【每日晨读】脊柱旁肿瘤之争:它来自何方?


      
7.16晨读

戴任降于桑
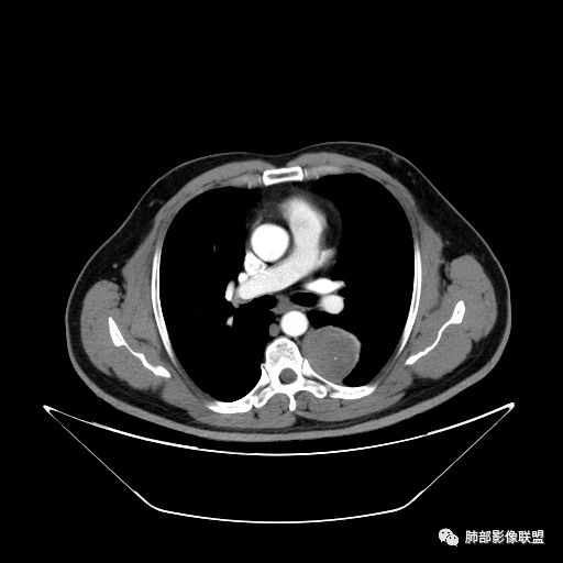
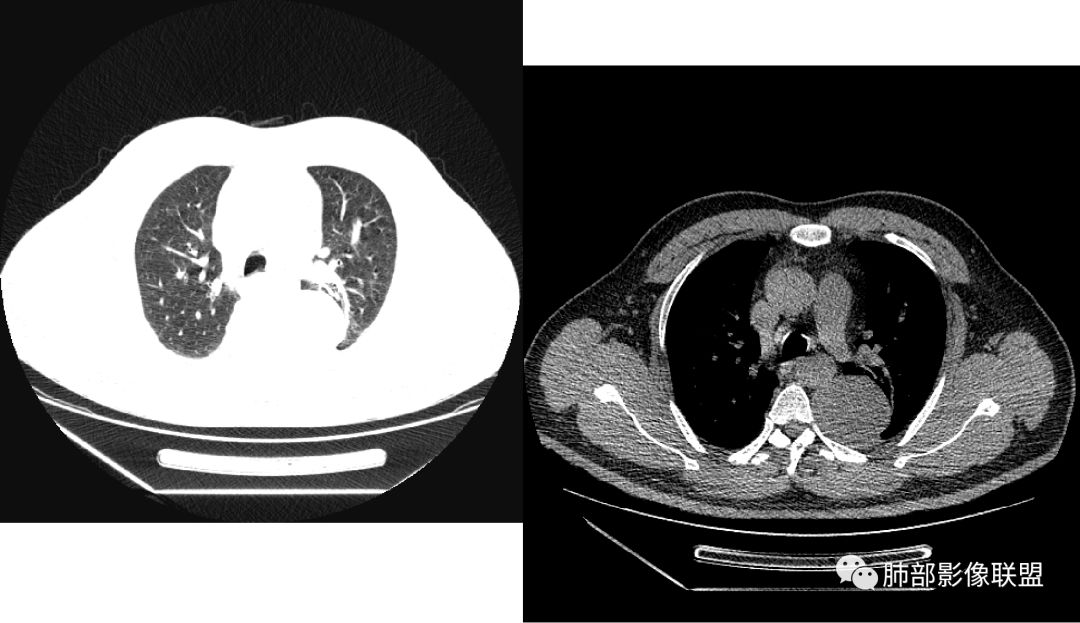
病例资料
病史:患者、男、49岁。
病例提供 赵延毫 


















