【每日晨读】脊柱旁肿瘤之争:您能一锤定音吗?



真理总是越辩越明,每日晨读病例的讨论大家总是各抒己见,不让彼此。在这里不用担心对错,只需拥有一颗追求真理的心就够了。加入我们吧——肺部影像联盟就是你梦想实现的地方!
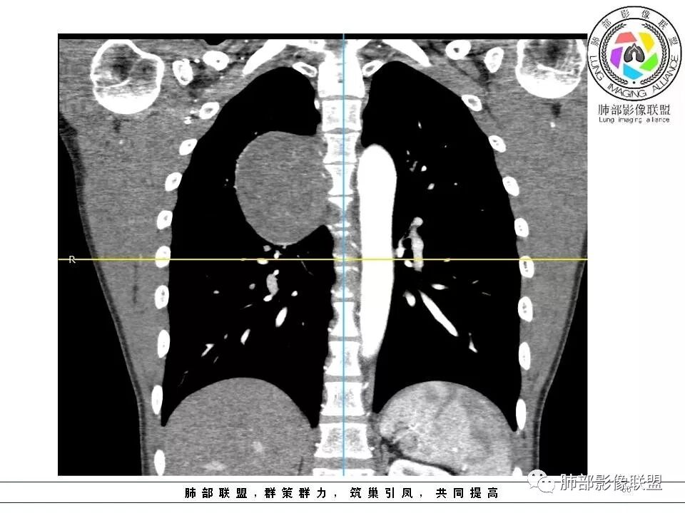
       7.17晨读病例
病例      


























































































