【每日晨读】肺隔离症,你还认识吗?







mei ri chen du
火/眼/金/睛/直/接/秒/杀/




肺部影像联盟创办六年有余
拥有粉丝10万余人,原创文章2800余篇
形成一个以肺部影像为主体的医学公众号
“每日晨读”是具有特色的读片系列
各群大咖每天都呈现找到“真相”的端倪
邀您共同体验联盟博大精深的专业内涵
感受“我为人人”的无私情怀
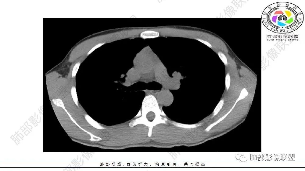
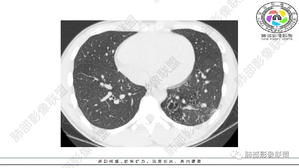
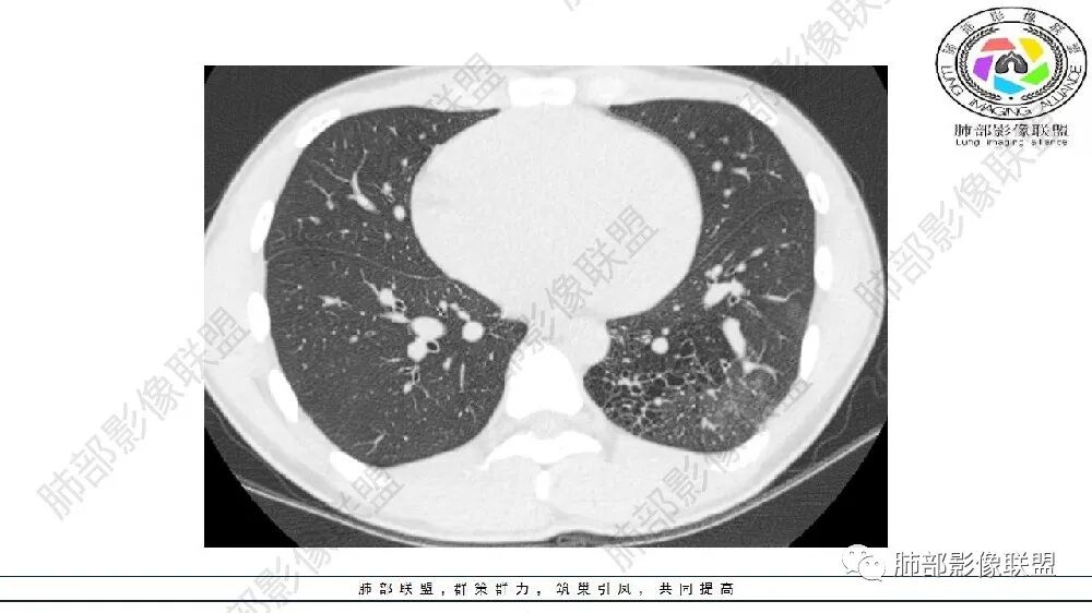
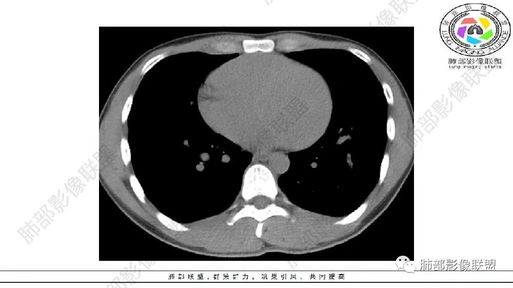
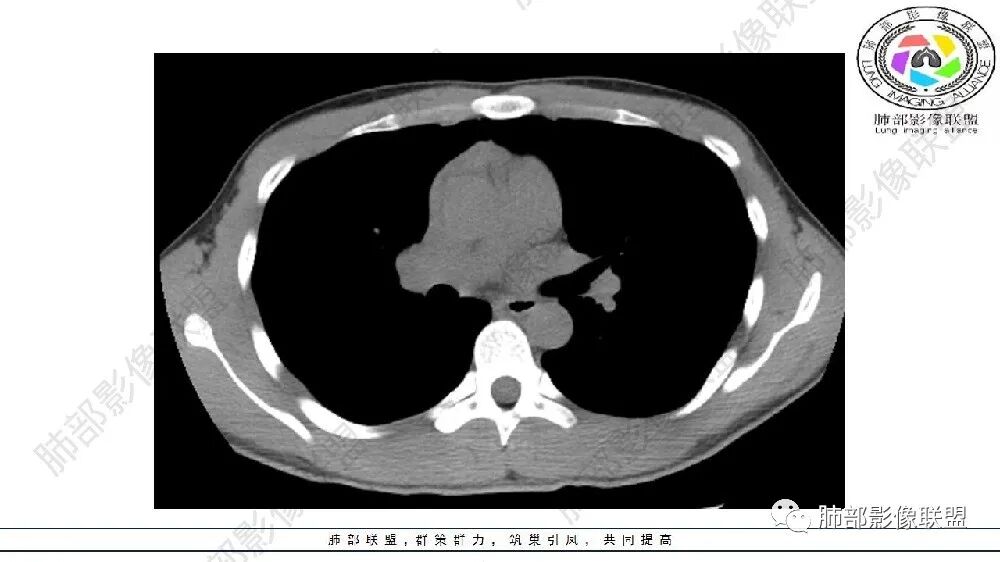
病例简介




































