【每日晨读】肺隔离症居然还有这样的猫腻



同样的肺隔离症


2019年8月1日晨读:七月再见,八月你好!感谢默默无闻工作在一线的临床医务工作者,感谢默默关注肺部影像联盟的影像呼吸大夫们,有你们的热心支持,肺部影像联盟会一直与您同行!

1
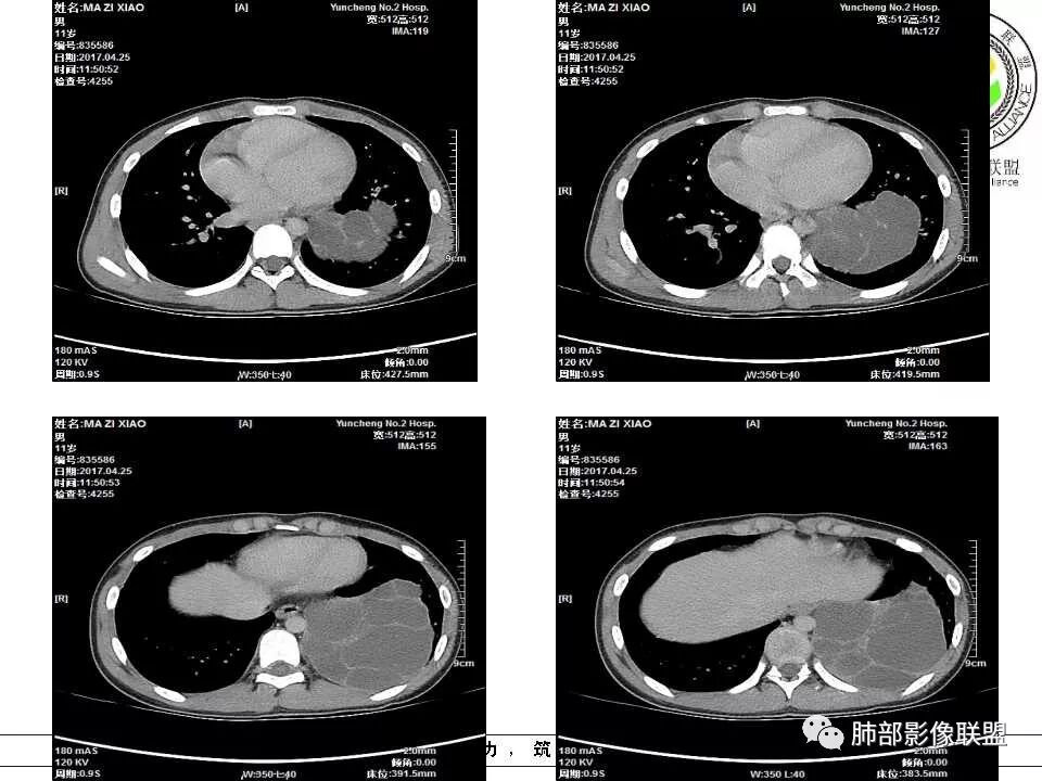
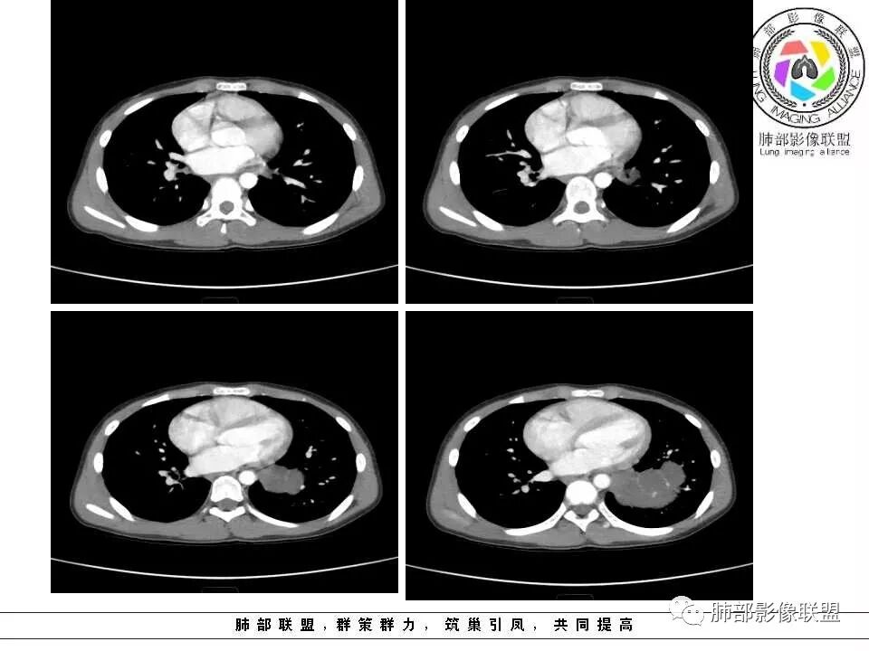
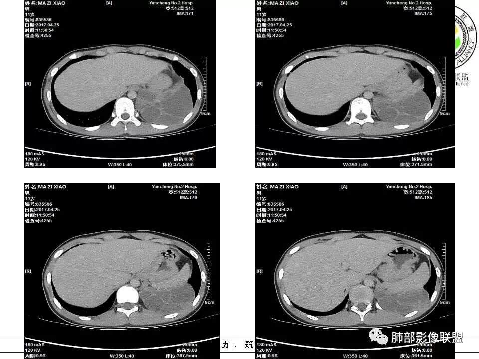
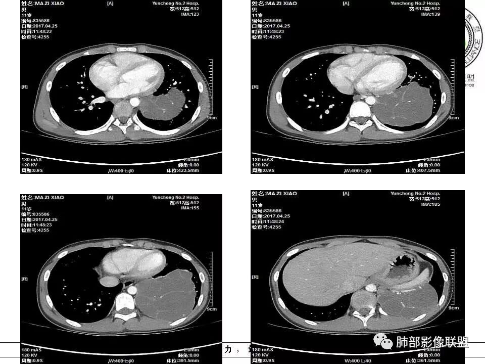
第一部分:病例资料
你若也习惯将心情隐藏
请点击查看 
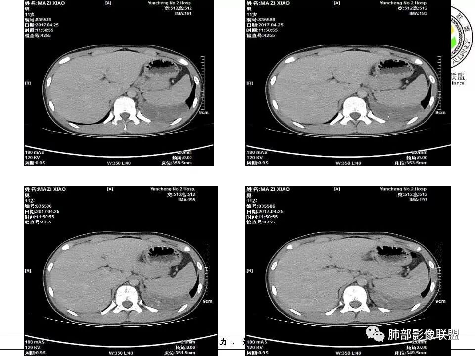
病例提供:运城市第二医院  王崇军