图片区域上滑⬆️查看辅助检查
           讨论
大雄:
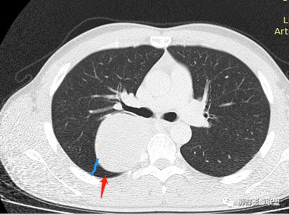
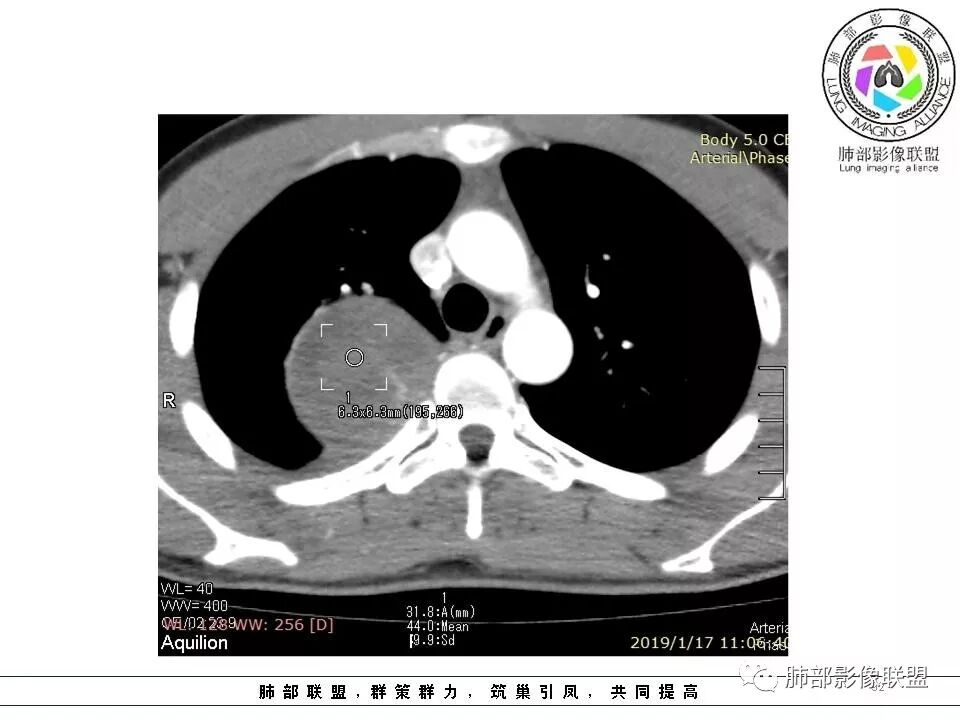
右后纵膈脊柱旁软组织占位,形态规则类圆,边缘光整,肺组织受压,胸膜尾,肋间动脉供血。中度不均匀延迟强化。
SFT,来源于壁层胸膜,建议穿刺活检。
小微:
后纵隔脊柱旁占位性病变,疾病谱有神经鞘瘤,sft,节细胞瘤,髓外造血。此例有胸膜尾征,蛇纹征 ,延迟强化。考虑胸膜孤立性纤维瘤。看到有供血动脉,但不知道是哪里的血管。
wkj:
后纵隔类圆形新生物,边缘光滑,胸膜尾征明显,贴近脊柱,蛇纹,血供丰富,考虑后纵隔软组织肿瘤,具体类型看不出来,鉴别神经鞘瘤。
哞:
右后纵膈脊柱旁软组织占位,边界清晰,光整,肺组织受压。胸膜被掀起,肋间动脉供血,中度不均匀延迟强化。考虑神经鞘瘤,不除外纤维瘤
崇军:
右后纵膈脊柱旁软组织影,与纵隔结构分界不清,形态规则类圆,边缘光整,肺组织受压,胸膜尾,肋间动脉供血。肺动脉推移,中度不均匀延迟强化。考虑神经来源,神经鞘瘤,神经纤维瘤二者不易鉴别。
耿耿:
青年男性,间断胸痛;右侧脊柱旁可见一类圆形软组织密度影,密度欠均匀,增强扫描呈轻中度持续强化,邻近肺组织及肺动脉推移,可见肋间动脉供血,部分胸膜下脂肪可见,部分层面似见与右侧椎间孔相连。考虑后纵隔神经源性肿瘤。
波波:
后纵隔脊柱旁占位性病变,有胸膜尾征,胸膜下脂肪可见,蛇纹征,明显强化。考虑孤立性纤维瘤。
水火既济:
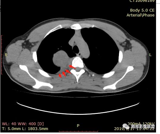
定位肺外。强化不均匀,散在血管。考虑sft,鉴别:神经鞘瘤,付节瘤,cd。鞘瘤有ab区,付节瘤高血压,cd强化,形态不支持。
张帅:
病灶定位脏层胸膜,肺组织受挤压,有胸膜尾征,动脉期可见血管支配,考虑肺动脉供血,静脉期,强化增强明显,符合快进慢出特点,病灶内可见低密度区,考虑胸膜孤立纤维瘤。
小景:
右侧后纵隔脊柱旁占位,边缘光滑清晰,内侧肺组织受压,外侧可见胸膜尾征,增强持续强化,并可见蛇纹血管征。考虑SFT
傅昌瑜:
青年男性,间断胸痛。右后纵膈脊柱旁软组织占位,形态规则类圆,边缘光整,肺组织受压,D字征,胸膜尾,肋间动脉供血。中度不均匀延迟强化。无支气管进入考虑来源于肺外、肿块与脊柱间未见明显脂肪间隙,考虑来源于胸膜外,考虑神经源性肿瘤,建议穿刺活检。
陈学君:
右侧脊柱旁沟占位,胸膜掀起,符合肺外来源,轻一中度强化,考虑鞘瘤,孤纤似乎强化不够。
玫:
后纵隔脊柱旁类圆形软组织密度影,边界清晰,期内密度不均匀,增强扫描轻度强化,周围肺组织受压,考虑神经源性肿瘤?
崔少钢:
肺外占位,边缘光滑,内见蛇纹血管和坏死,考虑SFT
doctor:
右上脊柱旁圆形影,边缘清楚,轻度强化,考虑神经鞘瘤?鉴别SFT
杨泽锋:
胸膜外脂肪存在提示胸膜起源肿瘤,那首先还是考虑sft,至于脏层还是壁层胸膜很难判断
李志国:
后纵隔脊柱旁占位性病变,有胸膜尾征,胸腔积液外推,蛇纹征,考虑孤立性纤维瘤。
红日东升:
后纵隔脊柱旁占位性病变,定位肺外,图像上供血血管不太明确,蛇纹血管征,延迟强化,考虑良性肿瘤,SFT可能大,神经源性肿瘤待排。
虎爸:
脂肪间隙蛇纹血管强化方式sft可能大,鉴别神经鞘瘤
丽:
青年男性,右侧脊柱旁软组织肿块,边缘膨隆,密度不均,临近肺组织受压、胸膜增厚,增强后动脉期呈不均匀强化,并可见肋间动脉供血,延迟期强化较均匀,定位肺外,首先考虑SFT,神经源性肿瘤待排
