【每日晨读】温婉韵致的“点晕征”原是暗藏玄机


01漂亮的“点晕征”暗藏玄机-血管肉瘤
1
原创  肺部影像联盟
1

病例资料



微信群讨论
小微:
双肺双肺多发磨玻璃影,边界清晰,左侧肩胛骨骨骨质破坏,周围软组织包绕,肉包骨,考虑左肩胛骨淋巴瘤,淋巴瘤肺浸润。
王秀仙:
双肺多发磨玻璃影,大部分中央可见增粗血管影,部分血管边缘模糊破坏,左侧肩胛骨骨质破坏,周围巨大软组织肿块,软组织肿块内可见坏死及肿瘤骨,考虑肩胛骨骨肉瘤并双肺多发转移(点晕征)。
zyf:
中年男性,咯血,背痛,左肩胛骨包块,皮肤破损,双肺多发磨玻璃影,点晕征,边界清晰,左侧肩胛骨骨骨质破坏,周围软组织包绕,肉包骨,考虑恶性黑色素瘤可能。
蔡磊:
中年男性47岁。左侧肩胛骨骨质破坏并不规则状软组织密度影,与周围肌肉组织界限欠清。双肺内多发类圆形pggo,部分中间见血管,考虑左侧肩胛部恶性病变肺内血性转移。
杨泽锋:
肺部考虑转移瘤;
左侧肩胛骨恶性肿瘤,类型仅凭一个胸部CT很难判断,所有小圆细胞类肿瘤以及上面几位老师提到的恶黑、骨肉瘤、血管肉瘤都可以长成这个样子,需要做个增强MRI看看
红日东升:
左肩胛骨骨质破坏并软组织肿块,肺内弥漫点晕征。考虑左肩胛骨区恶性肿瘤并肺内转移,点晕征多提示血管来源。
虎爸:
点晕征:1.肿瘤:血管本身肿瘤,血管肉瘤,上皮样血管内皮瘤,血管内淋巴瘤。转移瘤,消化道生殖道转移,关注绒癌,恶黑,及结肠癌。
             2.感染:真菌,荚膜组织包浆菌,病毒,疱疹病毒。
             3.血管炎
             4.寄生虫病
             本例考虑肉瘤转移
俞丽:
左肩胛骨骨质破坏并软组织肿块,肺内弥漫磨玻璃-点晕征。考虑左肩胛骨区恶性肿瘤并肺内转移,点晕征多提示血管来源(出血晕)
wonderful:
恶性肿瘤肺转移,点晕征,常见消化道、生殖系统来源。
大雄:
左肩胛骨恶性肿瘤确定,肺内多发磨玻璃结节,考虑继发改变,间质来源。一元论,考虑淋巴瘤。
三生石上:
肺内多发磨玻璃结节,左侧肩胛骨破坏,考虑肉瘤类,伴肺内转移。
可芸:
左肩胛骨骨质破坏,软组织肿块,肺内弥漫点晕征。考虑左肩胛骨区恶性肿瘤并肺内转移,点晕征多提示血管来源恶性肿瘤,恶性黑色素瘤等来源,还有PPD强阳性及胸腹部散在红斑如何解释?
玫:
中年男性,咳血,背痛,PPD阳性,双肺多发磨玻璃影,边界清晰,部分病灶内见血管走形,左侧肩胛骨骨质破坏,周围软组织肿胀,密度不均。考虑左肩胛区恶性病变伴双肺转移。双肺磨玻璃病变不除外炎性病变?
