【每日晨读】中年男性,纵隔肿瘤伴梗死出血分析思路






每日晨读



01
病例资料









02
微信群讨论



衡妈:
中年男性,右上纵隔囊实性占位周围血肿包绕,病灶有分叶,旁可见增大淋巴结,且与病灶融合,增强后不均匀强化,坏死区未见强化,与心包及血管分界不清,且累及心包致心包积液。右侧胸腔积液伴右肺膨胀不全。右上肺内及两侧胸膜处数枚实性结节。左下肺一磨玻璃病灶及不规则纤维灶。纵隔肺门未见肿大淋巴结。纵隔占位考虑胸腺癌伴血肿形成,肺内胸膜处转移待排。左下肺磨玻璃病灶性质待定。
 一切∮随缘:
考虑胸腺癌
 飞鹰行动:
中老年男性,胸疼,右前上纵膈占位,密度不均匀,边界清晰,压迫右肺中叶不张,增强病灶明显不均匀强化,右侧胸膜可见多发结节病灶,考虑恶性病变,胸腺癌/肉瘤/肉瘤样癌/癌肉瘤伴胸膜转移。
 若晗:
右前上纵隔占位,增强不明显,密度不均匀,双肺多发小结节,胸腔积液,考虑恶性肿瘤,胸腺癌可能性大
 大雄:
胸腺癌或高危胸腺瘤,肿瘤出血并双侧胸膜转移
 宇宙:
右前纵膈不规则肿块,与心脏血管分界不清,邻近肺组织受压,明显不均匀强化,其内坏死明显,两肺胸膜下多发结节,左肺下叶磨玻璃结节,右侧胸水,考虑胸腺癌并两肺转移。
 谢加平:
前纵隔右侧见肿块,边缘清,密度不均匀,部分实质强化明显,见血管飘浮征,坏死轮廓清,右侧内乳动脉增粗,右肺叶胸膜下转移结节(示淋巴道来源),右侧胸腔积液,方向淋巴瘤,与胸腺瘤鉴别,建议穿刺病检明确。另左肺下叶后基底段GG0,分叶,穿行血管束增粗,微浸润性腺Ca?
 凯、KAI:
胸腺癌伴双侧胸膜转移
 金豆:
定位前纵隔,边界模糊,强化不明显,似乎是出血,右侧胸水,考虑畸胎瘤破裂出血。左肺下叶MIA.
 
 春秋.:
前纵隔肿物,强化明显,考虑胸腺类癌可能
 小兜:
男,51岁,前纵隔偏右侧不规则肿块,密度不均匀,增强扫描实性成分明显渐进性强化,双侧胸膜多发结节影,考虑为胸腺癌伴双侧胸膜转移
 周太狼:
中年男性,右前上纵隔肿块占位,密度不均匀,增强轻中度不均匀强化,双肺多发小结节,胸腔积液,考虑恶性肿瘤,胸腺癌伴转移可能性大
 轩哥:
考虑纵隔型肺癌伴胸膜转移,鉴别结核及胸腺瘤
 放射线:
右侧前纵膈肿块,密度不均,外侧可见无强化弧形高密度,内可见低密度坏死,病灶实性成分强化明显,双肺多发结节,右侧胸腔积液,左肺下叶磨玻璃结节,考虑胸腺鳞癌或者类癌合并纵膈血肿,双肺多发转移,左肺下叶MIA。
 丽:
老年男性,前纵隔偏右侧软组织肿块,密度不均匀,可见片状坏死及片状略高密度影,增强后呈渐进性强化,伴右侧胸腔积液,考虑恶性,胸腺癌并出血
 高海峰:
右前上纵隔占位,增强渐进性强化,密度不均匀,双肺多发小结节,胸腔积液,考虑恶性肿瘤。
 
 期:
右前纵膈不规则肿块,与心脏血管分界不清,邻近肺组织受压,明显不均匀强化。考虑胸腺类癌可能
 弹指之间:
胸腺恶性肿瘤伴出血,胸膜转移
 良孑:
前纵隔巨大肿物,边界尚清,偏心性生长,肿块内较大囊变,边界不清,右侧胸水,右侧胸膜下转移结节,定性恶性,肿块内未见融合结节及血管飘浮及莲膨征,偏心生长,囊变边界不清可排除淋巴瘤,偏心性肿物,右侧胸水,支持B2型胸腺瘤。鉴别胸腺癌
 行云流水:
前纵隔肿物偏向右侧,平扫密度欠均匀,内部见条带状低密度,边缘条带状血肿,增强实质部分轻中度渐进强化,囊变区显示明显,结合一般情况,暂不考虑生殖类肿瘤,有点状及条带状血管强化,考虑胸腺类癌伴破裂,左下叶磨玻璃密度结节,并叶间裂及右侧胸膜下结节,考虑腺癌并转移。
 放射小白:
男性,51岁,前纵隔团块状占位不均匀性密度影,内部疑似出血,增强边缘呈渐进性强化,中心可见坏死,两肺见结节灶,较大者位于左肺,右侧胸腔积液,首先考虑胸腺癌伴两肺转移,鉴别神经内分泌肿瘤、生殖源性肿瘤(年龄太大)。
 