雪狐7305:
青年男性,右侧后纵膈肿块,有胸膜尾征,支气管被推压,定位肺外,脏胸膜?血供来自肺动脉及肋间动脉,增强后有强化,蛇纹征,考虑SFT,鉴别鞘瘤
小溪流:
青年男性,右侧脊柱旁类圆形软组织肿块,边缘光滑,密度欠均,邻近胸膜增厚,肋骨未见异常。定位肺外,良性。考虑神经源性肿瘤
THINKER:
右肺占位,跨越上叶后段、下叶背,边缘光滑,瘤肺界面清,见肺压缩缘(线样不张`强化),见胸膜尾征,胸膜下脂肪未见明显增厚,肋骨丶脊柱未见侵袭及受压,渐进性丶地图样强化,冠状位似见体循环供血
诊断:SFT(来源壁层胸膜?一般小于20%)
鉴别:神经源性(鞘瘤)、LCD、肉瘤丶孤立性间皮瘤
王秀仙:
右侧后纵膈肿块,有胸膜尾征,周围肺组织及支气管被推压,定位肺外,脏层胸膜来源,血供来自肺动脉或者支气管动脉,增强后持续渐进强化,蛇纹征,考虑SFT,鉴别鞘瘤。
心灵鸡汤:
定位 右后上纵隔胸椎旁沟
定性 良性 
青年男性,右后上纵隔脊柱旁沟可见团状软组织影,边界清,密度尚均匀,推挤邻近肺组织,胸膜可见掀起,有肺动脉供血,增强轻度蛇皮样强化,纵隔淋巴结未见肿大,邻近骨质未见破坏,胸膜下脂肪间隙消失,考虑SFT孤立性纤维瘤可能性大,鉴别神经鞘瘤,节细胞瘤,建议活检。
东哥:
青年男性,胸痛,右上纵膈脊柱旁肿块,形态光整规则,支气管被推移,临近的胸膜明显增厚,有胸膜掀起,增强后密度不均匀,可见蛇形血管征,血供似乎有两根血管供血,考虑SFT
Yiren  Sishui(厶水伊人):
病灶位于奇静脉外侧,肺组织受压,肋间动脉供血,基本可以排除中后纵隔来源肿瘤,考虑SFT
岁月:
年轻患者,偶胸痛,巨大肿块,无明显纵膈淋巴结肿大,无明显胸腔积液,考虑良性或低度恶性肿瘤。30.8-44-58-61hu,渐进性强化,边缘光滑,平扫密度不均,增强密度不均,纤维可以渐进性强化,不强化(或低密度去)区,为粘液。考虑孤立性纤维腺瘤伴粘液。
或者是某种肿瘤的坏死,但坏死不明显,低密度区呈湖泊样,巨淋巴结增生,与性质有关。
血管贴边征,邻近血管未明显增粗,体循环可能,其内血管未破坏,血供丰富,不除外血管源性。
处理:我会磁共振,看脂肪、纤维、血管。其内点状钙化,软骨来也?粘液纤维钙化?
总归考虑:良性肿瘤(低度恶性),纤维,血管,脂肪,粘液,软骨,神经源放在后面,强化部位。
一米阳光:
青年男性,胸痛;后纵隔脊柱旁类圆形软组织密度影,邻近肺组织推移,密度欠均匀,增强呈中度持续强化,蛇纹征,部分胸膜下脂肪可见。考虑胸膜来源sft,鉴别神经源性肿瘤。
紫气东来:
右肺脊柱旁肿块,边缘光滑,胸膜增厚,强化,定位,肺外SFT
不再涩的柠檬:
晨读考虑后纵隔神经源肿瘤,鞘瘤先,代排胸膜孤立性纤维瘤
赵:
胸膜来源病变,孤立性纤维瘤
wonderful:
年轻患者,左侧巨大肿块,边缘清晰,周围肺组织受压,定位肺外来源,增强后较前均匀强化,可见掀起胸膜处脂肪密度,同时可见血供来源脊柱,综合考虑纵膈来源,神经源性肿瘤
黄棘:
后纵膈肿物,边界清楚光滑,肺组织推移受压,胸膜尾征,考虑肺外来源肿物靠脊柱侧有推移脂肪,考虑壁层胸膜来源SFT,鉴别神经鞘瘤
一切∮随缘:
右肺上叶纵膈胸膜侧一类圆型肿块,宽基地与胸膜相连,呈D征,边缘光滑,肺部支气管及血管推移,平扫密度均匀,增强后轻度渐近性强化,并可见肋间动脉供血,病变与食管关系模糊,考虑肺外来源,孤立性纤维瘤(有血管穿行),鉴别神经鞘瘤(强化弱,而且椎孔未见扩大),淋巴瘤
