【每日晨读】经典再现—肺炎克雷伯杆菌肺炎






立夏
蝼蝈鸣;蚯蚓出;王瓜生。




病例资料



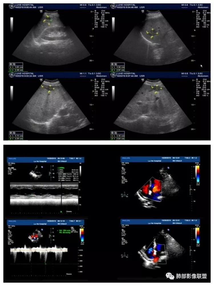
腹部B超及心脏彩超

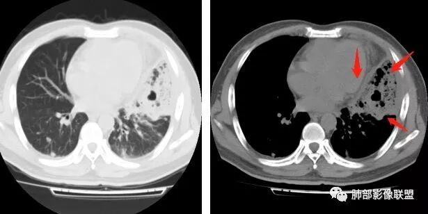
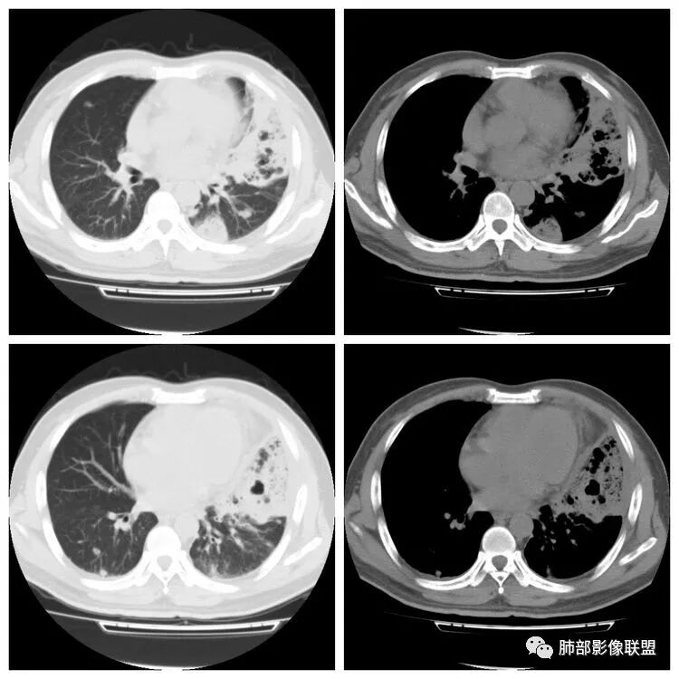
