【每日晨读】易错的纵隔淋巴结肿大:淋巴瘤or转移?



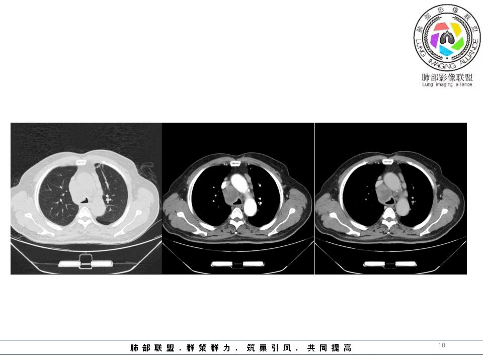
病历资料



















  














讨论部分
小溪流:中纵隔、左肺门多发肿物,均匀强化,气管、支气管受压,考虑淋巴瘤可能
平安是福:纵隔及肺内多发淋巴结肿大,部分融合,部分淋巴结内可见坏死,环形强化,考虑淋巴结结核,鉴别淋巴结转移。
淋巴瘤不治疗坏死不常见
淋巴结确实大的害怕
左伯强巨野县北城医院:
结核。淋巴结坏死,周边强化曹志勇:纵隔及左肺门占位,周围组织受压移位,气管似有变窄明显不均匀强化,考虑恶性,淋巴瘤来源可能大云荼:纵膈及左肺门区肿物,呈环形强化,其内有坏死,左侧气管支气管受侵变窄。考虑恶性,淋巴瘤可能性大,不除外结节病?
春秋:左肺门及纵隔多发肿大淋巴结,强化示不规则坏死,坏死边界不清,左主支气管管壁不规整!整体考虑恶性病变,转移可能性大!
赵:左主支气管结核,伴纵隔淋巴结结核
陈学君:左主支气管壁环周增厚,不除外恶性病变
小微:纵隔多发淋巴结淋巴结肿大,增强扫描无明显强化。左肺门淋巴结肿大,颈部及锁骨上区淋巴结肿大,考虑淋巴瘤。鉴别诊断转移瘤。
紫气东来:纵膈多个淋巴结肿大,坏死,左肺门大,综合考虑转移,鉴别,淋巴瘤,结核
张玉:晨读:体表多发淋巴结肿大,纵膈淋巴结肿大伴融合,压迫气管,左主支气管狭窄,气管镜下可见狭窄,考虑淋巴瘤
wkj:纵隔及左侧肺门淋巴结肿大,不均匀强化,非环形,肺内多发小结节,全身多处淋巴结肿大。气道受压明显。考虑恶性,转移?淋巴瘤?
RockJ-ason:老年男性,纵隔多发淋巴结,淋巴结强化特点是环形强化,左肺支气管增厚狭窄,结核虽然淋巴结强化有些像,但是有点太多了,综合考虑恶性,并且感觉周围肺血管有破坏,破坏力强,肺鳞癌可能性大
张新:镜下表现考虑恶性多一些,鉴别结节病。不支持结核:结核的病变有溃疡坏死和肉芽肿,都不像。结节病也有这种表现。
B数:纵隔及左肺门多发淋巴结,可见坏死,部分融合,气管镜可见粘膜粗糙,隆起,考虑恶性。
wonderful:纵膈多发淋巴结肿大 2、4组融合 支气管镜下图像符合结节病
支气管镜镜图像  但确实外压厉害 有一点恶性的感觉 
RockJ-ason:结节病一般中老年女性,淋巴结坏死少见,一般中度均匀强化平安是福:结节病属于非坏死性肉芽肿呀
肺内病灶不符合肿瘤特点
肺内还有间质性改变
心灵鸡汤:左肺上叶条状斑片影,纵隔2 3 4 5 6 7 10 11组多发淋巴结肿大,增强后中央坏死区不强化,边缘见强化,邻近气管受压变窄,偏向恶性,左上肺腺癌并淋巴结转移可能,淋巴瘤?巨淋巴细胞增生?继发性结核?请各位老师指点
小景:左肺舌段支气管狭窄,纵隔及左肺门多发肿大淋巴结,部分坏死环形强化。考虑肺癌淋巴结转移。鉴别支气管内膜结核。
王秀仙:纵隔及肺门多发淋巴结肿大,部分淋巴结内可见坏死,环形强化,气管受压变形,左肺门淋巴结较大,压迫上叶支气管开口,左上肺可见条索,考虑淋巴结转移。鉴别结核。
空帆船:考虑淋巴瘤可能
秋实:老年男性,气管及右主支气管管壁偏心性增厚,呈半包围结构,气管受压变窄,病灶大部分位于气管壁外,密度不均匀,强化不明显,中间坏死,纵膈及锁骨上多发稍大淋巴结,考虑恶性肿瘤。腺样囊性癌?不典型类癌?左肺上叶纤维灶,支气管壁增厚扩张鉴别淋巴结结核!
