【每日晨读】看间质性肺结核如何移步换影



01
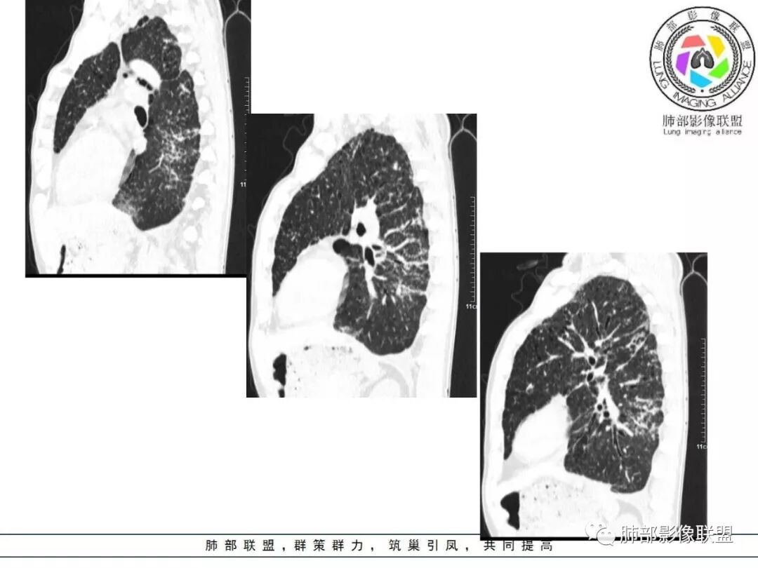
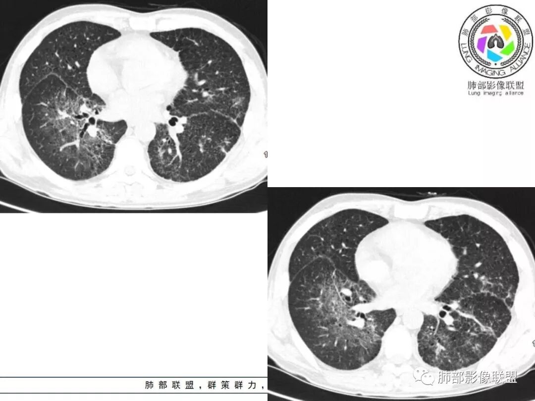
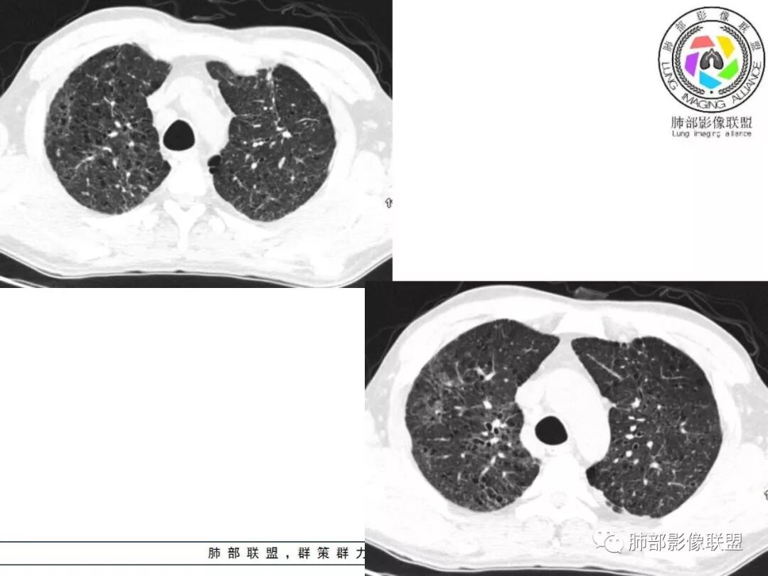
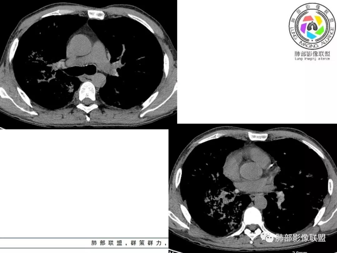
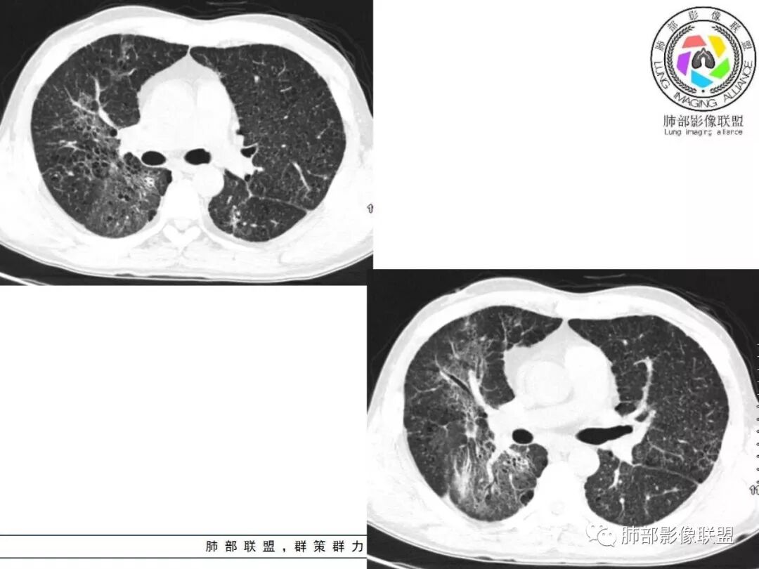
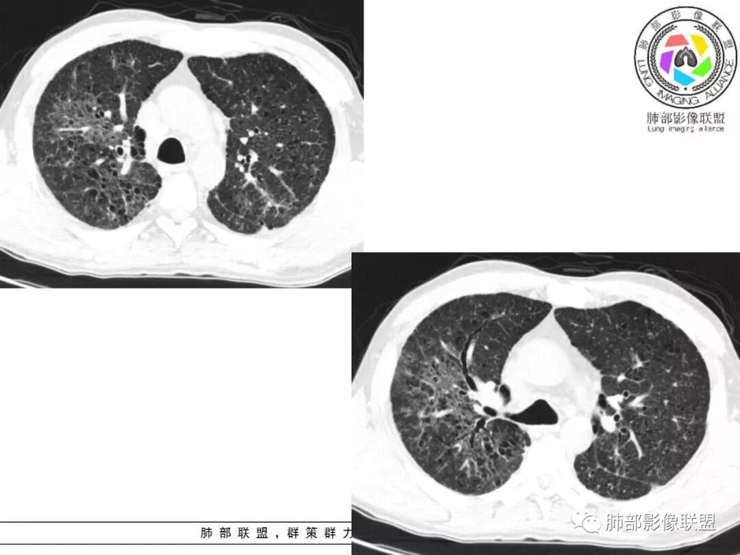
