【每日晨读】前纵隔囊性占位,究竟为何物






















群内讨论

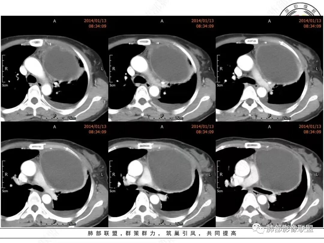
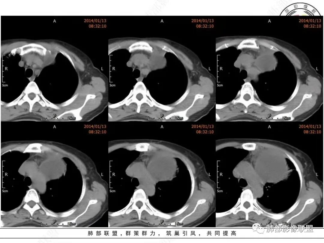
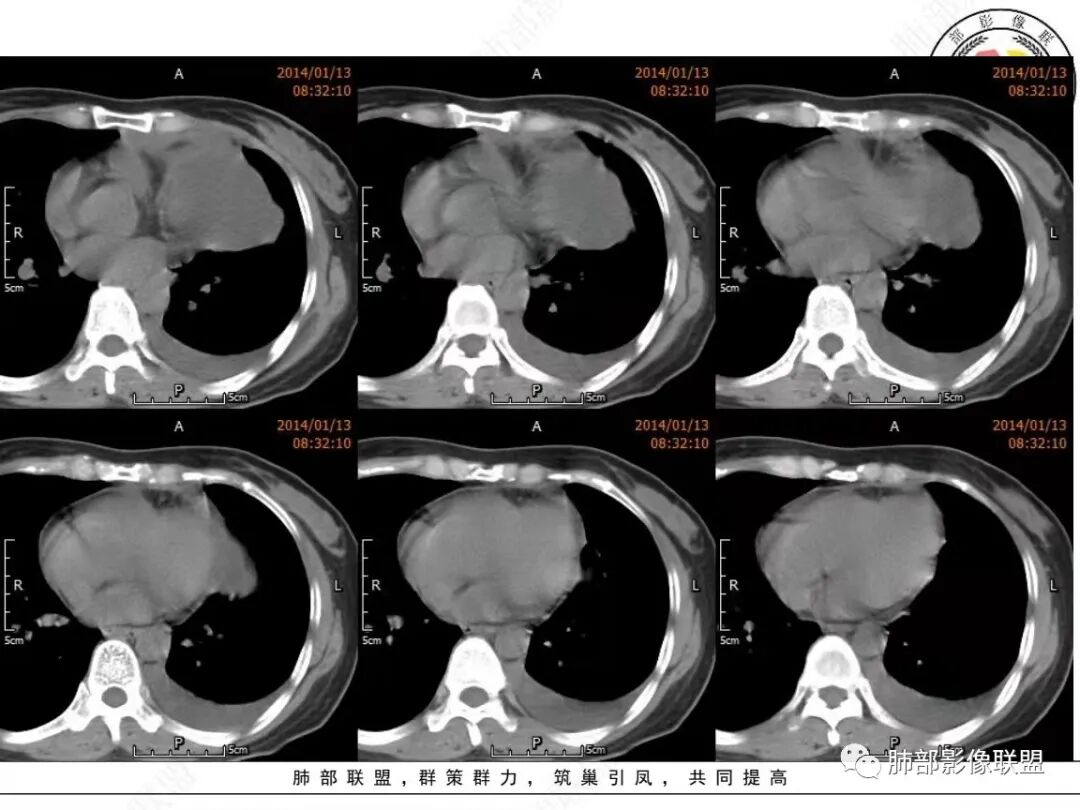
真人:中老年女性,左前纵隔囊实性占位,边界比较清晰,肺组织受压改变,考虑良性病变,囊性胸腺瘤?鉴别囊性畸胎瘤

宇宙:左前中纵隔囊性肿块伴壁结节,结节强化,边缘光整,邻近血管及左侧支气管受压,左侧胸水,考虑囊性胸腺瘤

邢瑞欣:老年女性,定位前纵隔,近圆形囊性低密度影,壁厚有软组织影,强化明显,定性良性肿瘤,囊性畸胎瘤,囊肿,鉴别,转移瘤,胸腺瘤

空格:病灶的后内下增厚的包膜未见连续,纵隔脂肪浑浊密度增高、左侧胸腔积液,开始出现前胸后背的疼痛,完全可以用囊性灶破裂,引起化学刺激来解释。  不然看着软趴趴的病灶,既不可能是转移或侵犯胸膜引起的积液,也不像单纯纵隔或胸腺脓肿,因为白细胞不高。囊肿破裂是最好的解释。  这点就是手术指征。   定性  良性。    分析下来源:  1 这个部位常见的囊实性病灶有 囊性畸胎瘤、胸腺瘤出血囊变、支气管囊肿伴感染,淋巴管来源(前无神、后无皮,神经源性肿瘤不用考虑)。从发病年龄看,胸腺瘤>畸胎瘤,从壁结节强化后面丝丝拉拉的强化看,畸胎瘤可能大。两者都可以接受。综合囊性畸胎瘤破裂大于胸腺瘤出血囊变

衡妈:老年女性,定位是关键。左前中纵隔囊实性占位,囊性为主,囊壁厚薄不均,局部内壁可见壁结节,增强中等强化。考虑囊性畸胎瘤,鉴别胸腺瘤。

Dr. xiao:成熟囊性乏脂性畸胎瘤可能,增强只看到一期(动脉晚期),如果能有两期,能看到囊壁结节动态增强方式,确定囊变结节以发育成熟的畸形血管团为主,影像上出现静脉期强化程度的进一步加强,就更有把握

放射线:左侧纵隔囊性占位,可见壁结节,与纵膈结构分界不清,左肺组织受压,左侧内乳动脉增粗,壁结节明显强化,左侧胸腔积液,考虑囊性畸胎瘤,鉴别胸腺瘤?甲状腺来源肿瘤?