一切∮随缘:左肺门肿块,堵塞左主支气管,呈杯口状,边缘清楚,平扫密度均匀,增强后轻度渐近性强化,其内似有低密度坏死,纵膈淋巴结肿大明显,考虑1:结核(里面有坏死,薄环状强化)2:类癌(明显强化,此例强化不明显)3:CD(强化较弱,一般不堵塞支气管,不符合)4:淋巴瘤(很少堵塞支气管)
一米阳光:纵膈及左肺门区肿物,左侧气管狭窄,右侧主气管受压,,呈环形强化,内有坏死,考虑恶性,小细胞,淋巴瘤可能,鉴别结核?
Yiren  Sishui(厶水伊人):纵隔及肺内多发淋巴结肿大,部分融合,部分淋巴结内可见坏死,环形强化,左肺上叶支气管阻塞,考虑肺癌并纵隔淋巴结转移
选择:纵隔及肺内多发淋巴结肿大,部分融合,部分淋巴结内可见坏死,环形强化,左肺侧支气管狭窄,考虑肺癌并纵隔淋巴结转移,鉴别淋巴结结核
俞丽:纵隔及两肺门区(左肺门为主)多发肿大淋巴结,部分融合,部分淋巴结内可见坏死,环形强化,考虑淋巴结结核,鉴别淋巴结转移。
虎爸:倾向于结核,待排鳞癌
了…☀:支气管右前方及左肺门肿块性,多考虑淋巴结,有融合,主气管外压改变,肿块密度不均匀,肺门旁支气管血管束增粗且光滑,沿支气管小结节影,颈部及锁骨上多大肿大淋巴结有融合,支气管镜下见粘膜肉芽肿,第一考虑结节病?排除肿瘤
食客:倾向鳞癌,鉴别结核
灵魂清零:纵膈及体表多发淋巴结肿大且融合,增强扫描明显强化,与血管间间隙消失,气管受压狭窄,考虑淋巴瘤,小细胞癌待排除!
Shelia:左肺门类圆形肿块,增强后明显不均匀环形强化,左肺上叶支气管截断,纵膈多枚肿大淋巴结,部分融合,其中增强后部分环形强化,上腔静脉受压扁,而且主动脉弓旁多枚肿大淋巴结强烈提示恶性,这个病例考虑左肺癌伴纵隔淋巴结转移,小细胞肺癌?鳞癌?鉴别结核
雪狐7305:左肺门肿块,侵及左主支气管,呈杯口状,边缘清楚,有轻度渐近性强化,其内似有低密度坏死,纵膈淋巴结肿大明显,纵隔淋巴结有坏死和环形强化,颈部亦有多发淋巴结肿大,考虑1:结核(里面有坏死,薄环状强化)2:IgG4(有浆细胞浸润)3:淋巴瘤待排
甘丽杏:双下肺近胸模可见散在间质改变,纵隔及左肺门区多发肿大淋巴结,部分融合,强化好淋巴结密度不均,结合B超淋巴结结构,考虑患者恶性肿瘤:小细胞和鳞癌首先考虑。间质性改变要考虑患者是否有鼻后滴漏综合症,考虑两元论
岁月:这个病例好,男性,62岁,症状2月,偶痰中带血。明显纵膈肿大淋巴结,超声颈部淋巴结,血流穿行。气管活检未见肿瘤细胞,炎性浸润为主。活检部位:左上叶、主气管粘膜。我们怎么考虑:1.小细胞肺癌,纵膈和左上肺病灶未提示,原因:原发病灶太小,没有活检到,小细胞按舟山理论首先不是支气管粘膜;不支持,坏死明显,尤其左肺门,转移常同侧,这例为颈部淋巴结都有。2.鳞癌,坏死符合,转移符合,分化符合,但活检不支持。3.淋巴瘤?4.结核?5.淋巴结增生症?
可芸: 
纵膈及左肺门区肿物,其内有坏死,左侧气管支气管受侵,考虑恶性,淋巴瘤,肺癌淋巴结转移?
左手: 
青年男性,无抽烟史,纵膈,肺门见较多肿大淋巴结,有强化,部分见坏死,气管支气管受压狭窄,支气管镜下见气管、左上叶支气管黏膜粗糙浸润,管腔狭窄,肺窗少许胸膜下磨玻璃影样改变,体表淋巴结肿大,考虑:小细胞肺癌,淋巴瘤,结节病 