管洪林:
男性,67岁,咳嗽痰中带血,左背部肿块,双肺弥漫可见磨玻璃结节,部分清晰,部分边缘模糊,部分其内可见明显点晕征,纵隔内无明显肿大淋巴结,左肩胛骨溶骨性破坏,临近明显软组织肿块,考虑左侧肩胛骨恶性肿瘤并双肺多发转移,点晕征提示血管来源。
一切∮随缘:
病例分析:双肺多发磨玻璃影,部分磨玻璃影内可见点状实性结节,呈点晕征,边缘较散,模糊不清,左侧肩胛骨溶骨性骨质破坏,周围肌肉散在钙化,包绕骨质生长,综合考虑:左肩胛骨骨肉瘤伴双肺转移,其它(血管炎,多发血管瘤)
雪狐7305:
肺部点晕,肺部考虑恶性肿瘤血道转移。左肩胛骨及附近的软组织包块,可能也是转移。需要重点查找血管肉瘤,消化道,生殖道转移癌和恶黑
一米阳光:
男性47岁。左侧肩胛骨骨质破坏并巨大软组织肿胀影,与周围肌肉组织界限欠清。双肺内多发圆形晕征,边缘清晰,点晕征。考虑左肩胛部恶性病变肺内血性转移,浆细胞瘤,骨肉瘤,黑色素瘤。
黄棘:
左侧肩胛区骨质破坏,并软组织肿胀,肺内多发磨玻璃影,边界清楚,并点晕征,考虑左侧肩胛区恶性病变肺内转移
冬瓜:
中年男性,咯血,背痛,左肩胛骨包块伴多发钙化,皮肤破损,双肺多发磨玻璃影,点晕征,边界清晰,考虑血管肉瘤肺内多发转移。
冈果:
中年男性,表现为咳嗽,咯血,左肩部包块疼痛,CT可见左肩胛区肿块伴骨质破坏,溶骨表现,肺部可见多发煎蛋样改变,胸腹部多发皮疹,提示累及血管,肺等多系统,考虑上皮样血管内皮/肉瘤可能性大。
Shelia??:
双肺多发磨玻璃影,部分边界清楚,部分边缘模糊,沿血管走行,其内血管明显增粗,部分磨玻璃影内可见点状实性结节,呈点晕征,左侧肩胛骨溶骨性骨质破坏,伴软组织块形成,可见少许残存骨化影,综合考虑:左肩胛骨骨肉瘤伴双肺转移,其内不出外血管炎
心灵鸡汤:
左肩骨质破坏伴软组织肿块,双肺磨玻璃影,内见点样高密度影,考虑恶性肿瘤并肺内血行转移,肉瘤可能
崔少钢:
左侧肩胛骨肿块,肩胛骨破坏,肺内多发的膜玻璃病灶,内见血管增粗,支持肉瘤一类肺内转移。胸腹部散在的红斑,皮肤转移?淋巴结肿大不明显,不支持淋巴瘤。
岁月:
男性,47岁,肩胛骨肿块骨质破坏,恶性。
肺上病灶,多发,似乎像转移一元论,又多发。
痰中带血,PPD强阳性,液基未找到结核杆菌。
血象高,PCR不太高。
影像:中心点状、弥漫分布、磨玻璃,分布,大多在外带,内带也有,总体印象,血管周围。
转移灶出血?
结核?非一般表现;
感染,是否是局部?
痰中带血一月,肺上有问题?考虑血管源反应,转移出血,机遇性感染。
处理:肩部肿块穿刺,确定原发,转移,来源,全身骨骼,PET,进一步寻找原发灶;肺上病灶,抗感染,是否有效?局部是否控制?
咯血是否加重?
综合考虑:一源论?二源论?
THINKER:
CT双肺多发煎蛋征,伴左肩胛骨破坏丶皮肤肿块
诊断:血管内皮瘤
鉴别:骨肿瘤肺转移,无转移性钙化,不大支持
不再涩的柠檬:
双肺多发点晕,左肩胛骨骨质破坏,肉包骨,首先考虑恶性并肺转移,淋巴瘤可能,骨肉瘤一般有转移性钙化,血管源性肿瘤,恶黑,消化生殖来源代排
Lotus:
晨读一元论考虑左侧肩胛骨恶性肿瘤肺转移,二元论考虑肺内血管畸形或血管炎
?????天涯?????:
肩胛骨恶性肿瘤伴肺内多发转移?PPD强阳性,需除外肺内结核感染可能,或二元论考虑
小飞:
左侧肩胛骨溶骨性骨质破坏,伴软组织块形成,可见少许残存骨化影,双肺多发磨玻璃影,其内可见粗大血管影,部分呈点晕征,考虑:左肩胛骨骨肉瘤伴双肺转移
王江涛:
左侧肩胛骨破坏并软组织肿块明确诊断是恶性肿瘤,双肺多发点晕征毛玻璃灶,两种病灶一元论:淋巴瘤肺侵润、恶性肿瘤侵犯肩胛骨和双肺;二元论:左侧肩胛骨恶性肿瘤,肺部血管炎可能。
采莲:
双肺野多发圆形,类圆形磨玻璃影,边界清,里面有血管走行,结合左肩胛骨肿块,骨质有破坏,考虑骨肿瘤并双肺转移。肉瘤?
doctor:
doctor:
doctor:
doctor:
考虑肺上皮样血管内皮肉瘤伴肩胛骨转移?
