【每日晨读】胸膜下结节,会是隐球菌吗?





每日晨读

2023年3月3日


肺部影像联盟创办六年有余
拥有粉丝10万余人,原创文章2800余篇
形成一个以肺部影像为主体的医学公众号
“每日晨读”是具有特色的读片系列
各群大咖每天都呈现找到“真相”的端倪
邀您共同体验联盟博大精深的专业内涵
感受“我为人人”的无私情怀


















































































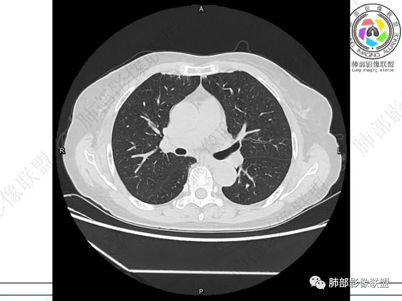
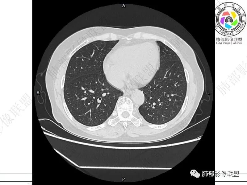
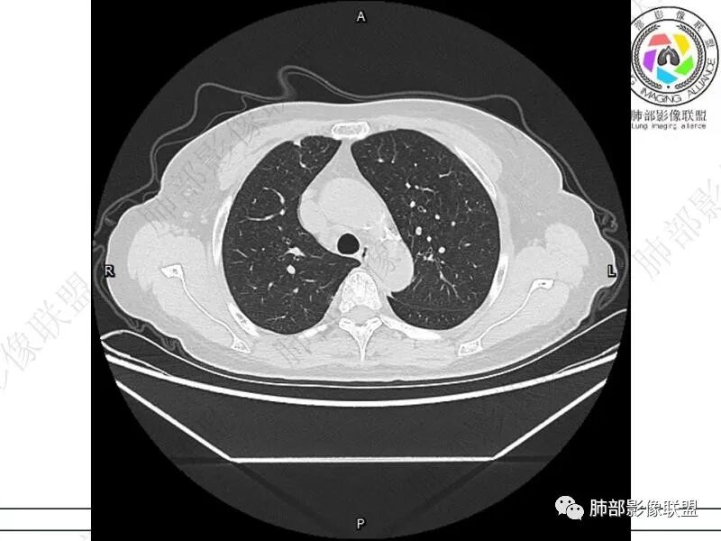
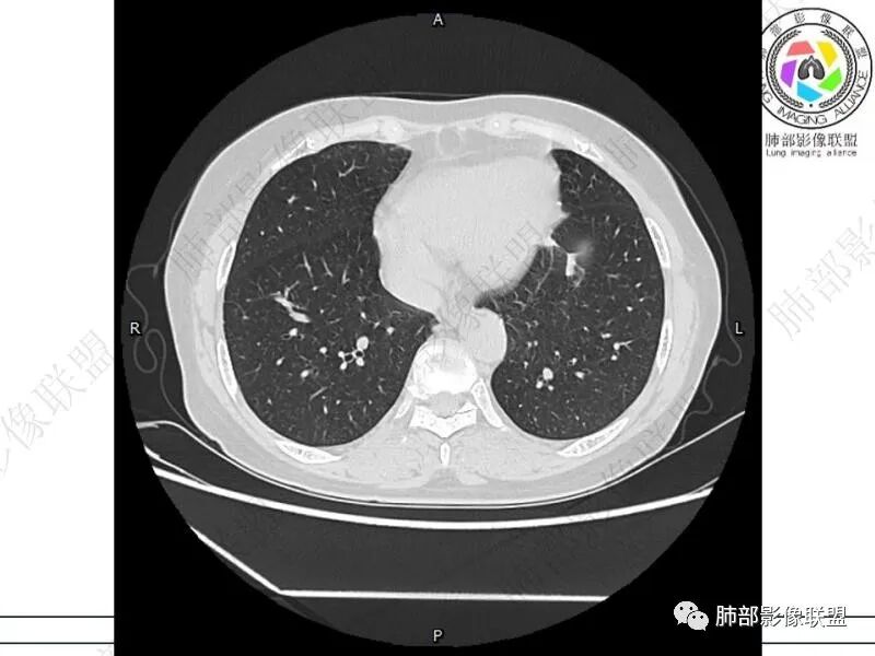