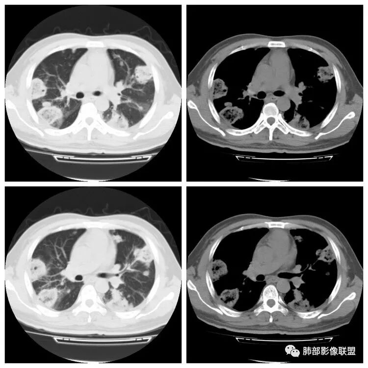
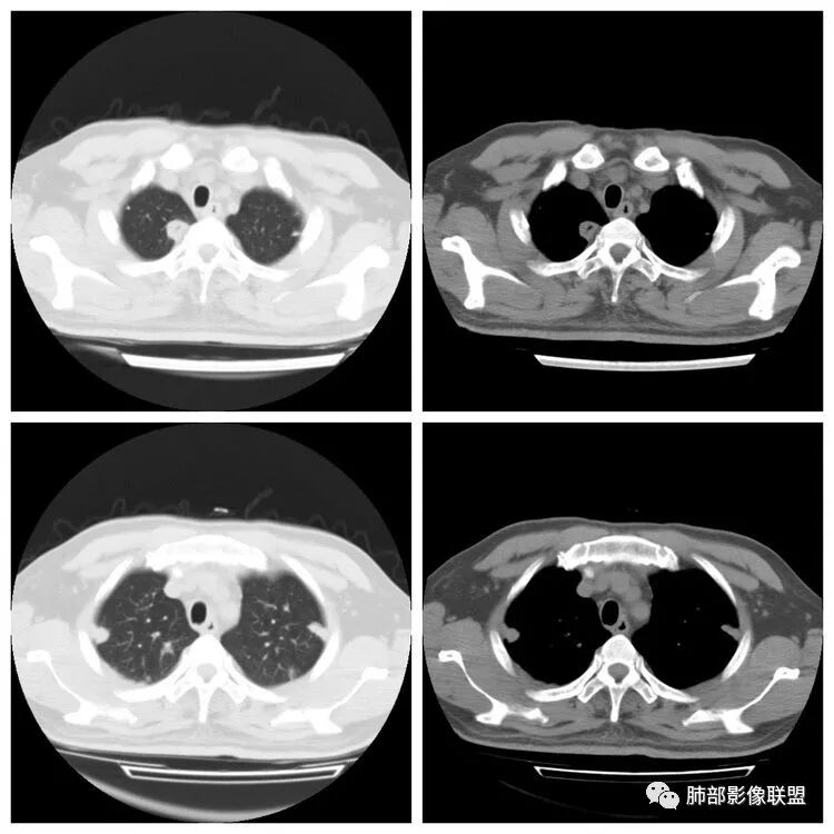
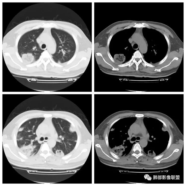
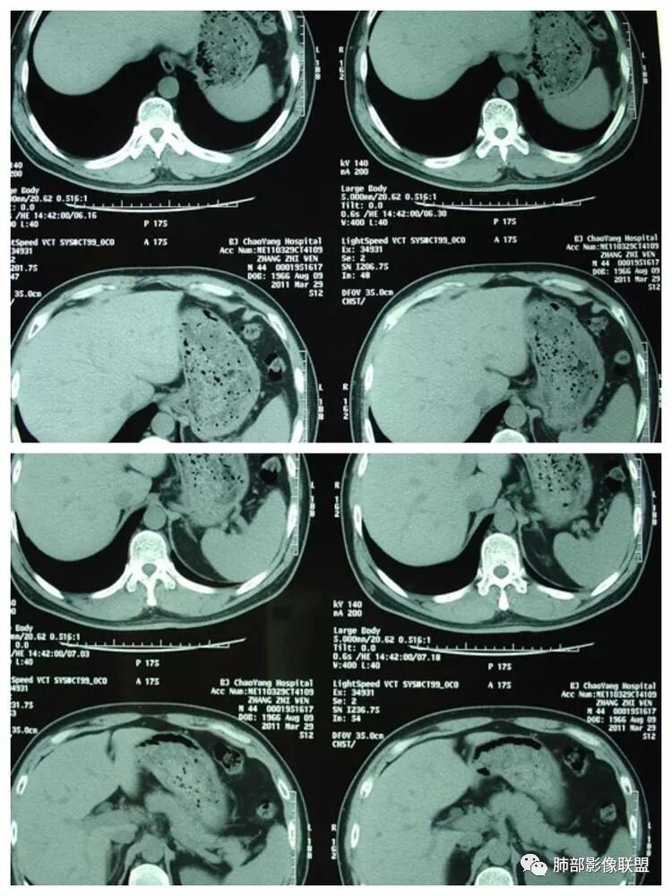
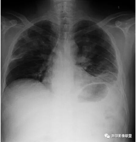
胸 CT





