【每日晨读】残“支”败“叶”,奈何愁?



残“支”败“叶”,奈何愁?
Life is always sweet.


   
1
   
病例资料













2
精彩讨论


        

小微

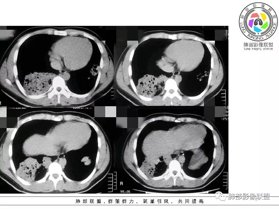
病例一:双肺大片状密度增高影,边缘模糊,其内见无壁空洞影,考虑结核,干酪性肺炎
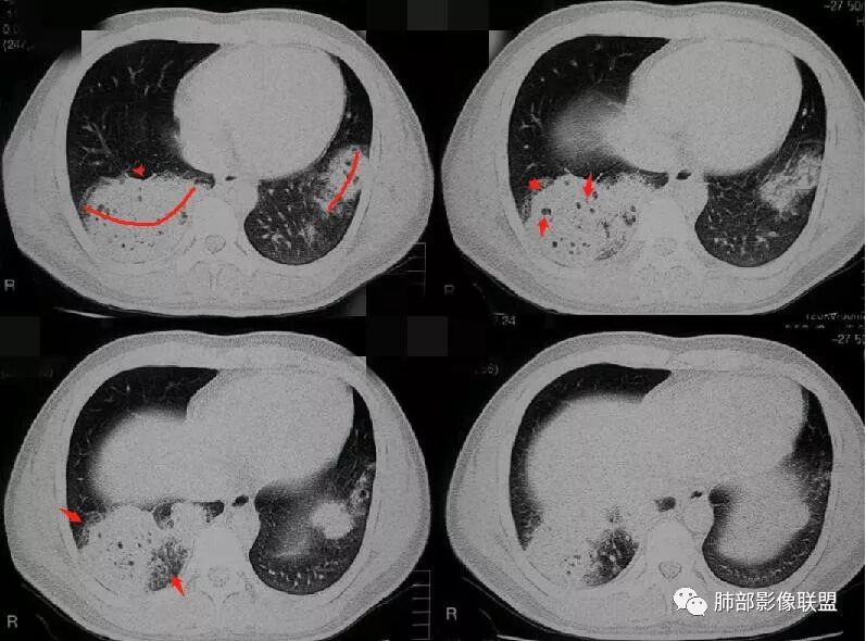
病例二:双肺多发斑片、结节状及大片状状密度增 高影,边缘模糊,部分病灶呈树芽征,树雾征,病灶内见充气支气管征,考虑双肺炎症,支原体肺炎可能性大。

丽:

   病例1:两肺实变,蜂窝样改变,考虑结核,鉴别于淋巴瘤。
  病例2:实变,磨玻璃征、枯枝样支气管充气征,考虑黏液腺癌,鉴别于淋巴瘤

看图说话:

病例1,支持岳老师诊断,青年男性,双肺大片状密度增高影,其内见无壁空洞影,考虑结核,干酪性肺炎。
病例2,双肺斑片及大片状密度增高影,树芽征,病灶内见充气支气管征,考虑双肺结核,鉴别支原体肺炎。

市医院--时建文:

1,双肺大片状密度增高影,其内见无壁空洞影,结核?干酪性肺炎?
2,双肺斑片及大片状密度增高影,树芽征,病灶内见充气支气管征,感染性病变—支原体肺炎?结核不排除!

张延军:

病例一双肺沿胸膜下类圆形及条片状密度增高影,周围见晕征,内密度不均匀,见散在空洞影,邻近无坏死区,内走形的支气管未到边缘,临床病史一月,c反升高,隐球菌?
病例二双肺多发腺泡结节及树丫征,结节间边缘不清,部分周围见磨玻璃影,支气管壁未见明显增厚,临床咳嗽,发热病史,1建议结合病史除外吸入性感染2支原体感染(支气管壁增厚不确定)3结核代排

王秀仙:

病例1:双肺下叶大片状密度增高影,部分边缘模糊,其内见多发无壁空洞,考虑结核,干酪性肺炎。病例2双肺多发斑片、树牙及大片状密度增高影,边缘模糊,病灶内见支气管通畅,部分扩张,考虑结核。鉴别支原体肺炎。

wkj:

晨读,病例一,年轻男性,中等病程,咳嗽咳痰,无发热,双肺实变,反晕,内空洞,超敏c升高,隐球?
病例二,发热,上肺,多灶,多态,树芽,卫星,考虑结核?鉴别支原体。

大雄:

1,慢性病程,两肺胸膜下实变+空洞+含气支气管征隐球?结核?血管炎?疑问是crp500多,有什么提示?
2,影像还是典型的结核,广泛树芽
临床呼吸困难不太好解释,需排除其他病原体还要结合肿标和支气管镜,排除腺癌并气道播散

丁啸:

病例一,青年男性,病史一个月,伴有发热,白细胞正常。提示慢性或者亚急性感染可能大。影像:两下肺见大片状实变影。病灶边缘收缩凹陷,内见多发无壁小空洞影。无明显液化坏死,故考虑结核可能大。病例二,老年男性,右肺大片实变影,两肺支气管播散的腺泡结节,结节偏大,部分融合。纵隔窗见病灶内支气管部分狭窄,远端闭塞,较多细支气管内见粘液栓。首先考虑粘液腺癌两肺播散。

wonderful:

晨读1 虫噬样改变,常见结核,慢性感染也可以,有增强就好鉴别了,如果是结核,痰检很容易确诊,但病灶形态好单一,还是倾向于慢性细菌感染。
病例二 树芽征明显,还伴有发热,首选结核

崇军:

病例1年轻男性,无发热,两肺实变,蜂窝样改变,边缘收缩,平直,无膨隆,结核的干酪性病变是实变为主,其内虫噬样空洞,发热明显,这个没有,排除,一般细菌感染症状均较重,这个临床轻,影像重,隐球?,或COP,鉴别于血管炎,淋巴瘤。                                       病例2,老年人,实变,磨玻璃征、枯枝样支气管充气征,实变位于胸膜下,跨叶分布,有播散特点,考虑黏液腺癌,鉴别于淋巴瘤

秋实:

病例一,年轻男性,双肺下叶大片状实变病灶,内可见无壁空洞,周围似乎有晕,病灶胸膜下为主,支气管自然进入。考虑感染,临床症状不重,考虑隐球,鉴别肺结核。                                                                           病例二老年男性,双肺弥漫病变,右肺为著,可见树丫即腺泡结节  ,实变区支气管略僵硬,发热,咳痰,首先考虑感染,结核,支原体,鉴别癌                  
                                                   

欧阳英:

病例一:双肺下叶团片、大片状高密度影,其内可以看到不规则无壁空洞,和自然走形的含气支气管,周围可以看到晕征,考虑真菌性感染。病例二:老年男性,双肺多发渗出灶为主,可以看到空洞、树芽征,右肺上叶后段及背段为甚,左肺可以看到支气管播散灶,考虑结核并干酪性肺炎可能

张帅:

病例一,青年男性,咳嗽  咳痰就诊,血常白细胞及中性分类不高,CRP明显增高,胸CT:左肺内前基底段 右肺下叶外后基底段病变,病灶内可见多发空洞,并可见坏死区域,病灶边界相对清楚,考虑感染性病变,放线菌感染?病例二:以右肺中叶  下叶大片实变为主,病灶内可见支气管充气征,余双肺野可见多发结节影及树芽征,结节有融合趋势,考虑结核。

THINKER:

病历一:青少年,病史一个月不发热,cRp上升,不支持普通炎症。ca亦不支持。常见病还有TB,cT双肺下多发团片影,无子灶,内见多发空泡,TB影像复杂多变,青年,待排TB,真菌曲霉丶毛霉影像不支持,pC待排。MALT影像不支持。血管炎要考虑诊断:GPA>TB>PC病历二:老男,急性起病,症状与TB丶ca不符,无相关检查,cT右肺大片实变,双肺多发结节丶树芽,以结节为主诊断:支原体>TB>腺癌

Yiren  Sishui(厶水伊人):

    病例一:多发病灶,单一形态(结节或肿块样改变),实变中的空洞,晕征,年轻人,胸痛病史,白细胞高,符合隐球菌感染;                                                        病例二:树芽,右下肺多发空洞样病变,考虑结核

闫美利:

病例1:青年男性,亚急性病程,无发热,crp明显高,双肺下叶大片状密度增高影,其内见多发无壁空洞,考虑结核,但是不发热无法解释,或者说有低热病人不知道?鉴别,隐球菌,但是隐球一般没有空洞病例二:两肺多发腺泡结节,树芽症,右肺片状影,内可见多发空洞,近端支气管管壁增厚,枯树枝征,老年男性考虑粘液腺癌,结核待除

采莲:

晨读一青年男性,咳嗽咳痰胸疼发病。双肺下叶多发实变影,胸膜下分布,胸膜下脂肪间隙清晰,右下肺大片实变影有膨隆,内有多发小空洞,支气管进入,走行自然,左下肺空洞内似有内容物。考虑感染性疾病,金葡?曲霉?晨读二老年男性,发热咳嗽咳浓痰,双肺野多发斑片实变影,以右肺为主,右肺下叶大片实变影,沿支气管分布,有支气管充气征,实变内有多发坏死,支气管走行自然,右肺中叶及左肺上叶多发支气管播散树芽征。考虑肺结核,是否有糖尿病史。

良孑:

病例一,双下肺胸膜下实变影,边界清,病变长轴与胸膜平行,实变内可见充气支气管断面,两肺病灶相类似,年龄较轻,感染指标不高,急性感染性病变可除外,无树芽播散,临床无TB中毒症状,TB可排除,排除上述病变后首先考虑隐球菌。病例二,老年患者,右肺大片实变,边界清,有枯树技样改变,病变周围及左肺可见小结节播散灶,无树芽,首选腺癌并肺内播散,鉴别TB

初学者:

第一例,年轻男性,病史一个月比较久但是临床并不匹配,影像重临床轻而且不发热,不符合普通感染。从影像上分布符合肺实质分布,大叶肺炎链球菌影像和临床均不符合。小叶性肺炎的细菌感染也不支持,病毒更加不支持。那么非典型病菌里面:支原体空洞不符合,树丫树雾没有,一个月不知道有没有抗感染针对不典型病原体,暂时不考虑。军团临床不太支持,也比较少见,暂时不首先考虑。结核是一个选择。另外真菌里面临床符合的只有隐球菌。最后就是肿瘤,肺炎型的肺癌(多为腺癌),和淋巴瘤(分布肺内为主并非间质,malt一般是老年人,没有支扩,空洞多,暂时不考虑)。所以锁定在:隐球菌,结核和肺癌。暂时只有一次似乎诊断有困难。我们可以做的是增强,复查,支气管镜,隐球菌的荚膜抗原检查。最后甚至是穿刺排除肺癌,鉴于患者还比较年轻,先排前两个吧,但是部位不是结核最常见的部位,给的图少树丫并不明显,暂时隐球菌,结核和肺癌这样的排序。沿着支气管血管束似乎有结节,再加上这个空洞里面并不是光滑,有一点假大空,如果不是年轻,肺癌可能大,年轻,肺癌依然不能完全排除。建议进一步检查。一次很难一锤定音第二个病例比较支持大家,结节和斑片,结节感比较多,没有看到明显的树丫,还是粘液腺癌首选,建议支气管镜进一步明确。太多结节,而且结节内也有空洞/空腔。腺癌首选,结核待排。树丫没有看到



病理结果


   
3
   
病例小结
       
我们分析这2个病例的共同点:双肺都是以外周胸膜下分布为主,均表现为肺大片、斑片实变的肺炎性型改变,而且都有含气支气管的堵塞,这种残“支”败“叶”的异病同影的病例,那我们如何从影像上抽丝剥茧并结合临床分析病例呢?那我们现在按南边老师分析套路,从病变形态与分布、边缘的收缩性、病灶的走形方向、病灶的支气管变化、病灶内坏死及周围情况逐一分析;
病例一


