【每日晨读】暗藏玄机的空腔


           8月6日晨读                   
自从遇见你
余生都是你
没有在最想做的时候去做的事情,都是人生的遗憾。人生需要深思熟虑,也需要一时的冲动。













群内讨论
精彩分析
Lotus:支持恶性的征象,假大空,支持良性的征象环形强化RockJ-ason:老年男性,吸烟史,不规则厚壁,周围有囊腔,中等度强化,无卫星灶,首先考虑恶性,有些支持鳞有些支持腺,拿不准RockJ-ason:鉴别结核一切∮随缘:左肺上叶空洞,洞壁较厚,不规则,紧贴胸膜,有血管牵拉,增强后轻度强化,周围有肺气肿,老年男性,考虑鳞癌,鉴别结核(周围比较单一,无树丫)
杨泽锋:空洞壁上有空气,这一点支持炎性病变,可惜病史又不支持慢性肺脓肿

南边:囊腔,壁局限性不规则增厚
德芙~云味:考虑恶性初学者:囊性肺癌

初学者:1.病史2个月,老年男性,临床症状不重南边:这一条就致命了
初学者:吸烟病史。无发热,白细胞正常Coke with ice:邻近胸膜增厚太明显了

初学者:2.囊性病变伴一侧不均匀增厚,囊内见分隔,
毛勤香:考虑恶性,鳞和腺有点拿不定,首先鳞吧尘缘:确实要先考虑恶性了。初学者:3.背景肺气肿,这种状况很容易发生ca
南边:强化也不踏实
初学者:4.增强后不均匀,内壁坏死分界不清

Coke with ice:这个是不是栽桩?秋实:强化密度不均匀,似乎有坏死区
尘缘:空腔壁厚薄不均,内壁有结节样改变,强化不均匀明显强化,有坏死。doctor:病灶囊中囊,壁中囊,考虑腺癌?

心灵鸡汤:左肺尖团状影,内有空洞,似有壁结节,边缘有毛刺,周围见局限性肺气肿,考虑恶性肿瘤,腺癌?鉴别空洞型肺结核,肺脓肿南边:胸膜也不踏实

尘缘:胸膜是有栽桩改变


初学者:往里面密度减低,符合ca的坏死

尘缘:HRCT图周围边界很清楚的。初学者:5,支气管进入,远端堵塞,

初学者:6.边缘膨隆

初学者:7.胸膜可疑栽桩
完毕,考虑肺癌
阚:往里面密度减低,符合ca的坏死,这个也符合炎性病变吧?初学者:炎症周围肉芽肿强化明显,坏死分界清楚甄德强:这个强化分界模糊也符合恶性特点
Coke with ice:假如这个是结核的话,是不是整个病灶都不会强化这么明显?初学者:有空洞无树丫说不通空洞也不是空洞,里面有丝丝缕缕
Coke with ice:对于结核肉芽肿的强化方式我不明确大雄:多种多样。不强化,环形强化,明显强化Coke with ice:可以表现为该病例这样的吗?大雄:不好说,要整体看
良孑:不规则空洞,洞壁厚薄不均,不均匀强化,有毛刺有胸膜牵拉,邻近肺野有气肿,征象都指向恶性,有吸烟史耍想到鳞,但还有收缩力,综和考虑,首选鳞或腺鳞、
病理结果
分析
结果
左肺上叶低分化腺鳞癌



               本例小结
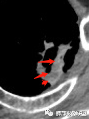
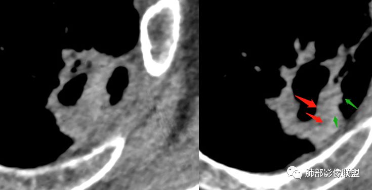
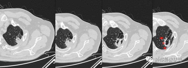
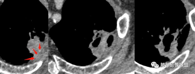
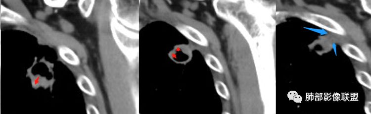
1.左肺上叶应为空腔样病灶。如作为空洞,前下壁并不完整,且与薄壁囊腔壁相延续,整体结合起来看应为厚薄不均匀的较大的空腔样病灶。这样的空腔样病灶应首先怀疑空腔性肺癌。
2.厚壁区可见壁结节及液化坏死。图像未能完整显示小支气管情况,但空腔的存在提示与支气管或多或少还是相通的。
3.病灶轻度环形强化,壁稍显僵硬。灶周显示较清楚,未见磨玻璃晕。
4.可疑胸膜侵犯(栽赃)。
5.吸烟老年男性患者,临床表现轻微。
 
空腔性肺癌主要见于腺癌和鳞癌,上述2-5项更倾向鳞癌。
                              关于癌性空洞
1.主要见于肺鳞癌,典型者如肺上钩瘤等等。
2.空洞壁厚薄不一,超过15mm恶性居多。
3.内壁凹凸不平。换个视角说,有壁结节,外缘呈分叶状。
4.支气管常截止病灶处,且不会行走厚壁间。
5.轻度或中度环形强化,坏死区不强化。由于破坏性强,加之癌肿生长过快,肿瘤组织压迫供血血管,导致血管阻断、狭窄、血液供应内壁不足,缺血坏死,所以腔壁强化偏弱。
6.胸膜受侵,胸膜外脂肪密度增高;外缘膨隆为主。
病理上在肺纤维化蜂窝区和相邻肺气肿交界区域常常会观察到肺泡上皮反复增生及支气管上皮鳞状细胞化生,然后通过不典型增生最后导致细胞恶性转化。并且有人认为且肺纤维化瘢痕可以导致淋巴管阻塞,局部潜在致癌物质增多,使得在该背景下容易发生肺癌。所以即使病灶形状不一定呈肿瘤样膨胀生长,但位于局限的肺气肿与肺纤维化交界区也需谨慎观察。
编辑:李建丽
审核:冯连彩  徐   晓
病例来源:魏军 西安大兴医院

THE  END

识别图中二维码
关注我
到顶部