【每日晨读】指套征疾病谱,一网打尽!


01
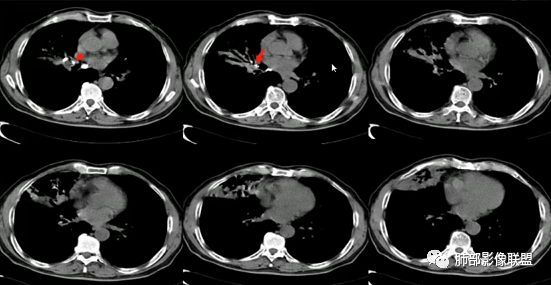
病例资料
WORK SUMMARY































02
群内讨论
WORK SUMMARY
谢加平:
右肺上叶后段支气管主干增粗,呈“指套”征,腔内膨胀浸润性生长新生物,不均匀中等强化,相应远段支气管及分支粘液栓,周边斑点阻塞性炎症,肺气肿背景,长期抽烟史,支持恶性,肺鳞癌,与小细胞肺癌鉴别,支气管镜取材病理查!
洪桥爱:
右上后段支气管腔内占位,强化,远端气管内粘液栓,定恶性,考虑鳞癌,鉴别粘表。
宇宙:
老年男性,肺气肿,吸烟史,NSE增高,右肺上叶后段支气管强内占位,管腔扩张,指套样改变,可见强化,相应远端树芽,肺血管清晰,考虑小细胞癌,鉴别鳞癌。
THINKER:
肺气肿背景,说明吸烟,老年丶咯血半年,不发烧,排除急性感染,可能为慢性感染。cT:右上开口狭窄,上叶后段开口显示不清,考虑占位,远端气道内阻塞性粘液栓,纵隔淋巴结增大。印象诊断:鳞癌丶阻塞性肺炎
鉴别:TB丶ABPA。不会又是慢性曲霉菌吧,间断咯血,感染要考虑TB丶慢性曲霉菌。
流心明智:
男,72,咳嗽咳痰痰中带血半年。长期大量吸烟史。胸部CT:肺气肿背景,右上叶后段主干增粗,指套征,腔内新生物,不均匀强化,远瑞支气管及分支粘液栓,阻塞性炎症。纵隔可见肿大淋巴结。考虑Ca,鳞?小?鉴别TB、曲霉等。
傅昌瑜:

了:
老年男性,病史半年,咳嗽并痰中带血,抽烟史,小叶中央型肺气肿,右肺上叶后段指套征,相互融合成实变影,轻度均匀强化,考虑真菌感染?
看图说话:
右上气管内结节 ,气管堵塞,气道内阻塞性粘液栓,指套征,考虑鳞癌,小细胞癌,鉴ABPA。
良孑:
肺气肿背景,右上叶支气管后支截断,内可见高密度结节,远端粘液栓形成呈铸型,高龄常规思路考虑鳞癌,支气管内见高密度影异物,不排除异物阻塞远端粘液拴形成。
赵春杨:
老年男性,肺气肿,吸烟史,NSE,胃泌素释放肽前体增高,右肺上叶后段支气管腔内占位,管腔扩张,指套样改变,可见强化,相应远端树芽,肺血管清晰,考虑小细胞癌,鉴别鳞癌,结核。
红星:
老年患者,肺气肿及支气管袖套征,阻塞性改变不大,有支气管的播散。目前考虑的病种:小细胞癌或鳞癌,鉴别结核。

