【每日晨读】酷似良性结节的腺癌,您get重点了吗?






HAPPY HALLOWEEN
-不给糖 就捣蛋-

Happy Halloween
万圣节即将来临
又到了正儿八经“装神弄鬼”的时候啦
大开脑洞当然要从现在抓起
今年,我们将举办一场奇幻的讨论
……



01 病例资料









Happy Halloween



02 微信群讨论

放射小白:
  年轻左肺尖后段见小结节,增强动脉期轻中度强化,静脉期轻度强化,另右肺见钙化灶,常规考虑左肺结核球,鉴别错构瘤,最后粘液腺癌。
好好爱自己:
  左肺叶尖后段结节,略分叶,增强轻中度强化,考虑良性病变:错构瘤、PSP鉴别结核球。
宇宙:
  左肺上叶类圆形实性结节,浅分叶,边缘清晰光整,不均匀渐进强化,其内见低密度影,考虑错构瘤,鉴别腺癌。
放射线:
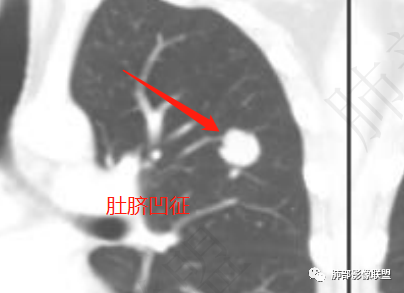
  左肺上叶结节病灶,边缘光滑,有脐凹征,半年复查增大,持续强化,密度不均,内见低密度影,低密度好像是脂肪,所以考虑良性病灶,错构瘤>psp。鉴别腺癌(脐凹征有点不放心)。
空格:
  37岁,男性,年龄偏年轻,类圆形光滑结节,似见薄壁,流入中低强化,似见血管凹面进入结节(需多角度确认),肺瘤界面光滑锐利。半年略有增大(什么程度的增大,很关键,良性病灶应该半年增大不明显,待验证)。综合:1典型类癌可能,2 错构瘤。
Justhink:
   左肺上叶结节,边缘光滑,增强呈持续强化,密度不均,考虑良性病灶,PSP?鉴别类癌。
离殇🍐:
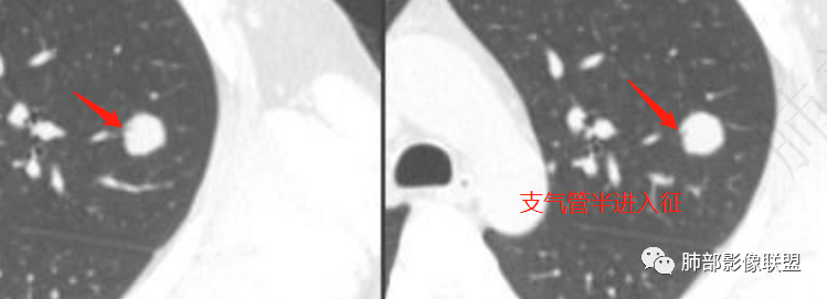
   中年男性,左肺上叶孤立性结节,增强见持续性强化,内见少量坏死区,分界尚清,部分支气管进入再堵,可以考虑得疾病有,1、PSP,女性多见;单发类圆形实性结节影,边缘光滑,病灶大小不一,PSP密度常较均匀,少数可有砂砾状钙化。“空气新月征”、“晕征”及“血管贴面征”等特性表现,增强明显强化;2、错构瘤:肺内最常见良性肿瘤,结节内可见脂肪成分和爆米花样钙化,比较有特征性征象,增强轻度或无强化。3、结核球:有特定好发部位,轻中度强化,周围可见卫星灶。4、曲菌球:免疫低下患者多见,可见空气新月征及晕征,增强强化不明显呈轻中度强化。5、炎性肌纤维母细胞瘤,一般边缘不光滑,可见长毛刺及深分叶,强化一般较明显。6、球形肺不张,CT外带球形肿块,无分叶毛刺,一侧紧贴胸膜,肺门侧边缘模糊,可见支气管及血管影,增强较明显强化。7、平滑肌瘤转移:女性多见,年龄40岁以上;CT边界光滑的肿块或结节,可轻度分叶,无毛刺邻近血管及支气管轻度受压,增强显著强化。8、动静脉畸形:显著强化与肺动脉相似,可见粗大的肺动脉及引流静脉。9、A肺癌(鳞癌):多发生于中老年男性患者,与吸烟密切相关,临床症状多有痰中带血:而结节多有毛刺、分叶征,囊变坏死多见,增强扫描不均匀 强化, 峰值持续时间短,对周围血管是侵及牵拉,呈血管集束征改变,多可合并纵膈淋巴结转移 。B 腺癌:多位于肺周边,界限清楚;短毛刺征、深分叶征、脐凹征、棘突征、空泡征、胸膜凹陷征、血管集束征、月牙铲等。10、类癌,周围型少见。11、涎腺类肿瘤。12、淋巴上皮瘤样癌:肿瘤多数位于胸膜下,呈类圆形及分叶状,肿块多数边缘轮廓光滑,边缘清楚,胸膜牵拉及毛刺征少见,支气管截断或狭窄,平扫肿块可见斑片状坏死低密度区,增强扫描呈不均匀中度明显强化,可见“包绕血管征”,纵隔、肺门淋巴结转移常见。13、支气管囊肿,多为囊性密度,CT值一般10-20HU,可合并感染、出血等,CT增强可轻度至明显强化。14、肺脓肿,急性病程。晨读定性良性,错构瘤可能,鉴别慢性炎性病灶(结核、真菌)
mary:
  青年男性,左肺上叶结节灶,未见明显分叶,可见支气管及血管进入,增强扫描中度强化,隐球菌鉴别错构瘤
童话伊语:
  倾向考虑结核球可能性大,边缘局部分叶,有膨胀感,半年内有增大,鉴别腺癌。
AAA张春雨:
  左肺病灶边缘模糊,内有血管进入和血管穿行,还有半支气管进入,内部强化中等,可见多发坏死,考虑隐球菌感染可能性更大些,鉴别错沟瘤和神经内分泌肿瘤,详见标图!




