癌会比较多。

没见过结核通的,结核支气管壁也不厚
飞鹰行动
结核通的也不少
这个病灶有张力,有收缩,不能排除恶性
甄德强
别的肿瘤可以堵塞
结果


群内讨论
南边
让我去分析,我还是会把恶性放前面,因为支气管堵塞了,除非是假象
大雄
不是假象,是真的堵了,我工作站薄层做了气管曲面重建,仿真内窥镜也显示堵了
南边
比较少良性的,这个病例好,建议大家收藏,以后做鉴别时拿出来,我觉得就需要这些来纠正自己的观点,但是这样的病例属于罕见
注意软骨瘤并非错构瘤,附作者补充:
大雄
也咨询了病理科老师,肺软骨瘤来源于支气管透明软骨,理论上可以从黏膜下,突向支气管腔内生长,对支气管造成压迫性的阻塞。影像上和软骨瘤样错构瘤没法区分
病理区分就是看肿瘤组织内是否含有支气管纤毛柱状上皮细胞,有就是错构瘤,没有就是软骨瘤。但是软骨瘤压迫支气管的时候,可以被纤毛上皮包绕,这时候区分有困难的话,需要做基因检测。但是因为没有临床意义,所以一般都不会去做。除非是搞研究
软骨瘤小知识
    发生于肺实质内的软骨瘤非常罕见,发病率仅占肺肿瘤的0.04%。肺软骨瘤是良性肿瘤,但该病变存在恶变的可能,且肺软骨瘤患者常合并 Carney's三联综合征。Carney's三联综合征由肺软骨瘤、胃肠道平滑肌肉瘤和肾上腺外的功能性副交感神经瘤组成,出现任意2种肿瘤或者3种均出现即可诊断该综合征。最近的研究表明,在 Carney's三联综合征中,软骨瘤主要见于年轻女性。由于胃肠道平滑肌肉瘤和肾上腺外的功能性副交感神经瘤有潜在的致命危险,因此对于<35岁的肺软骨瘤患者,特别是女性患者,发现后需要完善相关检查以除外Carney's三联综合征。由于3类肿瘤往往不同时间出现, 后发的其他类型肿瘤间隔较长(平均8年)。因此肺软骨瘤患者完善腹部检查后需长期随访。       
     肺软骨瘤起源尚不明确,理论上推测其来源可能为:(1)异位的软骨组织,在胚胎发育时残留在肺脏;(2)其他组织的软骨细胞伴随血流进入肺内;(3) 结缔组织、纤维网细胞在一定条件刺激下向胚胎原始方向分化,生成软骨细胞,生成软骨组织。病理切片镜下所示肿瘤由分化成熟的软骨细胞构成,周围包绕软骨基质,软骨组织可为纤维软骨、透明软骨或弹力软骨,也可以各种软骨混合存在。
     肺软骨瘤好发年龄40~50 岁,男女发病无明显差异。多位于两肺外带,右肺多见。无明显临床症状,常在体检时偶然发现。若病灶发生于大支气管壁或病灶较大压迫支气管时(少见)可引起刺激性咳嗽、咳痰等症状。
     典型CT特征包括:(1)圆形或椭圆形边界清楚的病灶。(2)大小1~4cm,有轻微分叶改变。(3)较均匀的软组织影,多伴有钙化。(4)无毛刺,卫星灶及肺门或纵隔淋巴结肿大。(5)CT增强扫描无强化或轻度强化,其强化可能与软骨瘤间质中的薄壁血管或周围慢性炎症反应有关。
      鉴别诊断,主要是错构瘤。错构瘤是肺内最常见的良性肿瘤。错构瘤内常见“爆米花”样钙化,而软骨瘤钙化则多呈点状或环状钙化。病灶内脂肪密度影是错构瘤的特异性征象,而软骨瘤内无脂肪成分。此外尚需要与肉芽肿性炎、硬化性肺细胞瘤、肺癌、转移等鉴别。
参考文献:
1.王鹤翔,李杰,陈艳艳,等.肺软骨瘤的CT诊断[J].实用放射学杂志,2019,35(3):371-373.
2.汤海飞.肺软骨瘤1例[J].实用放射学杂志,2019,35(2):340.
编辑:王萍  冯连彩
审核:徐  晓
到顶部