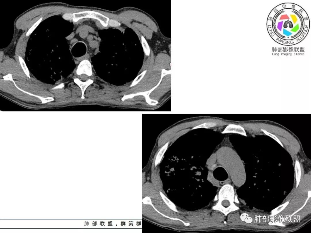
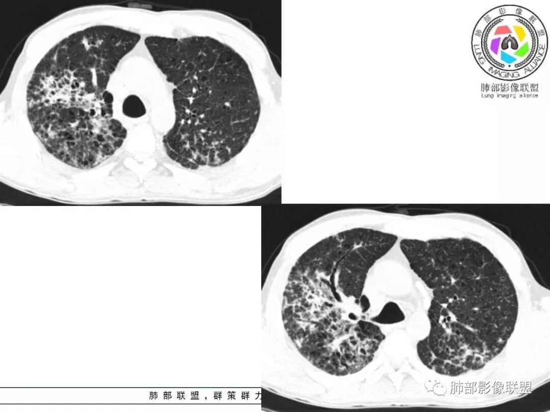
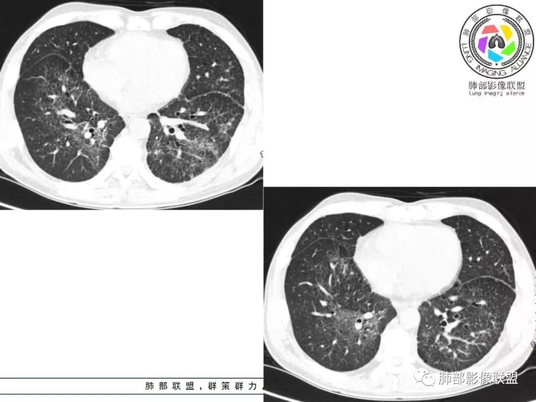
病例资料

























02
微信群讨论

小微:
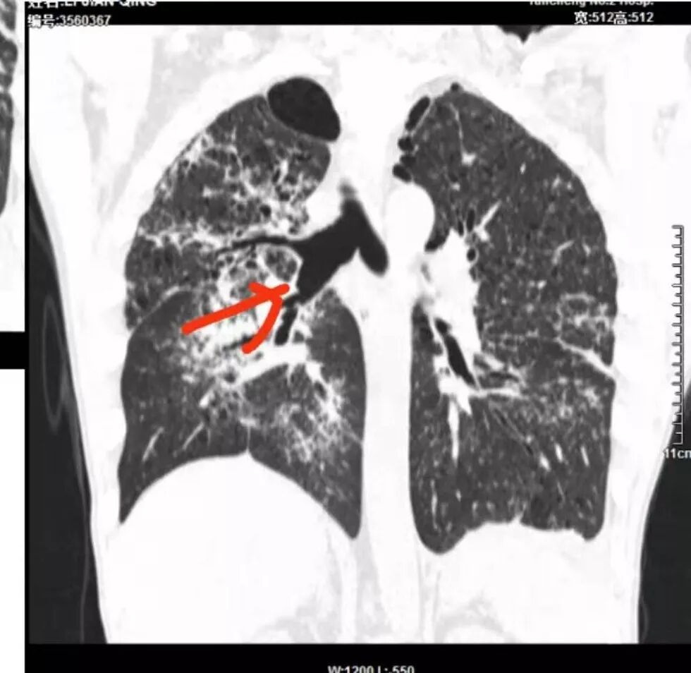
双肺间质性病变,中央间质增厚,胸膜下间质增厚,左侧胸膜肥厚,胸廓变小,肋间隙变窄。
市医院--时建文:
中央间质指的是这吗?

小微:
对,大的支气管血管周围
阿仙奴:
中年男性,发热为主诉,体温38℃-39℃多,峰值40℃,无畏寒寒战,伴黄痰,CRP高,血糖正常,(化验图看不清),市医院就诊经过不详,治疗后体温情况?
胸部CT:两肺弥漫病灶,磨玻璃影,少许实变,部分累及胸膜,磨玻璃区可见囊?少许胸腔积液,两肺可见结节,支气管血管束增粗,小叶间隔增厚,支气管走形有扭曲扩张,可见纤维化。气肿、大泡。考虑:感染性病变,PCP?查下HIV,CD4,G等。鉴别结核、结缔组织病肺浸润。
小监:
病变大部分位于气管血管束周围,少部分位于外周,急性感染指标高,血沉稍高,不太支持TB,考虑感染继发的op?