群内讨论
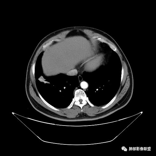
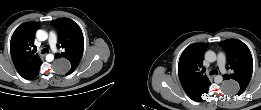
曹志勇:右肺尖后段类圆形病灶,边界清边,缘锐利,宽基底与胸膜相连,环形强化,内似见蛇纹血管征,考虑胸膜孤立性纤维瘤,右肺外底段病灶,考虑炎性可能大
崔刚:左侧胸膜外病变,胸膜掀起,考虑神经鞘瘤。
赵:左后纵隔神经鞘瘤,神经节节瘤待除外
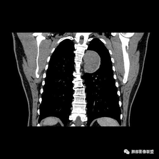
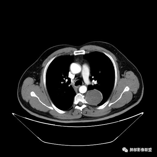
红日东升:左侧胸椎旁肿块,边缘清晰光整,冠状位见D字征,未见支气管进入,肺组织受压表现,定位肺外。轻度强化,密度稍不均匀,临近肋骨变细,未见肺动脉供血,考虑良性肿瘤,神经源性可能。右肺下叶病灶,轻度强化,血管显影,边缘平直、凹陷,考虑炎性病变。
平安是福:肺外
左肺下叶脊柱旁病灶,可见胸膜尾征,均匀强化,临近椎间孔未见扩大,考虑孤立纤维瘤,鉴别诊断神经源性肿瘤,右肺下叶病灶边缘平直,明显均匀强化,边缘清楚,考虑机化性肺炎。