激烈讨论
河南省灵宝市城南医院-张思雨
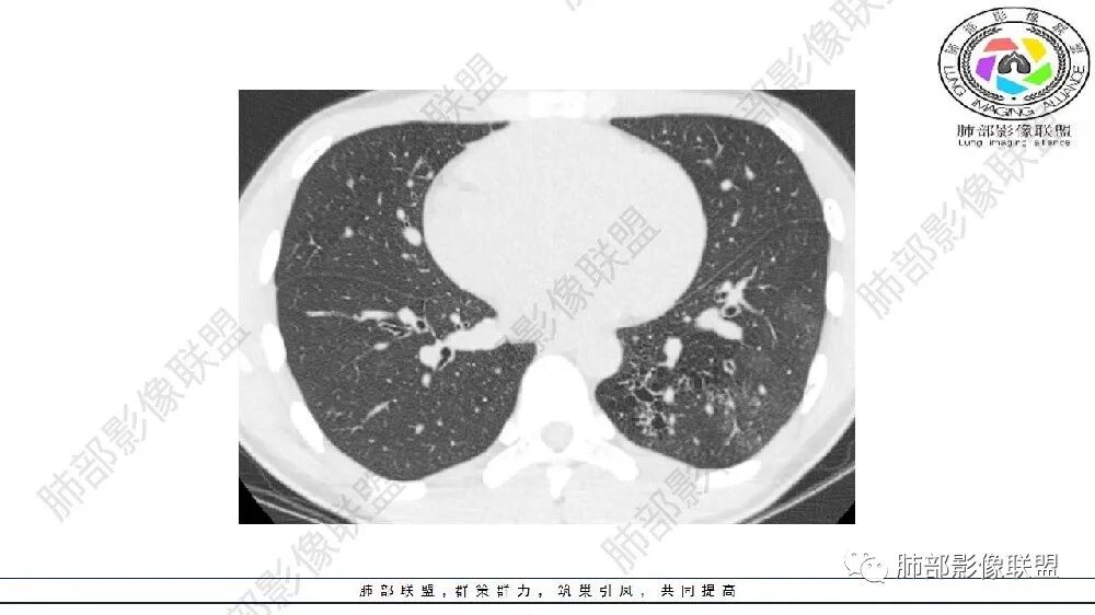
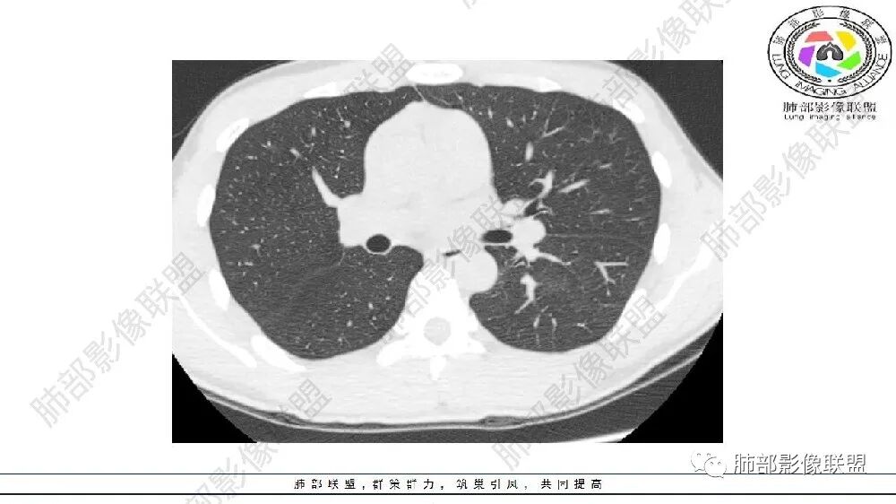
左肺下叶多发大小不等囊腔,周围伴有磨玻璃影,考虑CCAM伴感染。
张东明(甘肃平凉市二院呼吸科)
肺部影像联盟晨读病例考虑 CPAM,鉴别隔离症。
白光宇山阴县医院放射科
左肺下叶多发大小不等囊腔伴周围磨玻璃影,可见血管增粗,似与胸主动脉相连,考虑肺隔离症,鉴别CPAM。
张小林辽宁省核工业总医院放射科
支持CCAM伴感染,鉴别诊断肺隔离症。
刘波 修文县人民医院医院放射科
先天发育性疾病,囊腺瘤样畸形或者隔离。