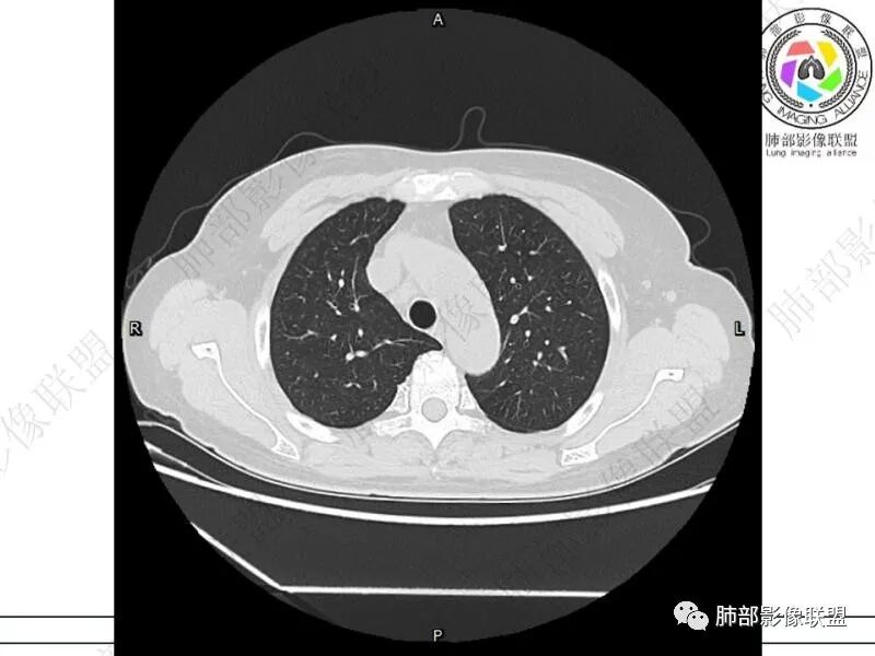
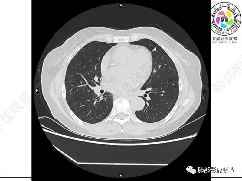
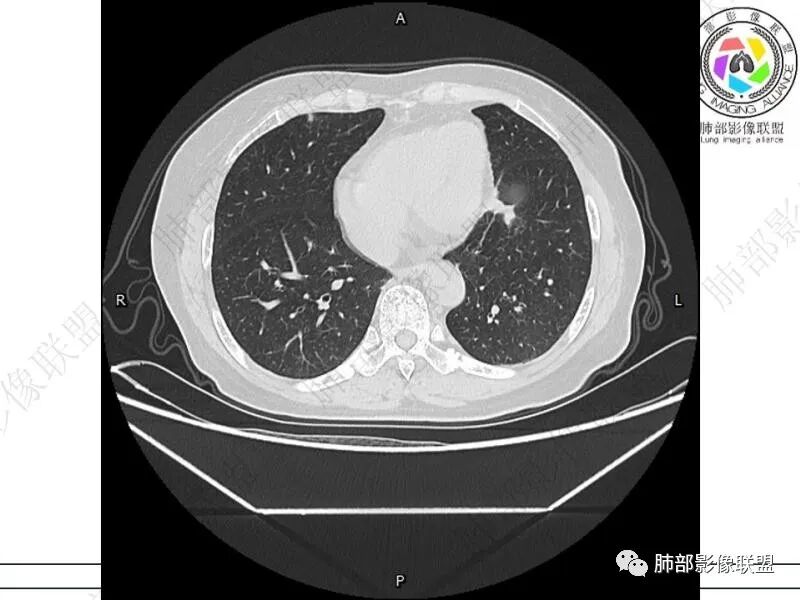
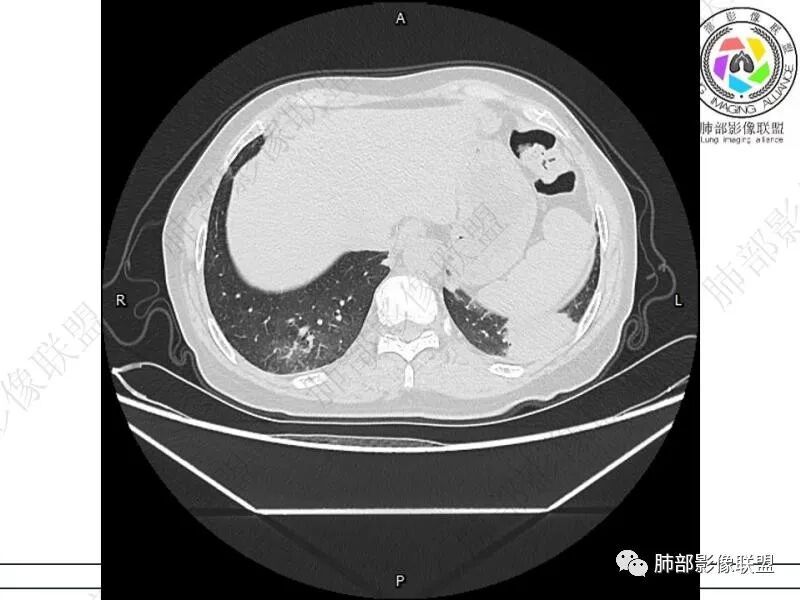
摘星空竹子:两肺胸膜下多发实性结节、磨玻璃影及实变影,短期复查病变有所进展,考虑感染性病变,隐球菌可能,患者有右半结肠癌手术史,转移不能除外。
简单:双肺及胸膜下多发小结节,双下肺胸膜下宽基底团块影,短期内病灶进展考虑炎性病变,隐球?患者ca术后,双肺小结节随诊除外转移
放射小白:老年女性,肠癌手术病史;影像表现,两肺胸膜下见微小结节及实变影,住院治疗后病情加重,两肺下叶胸膜下实变范围变大,首先考虑OP/COP,鉴别隐球菌,最后挂上淋巴瘤,感觉不像。