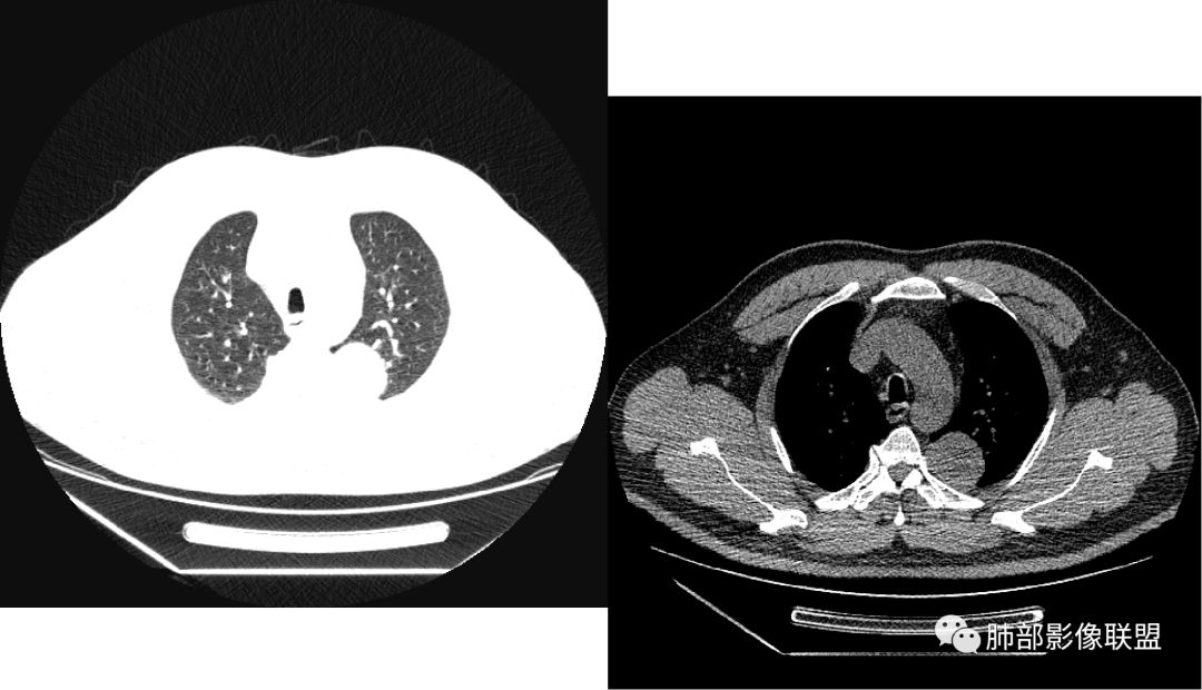
张帅:患者中年男性,咳嗽 咳痰3月,痰为白色粘痰,左上肺病灶,边缘光滑,周围未见毛刺 分叶,肺组织受挤压,与胸膜关系密切,部分层面与胸膜脂肪间隙消失,有胸膜尾征,病灶定位于胸膜,病灶增强可见强化,边缘可见增强血管,内可见低密度区,考虑 孤立胸膜纤维瘤?神经鞘瘤?右肺下叶外基底段病灶,病灶与胸膜有牵拉,病灶边缘光滑,平直 u型征,未见明显毛刺,增强病灶内可见增强血管影,边缘低密度,考虑病灶内存在痰栓。右下肺病灶考虑良性炎症性病灶,ABPA?
张立:左侧胸椎旁肿块,边缘清晰光整,冠状位见D字征,未见支气管进入,肺组织受压表现,定位肺外。轻度强化,密度稍不均匀,,未见肺动脉供血,神经源性肿瘤,节细胞神经瘤可能。右肺下叶病灶,轻度强化,血管显影,边缘平直、凹陷,TB可能。
可芸:定位:肺外病变,胸椎旁肿块,边缘清晰光整,可见胸膜尾征无支气管进入,肺组织受压。轻度强化,密度稍不均匀,未见肺动脉供血,考虑良性肿瘤,神经源性,孤立性纤维瘤?右肺下叶病灶,轻度强化,血管显影,边缘平直、凹陷,炎性病变。
王秀仙:左侧后纵膈占位,位于胸膜下,胸膜被顶起,有胸膜尾征,密度均匀,轻度强化,内可见斑点钙化。周围肺组织结构推移。右肺下叶可见片状影,沿支气管走行,边缘平直收缩,强化明显,胸膜有牵拉。二元论,考虑1左侧后纵膈神经鞘瘤。鉴别SFT.2右肺下叶炎性肉芽肿。
心灵鸡汤:先定位再定性,左侧胸椎旁沟见一团状软组织影,边清,密度均,推挤周围组织,增强轻度强化,考虑为良性肿瘤,来源于后纵隔神经源性的肿瘤,神经鞘瘤可能,鉴别孤立性纤维瘤,孤立性真菌类。左肺下叶外基底段斑片影,倾向机化性肺炎或慢性炎症可能。请老师指点
王江涛:左侧脊柱旁软组织肿块,边界清楚,肺外胸膜来源,肺组织受压,增强有强化,考虑SFT大于鞘瘤;右肺下叶斑片影,明显强化,考虑炎性病灶。
李志国:左侧椎旁团块,宽基底、胸膜掀起,定位肺外,增强轻度强化,有蛇纹血管征,考虑孤立性纤维瘤,鉴别神经源性肿瘤
等待戈多:左侧脊柱旁软组织肿块,边界清楚,肺外胸膜来源,肺组织受压,增强有强化,考虑SFT 鉴别神经源性肿瘤;右肺下叶斑片影,明显强化,边缘平直 考虑炎性病灶。
三生石上:左侧脊柱旁软组织肿块,边界清楚,考虑神经源性肿瘤
薏米:左下近脊柱旁可见一结节状密度增高影,肺外,边界清,边缘规整,无分叶,无毛刺,无棘突,宽基底与胸膜相连,不均匀轻度强化,考虑为良性病变,神经源性可能性大,为神经鞘瘤,鉴别孤立性神经纤维瘤,神经节瘤,右肺片装密度增高影,考虑为炎症可能性大