果哣.:
患者双上肺弥漫性改变,小叶间隔增厚,中央轴为主,胸膜下少量,感染为主,鉴别结核。
空格:
临床看,首先考虑感染性病变,特异性感染可能大,病毒直接pass掉,真菌和结核选一个。基础病变是肺气肿,不能看成蜂窝征。肺门淋巴结有钙化趋势,午后低热。心包胸腔都有少量积液。病变渗出和实变并存。结核
王开金江津中心医院呼吸科:
中年男性,中等病程,发热待诊,体温可高达40度,超敏c升高,pct升高,白细胞不高,血沉不高,双肺多发弥漫性病灶,间质性改变,胸膜增厚,心包积液,考虑感染性疾病,结核?诺卡?鉴别pcp,op。
傅昌瑜:
55多男性,发热为主诉,体温38℃-39℃多,午后及夜间发热为主,峰值40℃,伴黄痰,CRP高,血糖正常,胸部CT:两肺弥漫病灶,磨玻璃影,少许实变,部分累及胸膜,两肺可见结节,似可见树芽,支气管血管束增粗,小叶间隔增厚,见肺气肿、大泡。考虑感染性病娈,肺结核可能性大。
大雄:
老年男性,发热一月,CRP明显增高
两肺肺气肿,弥漫GGO+实变影,局部伴牵拉性支扩,分布无规律。左侧胸膜明显增厚。双肺门淋巴结钙化。
考虑感染性病变,建议查结核,NTM
不除外合并间质性肺炎,需结合风免指标及相关基础病史
水晶石头:
患者中年男性,发热1月,体温38℃-39℃,峰值40℃,无畏寒、寒战,伴黄痰,CRP升高明显,降钙素原稍升高,血沉、血糖正常。胸部CT:两肺弥漫病变,磨玻璃影+点片渗出,部分累及胸膜,磨玻璃区边界清楚,少许胸腔积液,两肺支气管血管束增粗,小叶间隔增厚,部分支气管走形有扭曲扩张,可见肺气肿、右肺尖肺大泡及部分纤维化改变。综合考虑:感染性病变。结核或PCP可能性大,鉴别风湿免疫、结缔组织疾病肺浸润和腺癌等恶性病变。
薏米:
中年男性,亚急性起病,发热,咳嗽,黄痰,具体治疗不详,CRP增高,余感染指标及特异性指标不详,基础疾病不详,胸部CT提示双肺散在索条影,右肺为重,胸膜下及中央间质分布为主,磨玻璃影,牵拉性支扩,实变,有囊,LIP合并感染。
没意见:
中年男性,亚急性病程,发热黄痰,c反应高;CT:分布胸膜下,支气管血管束周围,中上肺为主;磨玻璃、牵拉支扩,气管支气管粗,纵隔窗肺门淋巴结密度高;考虑:1)OP伴感染;2)巨气管支气管症;鉴别其他引起淋巴系统增殖性疾病如TB、NTM、淋巴瘤,当然有钙化,似乎淋巴瘤不太支持,需要进一步完善检查
THINKER:
中年发热月余,CRP上升,先除外CAP,CT胸膜下、支气管血管束分布多发GGO,伴牵拉支扩
诊断:COP
鉴别:间质TB、三期结节病、CEP及其它淋巴道分布疾病
不支持CTD-iLD
王光义:
两肺弥漫性改变,小叶间隔增厚,中央轴为主,胸膜下少量,间质性改变为主,感染?鉴别结核,淋巴瘤
看图说话:
两肺弥漫性间质分布为主磨玻璃实变影,小叶间隔增厚,伴牵拉性支气管扩张,考虑双肺间质性病变,不除外NTM。
Lotus:
肺本底比较紊乱,是本次病程所致还是原有基础疾病,影响判断。病程较短首先考虑感染后op,鉴别结节病,pcp
玫:
男,55发热一个月,双肺内及胸膜下多发磨玻璃影及实变影,左侧胸膜增厚,考虑间质性病变,除外淋巴瘤。
流心明智:
中年男性,发热为主诉,体温38℃-39℃多,峰值40℃,无畏寒寒战,伴黄痰,CRP高,血糖正常。
