【每日晨读】 炎症和肿瘤——一个永恒的话题!


追梦人
设彩铃 
6月11日晨读:

像雾像雨又像风,到底是什么?等你来判断。

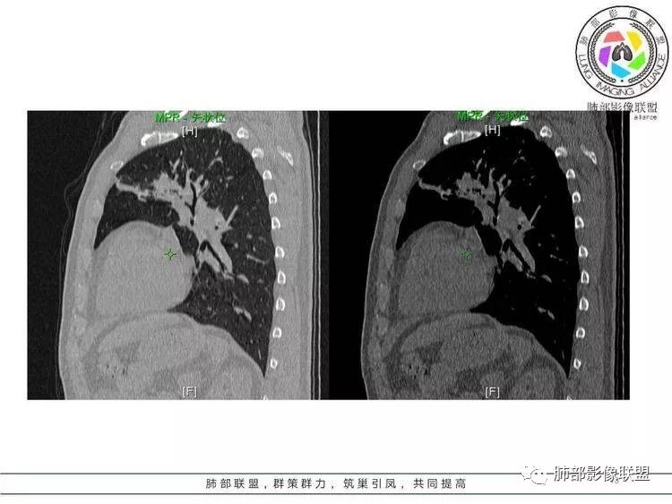
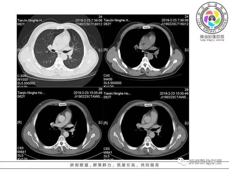
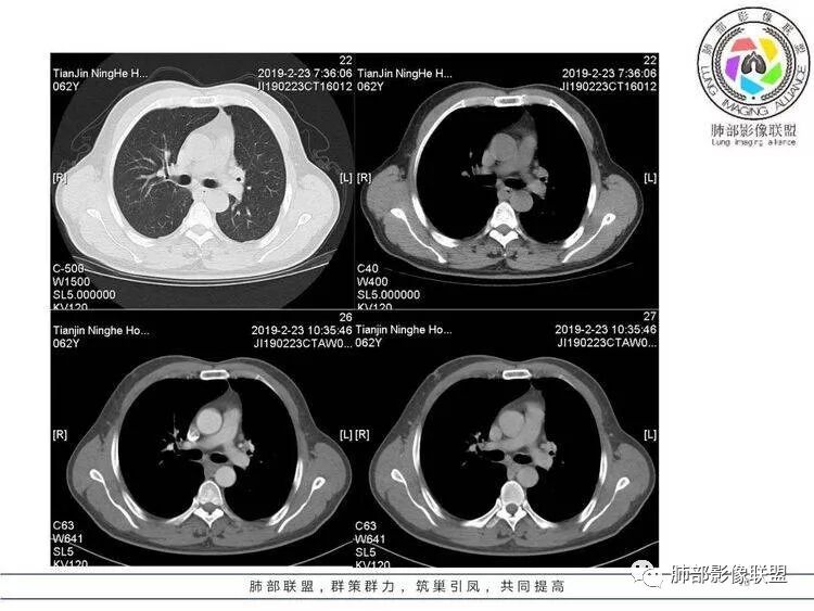
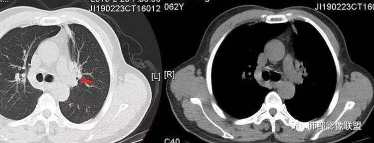
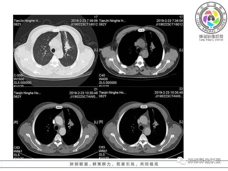
病例资料
















