【每日晨读】结核背景下的结节,一元还是二元?



01
精彩病例分享





























02

精彩发言讨论
sp张延军:
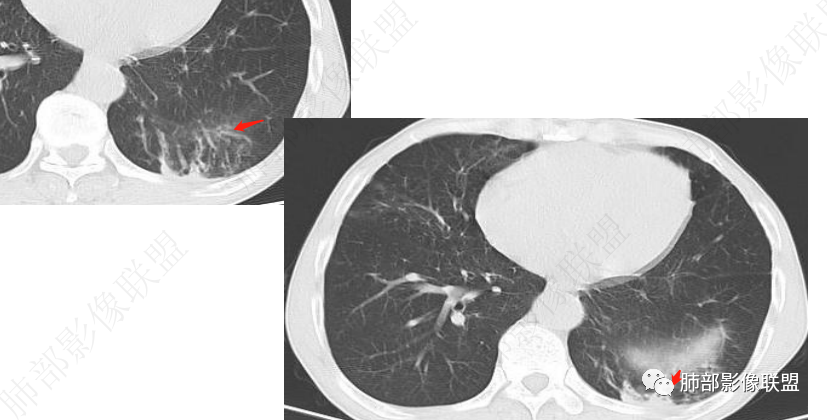
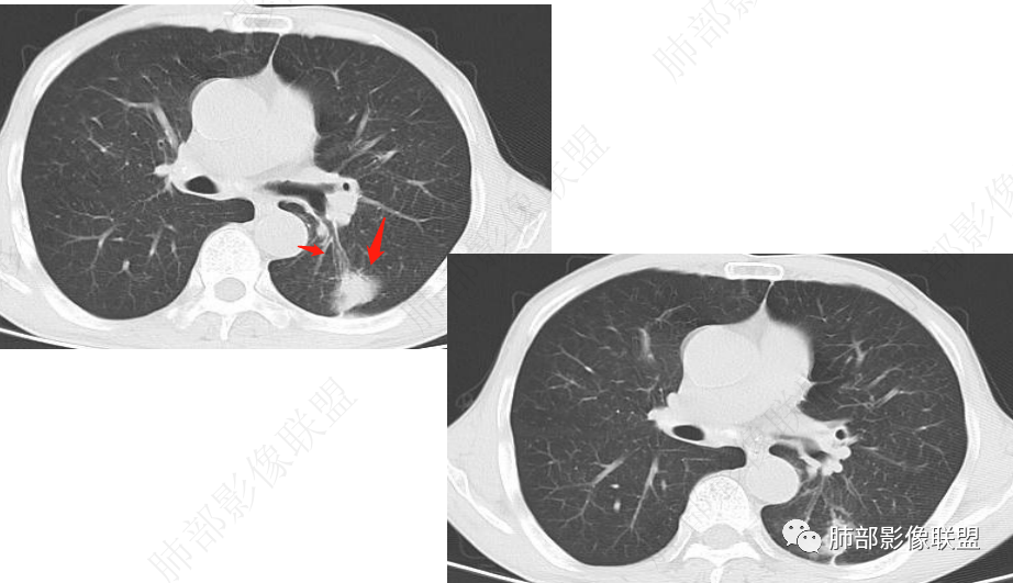
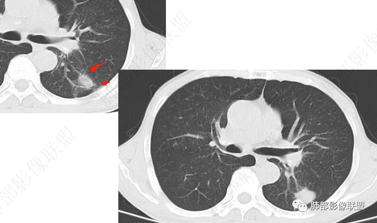
左肺及右肺中叶可见多发斑片状,条索及结节状高密度影,界不清,树芽征(+),中叶伴有支气管扩张,左肺下叶背段结节,周围伴毛刺,近端气管截断,实质密度不均匀,强化方式(看不清),8L,7及4区及左肺门见多发肿大淋巴结,老年男性,感染指标升高,呼吸道慢性病史,二元论,结核+左肺下叶背段恶性结节(鳞癌?)左肺下叶后基底段有新发感染?
衡妈:
左肺下叶沿支气管束走形实性病灶,增强后不均匀强化,低密度坏死或者粘液,周围肺野斑点状炎性病灶,左肺上叶尖后段及右下肺散在斑片状影。纵隔及左肺门多发肿大淋巴结。支气管镜左肺上叶舌段狭窄。首先考虑感染性病变,结核可能,鉴别肿瘤性病变,鳞癌;其次结节病。