崇军:左侧胸椎旁肿块,边缘清晰光整,有胸膜尾征,冠状位为D字征,定位肺外。轻度强化,密度稍不均匀,似乎看到肋间动脉供血,未见肺动脉供血,考虑良性肿瘤,神经源性可能。右肺下叶病灶,轻度强化,血管显影,边缘平直、凹陷,层面太少,暂时考虑炎性病变。
食客:左侧脊柱旁肿块,边界清楚,肺外来源 考虑神经源性;右肺下叶病灶,考虑炎性病灶。
长沟流月去无声:中年男性,慢咳起病,左后纵隔可见一大占位,D字征,胸膜掀起,有胸膜尾征,附近肺组织受挤压,血管纹理纠集,瘤肺界面清晰,较均匀轻-中度强化,瘤肺表面可见线样不张之强化影,供血血管来源不易确定,冠状位似乎见一纵隔血管出入,综合考虑神经源性肿瘤:神经纤维瘤,神经鞘瘤?右下外斑片密度影,估计炎性,但本次手术应该未处理。
张秀兰:定位:肺外来源没问题表现,紧贴胸壁,胸膜尾征,点状钙化,密度均 匀,轻度强化考虑:神经源性肿瘤,鞘瘤首选,节细胞瘤待排鉴别:1单发胸膜间皮瘤,间皮瘤也有强化,程度比这个略甚,少见2孤立性纤维瘤,血供丰富,小的瘤体也有比较明显的强化,瘤体越大滋养血管越丰富,强化越甚。
右叶下叶病变,顺支气管走形成不规则片样,考虑炎性
ZK金:定位:左肺下叶后综合脊柱旁肺外肿块,胸膜尾征,D字征,瘤肺交界面清晰,肺组织受压。影像表现:边界清晰,密度均匀,上下经线略横经。首先考虑神经源性肿瘤,神经节细胞瘤首选,鞘瘤和孤立性纤维瘤鉴别诊断。右肺下叶考虑炎症。
Yiren  Sishui(厶水伊人):肺外肿瘤,考虑神经源性肿瘤,鞘瘤首选,SFT待鉴别
等待戈多:那就神经节细胞瘤吧  鞘瘤强化要明显些 容易坏死囊变
小溪流:肺外病变,胸椎旁肿块,边缘光整,其内可见点状高密度影,可见胸膜尾征,轻度均匀强化,考虑良性肿瘤,神经源性
THINKER:CT:右肺条片影,左脊柱旁类圆形占位,内轻强化,边缘强化,无分叶毛刺。诊断:左神经鞘瘤右慢性炎症
Shelia??:左下胸腔脊柱旁类圆形软组织肿块影,呈D字证,可见胸膜掀起,邻近肺组织受压呈弧形致密影改变,增强后似轻度均匀强化,邻近骨质未见明显异常,考虑良性病变,孤立性纤维瘤?鉴别神经源性肿瘤另外右肺小叶不规则病灶,边缘平直收缩为主,局部可见弓形凹陷,密度均匀,增强后轻中度均匀强化,周围肺野尚清晰,考虑炎性肉芽肿病变,OP?但是感觉周围太光整,还是就是慢性炎症?
田园晚风:左胸后部近胸椎占位,密度均匀,边缘光滑,呈d字征,外侧可见压缩肺组织,右肺见条状致密影,与支气管走行一致,考虑左侧神经源性肿瘤,右肺abpa?
张小兵:老年男性,慢性病程,咳嗽咳痰3月,左下肺脊椎旁沟区见宽基底类圆形软组织肿块,无分叶,瘤肺境界光整,其内见点状钙化,周边肺组织挤压,胸膜尾征,延迟强化,提示内含纤维成分,考虑神经源性肿瘤,SFT可能。右下肺病灶收缩力强,内见扩张支气管,提示慢性炎症,考虑机化。
初学者:

初学者:1.胸膜掀起 ,前面是压缩肺组织 2.支气管不通入,考虑肺外。


脂肪间隙不明显,考虑非胸膜起源

4.供血血管看不清,但是似乎有AB区

支持大家,后纵隔,考虑神经源性肿瘤,尤其是神经鞘瘤
另外右肺病变,平直收缩,应该与左边病变二元,目前感觉炎症,强化均匀



征象分析
南边:目前:定位肺外都一致
就是起源于胸膜?胸膜外的问题?
SFT?神经源性?有个问题就是病灶哪里供血啊?
大雄:定位胸膜还是胸膜外啊?潘老师@南边
管洪林:大方向肯定肺外,进一步就是胸膜和胸膜外的鉴别
初学者:
这个看不清有没有走进去
是这样,如果是胸膜来源的SFT,在脊柱和病灶之间应该会有脂肪层,但是这个脂肪层没有,所以不太考虑SFT,支持神经鞘瘤。而且供血看不清,似乎是这个。

大雄:供血血管看不清
清晨的雾:来源于胸膜外,后纵膈肿瘤,神经源性可能性大,目前节瘤和鞘瘤鉴别。从强化和囊变的特点来说鞘瘤可能。
淘时光:血供似乎是纵隔内血管
南边:一般神经鞘瘤与SFT该如何鉴别?
张延军:一个起源脏层胸膜,一个起源胸膜下
冥冥之中:强化,形态,胸膜关系
大雄:sft不可以来源于壁层胸膜吗@张延军 河北省故城县医院影像
南边:

南边:可以
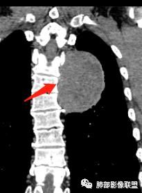
椎间孔很有价值吧
如果椎间孔增大,应该考虑神经源性的
大雄:那壁层胸膜来源的可以往胸膜外生长吗?
张延军:肺内也可有SFT?
大雄:所以还是得看潘老师说的椎间孔
南边:神经鞘瘤按理无处不在,但是脏层胸膜的罕见
南边:所以如果肺动脉供血的当然就会倾向于SFT
南边:有
南边:
大雄:叶间胸膜也可以
淘时光:

南边:

南边:

南边:

感谢:@王军辉-蓟州区医院 影像?我看应该是包膜
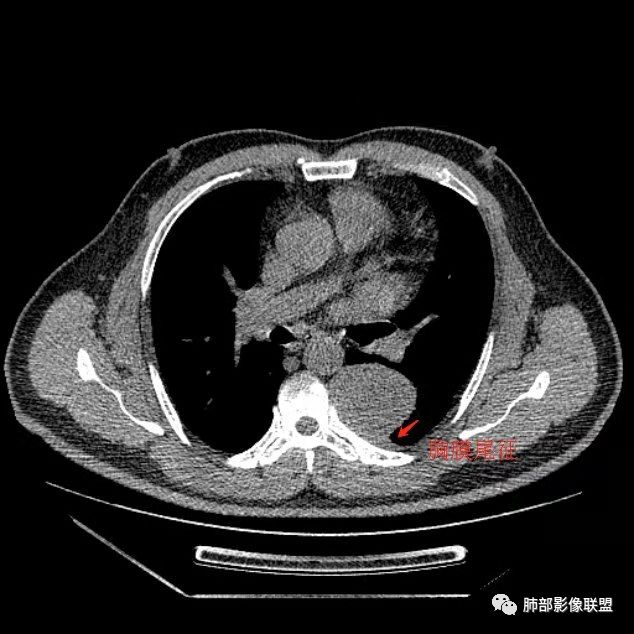
期:有胸膜尾征
南边:因为这个区域里有胸膜
南边:有病灶的包膜和压缩的肺组织
丽:

丽:这是什么血管?
M-Imaging :

南边:这个肯定是纵膈的血管,但是支气管动脉也可以从这里发出,但是没有连续的图,不知道跟病灶什么关系。
M-Imaging :有完整的壁
丽:有包膜
M-Imaging :

M-Imaging :包膜有强化
嗜酸性粒细胞:是包膜还是血管哦
良孑:

南边:这么大肿块
胸膜尾征是否有很大价值?
如果大肿块的时候,这个胸膜尾征的价值有多大?
南边:
刺激增厚?还是被掀起?
嗜酸性粒细胞:胸膜尾征只能提示与胸膜关系密切,有没有侵犯不一定,可能是单纯的反应性增生,也可能是浸润。
阚:内侧有脂肪是不是说明是掀起?
南边:我是想如果这么小小的空间,这么大的肿瘤
按理都会推移附近的空间足够大
不要说根据椎间孔的位置,就是附近的脂肪推移都可以判断其方向
南边:
问题是大病灶,而且椎间孔没累及
我们该如何判断其来源于胸膜还是纵隔
南边:
肿瘤的边界明确