类癌生长过程中的融冰或平行征也有类似征象。



唯一就是纵隔淋巴结不大。

小细胞癌大蠕虫,沿支气管方向生长,蠕虫、分支、袖套征。
03
病例结果
WORK SUMMARY
右肺上叶支气管腔内鳞状细胞癌,乳头状亚型


04
王兆宇老师复盘
WORK SUMMARY

结果符合常规思路,这个位置的支气管截断不太好看,靠想象或与正常比对。这里在正常CT上较固定地有一支段级支气管,没有大块冰冻肺门的小细胞癌,很少中央支气管阻塞。
这个征象初步研究了一下,感觉有用,鳞癌经常往周围支气管壁粘膜潜行浸润。
05
病例回顾分析
WORK SUMMARY
1、简要病史:老年男性,咳嗽咳痰伴痰中带血半年,既往长期吸烟史,臀部脓肿手术史。
2、实验室检查:神经元特异性抗原27.5ng/ml,鳞状细胞癌抗原0.611ng/ml,角蛋白抗原19片段3.2ng/ml,结核抗体、结核菌涂片正常,白细胞、C反应蛋白正常,其余实验室无特殊。
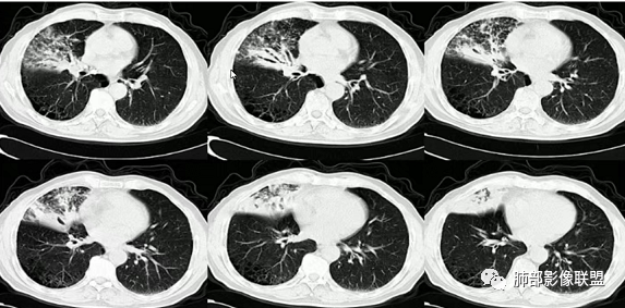
3、影像表现:肺气肿背景,右肺上叶后段支气管开口阻塞并见腔内软组织影轻度突向叶支气管,阻塞段以远支气管及分支扩张填塞呈指套样改变,轻度不均匀强化,外周点片影,符合阻塞性炎性表现,现有图像资料未见明确肺门纵膈淋巴结增大。
4、结合患者年龄、病史及影像表现,常规需要鉴别的疾病谱有:
①鳞癌:老年男性,长期吸烟史,支气管腔内占位有强化、指套征,周围阻塞性炎症,常规需要考虑。
②小细胞肺癌:多见于吸烟男性,周围型多见,病灶沿支气管匍行,管壁增厚,阻塞有时不彻底,典型者呈鸭蹼和腊肠样凸起,增强沼泽样强化,阻塞性肺炎相对较轻,较少肺不张。易较早转移到纵隔和肺门淋巴结,出现“娘小崽大”特征,多个淋巴结融合则呈现“冰冻纵隔”。本例病灶有类似鸭蹼样改变,加上患者长期吸烟史、NSE增高,不除外小细胞肺癌,但纵隔及肺门淋巴结肿大、融合的趋势不明显。
③异物:慢性病程,异物长期阻塞支气管并形成肉芽肿后可有类似表现,需要结合临床病史。异物阻塞好发于右肺下叶,病史叙述不清的小儿影像上尤须仔细搜寻支气管开口。
④ABPA:ABPA是一种免疫性肺综合征,多以咳嗽咳痰及喘闷为主要临床症状,多数患者有特异性体质,对多种食物或药物过敏,实验室检查可见外周血嗜酸性粒细胞升高、血清总IGE抗体明显升高等。ABPA影像多表现为较对称分布的中心性支气管扩张、支气管腔内粘液栓(常呈指套征、牙膏样改变,部分粘液栓为高密度,较具特征性)以及肺实变、树芽征等,长期咳喘患者中出现中心性支气管扩张伴高密度粘液栓形成具有一定的特征性。支扩变化较快也是特征。本例患者无喘闷症状,实验室检查嗜酸性粒细胞无增高,暂不支持诊断。
⑤结核:多好发于上叶尖后段及下叶背段,影像呈现多灶性、多态性、新旧不等的特点,结核累及支气管黏膜及黏膜下时可见支气管内粘液栓、指套征,多伴有支气管壁增厚、支气管狭窄后扩张及树芽征、钙化等征象。本例患者无结核中毒症状,结核相关实验室检查阴性,暂不考虑。
⑥粘液表皮样癌:粘表属于唌腺类肿瘤,好发于大气道包括气管、支气管及叶、段支气管,较少发生于段以下支气管,好发年龄广泛,但原发于肺的粘液表皮样癌多较年轻(30-40岁),无性别差异。中心性粘表影像多表现为段以上支气管腔内软组织结节及肿块,卵圆形或分叶状,沿支气管壁生长,最长径与支气管走行长径平行,与近心端支气管腔呈钝角,支气管内可见“空气新月征”,而周围型的粘表较少见且影像表现不典型,表现为周围型结节或肿块,可出现分叶、毛刺等恶性征象,坏死、空洞较常见。增强扫描粘表多为轻中度不均匀强化。约50%肿块内可出现斑点状或颗粒状钙化。本例右肺上叶腔内占位,轻中度强化,虽然患者年龄偏大,但影像不能完全排除粘表。
综上,本例考虑恶性肿瘤性病变,以鳞癌可能性大,亦不除外小细胞肺癌、粘液表皮样癌等,另外还需密切结合病史排除异物等病变可能。
06
指套征相关知识复习
WORK SUMMARY
指套征定义:
胸部平片表现为手指状密度增高影,以肺门为中心呈放射状分布,CT 显示扩张支气管内低密度黏液栓形成或实性病变,呈管状、树枝状或卵圆形密度增高影;支气管扩张伴近端梗阻时,扩张支气管内部黏液分泌物不能排出而形成。可以伴随远端空气潴留征、阻塞性炎症。
指套征形成的病因:
1、肿瘤∶支气管相关肿瘤性病变,典型者如鳞癌、神经内分泌肿瘤、涎腺肿瘤等等。
2、非肿瘤性∶结核、真菌、支气管结石、异物、支气管断裂和支气管闭锁等。
指套征影像特点:

指套征疾病谱:
支气管闭锁、支气管肿瘤(鳞癌、小细胞肺癌、类癌、粘液表皮样癌)、支气管结石及异物、ABPA、结核、支气管扩张病感染等。
一、支气管闭锁
1、支气管粘液栓的表现∶多位于肺门的外侧,紧邻肺门,少数位于肺野外周,走行与正常支气管走行类似,而原来相对应区域的支气管缺失或阻塞。呈分支状或指套状结构,近端闭锁,不与支气管相通,与CT扫描层面平行时为"V"形、"Y"形或多个分支条状,与CT层面垂直时为类圆形结节状,MSCT应用MPR可行任意角度重组观察黏液栓的形态及其与近端支气管、血管的关系。黏液栓多为水样密度或软组织密度(较粘稠的黏液).但增强扫描无强化;内可有气体影,形成液气平面。伴随肺动脉细小。
2、间接征象∶周围肺气肿或阻塞性炎性改变。绝大部分都伴随不同程度的肺气肿,常见的是较大面积的肺气肿,其内血管比较纤细,也有报道可以不伴随肺气肿,但是罕见。

二、腔内生长的中央型肺癌或转移瘤
1、中央型肺癌∶原发于支气管或叶支气管、位于肺门附近的肺癌。多数为鳞状上皮细胞癌或未分化型肺癌。中央型肺癌在临床上属于常见恶性肿瘤,原发于支气管腺上皮、上皮、肺泡上皮,发生在肺段及及肺段以上,主要为鳞状上皮癌、小细胞癌、大细胞癌、类癌,粘表等。该肿瘤的生长方式主要有管内、管外、管壁3种类型,可单独存在或者同时存在。
2、转移瘤∶多为小细胞癌肺门区淋巴结转移侵犯支气管,并沿支气管朝外蔓延。远处转移者如尿路路上皮癌等。

上图,鳞癌,腔内软组织占位,局部膨大,不均匀强化,伴远端粘液栓。

上图,小细胞肺癌,病灶从肺门朝外沿支气管爬行,呈指套样改变,病灶周围阻塞性肺炎较轻。

上图,粘液表皮样癌,支气管腔内病灶轻中度强化。

上图,类癌,支气管腔内占位,强化明显,远端粘液栓。
三、支气管结石、异物
异物进入、停留或嵌顿于气管或支气管内的状态。多发生于5岁以下的儿童。常因儿童牙齿发育不完善、进食时哭闹或嬉笑,或因全身麻醉、昏迷病人将呕吐物或假牙等吸入所致。因右侧支气管管径较粗且陡直,故而异物常落入该侧支气管内;若气管或两侧支气管受堵则可引起窒息死亡。而引起指套征的异物,多为慢性病变,既往有异物病史或患者无明确相关病史,多为异物引起支气管堵塞,远端继发粘液栓,树芽征等。
支气管结石是在支气管腔内或侵蚀到腔内的钙化团块,由于钙化结石导致支气管腔狭窄,并引起支气管壁炎性病变,远端阻塞性炎症,临床可引起支气管刺激和阻塞症状。支气管本身是不易形成结石,钙化淋巴结突入管腔或由于钙盐沉积于支气管不断增大形成支气管结石,也有人认为可能因支气管软骨脱落钙化。结石不大时可缺乏临床症状,只是在影像学检查中看到支气管钙化影。