Harvey:
中年男性,咯血,双肺多发结节状、斑片状磨玻璃影,大部分中央可见增粗血管影,部分结节内见点征。左侧肩胛骨融骨性破坏并周围巨大软组织肿块,内见肿瘤骨,考虑肩胛骨骨肉瘤并双肺多发转移,均为转移瘤待排
毛勤香:
左侧肩胛骨骨质破坏,周围软组织肿块,内有坏死,有点肉包骨的感觉,淋巴瘤坏死少,肺内多发磨玻璃影,部分点晕征,身体多处红斑,咳血,点晕征的疾病谱老师们都说了,一元化,考虑左侧肩胛骨血管肉瘤并多发转移,肺内不除外合并肺泡积血可能,均为转移瘤或其他恶性肿瘤并转移代排
傅昌瑜:
47岁男性,咳血痰左肩背痛1月余,左肩胛骨破坏,破坏处及周边见软组织肿块,左肩胛区包块并皮肤破损,破损处无渗液、无脓不支持结核。两肺见多发磨玻璃影,沿血管走行,其内血管明显增粗,部分磨玻璃影内可见点状实性结节,呈点晕征,各磨玻璃影形态密度基本一致,提示同一来源,支气管未见明显增厚扩张——不支持气道来源。小叶间隔无增厚及纵隔未见明显肿大淋巴结——感觉淋巴瘤可能性较小。胸腹部皮肤散在红斑。整体考虑左肩胛骨恶性肿瘤并两肺转移。
M-Imaging :
点是转移结节,晕是出血吧?
飞鹰行动:
肩胛骨软组织肿块内有骨性密度或钙化,这样的淋巴瘤太见了,还是支持转移
quanyou:
双肺多发磨玻璃影,中央可见增粗血管影,左侧肩胛骨骨质破坏,周围巨大软组织肿块,软组织肿块内可见坏死及肿瘤骨,考虑肩胛骨骨肉瘤并双肺转移。
熊桅老师解析
1.肿瘤
血管原发肿瘤:血管肉瘤(右房)、上皮样血管内皮瘤、血管内淋巴瘤(大B)
转移瘤:消化生殖系统转移,关注绒癌、恶黑、肠癌
2.感染
真菌:荚膜组织胞浆菌
病毒:疱疹病毒
结核
3.血管炎
4.寄生虫病
5.PCH/PVOD
这个病例临床特征:
中年男性,咳血慢性起病,左肩胛骨区巨大包块,伴周身皮肤红斑样皮损;
参照点晕疾病谱,一元考虑,几乎排除2/3/4/5,定性于肿瘤;
影像特征:左肩胛骨区巨大软组织肿块,可见肩胛骨骨质吸收破坏,肺内多发随机分布结节,和血管关系密切,周围模糊GGO影,结合病史,左肩肿块考虑原发肿瘤,肺内考虑血行性转移伴出血;
血管肉瘤原发于右房,可进一步心脏CTA及核磁,基本排除。EHE没有这么强的恶性程度,也先除外。血管内淋巴瘤特征是弥漫GGO伴点晕,本例影像不符。故综合肩部包块,皮肤红斑,肺内点晕,支持恶黑诊断,起源于血管外肉瘤待排,绒癌的转移一般结块较大,肠癌一般钙化性转移,均不支持。
晨读结果:血管肉瘤