南边:


南边:如这里应该是肿瘤外的
胸水——自然也推断是脏层胸膜或肺内来源
图不够多细节观察不连续
我们其实判断定位:胸膜的变化?推移、增厚,合并胸水更好,看起与胸水的位置关系利于判断
病灶的主题区域、前方没有,就更支持胸膜外或壁层胸膜的,将水外推
其次血供很重要:脏层胸膜:肺动脉、支气管动脉供血
丽:胸水在胸腔内,如果是脏层胸膜病变,胸水不是应该在下方
阚:
徐超:胸水在胸膜腔,图像太厚了首先肺外确定的,近脊柱如果是强化的壁层胸膜,与肿块间隙还有疑微积液,冠状位有一层胸膜外脂肪间隙存在清楚,都提示胸膜来源,主要是确定下内侧结构是否是壁层胸膜,如果是迎刃而解,如果胸膜外,无论哪一层壁层胸膜都是向肺的地方彭隆的。我也支持脏层可能大
平安是福:平扫31Hu,动脉期33–42Hu,静脉期,39–54Hu。
南边:

sun:神经鞘瘤
初学者:但是这个外侧的是胸水吗

如果外面是胸水,那应该是sft
可是如果是神经鞘瘤,这个就是脂肪。
胸水太少不好定位


结果
术后病理后纵隔神经鞘瘤
                                                                                                                              
王秀仙:肋间动脉?
M-Imaging :
徐超:多是肋间动脉
杨泽锋:@南边?病灶内的点状钙化对两者的鉴别有价值吗?
M-Imaging :冠状位,还是靠近纵隔来源的
德芙~云味:只能考虑到肺外纵隔来源,病灶可见胸膜尾征,具体是孤立纤维瘤,神经鞘瘤就分不清了
南边:我觉得纵膈来源的
       
                  病例小结
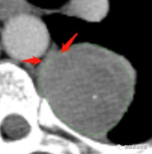
1.左上胸内脊柱旁半圆形肿块,质地坚实,密度比较均匀。
2.病灶周边见胸膜掀起,应当考虑胸壁或是纵隔来源,肺内病变不会如此。
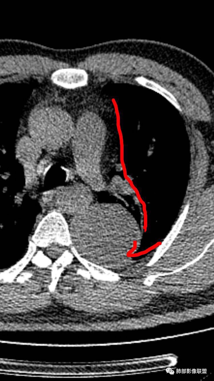
3.降主动脉这一相对固定结构向前方推移,提示病灶相对坚实且有牢固附着点,不支持来自柔软的肺组织。
就如同在腹部,能将肾脏推移的包块,应该来自腹膜后。
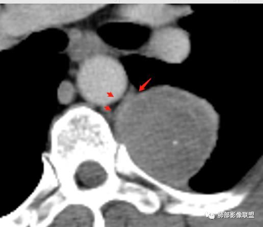
4.可疑肋间动脉病供血,提示肿块来自后纵隔的可能性。
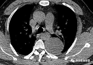
5.相邻椎间孔未见扩大,也未见块影延入椎管,易起自于神经根的鞘瘤似乎找不到相关支持点。
6.未提供矢状位骨窗图像,如在肋骨内下缘观察到压迹有助于肋间神经的鞘瘤的判断,这是因为二者之间密切的毗邻关系。
7.静脉期轻度强化,注意不是环形强化,亦未显示明确的“AB区”,神经鞘瘤与副节瘤亦未找到支持点。
 
综上,病灶定位胸壁或后纵隔,就发病率而言,神经源性可能性较大。
尚应临床侦查患者有无脑内及皮肤病变。
end
扫一扫

关注我
                                                                                 
编辑:任正纲
审核:冯连彩  徐   晓
到顶部