肺部联盟感染培训班期待你的加入!
(文尾链接)
每日晨读
肺部影像联盟创办六年有余
拥有粉丝10万余人,原创文章2800余篇
形成一个以肺部影像为主体的医学公众号
“每日晨读”是具有特色的读片系列
各群大咖每天都呈现找到“真相”的端倪
邀您共同体验联盟博大精深的专业内涵
感受“我为人人”的无私情怀
病例资料
![]()
![]()
![]()
![]()
![]()
![]()
![]()
![]()
![]()
![]()
![]()
![]()
![]()
![]()
![]()
![]()
微信群发言
刘波:
中老年男性,发热,咳痰10天,加重5天,糖尿病病史,要考虑到糖尿病合并肺部感染四大金刚(金葡菌、毛霉菌、结核、肺炎克雷伯杆菌),C反应蛋白及白细胞明显增高,PCT增高至44.34,这个至可以考虑到脓毒症(尤其阴性菌)。2023-1-5日片,双肺多发斑片状/片子密度增高影,边缘相对较清晰/膨隆,右肺较明显,病灶内见支气管影,小支气管未见明确现实;病灶似有重力依赖,背侧明显较实,右侧胸腔见散在包裹性积液;2023-1-12,间隔一周,包裹性积液改变增多,右肺中叶外压行膨胀不全;右肺下叶病灶明显液化坏死,可以考虑肺克可能大。
涂涂万金油`:
链球菌(咽峡炎链球菌群:星座>咽峡炎>中间)➕厌氧菌
唐绍宏:
星座链球菌+厌氧菌,肺克肯定不是
A+相思子:
动态演变不是很符合肺克,支持星座,厌氧菌可以合并
我只是邓较瘦:
从临床角度说,容易引起脓胸的病原体有哪些,两位唐老师@唐绍宏 @唐媛媛邵阳县中医院
唐绍宏:
太多了,金葡、肺克、星座、铜绿、厌氧菌、放线菌、结核等都可以
我只是邓较瘦:
噢,那就是不能从这个角度找了。唐老师说下为何不考虑肺克呢
唐绍宏:
这么高的张力,肺克没那个能力,只有厌氧菌才能够做到
我只是邓较瘦:
学习了,那链球菌是如何看出来的呢
唐绍宏:
星座链球菌必须与厌氧菌伴随。一周,肺炎液化为脓肿,肺克做不到,星座负责消耗氧气,为厌氧菌提供适合的需氧环境,而需氧环境星座又能适应无氧环境
我只是邓较瘦:
这些知识特别好,就是有点零散,希望唐老师在这次感染班给我们系统的说一说,这是另一个角度了,我们影像人更加需要了解。唐老师,我能不能理解为,厌氧菌必须与链球菌伴随而不是链球菌必须与厌氧菌伴随?因为厌氧菌的无氧条件是链球菌创造
