【每日晨读】善、恶只在一念之间



点击上面“蓝字”关注我们!
2019.7.18晨读病例

       努力学习,勤奋工作,让青春更加光彩
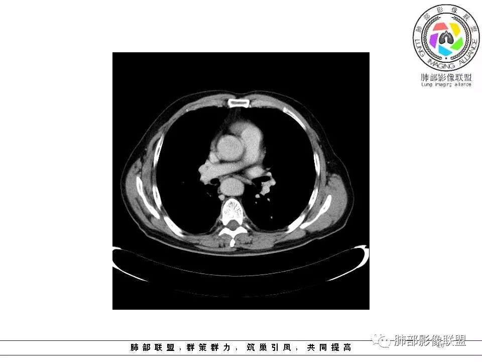
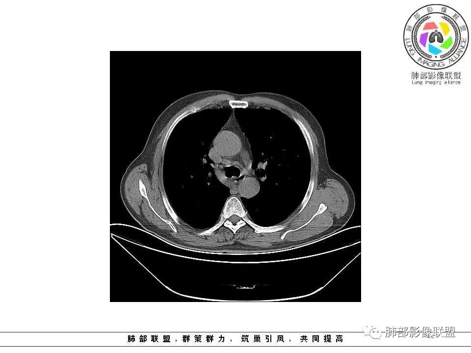
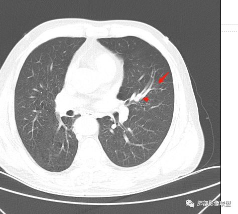
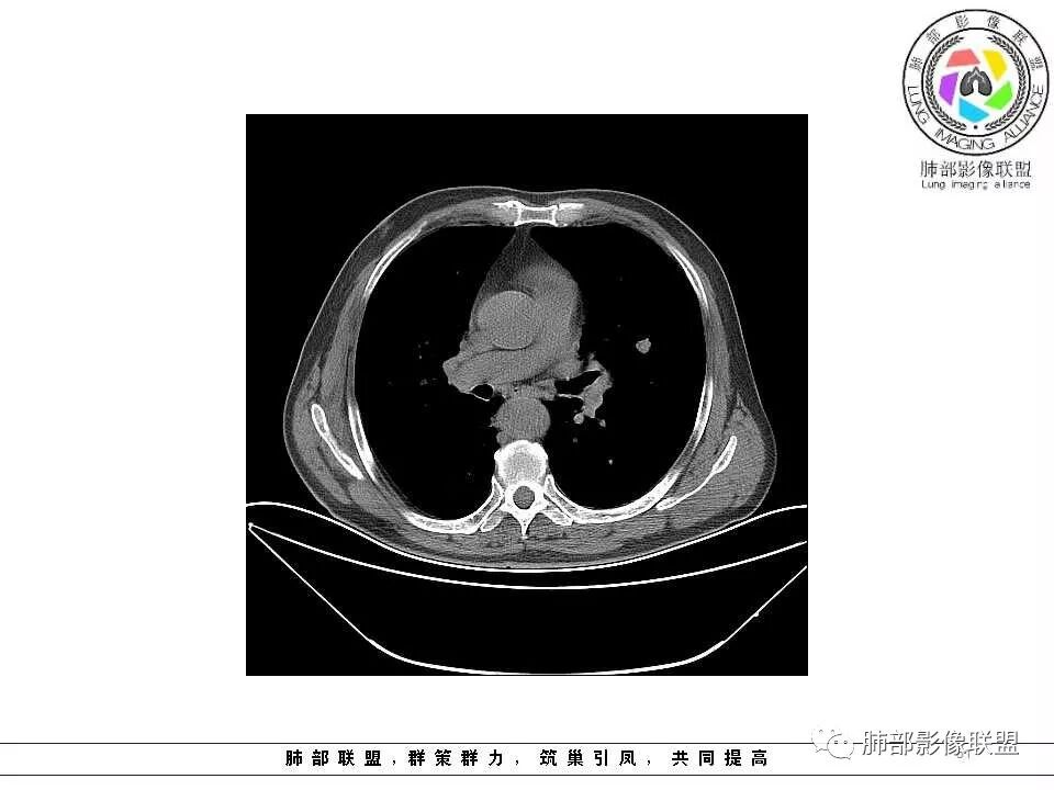
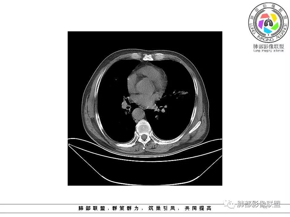
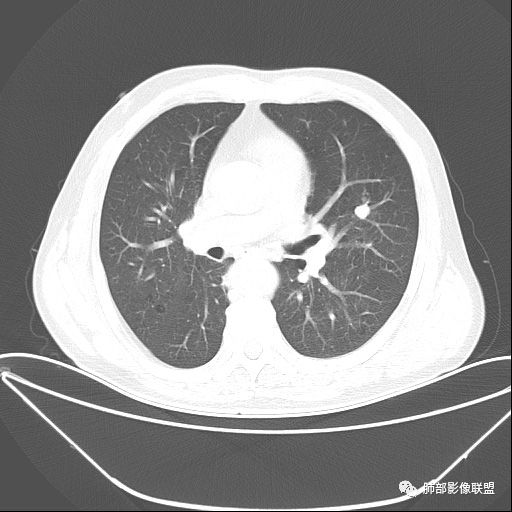