01每日晨读 漂亮的“点晕征”暗藏玄机-血管肉瘤1原创  肺部影像联盟11病例资料微信群讨论小微:双肺双肺多发磨玻璃影,边界清晰,左侧肩胛骨骨骨质破坏,周围软组织包绕,肉包骨,考虑左肩胛骨淋巴瘤,淋巴瘤肺浸润。王秀仙:晨读:双肺多发磨玻璃影,大部分中央可见增粗血管影,部分血管边缘模糊破坏,左侧肩胛骨骨质破坏,周围巨大软组织肿块,软组织肿块内可见坏死及肿瘤骨,考虑肩胛骨骨肉瘤并双肺多发转移(点晕征)。zyf:中年男性,咯血,背痛,左肩胛骨包块,皮肤破损,双肺多发磨玻璃影,点晕征,边界清晰,左侧肩胛骨骨骨质破坏,周围软组织包绕,肉包骨,考虑恶性黑色素瘤可能。蔡磊:晨读:中年男性47岁。左侧肩胛骨骨质破坏并不规则状软组织密度影,与周围肌肉组织界限欠清。双肺内多发类圆形pggo,部分中间见血管,考虑左侧肩胛部恶性病变肺内血性转移。杨泽锋:肺部考虑转移瘤;左侧肩胛骨恶性肿瘤,类型仅凭一个胸部CT很难判断,所有小圆细胞类肿瘤以及上面几位老师提到的恶黑、骨肉瘤、血管肉瘤都可以长成这个样子,需要做个增强MRI看看红日东升:晨读:左肩胛骨骨质破坏并软组织肿块,肺内弥漫点晕征。考虑左肩胛骨区恶性肿瘤并肺内转移,点晕征多提示血管来源。虎爸:点晕征:1.肿瘤:血管本身肿瘤,血管肉瘤,上皮样血管内皮瘤,血管内淋巴瘤。转移瘤,消化道生殖道转移,关注绒癌,恶黑,及结肠癌。             2.感染:真菌,荚膜组织包浆菌,病毒,疱疹病毒。             3.血管炎             4.寄生虫病             本例考虑肉瘤转移俞丽:晨读病例:左肩胛骨骨质破坏并软组织肿块,肺内弥漫磨玻璃-点晕征。考虑左肩胛骨区恶性肿瘤并肺内转移,点晕征多提示血管来源(出血晕)wonderful:晨读恶性肿瘤肺转移,点晕征,常见消化道、生殖系统来源。大雄:左肩胛骨恶性肿瘤确定,肺内多发磨玻璃结节,考虑继发改变,间质来源。一元论,考虑淋巴瘤。三生石上:肺内多发磨玻璃结节,左侧肩胛骨破坏,考虑肉瘤类,伴肺内转移。可芸:晨读:左肩胛骨骨质破坏,软组织肿块,肺内弥漫点晕征。考虑左肩胛骨区恶性肿瘤并肺内转移,点晕征多提示血管来源恶性肿瘤,恶性黑色素瘤等来源,还有PPD强阳性及胸腹部散在红斑如何解释?玫:晨读:中年男性,咳血,背痛,PPD阳性,双肺多发磨玻璃影,边界清晰,部分病灶内见血管走形,左侧肩胛骨骨质破坏,周围软组织肿胀,密度不均。考虑左肩胛区恶性病变伴双肺转移。双肺磨玻璃病变不除外炎性病变?管洪林:晨读,男性,67岁,咳嗽痰中带血,左背部肿块,双肺弥漫可见磨玻璃结节,部分清晰,部分边缘模糊,部分其内可见明显点晕征,纵隔内无明显肿大淋巴结,左肩胛骨溶骨性破坏,临近明显软组织肿块,考虑左侧肩胛骨恶性肿瘤并双肺多发转移,点晕征提示血管来源。一切∮随缘:病例分析:双肺多发磨玻璃影,部分磨玻璃影内可见点状实性结节,呈点晕征,边缘较散,模糊不清,左侧肩胛骨溶骨性骨质破坏,周围肌肉散在钙化,包绕骨质生长,综合考虑:左肩胛骨骨肉瘤伴双肺转移,其它(血管炎,多发血管瘤)雪狐7305:意见很统一呀,我也一样,肺部点晕,肺部考虑恶性肿瘤血道转移。左肩胛骨及附近的软组织包块,可能也是转移。需要重点查找血管肉瘤,消化道,生殖道转移癌和恶黑一米阳光:晨读:男性47岁。