管洪林: 
患者,男性,62岁,咳嗽咯痰2月余,半月前CT显示肺间质改变,CT肺窗左上肺斑片结节影,间质性改变,纵隔内多发肿大淋巴结,部分边界清晰,部分融合坏死,分析:1、病史较短,半个月,淋巴结融合坏死,结节病不首先考虑,2、没有冰冻纵隔,肿大淋巴结前纵膈不明显,淋巴瘤、小细胞肺癌转移不考虑,3、CD,一般肿大淋巴结,边界清晰,明显强化,一般无坏死,不考虑,结合临床,病史,纵隔多发淋巴结肿大,部分其内可见坏死低密度,左肺内病灶,气管镜,首先考虑淋巴结结核。
THINKER: 
多发淋巴结肿大常规考虑5种病:结节病,淋巴结核,淋巴瘤,转移癌,LCD。CT:纵隔多发淋巴结肿大,轻强化,伴液化坏死,融合不明显,部分对称分布,脂肪间隙清楚,支气管镜下多发结节样隆起,伴粘膜水肿
诊断:首选结节病,
鉴别:第一鉴别淋巴结核,轻强化丶坏死,颈部肿大,但肺内无TB灶,常见年轻人发病
2:淋巴瘤:上纵隔多见,融合`包埋血管,不支持
3:转移癌:未见纵隔型肺癌的淋巴结肿大丶融合丶脂肪间隙消失,及小c冰冻肺门、纵隔,但气道有压迫性狭窄,彩超淋巴结门消失,不除外转移癌
4:LCD:浆细胞型,轻强化,坏死不明显,不支持。
HP:
患者老年男性,咳嗽、咳痰2月余,左肺门及纵隔肿块,主气道及左主支气管受压、受侵狭窄,病灶界清,有强化,有坏死,对血管破坏力不大,颈部及纵膈淋巴结多发肿大,综合考虑淋巴瘤(坏死不大支持)、小细胞癌、鳞癌(破坏力不大像),鉴别肺结核(临床症状和破坏力不大支持)、CD、结节病 
张涛: 
中老年男性,纵隔及左肺门淋巴结肿大,部分可见坏死,结合颈部及锁骨上淋巴结肿大,1考虑恶性,转移瘤可能大,(坏死及年龄不支持淋巴瘤,2考虑结节病,会累及全身淋巴结 
崇军: 
老年人,纵隔及两肺门区(左肺门为主)多发肿大淋巴结,仅腔静脉后淋巴结融合,内可见坏死,环形强化,并压迫气管轻度塌陷(说明较硬),其他淋巴结增大,但无明显融合。矽肺首先排除,年龄较大,淋巴结无钙化,肺内无任何病灶,结核也不是。淋巴瘤一般融合明显,不治疗坏死少见。CD强化明显,坏死也少见,综合考虑只有转移了,原发灶需继续寻找。也可能二元论,坏死淋巴结为结核,其他淋巴结为不典型的结节病。
三生石上: 
考虑左肺门小细胞肺癌伴纵隔淋巴结转移 
丽: 
左肺上叶结节,伴少许间质改变,纵膈内及左肺门多发肿大淋巴结,中心坏死,超声提示颈部多发肿大淋巴结,支气管镜检多发炎性病变,需要考虑淋巴瘤,淋巴结结核,结节病,肺癌伴淋巴结转移,倾向结节病,淋巴结结核待排 。
长沟流月去无声: 
淋巴结的融合和强化,不太支持结节病,发病年龄和性别,也大了一些。同理,也不太支持MCD,按理淋巴增殖病变,坏死少,肺内应该有囊。淋巴瘤主要应该集中于前纵隔,也不应该有这样的环形强化伴不均匀坏死。所以集中在淋巴结核、肺癌转移和肺外肿瘤纵隔淋巴结转移上。淋巴结核从发病年龄和症状看,不太典型,往后方。肺癌和转移癌鉴别。左上那个是否小结节,不明确,如是小结节,支持小细胞癌转移。左主支气管腔内是否有占位,还是单纯淋巴结压迫致狭窄,看不清楚。总体看似乎肺癌转移可能大。肺外转移和结核待排。淋巴结活检以确诊。 
马宁强:

管洪林: 
病程显示半个月前CT只是显示肺间质改变 
没意见: 
老年男性,病史较长,咳嗽气短,偶有痰血,,查体右侧锁骨上淋巴结肿大,CT:左肺上叶前段索条,双肺散在结节影,左肺上叶后段可疑支气管树芽征,气管下段左侧呈外压性变形,双侧肺门淋巴结、纵隔淋巴结肿大,左侧肺门、4R尤为显著,低密度坏死,环形强化,大部分淋巴结形态饱满,相对孤立,未见融合,超声提示锁骨上结节有部分融合;气管镜气管下段新生物突入管腔,考虑结核 
红日东升:
老年男性,咳嗽2月,无发热。纵隔及左肺门多发肿大淋巴结,增强扫描部分环形强化,部分均匀强化。双肺少于索条、斑片灶。气管受累,左下叶支气管狭窄。超声提示颈部及锁骨上区淋巴结肿大。考虑恶性病变,转移瘤可能。
雪颜: 
纵膈及肺门多发淋巴结肿大,左肺门是肿瘤还是增大的淋巴结?左肺门占位淋巴结转移?结节病?淋巴瘤?
正气: 
肺ca≥结节病?
毛勤香: 
老年男性,左肺门和纵膈多发肿大淋巴结,内有坏死,左肺上叶舌段支气管狭窄,其他部位多发淋巴结肿大,首先考虑恶性,转移瘤?鳞癌并转移?待鉴别结核。
淘时光: 
老年男性,纵隔及左肺门多发淋巴结肿大,未见明显融合,4R及10L区淋巴结内见坏死,边缘呈环形强化且延迟性强化,颈部及锁骨上淋巴结肿大,首先考虑转移瘤 
马宁强: 
老年男性,病史两个月,纵隔及肺门多发增大淋巴结,部分融合坏死,肺内未见确切责任病变,以中纵隔及左肺门明显。生殖源性的年龄不符合,淋巴瘤融合明显,前纵隔为主,坏死少见,巨淋巴增生强化不符合,结节病多有双侧淋巴结增大,下来就剩结核和转移了,病史如果准确的,两个月发展如此之快,小细胞首选,其他转移靠后,假如病史不准确,结核放前面。
张延军: 
双肺多发结节及右肺上叶片状影,后者边缘清晰,气管尚通畅,结节周围见晕征,右上叶后段结节相应后段支气管阻塞,右叶间胸膜多发结节,考虑右上叶后段腺癌伴转移,淋巴瘤代排 
小鱼: 
纵隔多发淋巴结肿大,部分伴有坏死融合,部分孤立,淋巴结似乎对肺动脉有侵袭了先考虑恶性,腺癌,鉴别结核,淋巴瘤,联系颈部淋巴结活检 
若尘: 
左肺门区肿块坏死明显,上叶支气管鼠尾样改变,纵隔多发肿大淋巴结,部分融合,部分坏死明显不规则环形强化,部分强化均匀但轮廓饱满,肺内见多发小结节,左肺见条索影,首先考虑恶性,肺癌并纵隔淋巴结,肺内转移,鉴别结核,淋巴瘤年龄,部位不符合,且未经治疗坏死少见,结节病融合坏死少见!
张秀兰:

若尘: 
血管气管都有受侵 
张秀兰: 
纵隔淋巴结多数强化不均匀,气管右侧缘累及,左肺门肿块(图片和视频不见上叶支气管及分支情况),考虑左肺门鳞癌伴纵隔淋巴结转移
风儿: 
纵隔及肺门多发肿大淋巴结,轻度强化,部分融合,部分内有坏死,坏死边界局部清,局部模糊且不规整,支气管右前壁受压,左肺门结节位于支气管外,上叶支气管受压狭窄,锁骨上淋巴结肿大,左肺上叶舌段胸膜下见条片影是否与肿大淋巴结同一性质。1.淋巴瘤,2.小细胞癌转移 
徐超: 
老年男性,慢性病史,肺内小结节,纵膈肺门及锁骨上淋巴结,部分脂肪清楚,部分融合坏死,强化有均匀,有环形强化,无钙化。B超提示淋巴结融合及门结构消失。多发淋巴结疾病谱,结节病,cd,夕肺,结核,小细胞及各种转移,淀粉样变性等,轻链,淋巴瘤等。坏死融合在结节病早中期不容易出现一般不融合,且一般脂肪间隙清楚对气管壁侵袭少,结节病一期可以纵膈肺门淋巴结大,无肺内病变,暂不符合
cd,透明的单发不支持且强化不支持,多中心cd可以,但坏死少见,另外其为淋巴增生性疾病,门结构一般无破坏,B超提示破坏,暂不考虑。淋巴瘤,虽然多发的增大淋巴结,有坏死融合,但淋巴瘤肺门淋巴结一般增大不如纵膈明显,所以先代排;夕肺一般吸入病灶后改变,且钙化,不符合,淀粉样,单独这么融合淋巴结强化均匀无钙化不符合,轻链同理也不太符合;结核,结核早期可以均匀强化,可以有一定破坏,23期可以干酪性坏死,也可以不同步发生同时存在,门结构也可以破坏,但锁骨上的淋巴结结核少见,且这么不同时,肺内无支持的病灶。放待排
最后癌肿转移,可以坏死,可以环形强化,且对气管壁有一定侵犯,但只是局限于外,黏膜及黏膜下应该无受累比较光滑,且锁骨上淋巴结常见。综合考虑,首先癌性伴转移≥结核>淋巴瘤 
 初学者:

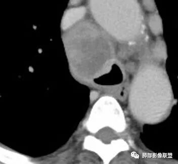
初学者:这个是原发病还是转移淋巴结突入支气管?
曹志勇: 
感觉不像外压的呢 
初学者:


影像分析 
南边:临床:老年男性,病史偏长,2月。临床有通气功能障碍。 
我们看影像,肺内有一些小斑点状高密度影,部分区域有气体潴留:




南边:我们现在影像上看的,也就是肺部小斑点,这些斑点,有些地方有气道储留的一个特点。
南边:但是我们看纵隔就多发的肿大淋巴结,部分融合成团。
南边:而且这些淋巴结,有些直接主要是压迫支气管壁,但是有些是突入到支气管腔内的。可惜我截的图发不上来。就左上舌段,支气管壁明显的增厚。有些明显腔内突的一个结节的,但是远的没有阻塞的特点。南边:增强以后呢,这个病灶明显强化,部分的似乎有环形强化的迹象,但不是很典型。 
我们看这个主支气管的层面,主支气管明显受压,有变形的,但是软骨是没有突破的。 
南边:那也就是说,这个纵隔淋巴结,它是没有影响到我们主支气管内部去的,周围有,可惜的膜部的增厚,我总心里不踏实,后面因为食道贴在一起啦。 因此这些淋巴结在主支气管层面是没有影响的。 

这个区域明显就是一个支气管本身有问题。
但是有一个地方有问题的,左侧的上叶的下舌段这个区域:

左上叶舌段这个气管腔内是有东西凸进去。 
首先弥漫性的,支气管壁是一个问题,然后有病灶凸向腔内,那又是一个问题,我有两种想法。
1、支气管壁本身有问题,2周围淋巴结侵犯支气管壁 
如果是本身的,就是炎性病变,那就考虑二元论,举个最简单的例子,支气管管壁是淀粉样变性,这是一种。然后你周围淋巴结,我跟他不一样的。我考虑恶性肿瘤,就是说,你只是压迫推移进来的。那我考虑的不一样,那我周围这些是良性的,那就支气管它本身有一个淀粉样变性,我举个例子哈。然后周围淋巴结是恶性肿瘤,那么就是二元论。
第二种,这个就是周围就推进来了,那我心里就不踏实啊,你突进了一个肿瘤进来,怎么检查都检查不到你那个恶性肿瘤的一些特点,那我得考虑就是说,所有的病变我都一元的,无非是两种,一种。就是我们大家考虑的恶性肿瘤,但表面有炎症挡住了,第二种。他就是良性病变。是吧。
南边:如果淋巴结肿大,支气管管壁增厚,那我们首先考虑了,如果你要考虑一个良性的,炎性的病变,或者一个良性的。淀粉样变,这是一个,第二个是什么呢,第二个自然就是我们的血管炎性病变,以前叫韦格式肉芽肿
第三个是结核,我不大倾向结核 
南边:日常工作中:恶性放前面
毕竟这样的炎性病变罕见
恶性更多见 
因为其侵犯到支气管腔内,但是远端无梗塞

结果
结果:肺腺癌并纵膈淋巴结转移





编后的话:
1.临床实践中我们可能会有过多次这样的经验,右锁骨上淋巴结病理肺腺癌,但未能明确原发病灶之所在。该例也是如此,也许在肺叶中瞒天过海,也许隐匿肺门结构间。
2.鳞癌转移迟,左侧支气管腔内阴影多次取材应当能够排除发生于腔内的鳞癌。况患者未引发阻塞性改变。
3.肺癌淋巴结转移多有一定规律可循。右肺病灶均沿右肺血管束、右肺门、右侧纵隔上行;左肺下叶病灶沿左下肺血管束、左肺门、隆凸及右侧纵隔上行;左肺上叶病灶沿左上肺血管束、左肺门、主动脉窗及左侧纵隔上行。
该例左肺门及腔静脉后淋巴结肿大,是符合这规律的。
4.结节病偏偏双肺门淋巴结增大为主要特点,淋巴结密实且密度偏高。
5.淋巴瘤则主要位于前上纵膈,多发,密度较均匀一致,大小相仿,且无左右之分。


编辑:冯连彩
审核:徐   晓
病例来源:首都医科大学附属北京潞河医院    张帅
到顶部