上图,支气管结石(红箭头),远端阻塞性炎症,腔内粘液栓。
四、变态反应性支气管肺曲霉菌病(ABPA)
发病机制∶曲霉菌作为抗原引起的I、IⅢ、V型变态反应,引起嗜酸性粒细胞浸润性肺炎及肉芽肿,可形成支气管腔内粘液栓,一般在大气道就发生病理反应,所以病变主要在大支气管,如果进一步朝下延伸,就会有小气道的炎性病变;
临床∶哮喘(90%以上),咳出黑褐色黏液痰(31%~69%),其他咳嗽、发热、胸痛等;
实验室∶周围血嗜酸性粒细胞lgE升高(100%),痰培养阳性(58~83%);
与气道侵袭型不同,病原菌未侵入到气道基底膜。
ABPA影像:1、中心型支气管扩张,常常双侧较对称,一般以段、亚段为主,支气管壁增厚,腔内有粘液栓,呈指套状或牙膏状影,粘液栓高密度(约30%),无强化。2、小气道异常∶小叶中心细支气管扩张并充有粘液——树芽征。3、伴随征象∶肺内斑片状、结节状高密度影,呈游走性;扩张支气管远端可伴有阻塞性肺气肿、肺不张,肺纤维化、局部胸膜增厚或积液。4、治疗好转粘液栓消失,扩张支气管的转归∶ 部分不变化,部分较前稍缩小,很少一部分可以恢复正常,一般壁稍增厚。

上图,ABPA,支气管扩张、腔内指套样粘液栓,部分粘液栓呈高密度,较具特征性。
五、支气管结核
又称支气管内膜结核(EBTB),是指发生在气管、支气管粘膜和粘膜下层的结核病。成人EBTB最常见的感染途径是肺内病灶中结核分支杆菌直接植入支气管粘膜,其次肺内病灶也可通过支气管周围组织侵及支气管粘膜;结核分支杆菌也能经血行播散和淋巴引流首先侵袭支气管粘膜下层,然后累及粘膜层。儿童EBTB多因邻近纵隔淋巴结核侵蚀支气管,引起结核性支气管炎。原发性支气管结核较少见。
影像征象1:

影像征象2:

影像征象3:


上图,支气管结核。病灶多灶性、多态性。支气管中近端受累,支气管壁增厚不均匀,狭窄后扩张,伴随树芽征、钙化。
六、支气管扩张
支气管扩张∶指支气管持久性扩张并伴有支气管壁的破坏,可为继发性或先天性。一般是指直径大于2mm中等大小的近端支气管由于管壁的软骨先天发育缺陷、肌肉和弹性组织破坏引起的异常扩张 。病理上支气管壁毁损,呈持久不可逆的扩张变形,同时伴有周围肺组织的慢性炎症。

柱状支气管扩张-轨道征(柱状支扩)。增厚的支气管壁与扩张中空的支气管类似于轨道,边缘比较光滑肺部像聪驱远端稍增宽或等宽,走形较自然、顺畅。增厚的支气管壁类似于铁轨,见于柱状扩张。腔内有粘液栓时要与血管鉴别。

静脉曲张样扩张∶ 主要是支气管壁破坏更明显,边缘凹凸不平,各段扩张的程度不一,支气管呈曲张的静脉一样或串珠状。是柱状扩张向囊状扩张过渡的一个阶段,是牵拉性支气管扩张常常会表现的一种形式。

支气管扩张--粘液栓。

支气管扩张--树芽征。树芽征∶指CT表现为靠近胸膜下区小叶中心直径为3~5 mm的分支部影像联附状线影和与其相连的细支气管横断面结节影,状如春天里树上挂满树芽,即树芽征。是细支气管扩张、阻塞的特征影像之一。树芽征不是一个病,而是一组疾病可能出现的CT征象,胸部X线片不能发现如此细小的病变。
指套征良恶性病变的鉴别基本思路
根据支气管腔内病变强化情况去判断:1、腔内病灶强化—肿瘤性病变∶ 鳞癌、小细胞癌、类癌等;2、腔内病灶不强化—粘液栓(非肿瘤性病变)∶支气管闭锁. 结核、真菌、异物等。
参考资料:肺部影像联盟南边课堂--指套征的影像特点及鉴别诊断
编辑:柳城县人民医院 邓文睿
审核:徐  晓



到顶部