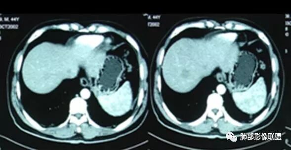
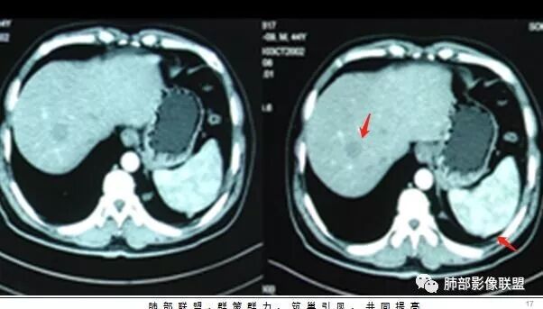
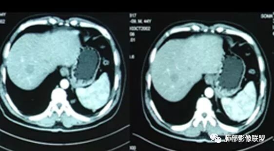
腹增强CT





群内讨论
极乐鸟:双肺多发,胸膜下多,晕+反晕,考虑真菌 偏向毛霉。肝脏病灶,一元考虑?
子宫肌瘤也可有肺部转移! 
Lotus:不能除外肺炎克雷伯三生石上:考虑真菌丽:双肺胸膜下散在结节状及斑片状高密度,密度不均,伴反晕征,首先考虑炎性病变,曲霉菌可能大Shelia:双肺多发结节,大片实变还有胸膜下楔行影,以胸膜下分布为主,有晕和大反晕,左肺实变区有空洞空泡,叶间裂下坠,结合病史,考虑感染,支持血源性感染,说明病原菌有嗜血管,结合肝内病灶,会不会是真菌合并细菌感染,毛霉或曲霉合并肺克?THINKER:急性起病,2DM,蛋白低,CT:双肺多发结节`斑片影,胸膜下为主,伴反晕征,与血管关系密切,考虑血源性,CT肝低密度,首选糖尿病→肝脓肿→肺克,鉴别毛霉。
王秀仙:双肺多发结节及结块影,边缘清晰,呈反晕征,左肺上叶大片实变,密度不均,下缘膨隆,其内可见残留肺组织,肝脏可见低密度,考虑肺克。鉴别毛霉。崇军:高热,感染症状,影像多发结节,反晕征明显,糖尿病,真菌放在第一位,杰克金毛,毛霉菌可能。Yiren Sishui(厶水伊人):肺克,鉴别毛霉菌感染;一米阳光:中年男性,急性起病,双肺散在结节状及斑片状高密度影,以胸膜下明显,没有坏死,密度不均,考虑血播来源,肺克可能,鉴别,金葡,曲霉毛勤香:双肺多发结节斑片状影,呈反晕征,左肺上叶舌段大片状影,叶间裂下坠,糖尿病患者,急性起病,考虑感染性变,首先肺克,代排真菌类曲霉毛霉等,肝脏也有病灶,一元论。小景:糖尿病、肝脓肿?肺内多发结节,反晕,与血管关系密切。考虑肺克。 
玫:双肺内及胸膜下多发簇壮病灶及小结节影,左肺上叶见实变影,考虑感染性病变可能。导管冯:两肺外围分布多发楔形影,病灶来源于血管,考虑感染性病变,糖尿病史,真菌感染可能性大;小微:糖尿病病史,金毛结克,肺内多发结节,结节内见丝状物,反晕征,与血管关系密切,考虑霉菌感染。结合肝脏病变,待除外肺克。山河:有糖尿病史,支持真菌累感染,肺内多发结节呈反晕征样改变;若尘:两肺多发结节,反晕,糖尿病史,首先考虑毛霉,鉴别肺克,肝脏病灶图像增强不像脓肿,可惜没静脉和延迟期
没意见:急性病程,糖尿病史,血象肝功异常,肺内病灶外周,胸膜下分布,空洞坏死,壁厚反晕,滋养血管,肝内似有脓肿,考虑血道感染,肺克,不除外毛霉采莲:中年男性,糖尿病史,血糖较高,急性起病,血象高,双肺胸膜下多发楔形实变影,有空洞,内有内容物,左下肺大片实变影,内有坏死空洞影,肝脏有低密度影,考虑血播肺克并肝脓肿。张秀兰:糖尿病患者,肝脏与肺同发感染,经典的肺克大雄:急性病程,临床感染症状,影像两肺多发空洞反晕,符合急性化脓坏死性炎症考虑放线菌?金葡菌?食客:糖尿病史,双肺内病灶外周,胸膜下分布,壁厚反晕,肝脓肿?考虑感染,肺克可能阚:血管源性,肺克?平安是福:病灶有反晕淘时光:中年男性、糖尿病酮症酸中毒、急性病程,双肺胸膜下多发结块影、左肺上叶见片状实变影,内见反晕征,肝脏见结节影、强化似乎不明显,首先考虑曲霉感染、鉴别肺克。 平安是福:
我发一例毛霉病例

食客:糖尿病史,双肺内病灶外周分布,反晕,考虑感染,毛霉?肺克?红日东升:糖尿病,双肺胸膜下多发肿块、楔形,肝脓肿待排,考虑血播感染,首先考虑毛霉,鉴别肺克。天涯:感染,肺克?初学者:我还以为熊大会说肺克长沟流月去无声:腹部那个是肝脓肿?先明确这个wonderful:腹部是普通囊肿吧?肝脓肿和肝囊肿如何鉴别?
若尘:腹部动脉增强不像脓肿没意见:肝功异常了,小心张立:增强后表现很明显,很好区别。初学者:我说实话那个腹部给的增强图片对比度调的不好不太像囊肿低密度和边缘不是非常清楚。但是图片给的不好,不是非常能肯定。wonderful:增强的话 脓肿壁会强化 这是鉴别点?初学者:对,但是有时候不会典型