知识扩展
临床概述 
(1)起源于胚胎迁移过程中被滞留在纵隔内(主要是胸腺区)的原始生殖细胞。按其所含胚层的成分,分为成熟畸胎瘤、成熟囊性畸胎瘤(皮样囊肿)、不成熟畸胎瘤(恶性畸胎瘤)。 
(2)成熟畸胎瘤最常见,由分化成熟的组织所构成,最常见于儿童和年轻人。一般无明显临床症状。
(3)未成熟畸胎瘤发生于成人时,盆腹区相对多见,常有侵袭性,并表现为恶性倾向。恶性畸胎瘤除了不成熟或成熟的组织外,还包含恶性组织,预后不良。

影像学表现
(1)畸胎瘤常见于血管前间隙。 
(2)多呈囊性并可见脂肪、软组织,骨化或钙化等多种组织成分,囊性和脂肪成分是特征性的CT表现,但并非良性征象。 混合软组织密度结节部分含钙化或骨化成分也较具有诊断意义(所谓Rokitansky结节)。
(3)50%的病例可见钙化,病灶中牙齿和骨骼相对少见。 
(4)囊性畸胎瘤(皮样囊肿)中有液体、脂肪,若有脂肪ー液体平面时更具有特征性、囊内液体的CT密度不一,有的可达软组织密度。
(5)肿瘤的囊性区由于密度低,被周围组织环绕,增强扫描时可见壁的环形强化。
(6)皮样囊肿的囊壁多较清晰,厚度一般为2-5mm。
(7)CT有助于良恶性的鉴别:
①良性畸胎瘤,通常轮廓清晰、表面光滑,多呈囊性,多含油脂成分;
②恶性畸胎瘤,轮廓不清,边缘有毛刺,有时散在,多表现为实性肿块,较少含有脂肪成分。恶性肿瘤向周围脂肪浸润生长,増强扫描呈一过性显著强化。恶性畸胎可产生胸腔积液或心包积液,且逐渐增多。
鉴别诊断
典型畸胎瘤是含有多种组织的混合物,CT上有脂肪、软组织和钙化密度影,此种CT密度的多样性表现为畸胎瘤诊断提供了重要线索,并可借此与其他肿瘤进行鉴别诊断。 
【重点提醒】
(1)典型的畸胎瘤可见脂肪、软组织和钙化等多种组织成分,钙化和脂肪成分是特征性的CT表现。 
(2)皮样囊肿的囊壁显示较清晰。前纵隔的巨大囊性肿块,以畸胎瘤最为常见!
(3)恶性胎瘤常轮廓不清,边缘有毛刺,多表现为实性肿块,较少含有脂肪成分,呈侵袭性生长,CT增强呈一过性显著强化。
畸胎瘤漫谈
1.畸胎瘤是源于幼稚生殖细胞的肿瘤。它即不来源于受精卵,亦与妊娠毫无关系,不要理解偏了。
2.成分复杂是畸胎瘤的特点,可有皮肤、毛发、骨骼、牙齿、脂质、神经组织,甚至消化道呼吸道粘膜及肌肉等成分。含三个胚层组织的一般称为畸胎瘤,含有两个胚层组织的称之为皮样囊肿。可统称畸胎类肿瘤。
3.畸胎瘤绝大多数为良性,称之为“成熟畸胎瘤”。少数为恶性,称之为“未成熟畸胎瘤”。畸胎瘤恶变率非常低(2-3%)。未成熟畸胎瘤多见于下腹盆区,似乎一出世即贴上了恶性的标签,病灶常散在,且无固定包膜限制。
4.畸胎瘤多发于人体中线区域。迁徙过程中会滞留纵隔内。
最经典且好发部位为前下纵隔凸向左右胸腔。有时肿块巨大甚至占据整个一侧胸腔。
5.绝大多数畸胎瘤术前通过CT检查能够得到明确诊断。
囊壁样结构结构块影中低密度脂质成分及致密骨骼影、牙齿影、钙化等都是有力证据。
典型的皮样囊肿可以观察到脂液平面。
部分畸胎瘤内可以观察到含有钙化影的实性成分结节(Rokitansky结节)。
6. 畸胎瘤强化不明显,部分为轻度环形强化。未成熟畸胎瘤可呈较明显不均匀强化。
7.怀疑恶性畸胎瘤者应检测血清的甲胎蛋白(AFP)和绒毛膜促性腺激素(HCG)水平,对诊断和预后判断均有指导意义。
END
编辑:李  剑
审核:徐  晓


到顶部