【每日晨读】徘徊在腺癌与慢性炎症的纠结




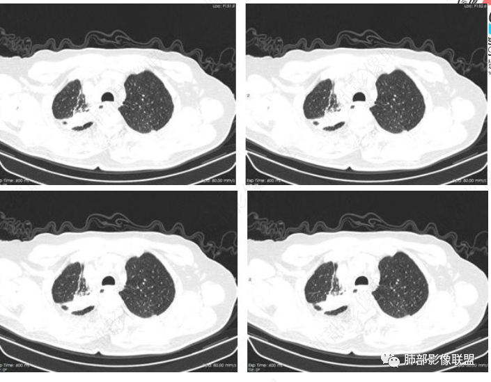
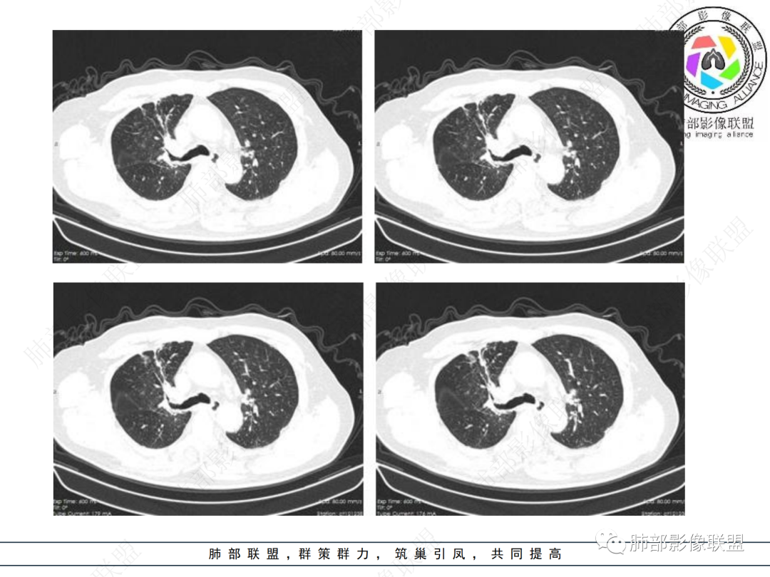
病例展示






