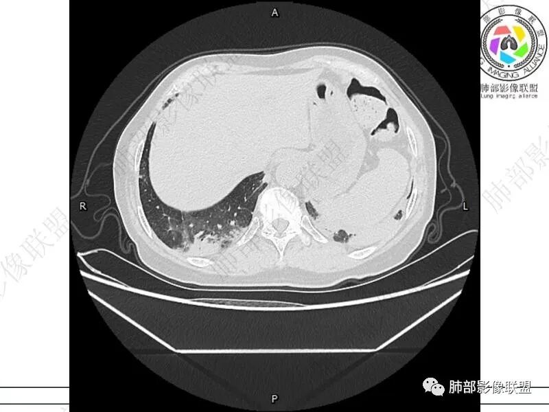
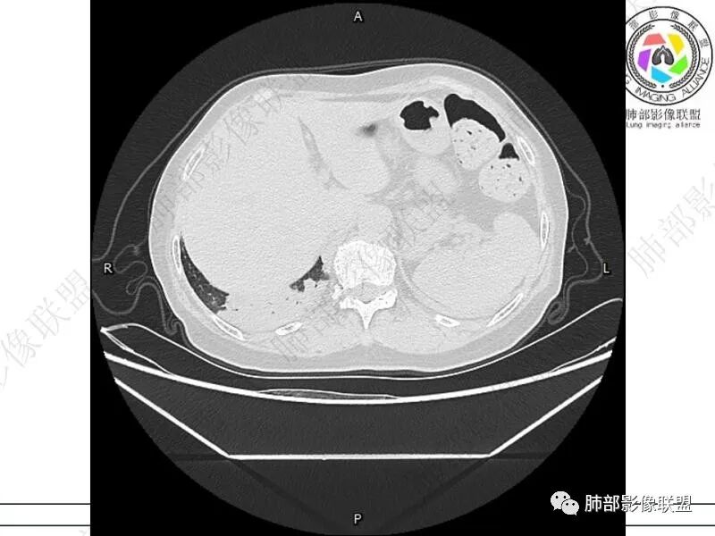
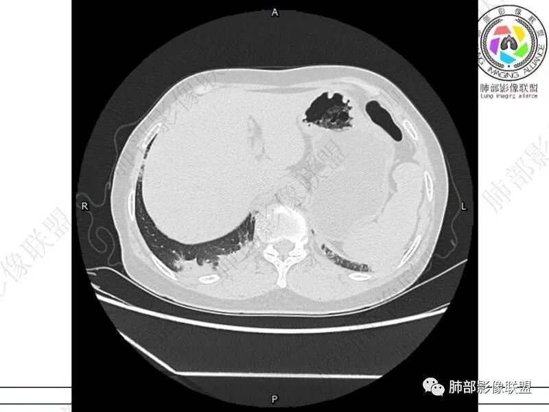
丽:双肺下叶胸膜下多发片状高密度影,边缘模糊不清,内可见支气管穿行,病变长轴平行于胸膜,考虑感染性病变,隐球菌
空格:女性,肠癌术后低热,低免疫状态,广谱抗生素无效,病灶仍然进展,很自然考虑真菌。  cea 复查1.8  很低, 常规情况,不太可能考虑转移,cea在监测复发和转移还是很靠谱的。     影像似乎没什么特征 :  1 胸膜下优势分布 ,晕 、 胸膜友好,这点符合隐球菌,此外 白念、霉菌也有可能。
媛:肠癌术后,免疫力低下。两肺胸膜下结节及实变影,实变影长轴平行于胸膜,密度均匀,边界偏清,周围有晕征,短期复查进展,虽隐球菌荚膜抗原检测阴性,还是考虑隐球菌,鉴别OP