食客:
右后纵隔脊柱旁类圆形肿块影,密度欠均匀,增强蛇纹征,考虑sft,鉴别神经源性肿瘤。
Shelia??:
右上胸腔脊柱旁类圆形肿块影,呈D字,有胸膜尾征,肺瘤界面清楚,密度欠均匀,增强蛇纹征,渐进性强化,考虑孤立性纤维瘤,鉴别神经源性肿瘤。
?????天涯?????:
和昨天差不多的,胸膜尾,定位肺外,蛇纹血管,较明显持续渐进强化,sft,鉴别鞘瘤
张延军:
右侧脊柱旁软组织肿块,胸膜尾征,肺动脉受压推挤,肺组织边缘清晰,增强,肿块由肋间动脉供血,延迟期强化不均匀,内见斑片状低密度区,定位肺外,后纵膈,神经源性肿瘤可能性大,鞘瘤?
Lotus:
定位肺外,胸膜来源可能性大,考虑SFT。
张小兵:
右后纵膈肿块,肺瘤界面清楚,胸膜尾征,邻近肺组织及支气管被推移,部分脂肪间隙存在,定位肺外来源,血供来自肋间动脉,增强后持续渐进强化,蛇纹征,考虑SFT,鞘瘤肿块内血管罕见,不考虑。
刘丹:
青年男性,后纵膈右侧脊柱旁类圆形软组织肿块,边缘光滑,密度欠均,邻近胸膜增厚,肋骨未见异常。定位肺外,良性。考虑神经源性肿瘤。鉴别sft
管洪林:
右上肺野脊柱旁软组织肿块,边缘光滑整齐,肺组织及气管右肺上叶支气管受压前移,外移,边缘可见胸膜尾征,病灶内密度不均,增强后渐进性持续强化,其内可见明显蛇纹血管征,首先考虑肺外来源,sft.可能性大
初学者:
支持,胸腔积液在后方,肺外病变,提示病变位于脏层胸膜,提示sft.血供再看看
没意见:
青年男性,右侧脊柱旁占位,瘤肺界限清晰,支气管推移,胸膜尾,D字征,胸膜下脂肪影,蛇纹血管,双重供血,延迟强化,定位胸膜,支持sft
自信人生:
晨读病例支持孤立性纤维瘤
病灶边缘清爽,内见蛇形血管影有特征   D字形与胸膜紧贴
轻度强化,未见坏死   支气管向外推挤
一米阳光:
右侧肺脊柱旁肿物,密度均匀,边缘清晰,宽基底与脊柱相贴,少量胸水挤压,增强明显强化,内见蛇纹征,与胸壁未见脂肪,定位肺外,定性SFT ,鉴别神经源性
巴伟:
定位肺外,支持良性病变,蛇纹样强化,考虑sft可能性大。鉴别神经源性肿瘤
毛勤香:
右侧脊柱旁肿块,边界清晰,密度稍欠均匀,宽基底与胸膜相贴,脂肪间隙消失,见胸膜尾征,增强有强化,见蛇纹血管,定位胸膜,考虑SFT(孤立性纤维瘤)。
若尘:
青年男性,瘤肺边界锐利,气管向前推移,定位肺外,局部胸膜增厚,后方见少量积液,提示脏层胸膜来源,增强持续渐渐进性强化,内见蛇纹血管,考虑sft
应该就这两病变鉴别,鞘瘤也可渐进性强化,但鞘瘤囊变多见,内部血管少见不支持
管洪林:
胸膜尾征提示与胸膜关系密切,只能提示来源于肺外,但是不能鉴别来源于胸膜还是纵隔吧
还是胸膜来源或者纵隔来源的鉴别
看图说话:
后纵隔脊柱旁占位性病变,有胸膜尾征,蛇纹征,考虑孤立性纤维瘤。
徐天鹏:
应该是来自脏壁胸膜,有尾征,蛇纹征,SFT
田园晚风:
肺外供血,边缘光滑,密度不均,是否为ab区,考虑神经源性肿瘤,鉴别,sft
蔡磊:
青年男性,右侧脊柱旁占位性病变,边缘光整,类椭圆形,临近骨质未见明确破坏及椎间孔扩大改变,未见胸腔积液,增强后:从平扫/动脉/静脉呈逐渐强化改变,内部强化欠均匀,考虑脏层胸膜起源,SFT可能。
张涛:
右侧脊柱旁肿块,边界清晰,密度尚均匀,宽基底,后方见胸腔积液,定位于肺外。增强后不均匀强化,考虑sft。鉴别神经源性肿瘤。
南边:
肺外没问题
就是SFT?神经鞘瘤?
大家觉得哪里供血?
崔少钢:

这是哪根血管供血?
长沟流月去无声:
这根看强化
是体循环供血
大雄:
脏层胸膜主要由支气管动脉和肺动脉供血,壁层胸膜主要由支气管动脉,胸廓内动脉、肋间动脉供血
如果是肋间动脉,就不可能是脏层胸膜,可以是壁层或者纵膈
但是这个病人,肋间动脉供血吧,我倾向胸膜
管洪林:
看血供来源(体循环),脏层来源需要打个问号了
南边:
这个血供显示的较清楚
逐步强化
大雄:
淋巴瘤是不是整体没那么硬,没那么膨隆?
就是会比较软一点,有点见缝就钻的感觉
尘缘:
大家说的,大多数意见都很一致,我就不重复了,我说一下我看的这个细节,我觉得这个是壁层胸膜的强化。肿块位于脏层胸膜上,积液在强化的壁层胸膜内,所以我觉得这个首先还是考虑孤立性纤维瘤。

南边:
这是啥?

南边:
胸膜尾征?还是积液?
尘缘:

@南边 这个可以肯定是积液吗?
南边:
我们来捋一捋征象吧

南边:
边缘光滑,宽基底与胸壁相连,跨叶裂,叶裂稍前推,血管、支气管前移。

浅分叶
外上侧少量胸水
肋间动脉供血,强化尚均匀,逐步强化

张延军:
胸膜下脂肪间隙?
南边:
这个病变看着外面是胸膜模糊的改变,但是血管是从椎间孔过来的,这个胸膜外缘有个间隙存在,个人觉得神经鞘瘤等不能排除。胸膜尾这个征象,外面一层增厚的、延迟第2、3期的局部似乎与肿瘤有间隙,所以不是很踏实。淋巴瘤不太考虑,形态不符,贴在附近软组织梭形改变,有血管进入,当时怀疑淋巴瘤,是上面有个强化的地方不放心。
南边:
供血,体外供血,体循环,要么是壁层胸膜,要么胸膜外的,脏层胸膜应该是对内供血。病变里面的血管,除非是非常粗大迂曲的血管,不然,我不认为是其特点。
俞丽:
脏层胸膜肺内供血,壁层胸膜体外供血
马宁强:
脏层胸膜主要由支气管动脉和肺动脉供血,壁层胸膜主要由支气管动脉,胸廓内动脉、肋间动脉供血
肺外要多考虑一下了
杨泽锋:
胸膜起源的还有间皮瘤
南边:
我想以后做鉴别要借用
这个图其实很全面了
与我刚说的思路比较类似
分叶膨隆区域有点不太对
强化血管来源
徐超:
结果:神经纤维瘤