征象分析
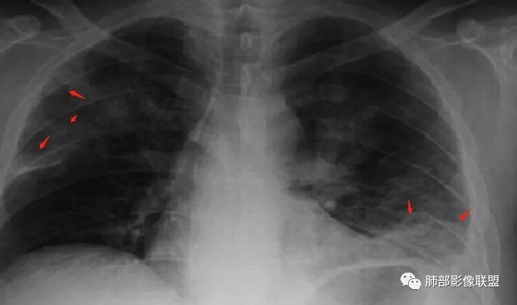
南边:患者男,44岁,以“发热1周伴咳嗽、咳痰3天” 入院。现 病 史:患者入院前1周无诱因出现寒战、发热,体温最高410C,伴肌肉酸痛、恶心、呕吐,就诊于我院, 血常规示白细胞及中性分类增高,予头孢呋辛静点1天,并口服抗生素等药物治疗。患者仍有发热,入院前3天出现咳嗽、咳暗红色血痰,伴左侧胸痛,咳嗽时加重,查胸片后收入我科。初学者:就是脓肿的话,也是坏死。然后肉芽肿边缘的壁;早期的话,它不会形成那种中央坏死壁强化的这种典型表现,但是它的特点是它很快会变化,所以有的时候不是很确定的时候,可以看那个随访。有没有高热,一般会这样判断是不是囊肿。但这个人因为肺部本身有病变,所以说,肝内的这个病变就没有办法鉴别了,那可以看一下他随访有没有变化,这个可以判断囊肿,就是从CT上它的这个壁,有的时候不是很好看,尤其是他脓肿,它形成的话,它有几个期。期不一样,它的壁的厚度、中间的坏死都不一样,所以有的时候它并不是特别的均匀,一般囊肿的话呢,我们会觉得它的分界跟周围的分解和非常的清楚,因为囊肿它是真壁。
南边:发热一周,高热糖尿病病史好像支持肺克雷伯杆菌感染



南边:胸膜下,类圆形,边界清,内有坏死,典型的反晕征,支气管壁增厚不明显,支持血道来源脓毒栓子所致梗死、感染
血道来源没问题
左下叶大片类似病灶

肺克雷白杆菌——砖红色痰
脾大,肝内结节中央似有点状血管通过,炎性可能
初学者:  
就是比如说肝癌吧,是那种假的包膜,得长得长,然后他把周围的行为包给压破了,形成了一个假包膜,那种假包膜一般会比较厚,再延迟的话会有一个强化,前期的话强化可能比较低,这是它一个它特点,但是像就是血管瘤、囊肿这种,它是真包膜,非常的薄,在CT上是看不到的。但是它的一个作用就是使得它跟周围的分界非常的清楚,但这个病人呢,它分界的有一点不太清楚,里面的密度又不是很像囊肿那种非常低的密度,囊肿里面也可以合并出血、含蛋白的成分,这成分也可以不同,所以有的时候。它会有一种模棱两可的状态,当那个脓肿发展的时候,他的壁没有那么厚的时候。或者是当囊肿,伴有蛋白。
南边:

但不是典型的脓肿南边:综合临床,影像,肺部是血道来源感染,肺克雷伯杆菌肺炎放前面。毛霉菌待排吧没意见:低蛋白、ALT异常可能间接提示肝脏问题go and see:这个肝脓肿确实不够典型多少。初学者:
它中央密度不会那么低,分界的话,有的时候看到模棱两可,所以说,我觉得不要一拍定死,就是看到这个,你就马上考虑囊肿或者是脓肿,我可以说它不是绝对不是一个典型的脓肿,但是,但也完全不能排除,所以第一个办法就是立刻就是随访,第二呢,实在是现在就想知道可以做磁共振,磁共振的话,脓肿的脓液是会弥散受限的,DWI是高的,水是低的,这个是一个非常好的办法,可以判断。
李亚:
下面是一例几乎一样的肺克:


南边:反晕征是毛霉菌的特点按理单从影像:毛霉菌更多符合因为细菌性的特点:液气平面,囊,这个没出现
结果
血培养:肺炎克雷伯 杆菌1次痰培养:肺炎克雷伯杆菌3次
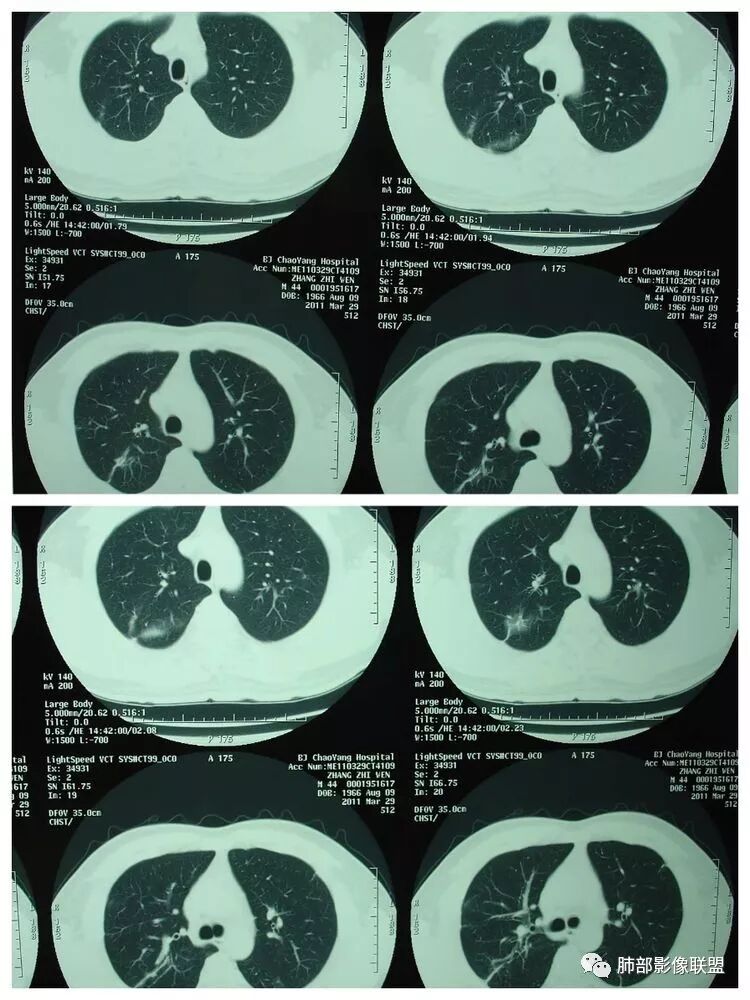
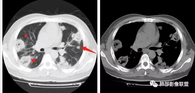
治疗后改变





诊断标准
肺炎克雷伯菌肺炎:
1)多有慢性基础性疾病或免疫功能低下
2)有肺炎临床表现,特别有棕红色胶冻状黏痰。
3)CT肺部有典型的影像学改变
4)血或痰培养肺炎克雷伯阳性
符合低1-3项可拟诊,加第4项确诊克雷伯肺炎。
肺克的影像表现(唐绍宏总结):分布:单侧上叶病变,以右肺上叶多见;患者长期卧床则双脚下肺后基底段分布(国外下肺多见,可能与平均寿命长,卧床及住托老机构多有关) ;如多叶段病变,则以肺上叶后段或下叶后基底段为最明显形态:气管壁增厚、磨玻璃、小叶实变、节段实变、大叶实变,坏死小空洞(直径小于2cm) ,少量胸腔积液50%、脓胸20%特点:早期气管壁增厚较明显、广泛,越靠近病灶越明显,越靠近肺门越明显,见于实变病灶外,偶尔见于磨玻璃影内(支气管通气征) ;未经抗生素治疗,实变病灶内无支气管通气征;早期即可出现坏死,无论坏死还是空洞,绝大多数直径小于2cm (可能与此菌有厚夹膜有关,参考隐球菌)
               编后的话:
1.肺炎克雷伯杆菌肺炎属经典的院内感染代表之一。住院病人口咽部带菌率高达20%,长期卧床加之某些抗生素的使用,都应当使临床医师警惕肺炎克雷伯杆菌肺炎。
2.本例应当属另一经典感染途径,肝脏感染,双肺脓毒性肺炎。大家都注意到患者的基础疾病,糖尿病。
3.相对于一般的社区肺炎,肺炎克雷伯杆菌肺炎病灶更易形成脓腔,更易于侵及其他肺叶。
4.本例肝脏的病灶并未出现典型肝脓肿图像特征,病灶密度及中央血管样结构显然不符合一般的囊肿。应当说,它是感染灶,但并未液化形成脓腔。


编辑:周乔友 龙   辉
审核:冯连彩 徐   晓

到顶部