蓝天白云:
结节周围多发结节影,边缘模糊,考虑感染性病变,结核,机化性肺炎,腺癌
行云流水:
左侧胸廓缩小,肺野透亮度较对侧升高,多发微小结节影,下肺结节有刀切征,周围卫星灶,长索条,胸膜增厚牵拉,周边强化,考虑结核,鉴别腺癌。
秦化君:
双肺上叶斑点索条影,边缘清晰,可见树芽征。右肺中叶、左肺下叶局限性支气管扩张及索条影。左肺下叶背段结节膨胀感不强,直边,不均匀强化。左侧膈肌抬高相近肺内条片状影。纵隔及左肺门淋巴结稍增大。一元:先考虑感染性病变,NTM,努卡。两元:左下肺腺癌+淋巴结转移+膈神经麻痹。
红星:
肺部联盟病例男性67岁,咳嗽咳痰两年加重10天。左肺大结节病灶,边缘有切面,以胸膜下粘连,边界柔软,代表良性的病变。病灶的内部有反晕,边缘有少许的抹玻璃样改变,近端有支气管的半进入,周围有支气管的播散病灶。考虑良性病变,结核的可能性大,鉴别诊断就是隐球菌感染。




采莲:
老年男性,慢性咳嗽咳痰2年,加重10 天,左肺下叶实性结节影,边缘收缩平直,支气管进入后截断,周围有树芽征及结节影,周围支气管壁增厚狭窄,右肺中叶斑片影,左肺下叶条索影,考虑肉芽肿性炎,肺结核,NTM,考虑肺结核可能性大。鉴别NTM,炎性假瘤等。
金豆:
炎性肉芽肿,结核,鉴别腺癌。
张延军:
8L引流区淋巴结明显肿大,左肺下叶背段结节恶性不除外

紫气东来:
考虑腺,鉴别结核
小兜:
一元论考虑结核可能
玫:
考虑炎性病变,结核可能
了:
老年男性,左下肺基地段实变影,边缘模糊,局部膨隆,远端树芽征,周围长条索,考虑感染性病变
飞鹰行动:
考虑炎性肉芽肿病变,鉴别腺癌
宇宙:
左肺下叶不规则实性结节,无毛刺,支气管进入阻塞,周围树芽,远端长索条,左侧胸膜增厚,左肺门淋巴结略增大,右肺中叶支气管扩张,考虑炎性肉芽肿,结核、NTM,鉴别腺癌
食客:
炎性病变,结核?
丽:
双肺多发索条,左肺下叶胸膜下软组织肿块,边缘光滑,平行于胸膜,左下肺门增大,见软组织结节,增强后均匀强化,考虑炎性肉芽肿性病变
放射线:
左肺下叶不规则软组织密度影,密度不均,胸膜牵拉,环形强化,周围可见多发结节影,左侧肺体积略缩小,左肺上叶多发结节及条索,考虑结核,鉴别腺癌
看图说话:
左肺下叶不规则实性结节,密度不均,支气管进入阻塞,树芽,长索条,边缘强化,考虑炎性肉芽肿,结核、NTM。
放射小白:
左肺下叶团块状影,可见支气管截断征,增强轻度强化,左肺下叶可见纤维索条影,纵隔及左侧肺门可见淋巴结,左肺舌段支气管变窄,常规考虑黏液腺癌,局部合并炎症,鉴别结核,应该在这两个之间。
风倾竹上雪:
左肺下叶结节影,平直为主周围散在腺泡结节,支气管扩张,临近胸膜牵拉,考虑结核鉴别腺癌
琦遇:
癌+TB,
弹指之间:
左下肺门旁肿块,肺癌?结节病?+较陈旧结核
穿越七海的风:
左肺下叶结节,反晕,边缘平直,边界不清,卫星灶,考虑结核
大雄:

张世晓:
考虑TB
良孑:
慢性病史,急性起病,炎性标志物升高,左肺胸膜下结块,边界似清非清,可见晕中软毛刺,邻近肺野见斑点状卫星灶,可见近端支气管充气征,引流支气管管壁增厚,结块局部边缘平直,可见反晕征,综和分析考虑炎性肉芽肿性病变,尽管隐球夾膜试验阴性,但影像上还是首选隐球或TB,其次粘液腺癌
谢加平:
左肺下叶体积缩小,其后基底段斑块病灶,边缘清,与胸膜平行,似楔形状,有平直征,不均匀强化,内见血管造影(需薄层确认),周边索条纤维灶及小树Y,另左肺下叶支气管壁增厚,方向炎性肉芽肿,或球形肺炎,与淋巴瘤鉴别,经皮肺定位穿刺活检。
若尘:
考虑炎性病变、结核,鉴别腺癌。
流心明智:
男,67,咳嗽、咳痰2年,加重10天。胸部CT:左肺下叶实性结节,边缘短毛刺、平直膨隆都有,近端支气管截断,胸膜牵拉,强化不均匀,纵隔、左肺门多发肿大淋巴结。左下叶远端尚可见树芽,胸膜下索条。考虑Ca,鳞?腺?鉴别TB、炎性结节。
良孑:
有播散,引流支气管壁增厚,反晕,是要想到TB
03
南边老师解析
南边:
今天的病例从我的角度分析还是需要薄层





南边:
整体体积缩小,附近多发索条、斑点状高密度影,继发性结核肯定有,倾向于陈旧性,问题是:是否有继发的恶性肿瘤?薄层看看边缘是否毛刺?

南边:是否边界清楚GGO?



南边:
这是血管

04
病理结果



05


本例小结
1.老年男性,慢性咳嗽咳痰,病程2年,加重10天。
2.实验室检查炎性指标增高。
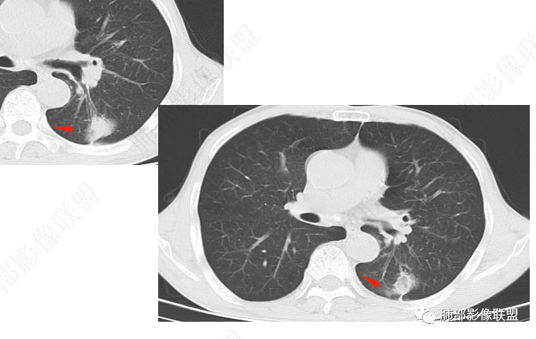
3.影像表现双肺可见多发斑片状,条索及结节状高密度影,界不清,树芽征(+),考虑肺结核问题不大。左肺下叶背段结节病灶相对另类,应当警惕结核伴肿瘤,如腺癌。该病灶边缘有刀切征,未见典型分叶毛刺,结合周围有卫星灶,胸膜增厚粘连,可疑反晕,边缘有少许的磨玻璃样改变、较模糊,病灶周围有条索、树芽,相对强化较轻微,一元论考虑肺结核可能性大。腺癌如伴有磨玻璃多为中心实性成分周围为磨玻璃成分,且病灶膨隆为主、可见分叶、毛刺、胸膜凹陷、血管集束,脐凹征等征象,本例有轻微胸膜长线牵拉凹陷但其余肺癌常见恶性征象均不明显,且出现边缘平直等明显指向良性病变的征象。
  左肺下叶片状影,边界不清,强化明显,更符合感染性炎性病变。
06
相关链接
【每日晨读】南边解读---结核千面妖
【每日晨读】如此结核,无愧“妖中之王”!
【每日晨读】结核千千面


END
编辑:杨新娟
初审:邓文睿
终核:徐  晓



到顶部