【每日晨读】年轻男性+环形强化淋巴结一定是结核吗?


病例资料





















微信群发言
秦化君:
左肺下叶结节,边缘光滑,密度均匀,轻中度强化,左肺门及纵隔内见多组淋巴结肿大,融合,内见低密度坏死,边缘环形强化,侵及周围脂肪间隙致模糊。考虑结核可能性大,腺癌待排。
凯、KAI:
左肺下叶结节,强化后密度不均匀,左侧肺门及纵隔多发增大淋巴结伴坏死,灶周脂肪间隙模糊,部分环形强化,首先考虑结核,但是没有症状有点不好解释,肿瘤待排
暖爸爸:
考虑神经内分泌癌
金豆:
淋巴结环形强化,考虑结核,鉴别小。
宇宙:
左肺下叶结节,边缘光整,密度均匀,纵膈多发肿大淋巴结,部分融合,环形强化,与周围脂肪间隙不清,考虑结核,鉴别腺癌
周太狼:
青年人,肿标不高, 左肺下叶结节,边缘光滑,轻中度强化,纵隔内及左肺门区多发淋巴结肿大,部分融合,内见低密度坏死,环形强化,考虑结核,鉴别结节病,神经内分泌肿瘤,淋巴瘤。
小兜:
32岁,体检发现左肺占位。左肺下叶结节,边缘光滑,平扫密度均匀,轻度强化,内见小片状坏死区。左肺门及纵隔多发肿大淋巴结,纵隔淋巴结周围间隙不清,部分淋巴结环形强化,首先考虑为结核,鉴别小细胞
飞鹰行动:
青年人,左肺下叶背段结节,边界清晰,纵膈及肺门多发淋巴结增大,部分内有坏死,增强环形强化,考虑炎性病变,结核可能性大。