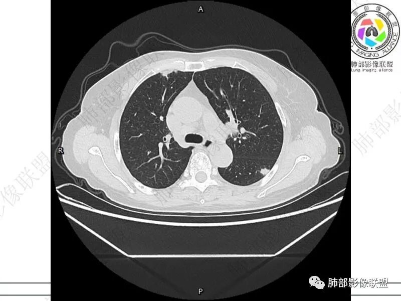
songml:老年女性,结肠癌术后,下腹隐痛。双肺胸膜下散在结节影,大小不一,下肺为著,肺野清晰,实变结节有强化,有毛毛征。考虑隐球菌感染。
谢加平:结肠癌术后史,两肺胸膜下多发结节及斑块实变病灶,实边边界平直征(亚急性和慢性病变过程),双肺下叶后基底段胸膜下为甚,与胸膜平行特点,见支气管充气征,边缘模糊的GG0,首诊2022年11月18日肺部CT,与治疗11月28日对比,病灶未吸收,双肺下叶胸膜下病灶有侧向融合特点,综合分析符合炎性肉芽肿,隐球菌感染。
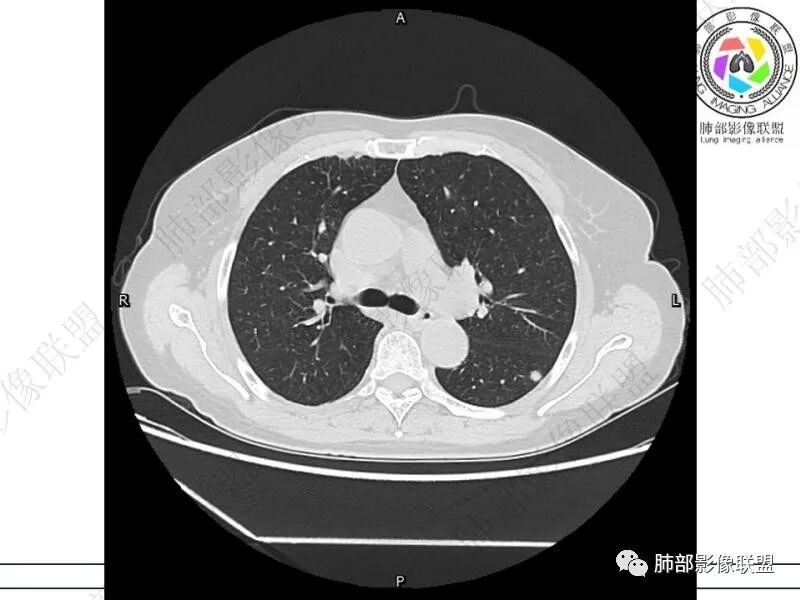
冰柠雨露:双肺多发小结节,斑片灶,复查双上小结节有的缩小变性,双下叶病灶增大,内见支气管像,抗感染效果不好,荚膜阴性,支气管灌洗未检出细菌,非感染性病变?淋巴瘤?