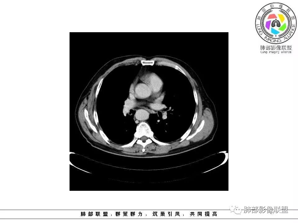
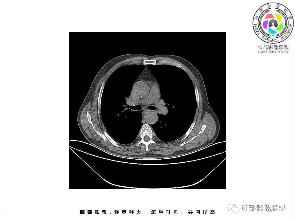
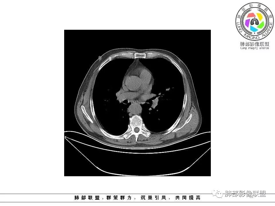
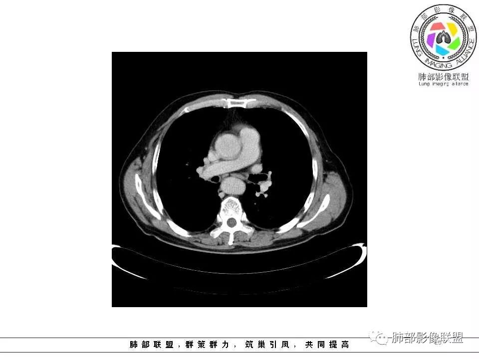
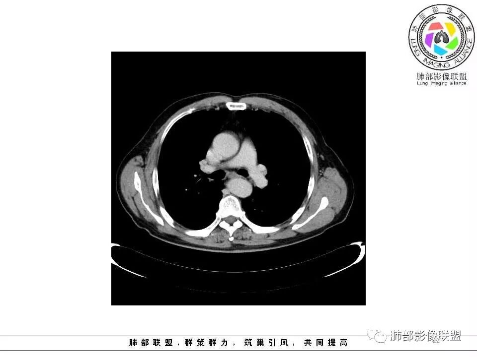
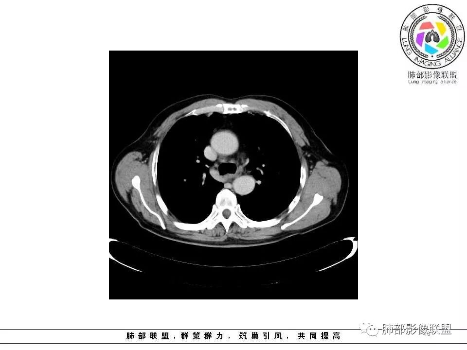
第一部分:病历资料



















