 蓝天白云:
中老年男性,急性就诊,前纵隔占位伴出血,明显不均匀强化,右肺胸膜下多发结节,右侧胸水,考虑胸腺癌与畸胎瘤破裂伴淋巴道转移
 丁云:
右侧前中纵隔软组织肿块,略呈分叶状,边界清楚密度不均匀,增强扫描不均匀强化,内见斑片状低密度坏死区,胸壁受侵,右侧胸腔积液,两肺多发结节,中年男性患者,Ca125明显增高,考虑胸腺来源恶性肿瘤之胸腺鳞癌或类癌。
 
南边老师分析
南边:今天的病例有些怪啊
 急性病史,脂肪间隙。



钙化?血管?
出血没问题:因为没强化

这是病灶,强化明显
这是出血

 南边:
肺内是不是出血?胸膜多发结节,考虑转移瘤。定位前纵隔。考虑恶性肿瘤破裂出血并胸膜转移
 尘缘:
从影像来说,诊断到前纵隔恶性肿瘤伴破裂出血合并转移,就可以了。至于病理类型,胸腺癌>生殖细胞肿瘤(畸胎瘤或混合性生殖细胞瘤),当然如果有巨坑的话,那就脓肿、结核也不是没有可能(隐瞒发热等病史的情况下)
 南边:
我觉得还是恶性肿瘤
03
病例结果



04
病例回顾与学习



病例回顾
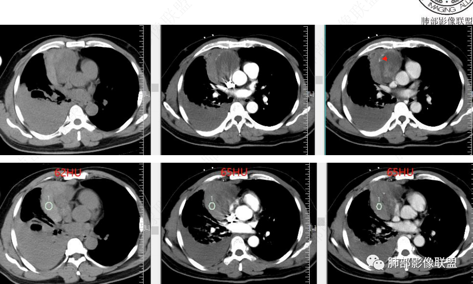
1、51岁男性,7小时前突发右侧胸痛,伴右肩关节麻木(急性病史),糖类抗原125偏高。
2、CT图像所见:前中纵隔肿块,偏于右侧生长,平扫及增强扫描见肿块形态欠规则,密度欠均匀,内部见低密度坏死区,实性部分及分隔可见轻中度渐进性强化,内部可见细丝状、短条状明显强化小血管影,肿块外侧见弧形高密度无强化影(其与纵隔肿块间脂肪间隙清晰),考虑为出血;右肺中上叶含气不良。右侧胸腔见高密度积液,从平扫到增强扫描短时间量明显增加,符合急性出血。肺窗见双肺胸膜下多发结节,右肺大片状磨玻璃影,左肺下叶磨玻璃结节。
3、综合分析:本例右前上纵隔肿块,内部坏死,实性部分中度渐进性强化,内部可见细丝状明显强化小血管影。肿块与周围血管分界尚清楚,周围脂肪间隙显示不清,邻近胸膜显示增厚,结合瘤体内出血,破入或渗入右侧胸腔,双肺胸膜下结节影,符合恶性肿瘤转移。
临床突发症状与出血相吻合。
左肺下叶磨玻璃结节影定期复查为宜。
4、病理意见:右肺上叶结节为不典型类癌;右上纵隔肿瘤为不典型类癌伴梗死出血。
关于胸腺类癌
    大多数胸腺神经内分泌肿瘤为不典型类癌(黄勇教授曾经强调过:这一点必须知道,会有助于诊断)。
    胸腺类癌好发于40~60岁男性,男女比例约为3:1。胸腺类癌侵袭性较胸腺癌低,属于低至中等程度恶性肿瘤。但是约80%侵犯邻近组织结构,20%~40%发生胸内淋巴结或远处转移,转移部位主要包括肺脏、骨、肝脏、脑等,一般表现为椎体成骨性转移。
    胸腺类癌影像特征:呈现纵隔偏侧性的生长,形态不规则,肿块体积通常较大,内见片状坏死区,增强扫描轻中度不均匀渐进性强化。肿瘤内部可见细丝状明显强化小血管影,推测此征象可能在胸腺类癌的诊断中有提示作用。肿瘤边界常不清晰,沿血管间隙侵袭性生长,易侵犯邻近纵隔大血管、心包、气管、食管等结构。钙化少见。
    本例群内讨论主要纠结于胸腺癌的鉴别诊断。
     胸腺癌好发于中年男性,CT上表现与胸腺类癌相似,表现为前纵隔不规则软组织肿块,密度不均匀,常见囊变、坏死,边界不清,可侵犯邻近大血管,易发生淋巴结、肺内或肺外转移,但胸腺癌常可见斑点状、砂粒样钙化。
       确诊有赖于病理学检查。
      参考资料来源于:肺部影像联盟公众号-黄勇教授倾心之作
图文编辑:王  鑫
图文审核:雷  凤  徐  晓
   




-END-
到顶部