月亮圆了!:
左肺下叶结节,边缘光滑,平扫密度均匀,左肺门及纵隔多发肿大淋巴结。内有边界清晰的坏死,结核。
衡妈:
青年男性,左肺下叶实性结节,边缘较光滑,增强后中等均匀强化,纵隔多组及肺门多发肿大淋巴结,部分淋巴结融合边界不清,增强后呈环形强化,中心坏死明显,部分强化均匀。从淋巴结角度首选考虑结核。鉴别结节病、小细胞肺癌。
洪桥爱:
青年男性,体检发现左下肺结节,肺门及纵隔多发淋巴结肿大,坏死明显,边缘性强化,考虑结核;T-SPOT.TB阴性,未见树芽:外周血淋巴细胞减少?遗传免疫缺陷?肿瘤转移?
毛勤香:
左肺下叶背段结节,增强静脉期隐约低密度坏死,左肺门及纵隔多发肿大淋巴结,增强部分环状强化,纵隔部分脂肪间隙模糊,年轻男性,体检发现,首先考虑结核
丽:
左肺下叶结节,边缘光滑,增强后不均匀强化,纵膈及左肺门多发团块影,相互融合,密度不均匀,内可见坏死,环形强化,首先考虑结核
云帆沧海:
左肺下叶结节,左肺门及纵隔淋巴结增大,有融合,部分环形强化,内见坏死,边缘比较清晰,首先考虑结核
良孑:
左下肺结节,沿支气管血管束生长,左肺门及纵隔内多发肿大淋巴结,可见坏死及融合,有环状强化,腔静脉受累或腔内瘤拴,临床无TB中毒症状,TB相关捡查〈一〉,影像上有娘小崽大的感觉,综合分析考虑小细胞癌,但肿标不太支持,年轻患者,淋巴结环状强化,TB待排