左肺下叶多发大小不等囊腔,囊壁略厚。周围见片状高密度影,边缘模糊不清,考虑CCAM伴感染,鉴别隔离症
刘权威 宁波北仑长征影像
看年龄大的方向考虑良性。部位有些纠结,囊+结节+磨玻璃,隔离,鉴别CPAM。
群义工-滨医烟台附院呼吸科滕翔
左肺下叶病变气体潴留,血管增粗,体积缩小,慢性炎遗留表现,考虑局部反复感染,气道通畅,考虑血管病变,肺静脉畸形,肺隔离症?
王小龙 迁安人民医院CT
左肺下叶多发囊腔、结节,及磨玻璃密度影,考虑肺隔离症,鉴别CCAM
王秀仙吴川君安医院影像科
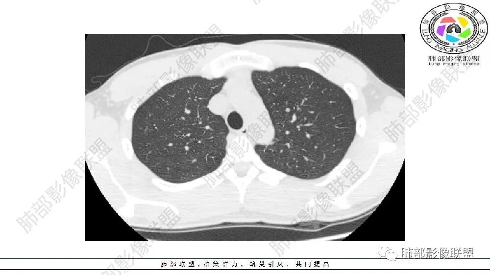
左肺下叶多发大小不等囊腔,部分有粘液栓,周围伴有磨玻璃影,左肺下叶基底干支气管未见,双肺尖可见多发局限性透亮区,青年男性,考虑先天性气道或肺部发育畸形,支气管闭锁?CPAM?鉴别肺隔离症。
曹永军山东省利津县中心医院放射科
左肺下叶大小不等含气囊腔,壁厚薄不均,粘液栓,考虑 ccam,鉴别支气管闭锁,肺隔离征。
冰柠雨露司桂英鞍山市海城三院
左肺下叶多发囊腔、斑片、索条(粗大扭曲的血管?)降主动脉左侧有血管影?首先考虑肺隔离症,建议增强扫描,鉴别囊腺瘤样畸形
张轲大连中医院放射科
考虑肺内型隔离症,鉴别PLCH。
袁勇_江苏省省级机关医院影像科
左肺下叶多发薄壁囊性病灶,血管贴边,并多发增粗的血管,还有一些斑片影,磨玻璃影;两肺尖也有薄壁囊性病灶;病史咳嗽咳痰,痰中带血,跟老师们考虑肺隔离症伴感染,鉴别LIP
唐媛媛邵阳县中医院
患者年纪小,考虑先天发育性疾病,多发大小不等薄壁囊腔影,有实性结节,囊腺瘤样畸形或者肺隔离症(左下肺后基底段),增强扫描有无体循环供血
邢瑞欣 莒县人民医院影像科
青年,咳痰中带血,左肺下叶多发薄壁低密度灶,有结节影,首选考虑先天发育异常,支气管闭锁,肺段隔离症,强化排除。
宋明亮莒县中医医院-编辑
年轻患者,考虑先天发育性疾病,囊状腺瘤样畸形。
姜文强 临洮惠民中西医结合医院
青年,多发囊性病灶,周围ggn,填充物,考虑ccam合并感染。
孟素华,鞍山市结核医院
年轻患者,考虑先天发育性疾病,囊状腺瘤样畸形。
薛继蔚-大连市中心医院放射科
首先考虑隔离,不除外合并先天性肺气道畸形可能。
周宇元-九江学院附属医院影像科
左肺下叶多发囊腔,粗大血管影,隔离征可能,鉴别气道畸形。
中山市三乡医院+谢加平+C
年轻男性,左肺下叶肺动脉明显增粗特点(与对侧比较,降主动脉旁胸膜下分布粗大血管征、左肺下叶肺气囊腔和磨玻璃影,首选肺隔离征,与血管畸形鉴别,病理生理特点:体循环异常分支(压力高)与左肺下叶肺动脉成异常交通。血管血流倒灌左肺下叶表现。
沈阳~苏妇婴医院~郑丹丹
青年男性,左肺下叶多发囊腔伴磨玻璃影,并见增粗血管影,考虑肺隔离症。
李振华 左云县医院
肺囊性腺瘤样畸形,鉴别支气管闭锁。