群内讨论
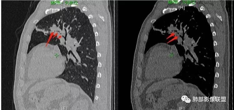
王秀仙:左肺上叶肿块,边缘平直收缩,周围可见长索条,轻度强化,密度不均可见低密度坏死,考虑结核。鉴别腺癌。Yiren  Sishui(厶水伊人):晨读:左肺上叶肿块,近胸膜侧光滑,提示符合淋巴回流病变,周围条索,符合肉芽肿性病变,环形强化,中心坏死,考虑结核可能luys:左肺上叶病变,沿支气管分布,边缘平直收缩,周围见长索条,轻度强化,伴边界可见低密度坏死灶。考虑特殊感染。灶内支气管中断,临床以咯血就诊,鉴别肿瘤。博麟:左上胸廓稍缩小,长条索病灶,冠状位似见支气管截断,坏死边界似乎欠清,猜个纤维条索基础上合并瘢痕癌红日东升:晨读:左上叶结块,前缘有粗大索条向前延伸,邻近前联合线明显左移,提示收缩明显。结块边缘平直、收缩;增强结块及索条明显强化,内血管走行自然,坏死灶周围似见三层结构;考虑炎性病变。wonderful:肿块实性边缘光滑  考虑良性病变 合并咯血 。结核或曲霉玫:左肺上叶不规则形软组织密度肿块影,边界清晰,期内密度不均匀,可见坏死,病灶向前呈条索状延伸,矢状位病灶形态欠规整,似有血管中断,考虑恶性病变可能,待除外结核?张帅:左肺上叶病变,病变周围平直,长毛刺,病灶内可见低密度区及支气管征,矢状位提示前段阻塞,病灶内气管不规则扩张,病灶周围有卫星灶,考虑良性病变:结核?我心飞翔:病灶边缘平直,中央可见坏死,周围磨玻璃边界欠清,考虑炎性病变张延军:左肺上叶尖后段肿块,边缘以平直为主,局部膨隆,内见片状坏死区,边界欠清,相应尖后段支气管闭塞,考虑占位并不张,腺癌?建议抗炎治疗后复查丽:左肺上叶病变,边缘平直,并可见长索条,增强后密度不均,可见坏死,首先考虑结核,但重建后支气管走形欠连续,似有截断,恶性待排毛勤香:左肺上叶病灶,边缘平直为主,周围索片影,增强强化不均匀,内有坏死,重建支气管走行欠规则,似有截断,老年男性,需排除恶性(鳞癌?)并阻塞性肺炎可能王萍:左肺上叶团片,大部分边缘平直、凹陷,周围见少许条片模糊影,增强内见坏死区,余区域较均质,其内支气管部分通畅,部分变窄。咯血病史,无发热,考虑肉芽肿性炎可能性大,结核或放线菌等,肿瘤待排THINKER:左上叶,占位,围绕尖后段支气管,U型凹丶平直,长索条,有轻强化及低密度,考虑良性的,首选OP,老年不发热丶咯血,鉴鳞癌、TB飞鹰行动:左肺病灶,有明显的收缩表现,增强后病灶内部可见低密度无强化区,病灶内支气管轻度扩张呈串珠状改变,支持炎性病变,结核可能性大。杨泽锋:支持炎性病变伴小脓腔形成,但不支持结核,因为病灶内可以可见血管影THINKER:问一下各位老师:这个给的强化,是肺动末期丶主动脉未期`延迟期?大雄:老年男性,左肺上叶前段条片状实变影伴周围长条索,境界清晰,边缘部分锐利光滑、部分毛糙,增强可见中央局部坏死,周围无强化区轻中度均匀强化,无钙化,无明显卫星灶,无胸膜明显牵拉凹陷。病灶整体收缩力有,张力不明显,肿瘤概率小。临床无明显急性感染症状,倾向于慢性增生性炎症,累及段支气管,引起了咯血。结核多见,但慢性结核肉芽肿一般强化没这么明显。OP不除外。老年男性如果有长期吸烟史,鳞癌不能完全排除,鳞癌的坏死强化都符合,鳞癌收缩力也不强,形态更是变化无常左手:老年男性,咯血,左肺上叶长条样结节,边缘见牵拉影,支气管堵塞,病灶内见坏死,坏死边缘偏清,考虑鳞癌,鉴别结核宇宙星空:支持恶性。鳞癌可能性大。支气管截断及空泡征
Shelia:考虑机化性肺炎伴小脓肿形成?炎性肌纤维母细胞瘤?鉴别癌食客:左肺上叶病灶,边缘平直,周围条片影,增强内见坏死区,内支气管部分通畅,咯血病史,无发热,考虑结核,肿瘤不除外。管洪林:左肺上叶尖后段病变,整体边缘平直,部分稍收缩,临近长索条影,胸膜缘可见轻度牵拉,增强后整体强化明显,其内可见低密度类圆形坏死区,边界清,首先考虑op并小脓肿形成,但部分层面显示小支气管受阻,是否层面原因?管洪林:若是支气管阻塞,鳞癌作为鉴别雪上一枝蒿(陈显静):他这个动脉期是不是不是很明显啊,觉得跟静脉期差不多,强化值也不好分辨?徐超:左肺上叶实变,边缘平直,周围无磨玻璃及卫星灶,病灶内坏死,强化后边界清楚,无壁结节,余病灶轻中度均匀强化(对比肌肉),增强后血管显影清楚自然,未见破坏边缘毛糙,血管旁条形无强化区(粘液?)整体符合炎性特点,炎性假瘤或op可能,伴小脓肿;结核放后面待排(结核病灶内血管完好,边缘清楚,且强化近中度,不是很合理,肉芽肿到也可以)。红日东升:平扫和强化窗宽窗位不一样良孑:左上实变,有平直及长毛刺,其内支气管牵拉性扩张,提示收缩力较强,无卫星灶,强化不支持TB,均匀强化,无分叶不支持鳞癌,影像上提示慢性进程,考虑OP并脓肿,鉴别炎肌母。

南边老师分析
南边:病灶在哪个段?
宇宙星空:上叶前段
张延军:前段?
良孑:左上叶前段
Yiren  Sishui(厶水伊人):上叶前段
南边:这是?

张小兵:前段
南边:


南边:应该是前段吧。前段的支气管怎么样?


张延军:狭窄,阻塞
南边:堵了?狭窄了?
张丽红:扩张,有堵塞?
张延军:狭窄后扩张?
宇宙星空:看远端的话是狭窄了吧,但是近端明显是截断啊,远端的是肺泡腔?
选择:扩张后狭窄

南边:没有堵塞考虑啥?
张延军:结核?
宇宙星空:炎性病变

宇宙星空:病灶长片状,部分边缘平直光滑,
南边:坏死如何?
宇宙星空:是坏死吧,内壁边界不清
张延军:坏死边界清
宇宙星空:坏死明显
南边:还是支持炎性吧
宇宙星空:慢性的炎性确实先考虑吧

结果
炎性假瘤




 
本例小结:
1.外观呈三角形,尤其是锐三角形的病灶,一般是最不支持肿瘤的。
2.小病灶影像上观察到液化坏死一般不支持肿瘤。
3.腔内壁太规则一般不支持肿瘤。
4.炎性分泌物可以形成一定程度堵塞,但很少截断支气管。
5.结核可以强化不显著,但病灶不靠边,没有卫星灶,似乎支持点不多。
编辑:徐   婕   冯连彩
审核:徐   晓
病例提供:杨子权   天津市宁河区医院医学影像科
到顶部