唐绍宏:
是的
病 例 结 果
![]()
回顾性分析
影像与临床:
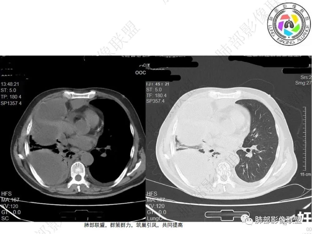
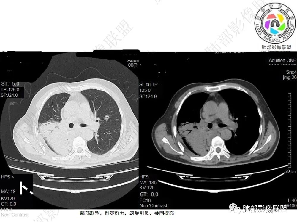
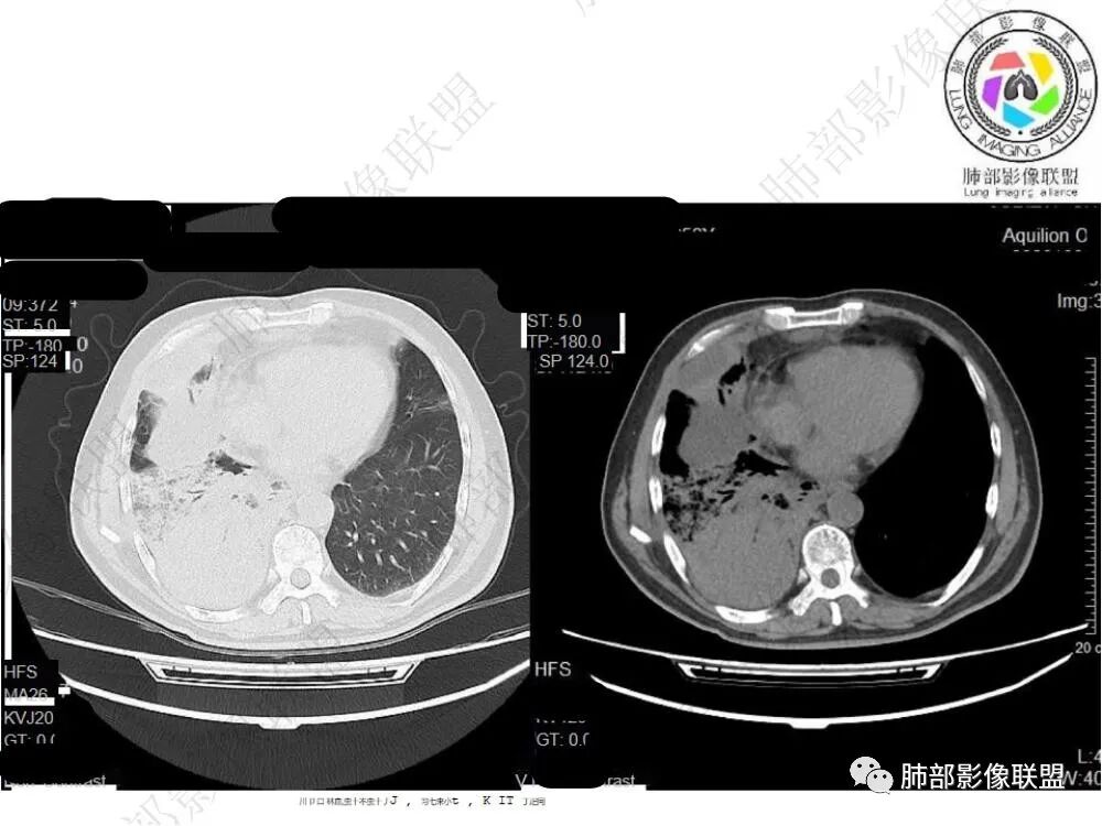
1.中年男性,发热咳嗽10天,加重伴呼吸困难5天。
既往糖尿病病史,血糖控制情况不详。未提供患者一般情况,如体温血压等等。
实验室炎性指标升高,如:C-反应蛋白260.88mg/L;PCT44.34ng/L;白细胞及中性显著升高等等。
2.影像显示右肺上叶后段及右肺下叶较大范围实性密度为主片状影,边界可分辨,密度较均匀,隐约见小范围低密度(可疑液化区),未见钙化及气囊影。
3.左肺上叶见小片影,边界不清,实性及磨玻璃混合密度。
4.右侧胸腔积液,多包裹局限。
5.纵隔见轻度增大淋巴结。
6.一周后复查变化较为明显。肺部实变影有所吸收,但胸腔积液增加明显,包裹于侧胸壁、纵隔旁及叶间裂。注意右肺下叶因积液推压明显(可惜未能提供薄层图片及矢状位图片)。
7.扫描范围内肝顶叶未见异常低密度区。
综合分析:
1.临床表现、实验室检查及影像表现均支持患者为肺部及胸膜腔感染性病变。病程较短。
2.病变主要聚集右肺,短期复查也未见快速出现的气囊影等,缺乏金黄色葡萄球菌感染的影像学特点。影像变化也不大符合肺炎克雷伯杆菌感染表现。
3.如果存在化脓性感染,本例提示不要忘记部分肺炎链球菌,如咽峡炎链球菌中的星座链球菌感染等。
4.肺部病灶的变化不排除存在抗生素覆盖所致的可能性。
5.查实责任病原菌方法较多,就本例而言,胸水也许属最为简单可靠的方法之一。
![]()
呼吸系统感染历来为影像学诊断最重要内容之一,也是公认的难点和热点。怎么破???
肺部影像联盟推出第九期涉及到临床系列的“肺部感染影像培训班”在千呼万唤中,总算要开班啦!我们依旧沿袭以网络视频教学+课后群里辅导+课后互动答疑+病例会诊指导为主,提倡病例说话、看清征象、抽丝剥茧、逻辑分析、积累经验、开阔眼界。我们将更加专业、更加务实、更加系统地为大家做好服务!