第二部分:精彩讨论
市医院--时建文:
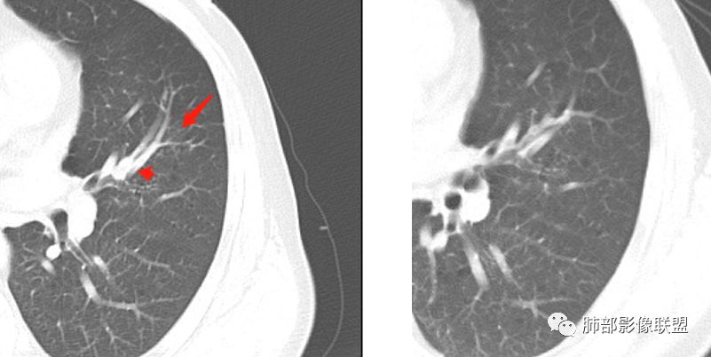
左肺舌叶小结节影(新),相应支气管似乎有增厚,远端有炎症(阻塞性),腺癌?鉴别炎性假瘤?
曹志勇:
左肺短时间复查出现病灶考虑炎性,建议强化除外肺栓塞,结节考虑炎性假瘤
杨泽锋:
临床特点老年男性、有咯血一个月
影像学特点:肺气肿背景下在大概一年的时间里出现了一个光滑的小结节,因为图像给的不是太薄,与支气管的关系判断不清,从结节周围出现斑片状炎症来判断,应该考虑结节位于支气管内,周围是阻塞性炎症,这样比较容易解释咯血
纵隔窗上似乎结节内可见点状高密度影,同时没有明显肿大淋巴结
所以我考虑支气管内的恶性肿瘤,类癌可能大。
空帆船:
左肺上叶结节边缘清晰尚规整伴子灶及炎性病变 临床咯血无发热  早期肺癌?
一切∮随缘:
左肺舌段条片状实变影,边界较清楚,形态不规则,平行于支气管,其内可见支气管扩张,考虑炎性病变(OP,结核,NTM)鉴别:淋巴瘤
看图说话:
老年男性,左肺舌段见多个小结节灶及斑片状高密度灶、磨玻璃影,结节灶边界清晰,光滑,无明显分叶,密度均匀,周围病灶密度不均,一年内生长,考虑恶性肿瘤并阻塞性肺炎出血,小细胞可能大。
平安是福:
老年男性,肺气肿背景,左肺上叶舌段病灶明显增大,变异膨隆,远端阻塞肺炎,考虑鳞癌。
岁月:
两次片子,相距3月,变化明显,肿瘤倍增时间不对,需要想到别的诊断。短期变化,血肿?机化?炎症?
间断咯血病史,血肿会积聚到哪里,很难想象;
支气管粘膜病变发展成鳞癌病灶?太快了,支气管粘膜重建有没有帮助?对于怀疑的结节,纤支镜有帮助,老年患者,我们也要想到肿瘤。
飞鹰行动:
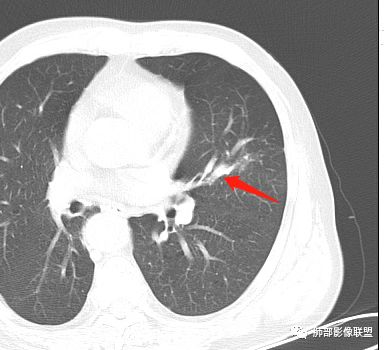
左肺上叶小结节病灶,形态规则,边缘光滑,密度至密,远处阻塞性肺炎,病灶与支气管关系密切,给图太少不好观察,考虑神经内分泌癌(类癌),其次鳞癌
等待戈多:
左肺上叶光滑结节影 似乎与支气管没有关系  ,给的纵隔窗病灶中心似乎点状钙化  病灶旁有更小结节,与上一年片比较 结节增大明显  考虑恶性 类癌可能
蔡磊:
老年男性,肺气肿基础。约一年时间出现左肺上叶舌段支气管近端结节影,远端斑片样阴影,边缘模糊。考虑近端恶性占位,远端有阻塞性炎症。
丽:
老年男性,肺气肿背景,左肺上叶舌段结节明显增大,边缘膨隆,有磨玻璃结节,与血管联系紧密,周围可见条片影,首先考虑恶性肿瘤,鳞癌伴阻塞性炎症,鉴别炎性
wonderful:
老年男性,两肺可见小叶中央型肺气肿,提示应该有抽烟史。2016年片,右肺门支气管稍模糊,考虑慢性感染,纵膈淋巴结稍大。但2017年左肺上叶新发占位,堵塞支气管,引起局部肺不张伴感染,且纵膈淋巴结较2016年变大,患者同时伴有咯血,考虑恶性。鳞癌?类癌?小细胞?
THINKER:
左主略狭窄,1年后cT左舌片影丶结节,老年、慢支,考虑有吸烟史,咯血不发热
诊断:鳞癌
黄棘:
左肺新发病灶,有支气管及血管通过,考虑慢性炎性改变
管洪林:
老年男性,有咳血病史,左肺上叶舌段一年时间出现新发类圆形小结节,感觉在支气管内,部分凸出气管外,没有mpr不好说,远端肺野斑片模糊影,考虑阻塞性炎症,纵隔无明显肿大淋巴结,小细胞代排,按照发展速度,类癌低度恶性,应该发展缓慢,一年病史,代排,首先考虑鳞癌并阻塞性炎症
王秀仙:
肺气肿背景,2016年左肺上叶上舌段见微结节,2017年5月左肺结节增大,密度均匀,边缘光滑锐利,与邻近血管关系密切,血管贴壁走行,外侧见尖状突起,下舌段片状影,沿着支气管走行,内有粘液栓,考虑鳞癌,鉴别小细胞肺癌。
Le(^_-)i:
老年男性,吸烟,坐上肺结节增大,气管可见堵塞,周围GGO边界清楚,考虑恶性,倍增时间小细胞不符合,考虑鳞癌或腺癌
了:
老年男性,以咯血为主要表现,CT左肺舌段结节影,实性,边缘清楚锐利,部分膨胀,周围磨玻璃结节及树芽征,周围有空气潴留,首先考虑占位,鉴别结核。
Lotus:
支气管来源恶性病变,继发远端阻塞性炎症,鳞癌,类癌
lmg:
肺气肿背景,左肺上舌叶结节一年复查明显增大,边缘光滑。下舌叶片状影,界限模糊。考虑上舌叶小细胞癌并下舌叶感染。鉴别鳞癌
傅昌瑜:
肺气肿背景,2016年左肺上叶上舌段见微结节,一年后左肺结节增大,密度均匀,边缘光滑、膨隆,似见小分叶,下舌段片状影,沿着支气管走行,内,老年患者,咯血1月。考虑恶性病变并阻塞性肺炎,鳞癌?注意鉴别结核。
彭君:
左肺上叶舌段支气管管壁略增厚 间隔一年 管壁增厚明显 向腔外突出形成结节 管腔闭塞 远端片状及斑片影 纵隔淋巴结增大 肺气肿背景 考虑鳞癌伴阻塞性炎症可能
一米阳光:
左肺上叶小结节,形态规则,边缘光滑清晰,远处阻塞性肺炎,病灶与支气管关系密切,气管内病变。老年男性,发展较慢,考虑类癌,黏液表皮癌。鉴别鳞癌
张小兵:
老年男性,咯血1月,肺气肿背景,16年左肺上叶舌段结节,左肺门疑似淋巴结肿大,呈结节感。17年左肺上叶舌段见沿支气管走行分布结节 远端阻塞性肺炎,左肺门淋巴结肿大明显,首先考虑恶性病变,鳞癌?类癌?
一米阳光:
左肺上叶舌段见前后两个小结节,边缘清晰,无分叶毛刺,前方小结节见小气管穿行,临近血管纹理无牵拉,结节下方层面见条片状密度增高影,局部纹理增强,边缘模糊,内见气管影,上肺上叶见多个小透光区,纵膈内见增大小淋巴结影,考虑1·良性改变,炎性可能,2·肺气肿。病变短期变化明显,肿瘤不考虑,结节与舌段肺炎关系不大
灵魂清零:
前次片2016年4月20相应位置就有小点状病灶,2017-5-15呈结节影改变,边界膨隆,远端阻塞炎性改变,考虑肺癌,鉴别炎性结节!
毛勤香:
老年男性,肺气肿背景,左肺上叶舌段一年前小结节后长大,实性,与邻近气管关系密切,远端有少许小片状炎症类小结节状,左肺门淋巴结肿大,首先考虑恶性,鳞癌可能性大,代排小细胞癌。病灶下方斑片状影,考虑炎症。
心灵鸡汤:
老年男性,肺气肿背景,对比前片,左肺上叶舌段结节较前进展,周围有斑片状条状密度增高影,左肺门淋巴结肿大,有咯血史抗炎后效果不佳,目测增强强化不好判断,考虑肺癌并阻塞性肺炎可能,鉴别炎症性肺癌,真菌类肺炎,肺脓肿,肺结核,建议完善肿瘤标志物,结核相关检查,病原体检查。
采莲:
老年男性,咯血一个月,有慢支病史。左肺上叶舌段可见一类圆形结节影,边缘光滑,远端有片条状影,一年前胸ct基本正常。感觉还是考虑肺癌合并阻塞性炎症。鳞癌还是小细胞?
第三部分:精彩解读
南边:
都考虑癌啊
结节与下面的病灶有关系吗?
李志国:
老年男性,咯血1月,肺气肿背景,左肺上叶舌段见沿支气管走行分布结节,呈葫芦样改变,左肺门淋巴结肿大明显,首先考虑恶性病变,小细胞癌可能
尘缘:
@南边 图片层厚比较厚,有些细节不敢肯定,所以我来个与众不同,先考虑结核了。
南边:
我们捋一捋