琦遇:
  晨读:需要关注1是否有脐凹征,如果是,考虑恶性:2强化是否可信,如果强化不明显考虑错够瘤,从影像上PSP可能性极小,因为有分叶。
藏客:
  左肺上叶尖后段圆形结节,边缘光滑,血管贴边,考虑良性病变,错构瘤可能,鉴别结核球。
放射小白:
  年轻,左肺尖后段见小结节,增强动脉期轻中度强化,静脉期轻度强化,另右肺见钙化灶,常规考虑左肺结核球,鉴别错构瘤,最后粘液腺癌。
红星:
  男性,37岁10个月,左肺上叶结节,形态比较规则,半年后病灶有增大。同时,右肺上叶后段及左肺上叶尖后段见钙化灶。
1、考虑恶性病变的征象:肚脐凹征、轻度分叶征、V征或支气管半进入征、远端局部阻塞性改变,以及递增性强化等征象,临床上半年结节有增大,腺癌可以考虑;
2、考虑良性结节:可见切面征,形态较为规则,整体类圆形改变,可考虑炎性假瘤,半年后无炎性纤维组织的收缩、尖角或桃尖征改变,尤其半年后体积增大的炎性病变,还是罕见。部分层面见血管贴边征,PSP可以考虑。
3、结核性肉芽肿或结核球:可见支气管狭窄,周围见卫星病灶或钙化灶,有符合征象;
4、错构瘤:内部见钙化、脂肪组织。
5、转移瘤:一般多发结节,单发结节的恶性肿瘤,亦可以表现分叶毛刺的征象,有原发肿瘤病史。
综合考虑:腺癌的可能性较大,炎性假瘤或结核肉芽肿次考虑。