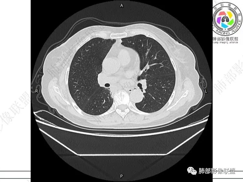
良孑:两肺胸膜下多发相类似结节,部分结节有晕及晕中软毛刺,部分结节侧向融合,长轴与胸膜平行,结节边缘可见刀切征,右半结肠癌术后免疫力低下,综合考虑支持隐球菌
衡妈:有可能是肺动脉栓塞引起的肺梗死吗?

老年女性,结肠癌术后。两下肺胸膜下为主片状实变,右下肺短期复查融合且病灶长轴平行于胸膜,实变内可见支气管充气征,边缘磨玻璃晕,另两肺内胸膜下散在数枚小结节状、楔形实性灶。考虑感染性病变,隐球菌可能,鉴别肺转移。

THINKER:胸膜下实变,常见OP丶PC丶PE丶腺癌丶腺病毒丶非典型病原体。1.此例肠癌,免疫妥协人群,PC要考虑,但荚膜抗原阴性,阴性预测值很高。2.肿瘤史,本身易高凝状态,肺栓塞要考虑。3.OP  胸膜下实变,经典型OP影像。故:PE>OP>PC


媛:今天集体翻车了,看来隐球菌荚膜抗原检测真的是非常准。
THINKER:NGS丶荚膜抗原阴性预测值还是挺高的,NGS查到的不一定有意义,没查到更具有排除意义,也可能真菌璧厚,NGS破壁暴露DNA不足造成的假阴性。
