【每日晨读】 支扩基础上的感染,如何厘清头绪?



  每 日 晨 读 
       肺 部 影 像 联 盟      
Hello 
每日精彩

一年之计在于春,一日之计在于晨读



01   病 例 展 示
Hello Summer










































02  微 信 群 讨 论 分 析
离殇??:
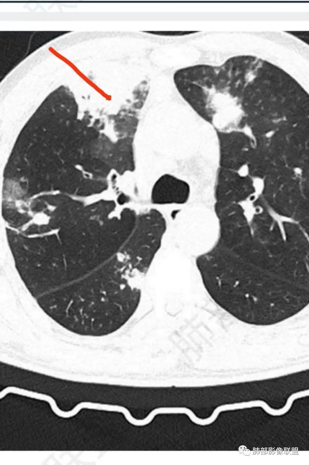
   中老年男性,发病一周,发热,炎症指标明显增高,双肺支气管扩张基础,双肺可见多发结节、斑片状、团块状密度增高,边缘尚清。病灶分布与支气管关系密切,考虑支扩合并感染,铜绿,NTM、奴卡、曲霉等,环卫工人,可能接触腐败物较多,考虑曲霉可能大,鉴别奴卡。
mary:
  中老年男性,发病一周,发热,炎性指标高,职业环卫工人,两肺弥漫分布肉芽肿结节病变,以胸膜下及支气管血管束分布为主,两肺多发支气管扩张,奴卡,结核,曲霉。
放射小白:
  男性,56岁,清洁工,临床表现咳嗽咳痰发热。胸部影像:两肺散在斑片、结节及实变影,大部分沿气道分布,以下肺为著并伴发多发支气管扩张及囊腔影,实验室检查白细胞增高,考虑感染性病变,曲霉、铜绿及NTM。
循前之迹以进:
  56岁,工作性质:环卫工人。主诉:咳、痰、喘、发病一周。急性起病(或者慢病+AE),呼吸道感染症状。化验指标白细胞、中性、CRP明显升高。影像学显示多灶性,有柱状支扩,囊状支扩等结构肺病,责任细菌主要考虑铜绿假单胞菌,不排除合并其他细菌以阴杆为主;存在树芽影,发热,炎症沿支气管束分布,是否合并TB?真菌?;树芽伴发热支原体感染也要需要考虑进去;全肺多灶性炎症,部分病灶周围有晕,右上叶疑似反晕,内部疑似有丝,右下肺考虑存在粘液栓,加之环卫工工作性质,考虑霉菌,主要考虑曲霉。
宇宙:
  两肺支扩,两肺沿支气管分布多发结节、树芽及团块,边缘模糊,部分支气管管壁增厚,考虑气道侵袭性曲霉菌,鉴别铜绿、奴卡、结核。
唐绍宏 通化市中心医院 感染科:
  今天病例,有树芽征,有支气管扩张,支气管肺炎没问题。而支气管肺炎种类太多,考虑哪种?大家提到曲霉、奴卡、铜绿、结核、NTM等。
  大家思考:肉芽肿有没有?纤维化有没有?
嘻嘻:
 有肉芽肿。
唐绍宏 通化市中心医院 感染科:
  有肉芽肿,铜绿就不考虑了。曲霉有肉芽肿就三种类型:侵袭性曲霉中的血管侵袭,慢性中的单纯结节及半侵袭性曲霉。所以曲霉不考虑,有纤维化也不支持。那就剩三个疾病:奴卡、结核、NTM。影像都挺符合的。但WBC及PCT那么高,结核及NTM就明显不符合了。
奴卡在环境土壤中,环卫工人就非常符合了。
嘻嘻:
 大部分树芽比较模糊。
若晗:
  环卫工人,胸闷喘息,两肺多发斑片影,支气管周围间质增厚,考虑曲霉感染,但白细胞增高,排除是否合并其他细菌感染。
旗亭画壁:
  努卡的pct和wbc可以非常高么,唐老师。
AAA张春雨:
  肺部联盟病例:环卫工人接触发霉物质机会高,结缔组织病实验室检测阳性?肺部多囊=DIP,肺部疾病考虑曲霉菌感染合并DIP。
唐绍宏 通化市中心医院 感染科:
  奴卡PCT>200的我都见过,方鹏给我的病例。
  这样干净的支扩,不考虑曲霉及铜绿:

武当王也:
  奴卡之角出现了
唐绍宏 通化市中心医院 感染科:
 环卫工人分干什么活,清运垃圾的要考虑曲霉,扫马路的要考虑奴卡。奴卡专性需氧。病理上有这么几句经典的话:是支气管肺炎,是肉芽肿性炎,是坏死性炎,是化脓性炎。
蓝天白云:
 那儿氧气多,所以容易生存,是吗?记得唐老师还有每mei tai 勾连的经典语录。

  这是努卡之角还是mei tai勾连?
 唐老师有空看看我理解的努卡之角和mei tai勾连对不对?


上面努卡之角,下面mei tai勾连

:
go and see:

支气管壁增厚,晕征明显,病灶沿着支气管纵向分布,结合患者职业,考虑气道侵袭性曲霉。

  多发结节,部分结节边缘清楚,部分边缘模糊,支扩合并肉芽肿性炎,奴卡菌与曲霉之间选择。
尘缘:
影像改变为支扩伴气道来源感染,部分实变性伴有小脓肿及钙化,结合PCT及白细胞、中性粒明显增高,符合细菌感染,首先考虑奴卡,绿脓次之,因为临床有喘息、影像实变性有钙化,加上环卫工这一职业史,需要鉴别曲霉或奴卡合并曲霉。
go and see:
奴卡,中叶的渗出不明显,没往铜绿考虑,就对了。

尘缘:
铜绿也不能完全除外,但是不是典型表现@方鹏 广西横州市人民医院?
go and see:
结节部分边缘模糊,部分清楚,肉芽肿炎合并支扩。唐老师这么一分析,就掌握奴卡与曲霉的精准鉴别点!应该感谢分享病例的老师及唐老师,让我们学到更加实用的知识点!
晓锁:
  中年男性,急性病程,发热,炎症指标明显增高;环卫工人。
CT:双肺延支气管血管束分布斑片状、团块状、树芽状密度增高影,部分边界模糊,支气管扩张、部分管壁增厚。考虑气道吸入细菌性感染,铜绿假单孢?
 请教尹院,奴卡与铜绿如何鉴别?
尘缘:
  支扩伴发的铜绿主要是支气管周围的渗出改变,不会伴有肉芽肿改变,但是如果是长期反复慢性感染的铜绿合并一些机化的时候影像上也可以类似肉芽肿,但是这种很少见,而且机化一般会有纤维化,也容易与肉芽肿区分,而支扩伴发奴卡即可以有渗出,也可以有肉芽肿和慢性或亚急性脓肿出现,所以今天这个肯定是考虑奴卡的。
张丽红:
 为什么,唐老师说:“有肉芽肿就不考虑绿脓”
不吝慷慨:
   因为铜绿不是肉芽肿性炎啊!铜绿是化脓性炎症!支扩基础病,继发化脓感染最多是铜绿,可以看见液气平面。



SUMMER

                           03   病  例  结   果
Hello Summer

              



04  知识复习
Hello Summer
     奴卡菌是广泛分布于自然界的需氧革兰阳性分枝状腐生杆菌,属于放线菌目、奴卡菌科、与结核及非结核分支杆菌不同,奴卡菌属细丝状弱抗酸染色阳性菌。(结核杆菌,非结核分枝杆菌及奴卡菌的抗酸及弱抗酸染色见图4;奴卡菌及菌落形态见图5)。(图片来自网络)