?????天涯?????:
又看了一下,临床和实验室检查不支持结核,关键淋巴结环形强化常想到结核典型征象,但也不能拿一个征象当绝对,左下肺结节有强化,年龄不大,也需考虑恶性肿瘤性病变伴纵隔淋巴结转移可能。
一米阳光:
男,32岁。左肺下叶结节,周围小树芽征,左侧肺门及纵隔淋巴结增大,部分融合,渐进性环形强化,内部低密度坏死,边缘清晰。
考虑结核。鉴别类癌,小细胞癌。
小监:
考虑左肺占位,肺门及纵膈淋巴结肿大,化验检查不支持TB,考虑小细胞,鉴别结核。
王江涛:
青年人,左肺下叶病变并左肺门、纵隔多发肿大淋巴结。考虑1 肺癌并转移,小细胞癌可能,淋巴结环形坏死不太符合。2 结核感染,影像可以解释,实验室检查不符合。3 其他特殊病原体感染,如马尼菲等。
克拉迪奥.跳:
青年人,肿标不高, 考虑结核,鉴别结节病,神经内分泌肿瘤,淋巴瘤。
晓锁:
中年男性,左肺下叶实性结节,形态较规整,无分叶、毛刺,增强后中等均匀强化,纵隔及肺门多发肿大淋巴结,部分淋巴结边界不清,增强后呈环形强化,较彻底坏死,考虑结核可能,鉴别小细胞肺癌,腺癌。
尘缘:
基本上清一色的结核啊,我又得和大家唱反调了。虽然纵隔和左肺门淋巴结部分是环形强化,但部分淋巴结是整体不均匀强化,左下肺结节整体中度强化,看不出炎性肉芽肿延迟强化的特点,所以,我考虑恶性肿瘤,低分化腺癌>未分化小细胞或未分化大细胞癌>淋巴瘤。