微信群讨论分析

飞鹰行动:
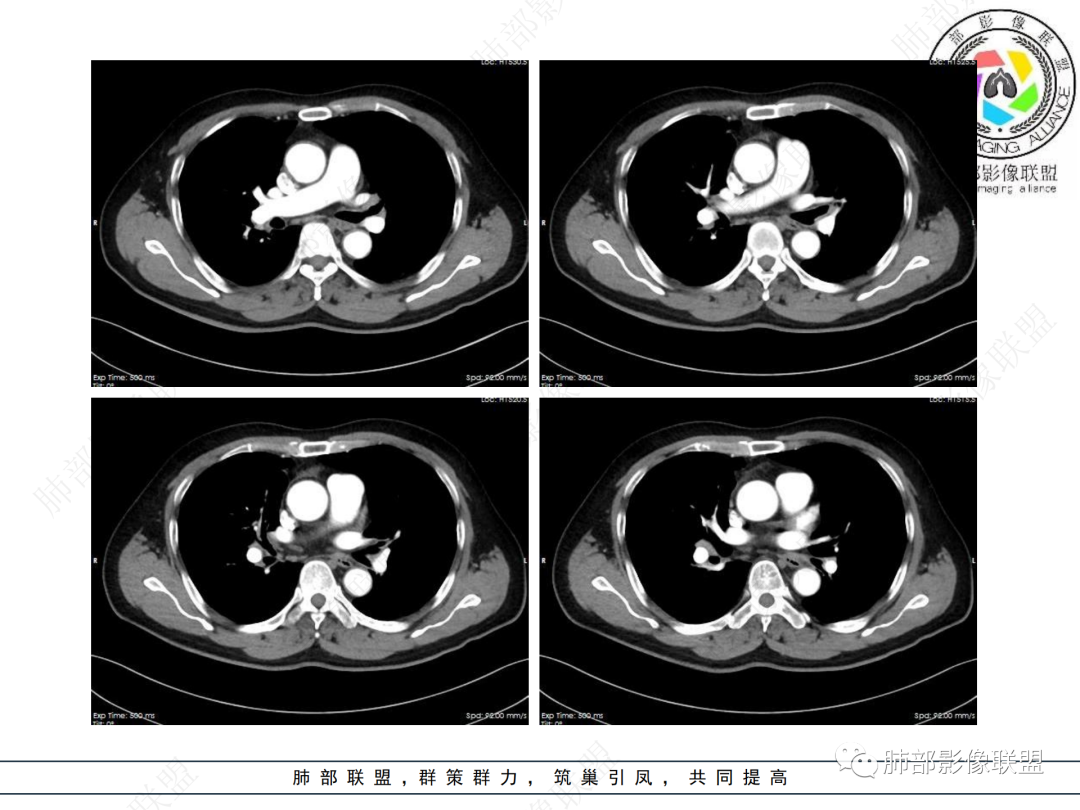
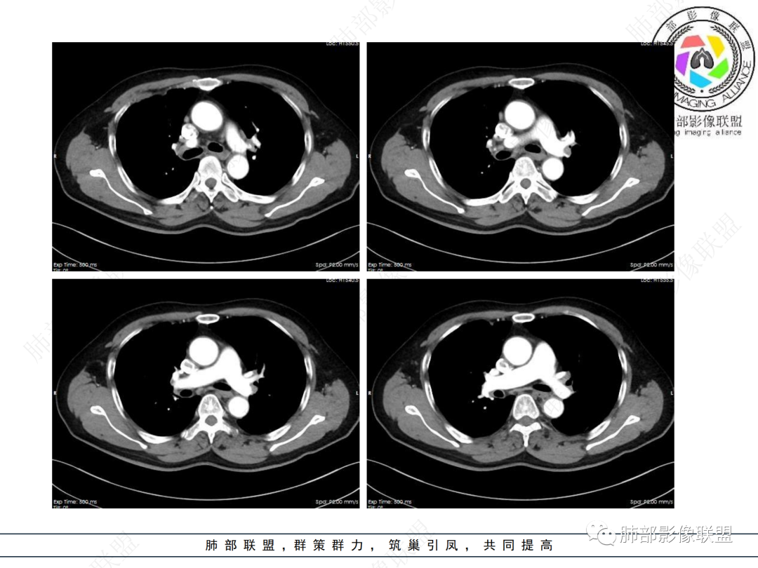
主要在慢性炎性病变与腺癌之间鉴别,病灶有膨胀性生长,支气管未见阻塞,支气管僵硬,增强病灶内可见强化,支气管内部壁增厚,偏向占位性病变,腺癌可能。
薏米:
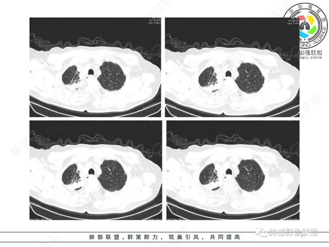
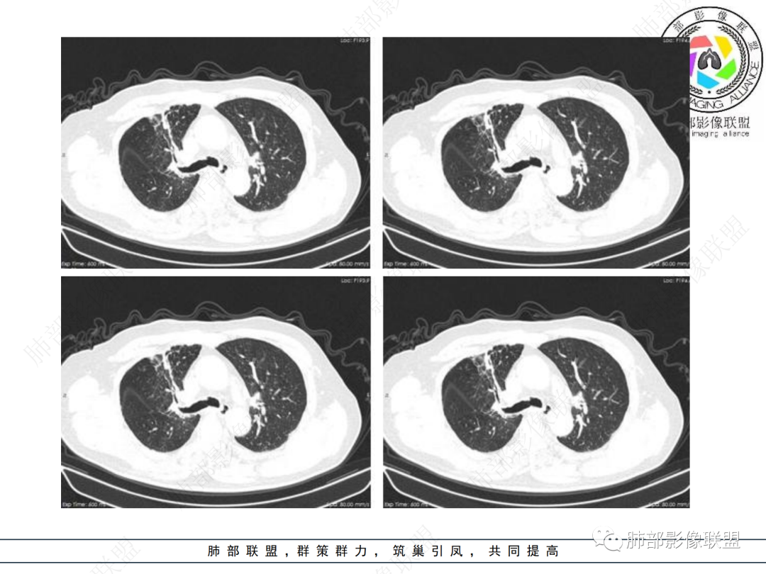
右肺上叶可见一团块影,边界清,有膨隆有凹陷,边缘可见毛刺,斜裂可见牵拉,不均匀强化,内可见液化,临近支气管未见明确阻塞,考虑腺癌可能,鉴别脓肿,结核等
秦化君:
病史2年。右肺上叶团片影,边缘部分清晰,平直,相邻纵隔侧胸膜黏连较广泛,周围见斑点。增强均匀强化。首选炎性肉芽肿性病变(慢性炎症,结核)。肿瘤性病变待排。食道上段形态异常建议相关检查。
宇宙:
右肺上叶团块,边缘毛糙,长索条,周围斑点影,邻近胸膜增厚,不均匀强化,其内小低密度灶边界清,考虑炎性肉芽肿,腺癌待排
王开金:
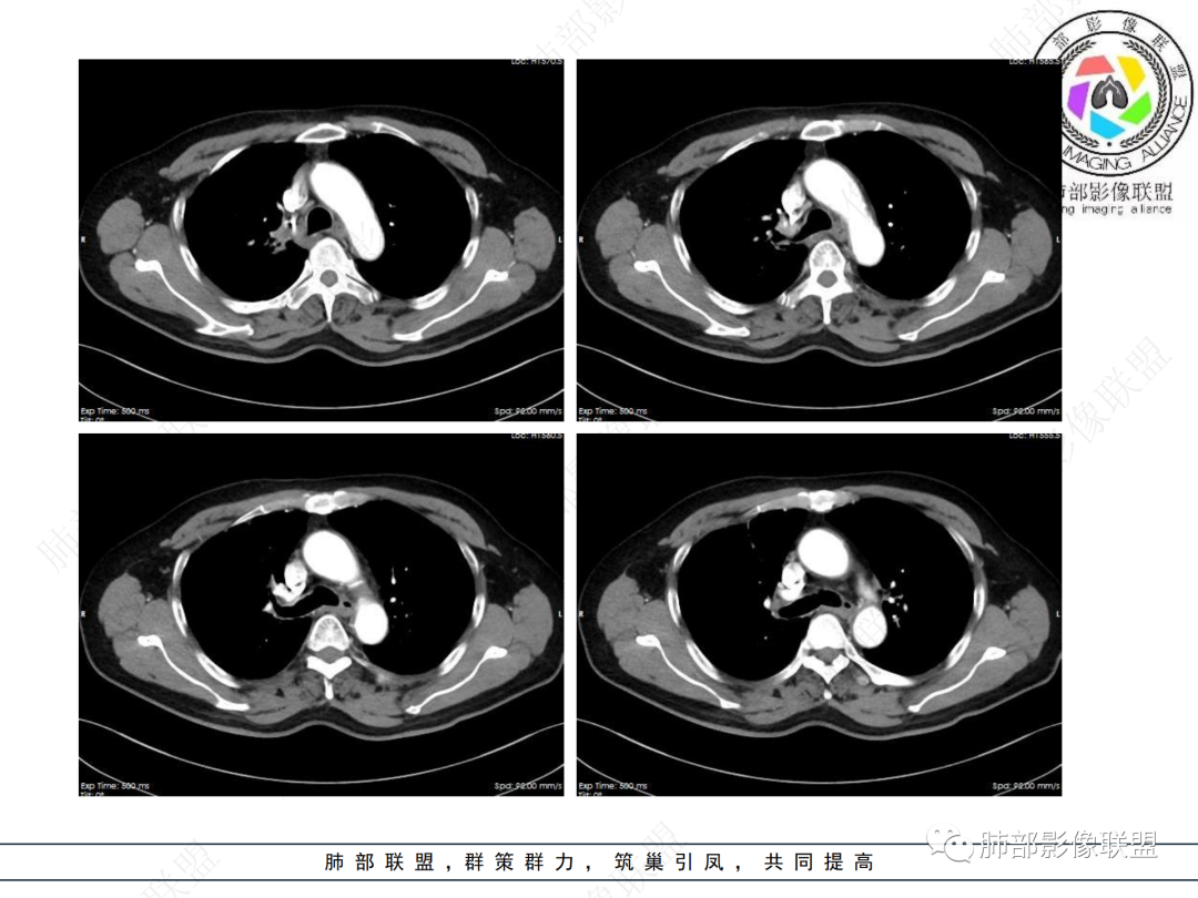
老年男性,咳嗽2年,右上肺类圆形新生物,毛刺,不均匀强化,考虑肺癌,支气管截断不明显,腺癌?
张延军:
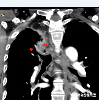
右上胸廓缩小,叶间裂移位,尖段软组织影,前段支气管壁增厚,双上肺多发结节及条片影,增强后尖段软组织影内见多发低密度影,呈环状强化,考虑慢性肉芽肿,腺癌待排
小兜:
男性,69岁 反复咳嗽2年余,加重3天入院。CT示右肺上叶尖段不规则实变影,周边伴条索影,支气管未见明显堵塞,增强不均匀强化,考虑为恶性,腺癌可能
周太狼:
老年男性,慢性病程,右肺上叶团块影,边界清晰,边缘毛刺,脐凹征,胸膜牵拉,不均匀强化,支气管壁增厚,考虑恶性,腺癌可能,鉴别肉芽肿、结核
?? 玫:
男,69,反复咳嗽2年,加重3天入院,右肺上叶软组织密度肿块影,边界尚清晰,边缘见毛刺及胸膜牵拉,右肺上叶支气管壁增厚,增强扫描不均匀性强化,考虑腺癌可能,鉴别炎性病变。
丽:
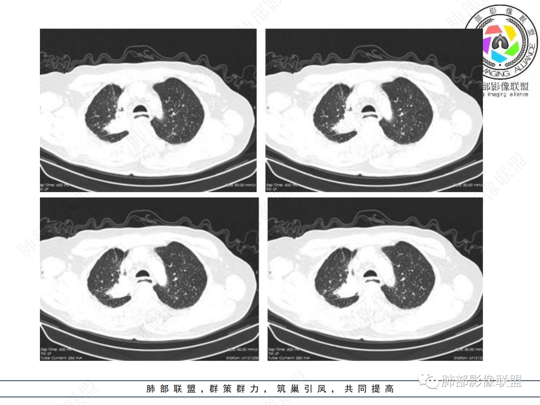
老年男性,右肺上叶体积小,见高密度团块,边缘模糊,并见多发长索条,增强后不均匀强化,考虑炎性肉芽肿性病变,鉴别腺癌
爱跳舞的猫:
病程长,右肺上叶团片影,边缘毛糙,部分膨隆,长索条,周围长条索及结节,邻近胸膜增厚,不均匀强化,首先考虑炎性肉芽肿,鉴别腺癌
张燕萍:
右肺上叶团块周围多发斑索,不均匀强化,支气管无明显堵塞,咳嗽两年,首先考虑慢性炎性病变,肺结核可能,鉴别腺癌
邢瑞欣:
膨隆,上叶体积缩小,可见强化,相应胸膜肥厚,感觉支气管通,纵隔未见明显肿大淋巴结,考虑慢性肉芽肿,鉴别腺癌,结核
放射线:
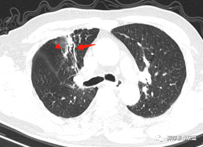
右肺上叶见不规则团块,边缘清晰,周围可见长索条及斑片影,胸膜顶增厚,右侧斜裂部分增厚,右上肺体积略缩小,增强后不均匀强化,考虑炎性肉芽肿性病变,结核?鉴别腺癌
衡妈:
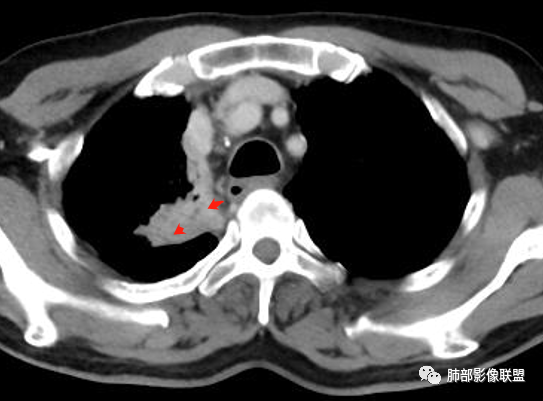
右肺上叶体积变小,见不规则实性病灶,边缘有平直,长软毛刺,邻近胸膜明显增厚,叶间胸膜牵拉上提、局部凹陷;病灶周围不干净,可见长索条影;近端支气管壁略增厚。增强后增强不均匀,有低密度坏死,间隔较厚。考虑慢性炎性肉芽肿,结核可能,鉴别腺癌。
看图说话:
右侧胸廓变小,右肺上叶团块,边缘毛糙,长索条,周围斑点影,邻近胸膜增厚,气管不规整,密度不均,不均匀强化,考虑炎性肉芽肿,腺癌待排。
谢加平:
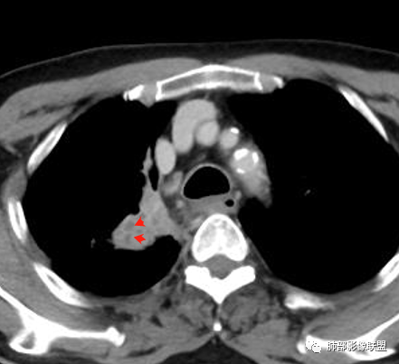
右肺上叶尖后段不规则斑块病灶,后缘以斜裂为界,有边缘平直,周围见纤维及多发小卫星灶,邻近胸膜反应性增厚,纵隔胸膜下少量积液,同时右肺中叶内侧段支气管扭曲及牵引性扩张,周边见爬行征,胸廊入口变窄,纵隔未见淋巴结肿大,综合上述慢性炎性肉芽肿,结核可能性大,支气管镜肺泡灌洗!