赶快报名吧!
https://mp.weixin.qq.com/s/AnzpJ5SVZBRVj4D1NQcX0A
编辑:谢壁樯
审核:徐 晓 清 茶
![]()
![]()
(文尾链接)
每日晨读
肺部影像联盟创办六年有余
拥有粉丝10万余人,原创文章2800余篇
形成一个以肺部影像为主体的医学公众号
“每日晨读”是具有特色的读片系列
各群大咖每天都呈现找到“真相”的端倪
邀您共同体验联盟博大精深的专业内涵
感受“我为人人”的无私情怀
病例资料
微信群发言
刘波:
中老年男性,发热,咳痰10天,加重5天,糖尿病病史,要考虑到糖尿病合并肺部感染四大金刚(金葡菌、毛霉菌、结核、肺炎克雷伯杆菌),C反应蛋白及白细胞明显增高,PCT增高至44.34,这个至可以考虑到脓毒症(尤其阴性菌)。2023-1-5日片,双肺多发斑片状/片子密度增高影,边缘相对较清晰/膨隆,右肺较明显,病灶内见支气管影,小支气管未见明确现实;病灶似有重力依赖,背侧明显较实,右侧胸腔见散在包裹性积液;2023-1-12,间隔一周,包裹性积液改变增多,右肺中叶外压行膨胀不全;右肺下叶病灶明显液化坏死,可以考虑肺克可能大。
涂涂万金油`:
链球菌(咽峡炎链球菌群:星座>咽峡炎>中间)➕厌氧菌
唐绍宏:
星座链球菌+厌氧菌,肺克肯定不是
A+相思子:
动态演变不是很符合肺克,支持星座,厌氧菌可以合并
我只是邓较瘦:
从临床角度说,容易引起脓胸的病原体有哪些,两位唐老师@唐绍宏 @唐媛媛邵阳县中医院
唐绍宏:
太多了,金葡、肺克、星座、铜绿、厌氧菌、放线菌、结核等都可以
我只是邓较瘦:
噢,那就是不能从这个角度找了。唐老师说下为何不考虑肺克呢
唐绍宏:
这么高的张力,肺克没那个能力,只有厌氧菌才能够做到
我只是邓较瘦:
学习了,那链球菌是如何看出来的呢
唐绍宏:
星座链球菌必须与厌氧菌伴随。一周,肺炎液化为脓肿,肺克做不到,星座负责消耗氧气,为厌氧菌提供适合的需氧环境,而需氧环境星座又能适应无氧环境
我只是邓较瘦:
这些知识特别好,就是有点零散,希望唐老师在这次感染班给我们系统的说一说,这是另一个角度了,我们影像人更加需要了解。唐老师,我能不能理解为,厌氧菌必须与链球菌伴随而不是链球菌必须与厌氧菌伴随?因为厌氧菌的无氧条件是链球菌创造
唐绍宏:
是的
病 例 结 果
回顾性分析
影像与临床:
1.中年男性,发热咳嗽10天,加重伴呼吸困难5天。
既往糖尿病病史,血糖控制情况不详。未提供患者一般情况,如体温血压等等。
实验室炎性指标升高,如:C-反应蛋白260.88mg/L;PCT44.34ng/L;白细胞及中性显著升高等等。
2.影像显示右肺上叶后段及右肺下叶较大范围实性密度为主片状影,边界可分辨,密度较均匀,隐约见小范围低密度(可疑液化区),未见钙化及气囊影。
3.左肺上叶见小片影,边界不清,实性及磨玻璃混合密度。
4.右侧胸腔积液,多包裹局限。
5.纵隔见轻度增大淋巴结。
6.一周后复查变化较为明显。肺部实变影有所吸收,但胸腔积液增加明显,包裹于侧胸壁、纵隔旁及叶间裂。注意右肺下叶因积液推压明显(可惜未能提供薄层图片及矢状位图片)。
7.扫描范围内肝顶叶未见异常低密度区。
综合分析:
1.临床表现、实验室检查及影像表现均支持患者为肺部及胸膜腔感染性病变。病程较短。
2.病变主要聚集右肺,短期复查也未见快速出现的气囊影等,缺乏金黄色葡萄球菌感染的影像学特点。影像变化也不大符合肺炎克雷伯杆菌感染表现。
3.如果存在化脓性感染,本例提示不要忘记部分肺炎链球菌,如咽峡炎链球菌中的星座链球菌感染等。
4.肺部病灶的变化不排除存在抗生素覆盖所致的可能性。
5.查实责任病原菌方法较多,就本例而言,胸水也许属最为简单可靠的方法之一。
呼吸系统感染历来为影像学诊断最重要内容之一,也是公认的难点和热点。怎么破???
肺部影像联盟推出第九期涉及到临床系列的“肺部感染影像培训班”在千呼万唤中,总算要开班啦!我们依旧沿袭以网络视频教学+课后群里辅导+课后互动答疑+病例会诊指导为主,提倡病例说话、看清征象、抽丝剥茧、逻辑分析、积累经验、开阔眼界。我们将更加专业、更加务实、更加系统地为大家做好服务!
赶快报名吧!
https://mp.weixin.qq.com/s/AnzpJ5SVZBRVj4D1NQcX0A
编辑:谢壁樯
审核:徐 晓 清 茶