病  例  结  果


病例回顾分析
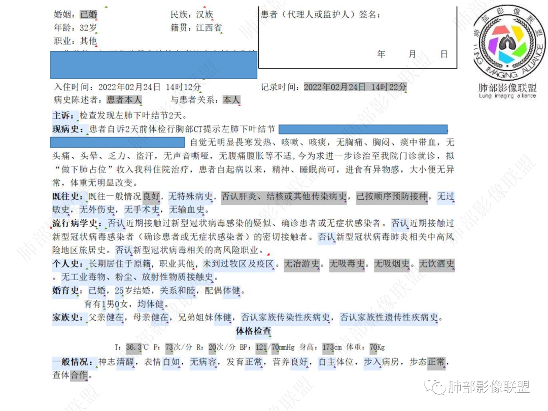
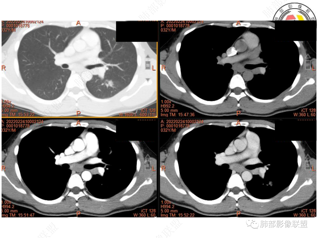
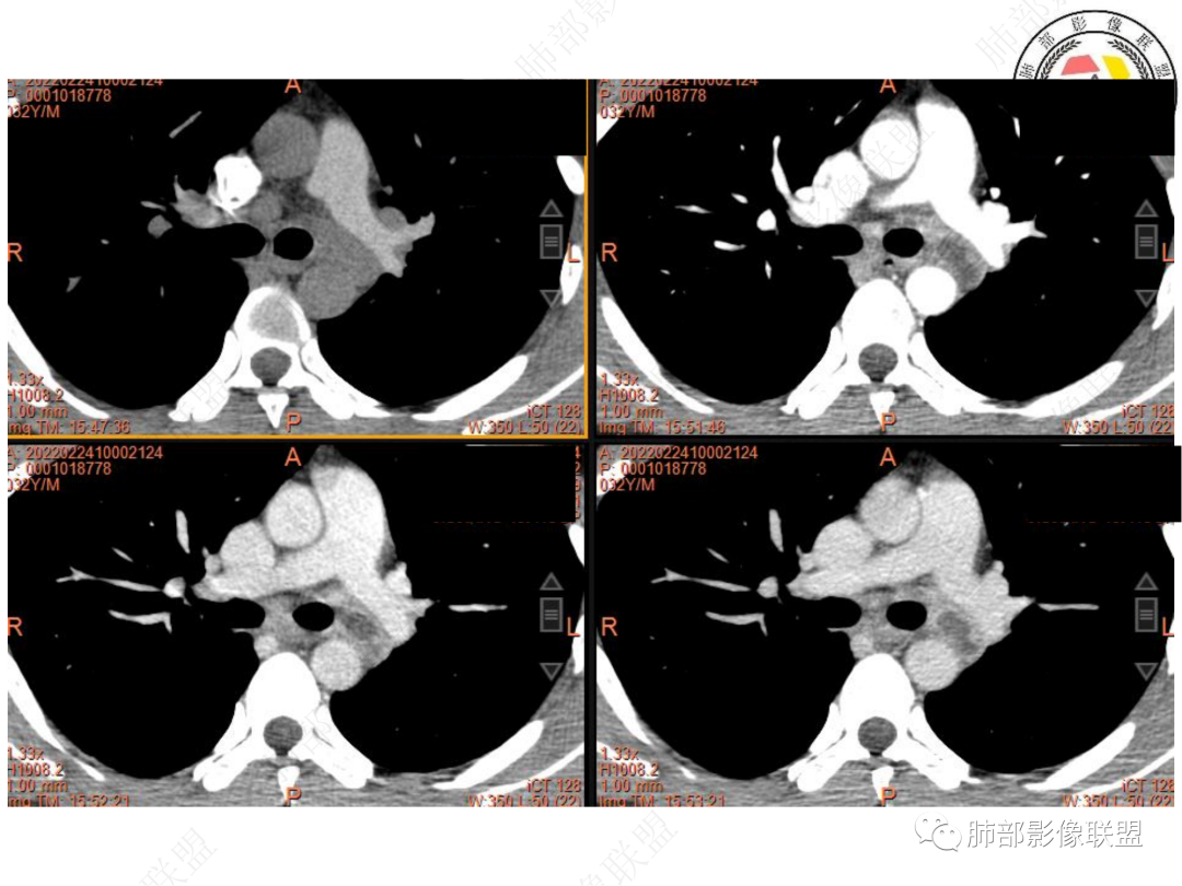
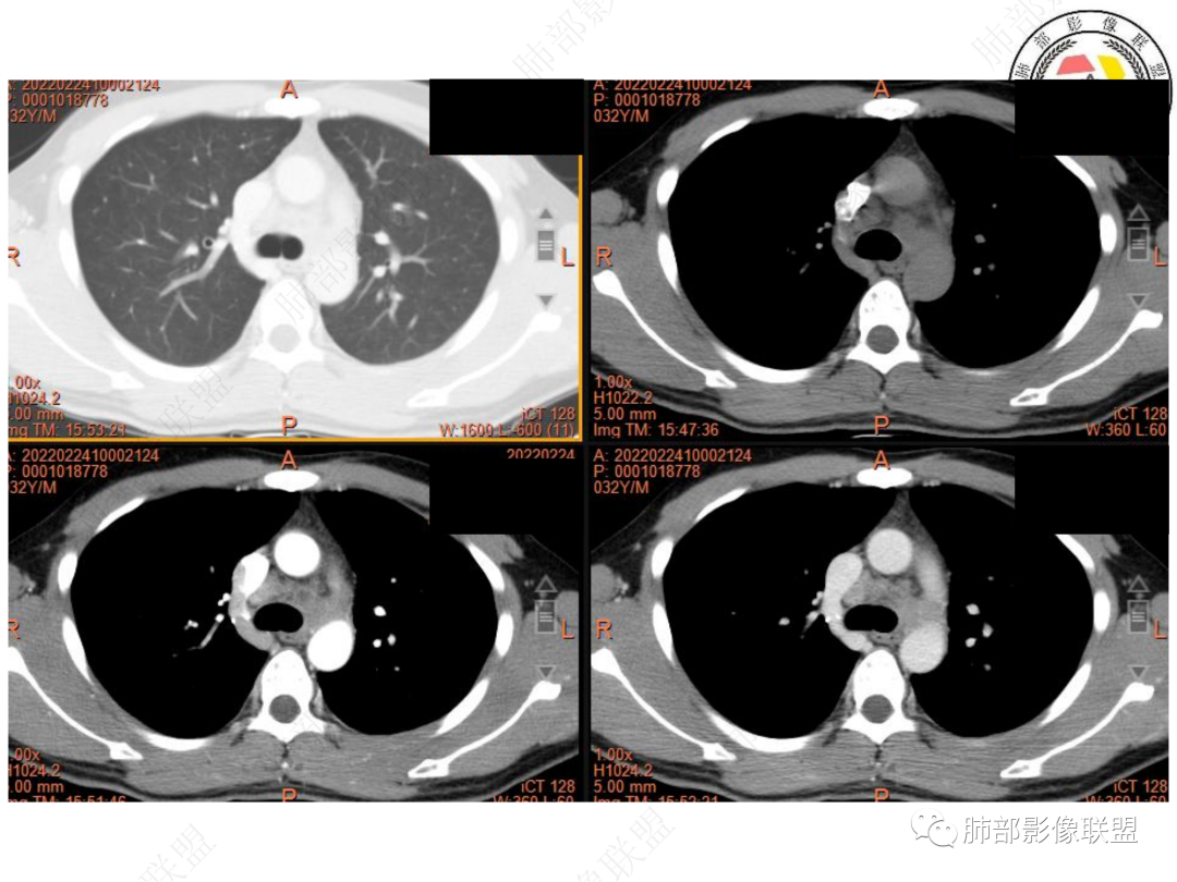
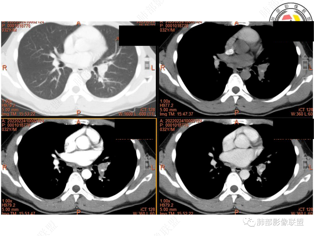
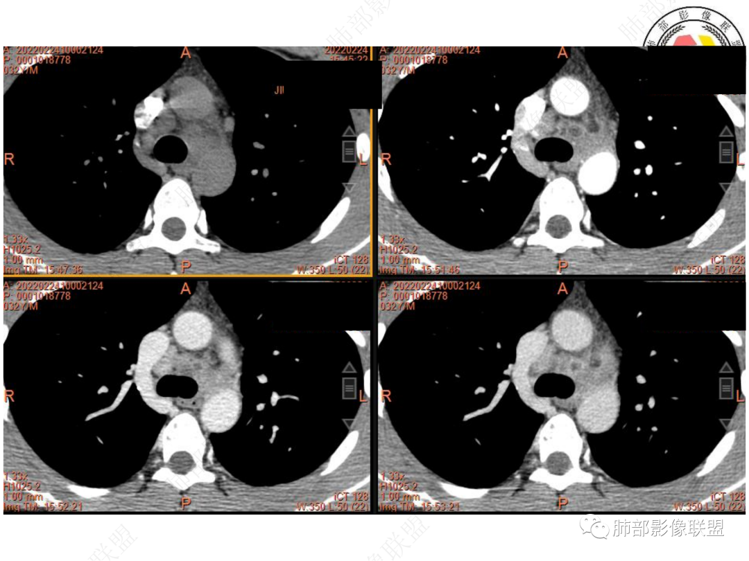
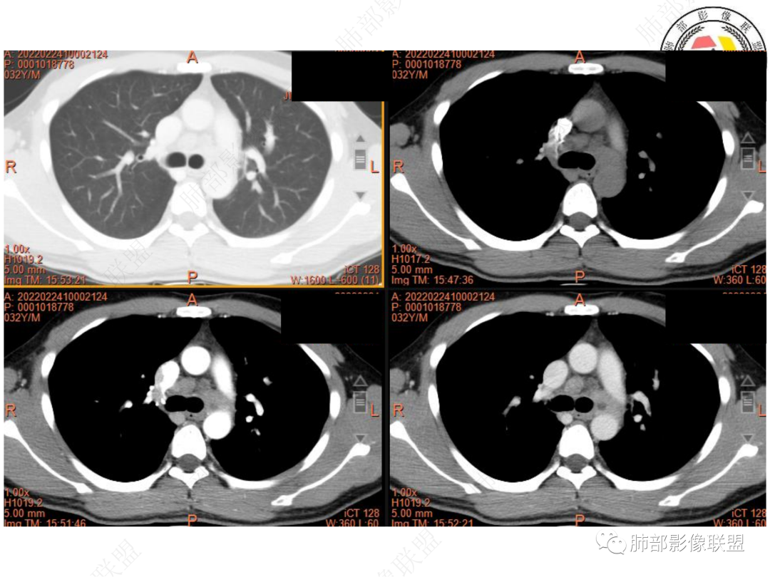
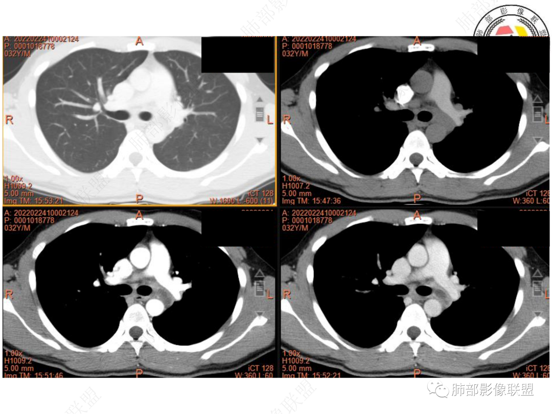
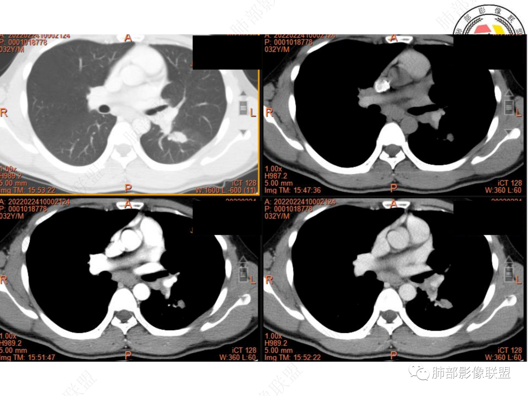
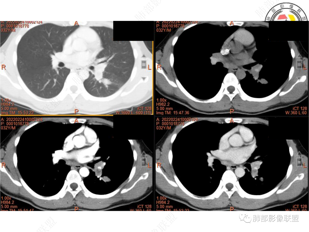
1. 青年男性,偶然发现左肺下叶结节影,左肺门及纵隔内多发淋巴结肿大,并坏死。
2. 肿瘤标志物及结核相关检查均为阴性。