1

1
第二部分:精彩讨论
赵:
肺隔离症,供血动脉来源腹主动脉
空帆船:
肺隔离症 膈下腹主动脉供血 肺静脉引流 多房改变支气管扩张积液?
王秀仙:
左下肺囊性占位,多发分隔,增强分隔及边缘强化,腹主动脉供血,考虑肺隔离征。
没意见:
左下叶基底段,实性,囊性变,体动脉供血,支持隔离
张小兵:
腹主动脉供血,肺隔离症
小溪流:
儿童左下肺囊性占位,多发分隔,增强分隔可见强化,腹主动脉供血,肺隔离征。
马宁强:
腹主动脉供血,肺隔离症
飞鹰行动:
左肺下叶病灶,囊性为主,内见分隔,边界清晰,首先考虑良性病变,增强可见体循环供血,考虑肺隔离症
wkj:
儿童,左下病变,边界清,囊性,分隔明显,体循环供血,肺隔离症。
晨:
左下肺囊性变,内有分隔,体循环供血,支持隔离症。
游山玩水:
病灶位于左肺下叶,边界清,囊性,内见分隔,增强可见体循环供血,支持肺隔离症。
王江涛:
左下肺囊性团块灶,多发分隔,增强分隔及边缘强化,主动脉供血,考虑肺隔离症,叶外型。
张晴:
王兆宇主任说,根本没有叶外型
张延军:
左下肺囊状影,内有分隔,体循环供血(腹主动脉),肺静脉回流,考虑隔离症
Yiren  Sishui(厶水伊人):

滴水海:
支持肺隔离症
M-Imaging :
左肺下叶多房囊性病灶,主动脉分支供血,肺静脉回流,符合肺段隔离症,应该是肺外型吧
ZK金:
支持肺隔离症
冬瓜:
腹主动脉供血,支持肺隔离症
毛勤香:
左肺下叶囊性占位,腹主动脉供血,肺动脉引流,考虑肺隔离症。
THINKER:
儿童,左下占位,延迟强化,有分隔及血管造影征,分别见降主A分支进入
诊断:隔离(叶外型)
鉴别:寄生虫丶SFT丶神经源性
黄云开:
支持肺隔离症
岁月:
男性,11岁,为什么大家一致考虑主动脉供血来源?
囊性肿块,分隔,钙化,比较少点状。
1.明显主动脉供血???未见到直接征像,至少不直接了当。
2.周边血管推移的多,分隔供血需要仔细端详。有肺血管、腹部体动脉分支供血,血管较粗大,供血较丰富,肺动脉引流?肺动脉血流方向,不太符合,看看是肺动脉还是肺静脉?
囊性纤维粘液瘤,不知肺內有没有这个病;
囊虫,水上浮莲,点状钙化,需要鉴别;
纤维瘤;
转移,少见;
血供丰富,低度恶性不除外。
建议:MRI
处理:手术
鉴别:隔离症
诊断:良性低度恶性肿瘤?纤维粘液瘤,纤维瘤,寄生虫。
黄棘:
左肺下叶占位,内部多发分割,内部可见供血血管(似来自腹主动脉分支),考虑:隔离症可能
Lotus:
先天病变肺隔离症可能性大,不除外多囊性占位
doctor:

丽:
左肺下叶囊性变,可见多发分隔,增强后分隔及边缘可见强化,并可见降主动脉分支进入,考虑叶外型肺隔离症
左手:
左下肺肿块,内部见多分隔,囊性密度,增强见腹主动脉分支、肺动脉供血,考虑肺隔离症,鉴别支气管囊肿
一米阳光:
儿童,左下肺多房囊性占位,增强分隔强化,腹主动脉供血,肺隔离征。
正气:
老师们早上好!
符合肺隔离症!但愿有坑很精彩!!!
玫:
11岁男患,左肺下叶见囊性病变,期内见分隔,增强扫描见强化,供血血管清晰,考虑肺隔离症,不除外多房性囊性病变。
自信人生:
支持肺隔离症
11岁  没有症状  明显供血血管穿过及供血  左肺下叶囊肿样液化,考虑左肺下叶发育不良或支气管囊肿融合
自信人生:
肺包虫病没见过  有点像肝包虫
风儿:
男,11岁,左肺下叶囊性包块,形态不规则,内有分隔,包膜及分隔明显强化,主动脉供血,肺静脉引流,基底段支气管显示不清,首先考虑常见病肺隔离症,支气管囊肿不排除
?????天涯?????:
爬楼,读片好精彩,老师们太厉害了      晨读肺隔离症考虑,这种多囊隔离症木见过,不知道能不能排除其他多囊性病变
尘缘:
读片结果很可能合并有其他发育异常问题,不过分析按正常思维就行了
管洪林:
明显体循环动脉供血,多囊样表现,囊壁清晰,明显强化,肺内囊腺瘤一般肺循环供血,还是先考虑肺隔离。
良孑:
11岁儿童,左下囊性占位,内有分格,强化时可见体循环供血,发生在左下叶内带的囊性或囊实性,肺气肿样改变的首先要考虑肺隔离症,
耿耿:
腹主动脉参与供血,左下肺多囊灶,还是符合肺隔离症表现吧

1
第三部分:答案揭晓
     电话随访,患者在西安某医院手术,为肺隔离症,供血两支动脉,均来自腹主动脉,引流入肺静脉。
  


1
第四部分:专家解读

    一、隔离症的血管
1.有体循环供血动脉
2.并无伴行静脉,回流到纵隔的血管不容易见到
3.相应流量的静脉,在隔离症周围通常仅有肺静脉
4.供血动脉形态有改变,常有扩张及退变



   二、肺隔离症病理谱系
•支气管的狭窄---肺气肿
•支气管部分(有几支闭塞)堵塞---中央实变加周围肺气肿
•支气管几乎完全堵塞---完全实变,没有肺气肿,但容易感染
•支气管完全闭塞---完全实变,不容易感染
   三、隔离症发生时间及原因
•推测发生于出生后
•最初体循环供血并不影响肺组织发育结构,因为血压相等
•出生后血压不平衡,肺动脉难以发育,伴随支气管也发育异常
•随着年龄增大,体循环血压持续上升,影响持续增大
    四、隔离症疾病发展过程
•最初是婴儿期的体肺动脉压力差形成,局部血供替换
•接着是支气管肺动脉结构改变,支气管狭窄,肺动脉不发育
•然后是空气张力作用下远侧支气管扩张及肺气肿形成
•反复的积液感染,形成实性囊性混合病变
•感染可以向周围播散






          关于“肺隔离症”与“异常体循环动脉供血下肺”
当前CT血管成像技术条件下,发现异常体动脉供血肺组织已非难事。
“肺隔离症”与“异常体动脉供血正常左肺下叶”区别在哪里?
1.“肺隔离症”必须具有异常体动脉供血及相关的肺部囊样病变或囊实性病变,而“异常体循环动脉供血下肺”的肺部没有这样的相关病损。
2.“异常体循环动脉供血正常左肺下叶”的下肺组织相对正常,支气管与其他相关正常肺支气管结构顺延。
3.个人以为,采用“无隔离肺的异常体循环动脉供血”的名称也许更为贴切,因该部分肺组织体积有缩小,血供有异常,不宜用“正常”二字表述,且有异常体动脉供血右肺下叶的报道。
4.“无隔离肺的异常体循环动脉供血”的供血动脉常常较为粗大,多为肺静脉引流。体循环的动脉压力约为肺动脉6倍,如循环血量过大(如有短路更是如此),局部肺血增多,血流动力学类同主动脉血回流左房室(左-左分流),左心前负荷增大,患者可能会出现咯血、心脏大血管杂音、心功不全等临床表现。
5.“无隔离肺的异常体循环动脉供血”的鉴别诊断尚需包括动静脉瘘。

【肺部联盟讲堂】肺“隔离症”的病理影像学-王兆宇
  肺隔离症?发育不良?or肺囊肿?且听南大深入剖析
炎炎夏日草莓冰淇淋

不能[莓]有你




编辑:杨宏刚
审核:冯连彩   徐   晓
到顶部