左侧肩胛骨骨质破坏并巨大软组织肿胀影,与周围肌肉组织界限欠清。双肺内多发圆形晕征,边缘清晰,点晕征。考虑左肩胛部恶性病变肺内血性转移,浆细胞瘤,骨肉瘤,黑色素瘤。黄棘:左侧肩胛区骨质破坏,并软组织肿胀,肺内多发磨玻璃影,边界清楚,并点晕征,考虑左侧肩胛区恶性病变肺内转移冬瓜:中年男性,咯血,背痛,左肩胛骨包块伴多发钙化,皮肤破损,双肺多发磨玻璃影,点晕征,边界清晰,考虑血管肉瘤肺内多发转移。冈果:中年男性,表现为咳嗽,咯血,左肩部包块疼痛,CT可见左肩胛区肿块伴骨质破坏,溶骨表现,肺部可见多发煎蛋样改变,胸腹部多发皮疹,提示累及血管,肺等多系统,考虑上皮样血管内皮/肉瘤可能性大。Shelia??:双肺多发磨玻璃影,部分边界清楚,部分边缘模糊,沿血管走行,其内血管明显增粗,部分磨玻璃影内可见点状实性结节,呈点晕征,左侧肩胛骨溶骨性骨质破坏,伴软组织块形成,可见少许残存骨化影,综合考虑:左肩胛骨骨肉瘤伴双肺转移,其内不出外血管炎心灵鸡汤:左肩骨质破坏伴软组织肿块,双肺磨玻璃影,内见点样高密度影,考虑恶性肿瘤并肺内血行转移,肉瘤可能崔少钢:左侧肩胛骨肿块,肩胛骨破坏,肺内多发的膜玻璃病灶,内见血管增粗,支持肉瘤一类肺内转移。胸腹部散在的红斑,皮肤转移?淋巴结肿大不明显,不支持淋巴瘤。岁月:男性,47岁,肩胛骨肿块骨质破坏,恶性。肺上病灶,多发,似乎像转移一元论,又多发。痰中带血,PPD强阳性,液基未找到结核杆菌。血象高,PCR不太高。影像:中心点状、弥漫分布、磨玻璃,分布,大多在外带,内带也有,总体印象,血管周围。转移灶出血?结核?非一般表现;感染,是否是局部?痰中带血一月,肺上有问题?考虑血管源反应,转移出血,机遇性感染。处理:肩部肿块穿刺,确定原发,转移,来源,全身骨骼,PET,进一步寻找原发灶;肺上病灶,抗感染,是否有效?局部是否控制?咯血是否加重?综合考虑:一源论?二源论?THINKER:CT双肺多发煎蛋征,伴左肩胛骨破坏丶皮肤肿块诊断:血管内皮瘤鉴别:骨肿瘤肺转移,无转移性钙化,不大支持不再涩的柠檬:双肺多发点晕,左肩胛骨骨质破坏,肉包骨,首先考虑恶性并肺转移,淋巴瘤可能,骨肉瘤一般有转移性钙化,血管源性肿瘤,恶黑,消化生殖来源代排Lotus:晨读一元论考虑左侧肩胛骨恶性肿瘤肺转移,二元论考虑肺内血管畸形或血管炎?????天涯?????:肩胛骨恶性肿瘤伴肺内多发转移?PPD强阳性,需除外肺内结核感染可能,或二元论考虑小飞:晨读  :左侧肩胛骨溶骨性骨质破坏,伴软组织块形成,可见少许残存骨化影,双肺多发磨玻璃影,其内可见粗大血管影,部分呈点晕征,考虑:左肩胛骨骨肉瘤伴双肺转移王江涛:左侧肩胛骨破坏并软组织肿块明确诊断是恶性肿瘤,双肺多发点晕征毛玻璃灶,两种病灶一元论:淋巴瘤肺侵润、恶性肿瘤侵犯肩胛骨和双肺;二元论:左侧肩胛骨恶性肿瘤,肺部血管炎可能。