风往北吹:就考虑OP就好
尘缘:就是个COP,诊断不了IGG4。治疗上用激素都有效。
南边:OP确实是个很新奇、也很神奇的存在,得看是炎症的OP阶段,还是机化性肺炎阶段
唐绍宏:用隐球没办法解释

IgG4确实符合,强烈的纤维化;最大的病灶无坏死

回顾分析:
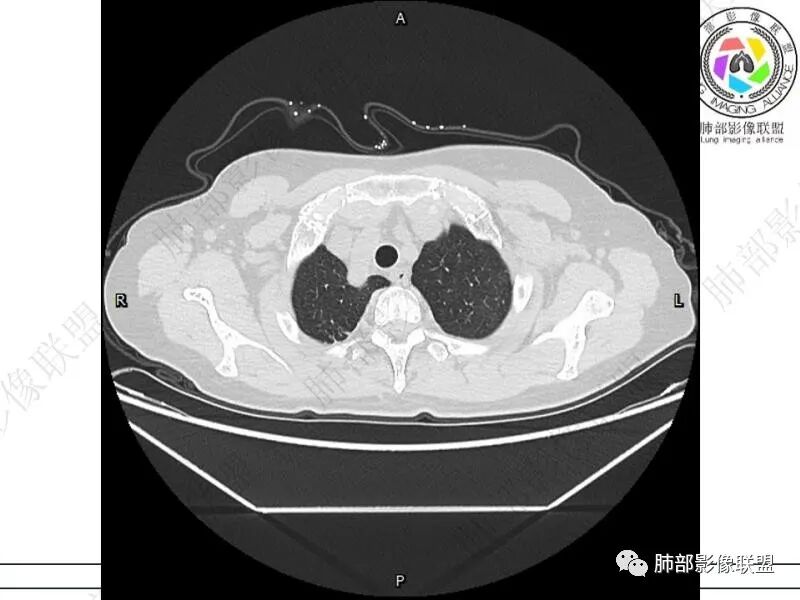
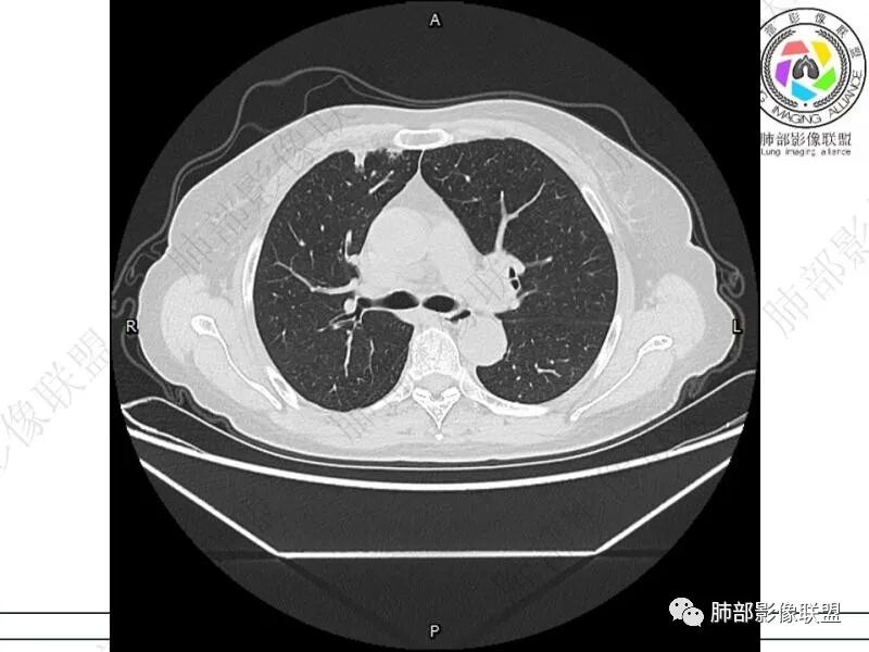
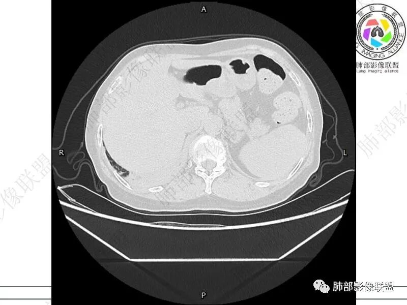
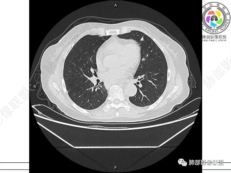
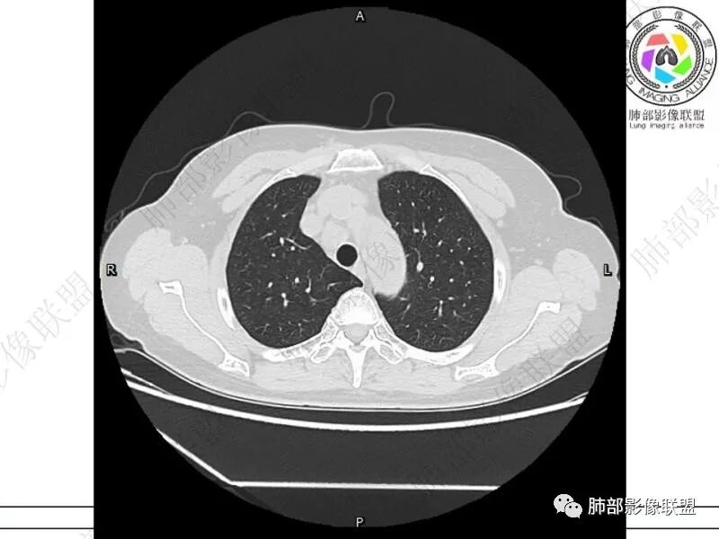
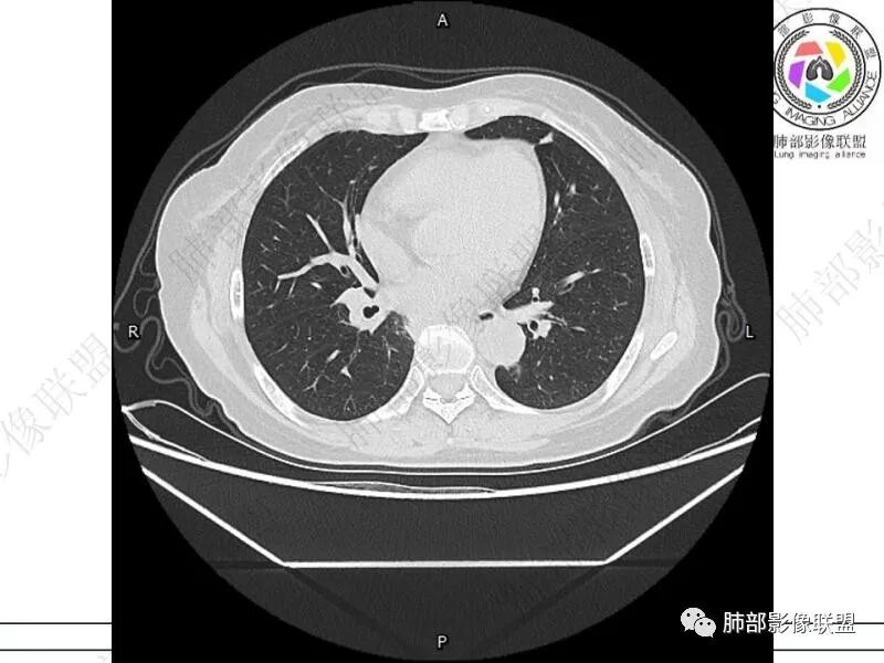
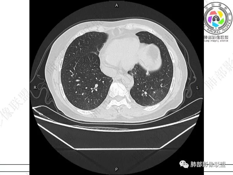
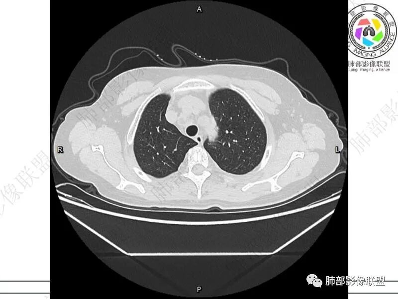
1.老年男性,肠癌术后低热,低免疫状态。C反应蛋白升高,隐球菌荚膜抗原检测阴性。