3. CT示左肺下叶背段孤立实性密度结节影,边缘比较清楚光滑,总体呈现膨隆感,未见分叶毛刺,少张力,部分层面病灶边缘呈现较清楚磨玻璃样密度影,并于磨玻璃影病灶内可见多发小空泡,未见钙化或空洞,增强后病灶显示不均匀强化,未见低密度液化区。未见卫星病灶。
  左肺门及纵隔内多发淋巴结肿大,大部分淋巴结显示融合,强化不均匀,内见低密度区,疑液化坏死。纵隔内淋巴结部分周围脂肪间隙不清晰。大血管及左肺主支气管未见受侵改变。
4. 复习文献可知:淋巴结结核的强化特征与其病理改变密切相关,当淋巴结出现干酪样坏死时呈环形强化。有研究认为成人纵隔淋巴结结核具有优势解剖分布部位,在MSCT上淋巴结的密度不均匀比率明显高于纵隔淋巴结转移瘤,增强平衡期以环形强化、分隔样强化、均匀强化为主要表现,并多种强化方式共存。纵隔淋巴结转移瘤可包绕邻近血管,邻近纵隔组织受累及时见强化。然而PET-CT尚且难以区分。
5. 此病例青年男性,纵隔淋巴结环形强化,易先入为主诊断结核。但左肺下叶背段病灶密度均匀,强化明显,整体具备膨隆感,缺少炎性病灶的平直征,病灶周围未见卫星灶,应想到新生物可能。纵隔及左肺门肿大淋巴结,虽有部分淋巴结环形强化特点,但是部分淋巴结周围血管脂肪间隙小时、密度增高,强化明显。至此,亦可与结核的环形强化区分开来。尽管患者年轻,但恶性征象出现时,仍应当高度警惕。
编辑:谢壁樯
审核:雷  凤    徐  晓



到顶部