采莲:晨读:双肺野多发圆形,类圆形磨玻璃影,边界清,里面有血管走行,结合左肩胛骨肿块,骨质有破坏,考虑骨肿瘤并双肺转移。肉瘤?doctor:doctor:doctor:doctor:考虑肺上皮样血管内皮肉瘤伴肩胛骨转移?Harvey:晨读病例:中年男性,咯血,双肺多发结节状、斑片状磨玻璃影,大部分中央可见增粗血管影,部分结节内见点征。左侧肩胛骨融骨性破坏并周围巨大软组织肿块,内见肿瘤骨,考虑肩胛骨骨肉瘤并双肺多发转移,均为转移瘤待排毛勤香:左侧肩胛骨骨质破坏,周围软组织肿块,内有坏死,有点肉包骨的感觉,淋巴瘤坏死少,肺内多发磨玻璃影,部分点晕征,身体多处红斑,咳血,点晕征的疾病谱老师们都说了,一元化,考虑左侧肩胛骨血管肉瘤并多发转移,肺内不除外合并肺泡积血可能,均为转移瘤或其他恶性肿瘤并转移代排傅昌瑜:47岁男性,咳血痰左肩背痛1月余,左肩胛骨破坏,破坏处及周边见软组织肿块,左肩胛区包块并皮肤破损,破损处无渗液、无脓不支持结核。两肺见多发磨玻璃影,沿血管走行,其内血管明显增粗,部分磨玻璃影内可见点状实性结节,呈点晕征,各磨玻璃影形态密度基本一致,提示同一来源,支气管未见明显增厚扩张——不支持气道来源。小叶间隔无增厚及纵隔未见明显肿大淋巴结——感觉淋巴瘤可能性较小。胸腹部皮肤散在红斑。整体考虑左肩胛骨恶性肿瘤并两肺转移。M-Imaging :点是转移结节,晕是出血吧?飞鹰行动:肩胛骨软组织肿块内有骨性密度或钙化,这样的淋巴瘤太见了,还是支持转移quanyou:晨读:双肺多发磨玻璃影,中央可见增粗血管影,左侧肩胛骨骨质破坏,周围巨大软组织肿块,软组织肿块内可见坏死及肿瘤骨,考虑肩胛骨骨肉瘤并双肺转移。熊大解析1.肿瘤血管原发肿瘤:血管肉瘤(右房)、上皮样血管内皮瘤、血管内淋巴瘤(大B)转移瘤:消化生殖系统转移,关注绒癌、恶黑、肠癌2.感染真菌:荚膜组织胞浆菌病毒:疱疹病毒结核3.血管炎4.寄生虫病5.PCH/PVOD这个病例临床特征:中年男性,咳血慢性起病,左肩胛骨区巨大包块,伴周身皮肤红斑样皮损;参照点晕疾病谱,一元考虑,几乎排除2/3/4/5,定性于肿瘤;影像特征:左肩胛骨区巨大软组织肿块,可见肩胛骨骨质吸收破坏,肺内多发随机分布结节,和血管关系密切,周围模糊GGO影,结合病史,左肩肿块考虑原发肿瘤,肺内考虑血行性转移伴出血;血管肉瘤原发于右房,可进一步心脏CTA及核磁,基本排除。EHE没有这么强的恶性程度,也先除外。血管内淋巴瘤特征是弥漫GGO伴点晕,本例影像不符。故综合肩部包块,皮肤红斑,肺内点晕,支持恶黑诊断,起源于血管外肉瘤待排,绒癌的转移一般结块较大,肠癌一般钙化性转移,均不支持。晨读结果


简单了解血管肉瘤
1、血管肉瘤是一种来源于血管内皮细胞内皮细胞的恶性软组织肿瘤。发病率低,可发生于各个器官,最常见的原发器官包括心脏、肝脏、乳腺。最常见的转移部位是肺。
2、发生于肺部的血管肉瘤分为原发性(十分罕见)和继发性.