徐超:
后纵膈
术中确认就是纵膈
张立:
肋间动脉供血,不考虑脏层胸膜,SFT还是起源脏层胸膜多
所以供血还是很重要,我觉得。
徐超:
s100强阳性,还是提示神经来源
梭形一般不一定都是神经,但免疫组化s100+梭形细胞就强烈提示神经
张延军:
胸膜尾,胸膜掀起及附近积液改变,界定及提示意义?
大雄:
神经纤维瘤也比较少
徐超:
神经纤维瘤是比较少见,我在我们这证实的第一次见
Dr.L:
神经纤维瘤来自椎管神经
脊椎椎管里的肿瘤,神经纤维瘤,神经鞘瘤很多啊
只是这个跑到椎管外去了
张立:
这个病人不是肺动脉与支气管动脉供血,是肋间动脉供血
南边:
如果一个大的病变,无论胸膜腔内、还是外,它都会将液体局部阻断,因为太大会把局部隆起,胸膜局部推压,哪一方面推压都会阻断。如果幸运看到里面的积液,积液可见渗入到附近间隙,如果在肿块后面肯定是胸膜腔内,在前面,要么是壁层胸膜,要么胸膜外的。
  这个胸膜间隙,看起来就是一个脏层胸膜一个壁层胸膜,来源就很多种,胸膜是弧形,不规则半圆,后方的、外侧的、内侧纵隔胸膜、肋胸膜,病变来源很多种,第1肺内的,第2脏层胸膜的,胸壁的、肋间的神经源性。例脏层胸膜的,胸膜本身宽基的,带蒂的朝肺内、带蒂的朝胸膜腔突出的,这些都有差异,壁层胸膜也是。胸膜尾征这个有多大价值,贴近胸膜的病变,压迫、刺激胸膜局限性增厚,我对胸膜尾征价值不踏实,我觉得对胸膜的推移对病变对病变定位反而有价值,好就好在这个区域的病变不多,良性的有推移,恶性的有侵袭性特点,肋骨来源、附近的肉瘤,神经源性肿瘤恶变,间叶组织来源,转移瘤,还有就是全身疾病免疫、血液来源的,我觉得定到胸膜外、如果能定胸膜就定,定不到就定不到,如果是肺内动脉血供,与肺没有关系,定在胸膜,孤立性纤维瘤常见,鞘瘤等罕见。
                                   病例小结
1.右上胸内脊柱旁类圆形肿块,质地似乎比较坚实,密度稍显不均,但未显示明确的坏死。
如此密度形态的病灶位于肺边缘首先应当想到孤立性纤维瘤,可相邻胸膜未见明显的异常强化和胸膜方向延伸。
注意所谓“胸膜尾征”的概念及形成机制与“脑膜尾征”是大不相同的。
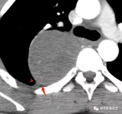
2.肋间动脉病供血也提示肿块来自后纵隔?
3.相邻椎间孔未见扩大,也未见块影延入椎管,易起自于神经根的鞘瘤似乎找不到支持点。
可惜未提供矢状位骨窗图像,如在肋骨内下缘观察到压迹有助于肋间神经的鞘瘤的判断,这是因为二者之间密切的毗邻关系。
4.静脉期轻度不均匀强化,注意不是环形强化,亦未见明确的“AB区”,这点也不支持神经鞘瘤。临床及病灶轻度强化都不支持副节瘤。
 
尽管神经纤维瘤的诊断确实有些出乎意外,但病例开阔了我们的视野。
未见多发病灶,患者有无脑内及皮肤病变,资料未能提供,稍显遗憾。
相关链接
脏层胸膜,肺动脉还是支气管动脉供血?
纵隔最新ITMIG分区以及纵隔肿块的多学科研究
编辑:小   强
审核:冯连彩  徐   晓


到顶部