南大精析


几乎无壁,低密度,胸膜下



  连续的看这些管状影与肺动脉好像没有连续性,不知道是否与主动脉相连,附近高密度影,提示感染。
常规思路: 20岁,肺部出现低密度病灶:多半要考虑先天性病变;其次就是坏死空洞。先天性:肺气肿、囊腺瘤样畸形、闭锁、隔离、支气管扩张,这些病灶符合肺气肿,低密度,胸膜下,无壁。



这些有高密度影,有痰中带血,首先警惕感染或支气管动脉破裂出血(多见于支气管扩张)


可见囊状影、管状影,附近血管明显增粗,似乎与肺动脉不相连
1、需要明确血管与主动脉关系,如果相连--隔离症
2、如果排除了隔离症,要考虑支气管扩张合并血管畸形;囊腺瘤样畸形合并血管畸形;我需要建出内部血管、支气管的整体形态、关系。
闭锁?附近没有大片肺气肿,不符合。为啥没有一元论?因为上肺病灶与左下叶病灶表现完全不同,一个是单纯低密度影,无壁;一个是管状+血管畸形
估计上肺病灶不会处理,所以忽视掉
主要观察左下叶病灶,应该是做过手术或明确了血管与主动脉关系,就目前的表现而言还是更支持隔离:肺动脉、支气管分支似乎没进入病灶区,这是隔离或体动脉供血的特点。囊腺瘤样畸形,按理肺动脉及支气管照样进入这个区域才对;需要重建观察这些血管、支气管才好明确