 
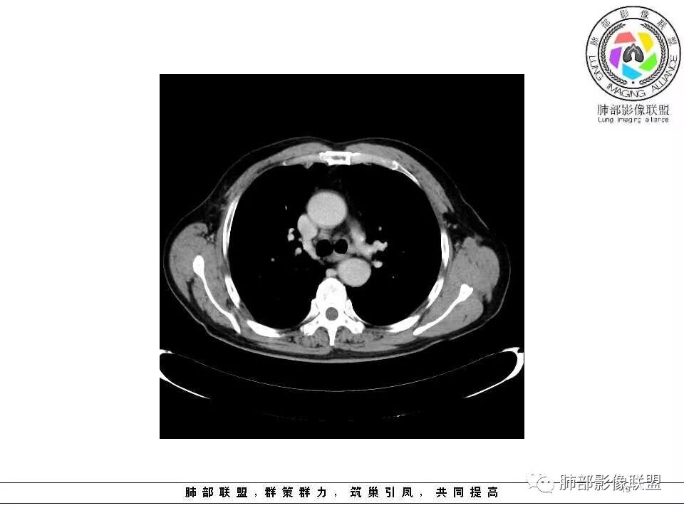
几个结节

下面这一支堵了
前后对比,这些结节其实是没引起支气管远端病变的

蔡磊:
南大标注,这几个确实结节没有阻塞支气管,感觉是在血管分叉地方。
尘缘:
@南边 关键是上面这几个结节有的密度度,有的密度低。与下面堵塞支气管的结节样改变是否不是一回事,
如果下面堵塞是恶性,那上面的是不是考虑转移?另外一年结那个疑似结节的地方与现在堵塞的地方好象不一致。
南边:

后头看前片似乎当时腔内壁稍增厚一点
那就是说这是新发的
临床医生,图能调到这样已经很不错了。最起码不能排除
南边:

我们就是按常规考虑
错了也是这样处理
南边:
常规腔内病灶引起远端炎症:
1、肿瘤,良性、恶性?短时间出来——恶性
2、炎性,结核、真菌多见,但是表面膨隆、光滑,不太支持,放待排
3、异物、痰栓,附近的结节不支持,最好有密度测量、强化情况
就目前的资料:我支持恶性肿瘤,待排异物
常规下一步:支气管镜、增强扫描
尘缘:
@南边 我觉得最关键的是两个问题,一是腔内堵塞这个结节的纵隔窗看不到,所以到底是不是结节样肿物不明确,第二个就是没有增强,这个腔内病变与周围结节的强化性质是否一致,强化程度及强化曲线如何?
南边:
我们需要做的:我认为最主要是发现支气管腔内病灶
然后临床有针对性处理
当然我们也可以判断其性质
如果没发现腔内病灶那就麻烦,发现了,好办
初学者:
临床一看肯定做支气管镜,一下就搞定,我们经常会漏这种支气管内病变,漏过不少,所以这个病例提示我们需要警惕
晨读结果:鳞状细胞癌


编辑:杨宏刚
审核:冯连彩  徐   晓



到顶部