南边老师分析

老年男性,病史2年,加重3天

提示慢性病史
加重3天——提示有急性病变,或原病变突然加重
右上胸廓较对侧慢性缩小

右上叶体积缩小
慢性病变有







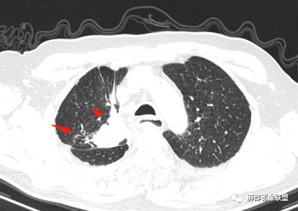
内部支气管近端狭窄,远端粘液栓
结核要考虑下
内部血管也通畅

边缘也算平直

不踏实的是这里稍膨隆

恶性待排吧



病例结果




总结学习

      在临床上诊断慢性炎症其实比诊断肿瘤和结核都要棘手,因为病原学找到了结核菌,结合临床,检验,影像等相关资料就可以确诊结核病,活检时发现有肿瘤细胞就可以诊断恶性疾病。但如果没有发现结核菌和肿瘤细胞,结核和肿瘤有时候仍然不能排除,也不宜轻易断定慢性炎,临床还需要治疗,观察,甚至手术切除送大病理。
      结合本病例,老年男性患者,慢性病程,急性加重,无吸烟史,影像学表现为右肺上叶尖后段斑片实变密度影,整体边界清晰,边缘平直收缩为主,周边散在纤维条索影,内部见支气管内粘液栓,血管影走形正常,没有明显破坏,增强扫描明显强化,缺乏典型分叶毛刺、胸膜改变,病灶也未显示清楚的磨玻璃勾边,病灶大而肺门纵隔未见肿大淋巴结,综合考虑慢性炎性肉芽肿可能性大。但恶性,结核能完全排除吗?我想对临床医生来说还是有很大考验的。

编辑:许慧良
审核:雷  凤  徐  晓



到顶部