图4结核、非结核分枝杆菌及奴卡菌的抗酸及弱抗酸染色图比较

图5奴卡菌及菌落形态
    奴卡菌不属于人体正常菌群,主要引起外源性感染。奴卡菌是可通过呼吸道、破损皮肤、伤口、消化道进入体内,当各种原因使机体抵抗力降低时可引起发病。标准抗酸(3%盐酸)染色阴性,弱抗酸(1%硫酸)染色阳性。主要致病的有4种:星形奴卡菌、皮疽奴卡菌、豚鼠奴卡菌和巴西奴卡菌,我国以星形奴卡菌最常见。主要病理改变为化脓性肉芽肿伴大量中性粒细胞、浆细胞、组织细胞浸润,组织坏死并形成脓肿,且趋于融合,在脓肿内可发现菌丝。
奴卡菌病通常视为一种机会性感染,免疫功能受损,尤其是细胞免疫缺陷的患者易患奴卡菌病,但约1/3的感染者免疫功能正常。病灶部位分离或培养找到奴卡菌为诊断奴卡菌病的“金标准”,病变的主要病理特征是化脓性感染及慢性炎性肉芽肿。奴卡菌病有两个临床特征:①可以播散至几乎任何器官,尤其是中枢神经系统(central nervous system,CNS);②尽管经过适当的治疗,仍然有复发或进展的趋势。呼吸道吸入可引起肺部原发性化脓性感染,慢性感染者的表现类似肺结核或肺真菌病;结构性肺病(如支气管扩张、COPD)者可有呼吸道定植,在宿主全身或局部免疫防御功能下降时引起内源性感染。肺奴卡菌病是由奴卡菌侵犯人体引起的化脓性肉芽肿性疾病,临床表现缺乏特征性,常表现为急性、亚急性、慢性(通常3W以上)局限性或播散性化脓性疾病,多有发热、咳嗽、咳痰、胸闷等症状,累及胸膜可出现胸痛,大约1/3会出现胸腔积液,其中以脓性胸腔积液居多,极少数会与支气管或胸壁相连形成瘘管从而形成脓气胸。实验室检查:外周血白细胞计数及中性粒细胞分类大多增高,生化检查可以是低蛋白血症。
 
奴卡菌为条件致病菌,常见于免疫缺陷或免疫损害病人,如器官移植、恶性肿瘤、慢性肺部病变、糖尿病、酗酒、 HIV感染、长期使用激素和免疫抑制剂等。近年来由于激素和免疫抑制剂的广泛应用,奴卡菌病的发病率呈上升趋势。
肺奴卡菌病影像学表现缺乏特征性,可表现为:
(1)局限或弥漫肺部浸润影:可为磨玻璃影、但是大部分以实变为主。
(2)单个或多个结节、团块影:结节大小不等,早期可见粟粒样结节,大部分为较大结节影,甚至团块影。
(3)空洞:因病变是化脓性感染,病灶坏死排出,空洞较常见。          (4)累及胸膜及胸壁可形成胸腔积液、脓胸。
(5)播散型奴卡菌病可以累及多系统,如:皮肤、肺、脑等。
以下情况需考虑奴卡菌病:
1、有慢性消耗性疾病,长期应用激素、免疫抑制剂、抗癌药物史;
2、近期有外伤、皮肤破损或手术史并接触过污染环境;
3、不明原因的发热,WBC增高,应用广谱抗生素无效;
4、影像学可以有多种表现同时存在,可表现为结节、斑片、实变影、空洞、团块影、胸腔积液;
5、生化检查有低蛋白血症。
确诊依赖痰、呼吸道分泌物或胸液培养以及肺活组织病理检查。
相关链接:【广西群读片系列】邂逅“奴卡菌”
【每周一例】93期讨论实录  发热咳痰一月余,临影结合探究竟
              



编辑:龚子龙
审核:雷  凤  徐  晓





-END-

到顶部