病理结果
                                                

知识拓展

肺隔离症(pulmonary sequestration,PS),也称为支气管肺隔离症(bronchopulmonary sequestration,BPS),是以肺实质及肺血流供应异常为基础的胚胎发育缺陷。病变肺组织与正常的支气管树不相通,并且由体循环供血。属于先天性肺气道发育畸形的一种,占先天性肺畸形的0.15%~6.4%。
一、病因
病因不明。Pryce牵引学说得到多数人公认,即胚胎期在原肠及肺芽周围有许多内脏毛细血管与背主动脉相连,当肺组织发生脱离时,这些相连的血管即逐渐衰退被吸收。由于某种原因,发生血管残存,成为主动脉的异常分支动脉,牵引一部分肺组织而形成隔离肺。
二、发病机制
Smith提出肺动脉分支发育不全学说,认为肺与体循环之间残留有交通支。出生后,由于体循环的压力高,形成肺内囊肿性改变。胚胎的前原肠额外发育出气管和支气管肺芽,形成囊性肺组织,与相邻的正常肺组织彼此借胸膜隔离。隔离肺的滋养血管来自胸、腹主动脉的异常分支,并经异常静脉系统回流至右心房。
三、病理
隔开的肺在肺叶之内、由同一脏层胸膜所包被者,称为叶内型肺隔离症(intralobar sequestration,ILS),其囊腔病变与正常的支气管相通或不相通。隔开的肺在肺叶之外,不包被在同一脏层胸膜内者,称为叶外型肺隔离症(extralobar sequestration,ELS),囊腔与正常的支气管不相通。
肺隔离症的囊性病变内含棕色液体,病变组织有肺泡、支气管等呼吸上皮结构;或腔内有软骨、弹力组织、肌肉、黏液腺等,可并发支气管扩张,伴炎症表现。
异常动脉大多为1~3支,多来自降主动脉,亦有来自腹主动脉。少数叶外型可来自肺动脉、肋间动脉或腹腔动脉。
四、临床和影像学表现
(一)叶内型肺隔离症
1.临床表现 发病是叶外型的3~5倍,而且以左下肺叶发生多见。隔离的肺与支气管不相通时可无临床症状,一旦感染并与支气管树交通时,可出现咳嗽、咳脓痰、咯血等。自幼即有反复的呼吸道感染是叶内型肺隔离症的首要表现之一。
2.X线表现 叶内型病变的异常肺组织以囊腔型多见,常位于下叶内后方脊柱旁,为含气有液平面的溥壁、不具张力的囊肿,囊腔完全充满液体时呈现密度不均的分叶状“肿块样”表现,囊腔较小时似“蜂窝状”。
(二)叶外型肺隔离症(也称副肺叶)
1.临床表现 无特征性的临床表现,多因合并其他先天畸形如先天性心脏病、膈疝、肠重复畸形、先天性肺囊肿等而半数以上在1岁内得以诊断。
2.X线表现 呈不含气的球形、肿块状或分叶状致密影,以肿块型多见。常合并肠源性囊肿、支气管囊肿、横膈疝、弯刀综合征等其他先天畸形。
五、诊断
X线检查是最早的诊断线索。胸部CT血管重建尤其是MSCT可清楚显示异常的体循环血管的供血,以及血管起始部位、分支和走行,是诊断PS的可靠手段。血管造影术曾经是诊断PS的金标准,但其侵人性操作限制了其在临床上广泛应用。目前常将胸部CT血管重建用于PS的诊断,可显示1支或多支异常供血动脉,诊断准确率达100%,尤其是增强MSCT不仅可检出细小动脉,更能提供异常动脉来源与走行的详细血管路线图,可以帮助完善术前评价,结合其简便、易行、无创的特点,可作为PS确诊首选。磁共振血管成像(MRA)也可以显示异常血管的供血。MRI和MRA对碘剂过敏者是较好的选择。产前超声是诊断PS的首选方法,MRI可直接显示胎儿隔离肺的位置和形态,并确定其供血血管,对于胎儿PS的诊断具有较高价值,可作为产前胎儿超声检查的重要补充。文献显示产前超声诊断的12例胎儿PS,超声诊断符合率83.3%,误诊2例(1例为隔疝,1例为肺囊腺瘤);产前MRI检查诊断准确率为91.7%,误诊1例(隔离肺误诊为腹腔肿瘤)。16例BPS患儿中,15例患儿的产前MRI检查结果与出生后诊断结果一致,其中,叶内型10例,叶外型5例;1例产前MRI诊断为右肺下叶BPS,出生后手术病理检查证实为先天性肺囊腺瘤样畸形(congenital cystic adenomatiod mal- formation,CCAM),产前MRI诊断BPS的准确率为15/16。
六、鉴别诊断
叶内型要与先天性肺囊肿等鉴别,叶外型则需与肺肿瘤鉴别。
七、治疗
(一)对症治疗 抗感染。 
(二)手术 为了尽量保存肺功能,叶内型做肺段切除最为理想。叶外型的临床症状虽然较少,只要诊断明确应切除为宜。婴幼儿特别是新生儿并非手术禁忌。但术前明确诊断很重要,因为隔离肺的血管很短,而且常合并动脉硬化,术中止血困难,易引起大出血。
(三)介入治疗 行主动脉逆行造影,明确隔离肺的异常血管数目及来源后,使用动脉导管栓塞隔离肺的滋养动脉,疗效肯定。

编辑:侯亚儒
审核:张慧   清茶


到顶部