若晗:
  晨读:左肺类圆形病灶,边缘光滑,平扫期一动脉期一静脉期持续强化,考虑良性病灶,psp可能
看图说话:
  左肺上叶圆形结节,边缘光滑,密度均匀,血管贴边,考虑良性病变,错构瘤,psp。
宇宙:
  左肺上叶类圆形实性结节,浅分叶,边缘清晰光整,不均匀渐进强化,其内见低密度影,考虑错构瘤,鉴别腺癌。
放射线:
  左肺上叶结节病灶,边缘光滑,有脐凹征,半年复查增大,持续强化,密度不均,内见低密度影,低密度好像是脂肪,所以考虑良性病灶,错构瘤>psp。鉴别腺癌(脐凹征有点不放心)。
位移:
  病灶边缘较光滑、浅分叶,周边血管较自然,觉得良性可能性大些,如果半年变化不大,考虑错构瘤,如果增大明显,考虑腺癌。
LiuC:
  分叶、血管集束征、明显强化。腺癌不能排除。
HP:
  患者中年男子,查体发现左肺上叶尖后段结节,病灶形态规则,浅分叶,界清,轻度强化,血管滋养征,加上复查较前稍增大,腺癌需考虑(但恶性征象相对不大足),另PSP不除外,但其女性多发且大多强化明显伴晕征、血管贴边,结核瘤、炎性假瘤也不支持
谢加平:
  左肺上叶尖后段结节,边缘光滑清楚,不均匀强化,见无强化小斑点低密度(脂肪成份?),膨胀性生长,见挂果及血管束推压,良性,首选错构瘤,与PSP鉴别。
梦妮6-1:
  左肺上叶尖后段结节,边缘清晰,形态较规则,无牵拉及毛刺,周边有钙化,考虑为结核瘤可能。
南边:
考虑错构的依据是啥?没看到脂肪密度。

估计是看到增强的,看脂肪需要平扫。

支气管堵了吗?


有支气管进入、中近端堵塞

强化均匀,脂肪密度不太可靠


03 病理结果




04 知识拓展

肺癌-腺癌(Lung cancer-Adenocarcinoma)
恶性上皮肿瘤并腺体分化或粘蛋白生成
2021最新肺肿瘤分类中,原位癌不再属于腺癌范畴,而是归为“腺体前驱病变”

非典型腺瘤样增生 Atypical adenomatous hyperplasia (AAH)
原位腺癌 Adenocarcinoma in situ (AIS)
微浸润性腺癌 Minimally invasive adenocarcinoma (MIA)
AAH:磨玻璃结节,<5mm (但可大至12mm)
AIS:磨玻璃/部分实性/实性结节,密度略高于AAH,大小≤3cm (典型的<2cm)
MIA:部分实性结节,其中实性部分<5mm
几种周围型肺腺癌常见CT征象的病理解释  
  1.空泡征    常见于早期肺腺癌,发生率在30-60%左右,是肿瘤内贴壁生长区肺泡变大融合而成,病理机制上考虑肿瘤区细支气管不完全填塞引起肺泡张力增高,使得肿瘤内肺泡局部撑破融合,内部为气体,相应的CT值与空气相当。 
  2.胸膜牵拉与胸膜凹陷     都是肿瘤生长后纤维收缩引起,在良性肺肿瘤没有这种现象,炎症性肺结节疤痕收缩也会胸膜牵拉与凹陷,其程度常不如周围性肺癌。在叶间胸膜,肿瘤对胸膜的牵拉会使对侧的脏层胸膜向肿块靠拢,很少形成如壁层胸膜下三角形积液,在显示良好的多平面重建图上,常常可以见到叶间胸膜间短横线密度增高影,推测这也是一种微小的积液。 
   3.球形征、棘突征和清晰的瘤肺边界     在早期非粘液型肺腺癌,贴壁生长成分不会跳跃式生长,各方向生长速率接近,所以整体形态接近圆球状,而且边界清晰。清晰的边界在与炎性病变特别是球形肺炎鉴别时非常有用。有时肿瘤生长遇到小叶间隔受阻,形成早期腺癌一侧或局部的直边甚至凹边。早期腺癌边缘生长稍有差异,形成宽度和高度均在2-3mm以内的钝顶凸起,如同介于平原和山地之间的丘陵地形,这种瘤肺表面形态在VR(容积再现重建)时可以显示得非常好。 
  4. 血管纠集征     早期肺腺癌血供增加而肺动静脉未受明显破坏,肿瘤区的血管增粗,相比肿瘤外能显示的血管增多,看上去像是血管向肿瘤集中。实际上在早期腺癌肿瘤区新生血管形成非常不明显,难以在CT上显示,CT上看到的是增粗的肺动静脉分支。  

                      
编辑:龚子龙  邓文睿
审核:清 茶

相关链接
【王兆宇专栏】近距离接触别样的病理--肺癌的病理影像学分类
【王兆宇专栏】肺部组织变迁-15 腺癌
【广西群读片系列】中年女性的富血供占位,疾病谱一网打尽!




万圣节快乐
南瓜灯里的秘密
是儿时心底的奇思

到顶部