3、肺部血管肉瘤的肺部临床表现没有特异性,常见为咯血,痰中带血,呼吸困难等。
4、影像学表现:无特异性,转移性肺血管肉瘤以双肺多发实行结节最为常见。
                        本例小结:                   
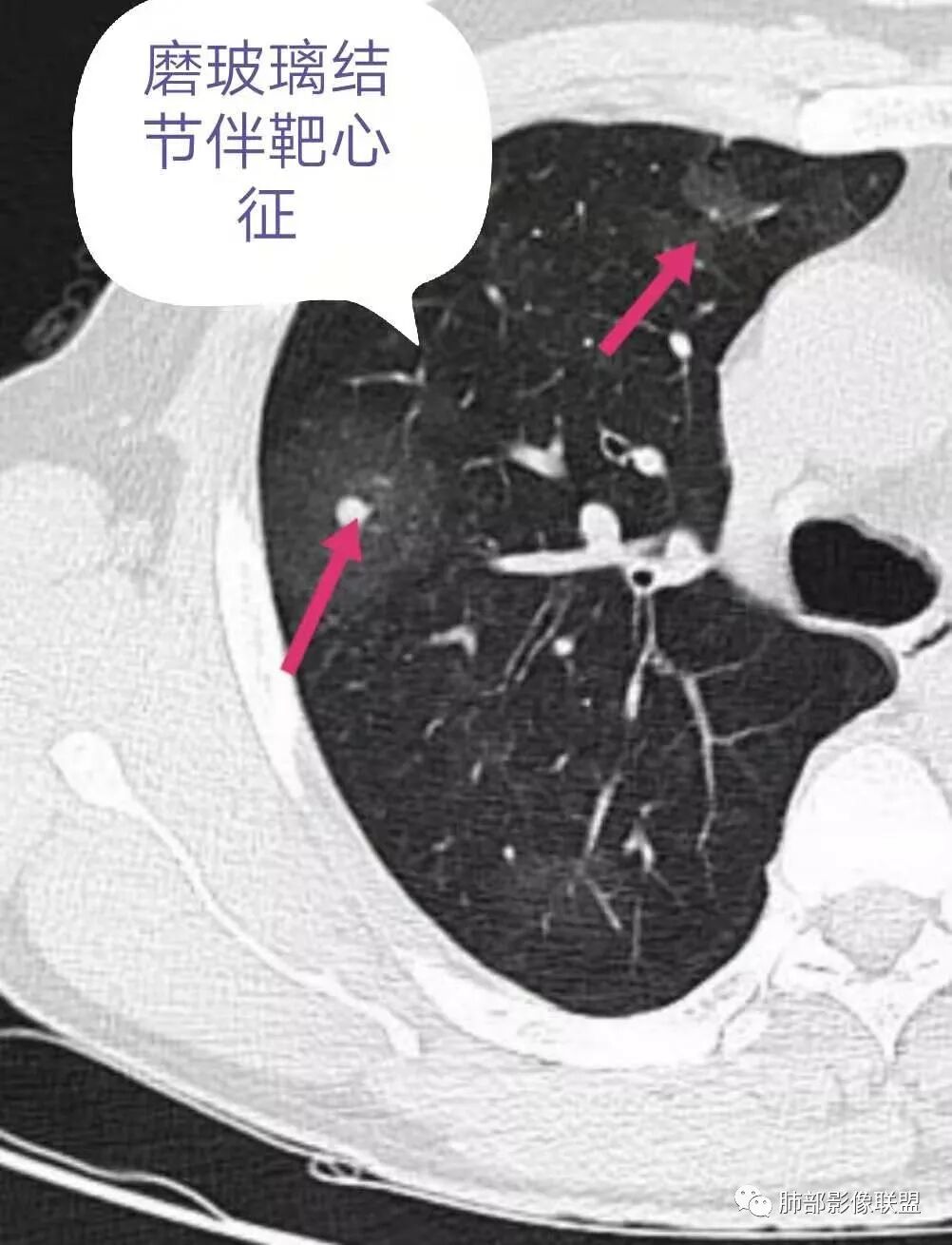
1.双肺多发磨玻璃结节影,边界可分辨,病灶中央都可见一实性密度小结节影,注意不是钙化。这些病灶形态及密度是如此相似,宛如身着厚厚一层晕影蜉蝣深海之中,称之为“点晕征”。
注意:多发、点、厚晕
2.肺部“点晕征”病灶更多见于血管肉瘤、上皮样血管内皮细胞瘤、肺动脉肉瘤等等。
源于血管内皮细胞的恶性肿瘤。根据其肿瘤细胞组织形态及分化程度分为细胞分化较好的血管内皮细胞瘤及分化差的血管肉瘤,后者恶性程度高,易血行转移,死亡率高。
3.患者肩胛骨溶骨性骨质吸收破坏,边界不清,软组织包块,恶性肿瘤的诊断当无异议。
4.成人骨骼的恶性肿瘤多为转移性,原发性少见,偶尔可以有浆细胞瘤及纤维肉瘤等,血管肉瘤十分罕见!
5.患者已过生长期,成骨肉瘤、尤文肉瘤、巨细胞瘤等骨原发肿瘤几乎可以排除。成骨肉瘤骨转移肺部结节实性密度,常伴骨化或钙化,该例也不符合。
肺动脉肉瘤转移至骨骼鲜见报道,且我们缺乏心血管成像影像学证据。
6.本例影像学表现与生物学行为符合血管肉瘤。
编辑:闫美利审核:徐   晓
病例来源:湖南省人民医院   张卫东


到顶部