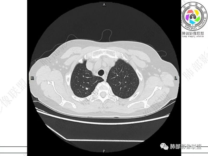
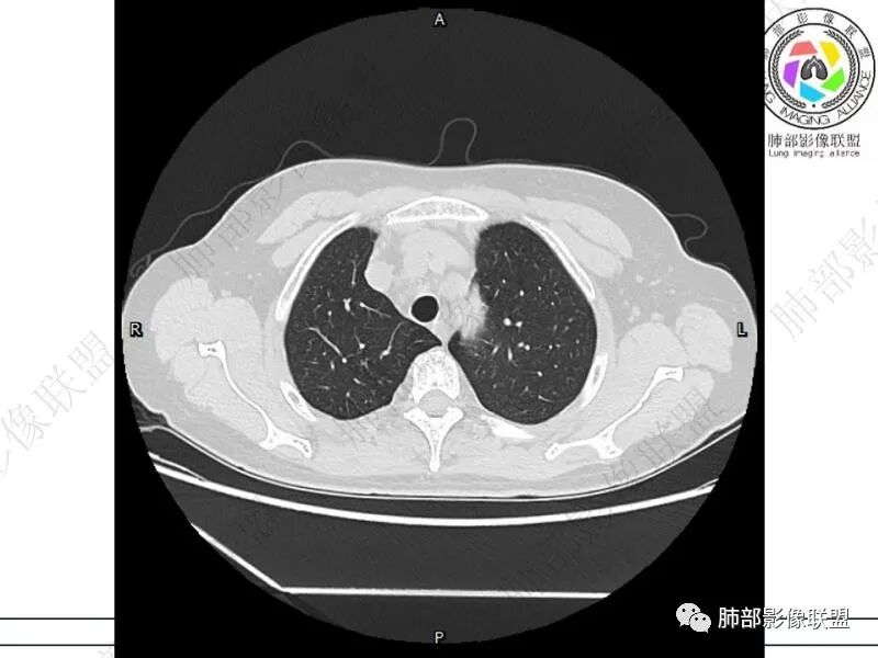
2.影像特征:双肺胸膜下多发实性结节、磨玻璃影及实变影,胸膜下优势分布、晕征、胸膜下脂肪间隙存在,部分病灶边界平直征,有侧向融合趋势。
3.CEA复查1.8ng/ml,常规情况,基本排除转移。广谱抗生素治疗后无效,病灶仍然进展,考虑特殊感染。

呼吸系统感染历来为影像学诊断最重要内容之一,也是公认的难点和热点。怎么破???
   肺部影像联盟推出第九期涉及到临床系列的“肺部感染影像培训班”在千呼万唤中,总算要开班啦!我们依旧沿袭以网络视频教学+课后群里辅导+课后互动答疑+病例会诊指导为主,提倡病例说话、看清征象、抽丝剥茧、逻辑分析、积累经验、开阔眼界。我们将更加专业、更加务实、更加系统地为大家做好服务!
赶快报名吧!
https://mp.weixin.qq.com/s/AnzpJ5SVZBRVj4D1NQcX0A


编辑:杨丽
审核:张慧  清茶
到顶部