病灶的形态与分布如何?                            
  多发实变影,呈叶段分布,形态及密度都比较单一,比较柔和
病灶的走形如何?                                                                                                以外围胸膜下分布为主,长轴与胸膜平行
病灶的边缘如何:
大部分边缘膨隆,局部边缘稍收缩
病灶内的支气管如何:                                                                            支气管走形通畅自然,部分于近端堵塞,管壁光整
病灶内的坏死如何?:                                                                                             病灶内有坏死空洞,大部分空洞内壁光整,部分空洞内少许分隔影,呈“鬼脸”样空洞
  周围情况如何?:                                                                                                   周围肺野有模糊晕,未见明显树芽征,与胸膜有糊墙改变
患者临床轻影像重,CRP增高,社区获得性肺炎常规不考虑,年轻人,不是许多机会性感染的易感人群,特殊性感染性病变有结核和隐球,但是结核形态多发,好发于上叶及下叶背段,密度不均一,通常有树芽,而且结核空洞呈虫蚀样且内壁光整,不作为首先考虑病灶形态单一,有晕征,有空洞及空洞内分隔,病灶分布与胸膜平行,隐球比较符合,但是结核影像多样化,年轻人,也需要临床进一步检查除外结核。    病例为什么不首先考虑OP或淋巴瘤,病灶内支气管情况有助于判别,OP收缩性往往很强,所以病灶内支气管应该稍扩张而且没有堵塞,淋巴瘤起源于支气管粘膜下和肺间质,往往沿血管支气管束方向分布,与胸膜垂直为主,病灶内支气管壁增厚并直达远段,易合并支气管扩张;年轻人肺炎型肺癌少见,而且影像表现也不支持,如果患者治疗效果不好,需要临床进一步检查排查肺癌。
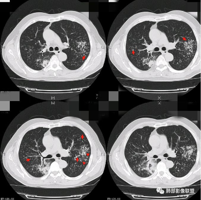
病例二



病灶的形态与分布如何?
右肺中叶及下叶大片实变影及双肺多发腺泡结节,局部成簇的腺泡结节融合成片,以外围及胸膜下分布为主
病灶的走行情况如何?
 磨玻璃结节沿支气管飘散并落脚其他肺叶和肺段
病灶边缘情况如何?
 以膨隆为主,局部稍平直、收缩
病灶内支气管情况如何?
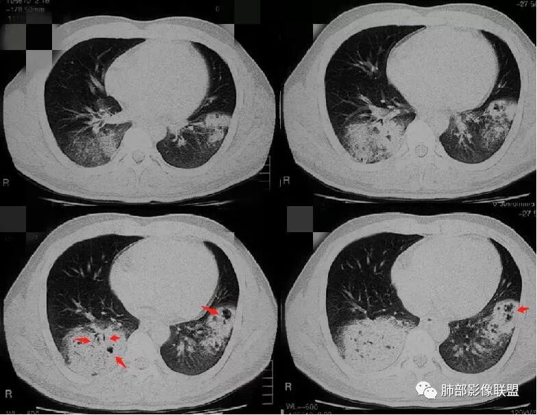
 支气管走形僵直、狭窄、中断,分支减少,呈“枯树枝”改变(图1-4红色短箭头)。可惜没有增强,不能了解病灶强化及血管情况。
病灶内的坏死情况?
 有少许小空泡,未见明显液化坏死
周围肺野情况如何?
 周围肺野有边界清楚GGO,局部中轴间质明显增厚并呈结节样改变(图1绿色箭头),树芽征不明显
老年男性,有发热、咳嗽、咳少量浓痰,呼吸困难,临床病程不详,但是影像上有实变、簇状分布的腺泡结节及枯树枝征,老年男性,高度怀疑肺炎型肺癌;肺炎型肺癌的病理基础是癌细胞沿肺泡壁、小叶中心、腺泡腔成簇、匍匐性生长,并沿肺泡孔及支气管播散,并且癌细胞分泌粘液引起肺组织实变,液化坏死少见,而干酪性肺结核多有虫噬样空洞及液化坏死区,结核支气管多为壁增厚 、扩张,肺癌的支气管多为狭窄堵塞、粗细不均。


温馨提示:病例2病理结果细支气管肺泡癌此定义取消,现归为腺癌,也是肺炎性肺腺癌的主要类型之一。详细内容请参考肺部影像联盟文章“不同时期腺癌的病理影像诊断”。
相关链接【每周一例】08期:片影也有隐忧-琢磨不透的腺癌(肺炎型)之二


01


不在意时光的走,也不在意雨雪的停。因为岁月不能阻止,因为心跳与脉搏无法控制。


编辑:蔡笑燕
审核:冯连彩
到顶部