胸部CT:两肺弥漫病灶,中央间质分布为主,部分位于胸膜及叶间裂旁,磨玻璃影,斑片影,部分实性结节,肺气囊,支气管血管束增粗,小叶间隔增厚,叶间裂不均匀增厚,支气管走形有扭曲扩张,可见纤维化、气肿、大泡。考虑:LIP加MALT。鉴别PLCH、PCP、结核、结缔组织病肺浸润。
丽:
双肺弥漫性病变,多发磨玻璃密度及小叶间隔增厚,大部分沿支气管血管束分布,伴支气管轻度扩张,以午后及晚上发热为主,考虑感染性病变,间质性结核可能大,另双肺多发肺气囊,LIP待排
小赵:
中老年男性,双肺弥漫性病变,呈网状、斑片及大片状,实变影及磨玻璃影相间,部分病灶区支气管扩张,并见多发小囊状或蜂窝状透亮影,中央间质增厚,气管前单发小淋巴结。考虑淋巴细胞增生性病变?粘膜相关性淋巴瘤(MALT)或淋巴细胞间质性肺炎(LIP)?鉴别机化性肺炎(OP)及结核(TB)。
王秀仙:
基础病肺气肿,双肺内及胸膜下多发磨玻璃影及实变影,左侧胸膜增厚,考虑间质性病变,间质性结核不除外。鉴别OP。
张钦哲:
中年男性,发热为主诉,中低热,午后为主,hsCRP高,白细胞不高,胸部CT:两肺弥漫病灶,间质受累,以上和背为主,支气管有扩张有狭窄,对称性斑片、斑点,有播散灶,考虑特殊感染性疾病:结核。鉴别诊断淋巴瘤、OP。建议完善病学学及tspot,tblb。
德芙~云味:
两肺弥漫病灶,斑片,结节ggo,纤维条索,形态多,分布广,树芽不明显,间质分布为主,小叶间隔增厚,支气管扩张,胸膜增厚,心包积液,结合临床症状以及实验室结果,考虑感染性病变,首先考虑结核可能,鉴别ntm、间质性病变。
刘丹:
双肺病灶,以间质性病灶为主,支气管壁增厚,可见树芽征改变,考虑感染性病变,间质性结核可能。
阿飞:
两肺弥漫病灶,中央间质分布为主,部分位于胸膜及叶间裂旁,磨玻璃影,斑片影,部分实性结节,肺气囊,支气管血管束增粗,小叶间隔增厚,叶间裂不均匀增厚。考虑:间质性肺病,LIP,鉴别OP
Shelia??:
双肺肺气肿背景,双肺弥漫分布磨玻璃及实变密度,病灶沿血管支气管束及胸膜下分布为主,部分病灶以平直收缩为主,局部支气管稍扩张,管壁增厚,小叶间隔增厚,结合临床病史,考虑炎性病灶,感染伴病灶机化?结核?NTM?
那个人:
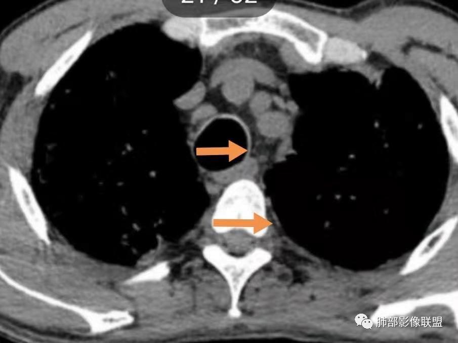
病灶双肺弥漫,间质为主 ,淋巴道分布优势?有结节感,右肺大片病灶实变有收缩感,胸腔积液,纵隔淋巴结有钙化。临床发热,未提气促,炎性指标c反应升高。考虑转移癌?结核?病毒后机化性肺炎?
滴水海:
乍一看像肺炎大部分吸收后的表现,出现了一些纤维化,类似机化性肺炎,细看以间质为主,故结节病,op,血管炎需考虑,不典型的结核,NTM也可能。看上去以淋巴道分布为主,结节病放前
淘时光:
中老年男性,发热、病程一月余,炎性指标高,双肺沿支气管血管束、胸膜下分布的实变影,内见细支气管扩张,首先考虑OP,鉴别PCP
张延军:
双肺多发磨玻璃及纤维条索影,密度不均,呈蜂窝状改变,内见牵拉扩张的支气管影,后者壁增厚,病变边界局部清晰,膨隆,结合慢性感染病史首先考虑间质性感染(OP?),局部病灶边缘有清晰的磨玻璃影,腺癌不除外
Zhuweichao:
两肺弥漫病灶,间质性改变,少许实变,肺气肿,肺大泡,部分累及胸膜,考虑感染性病娈,间质性肺炎。
采莲:
中年男性,反复发热月余,crp很高,无糖尿病史。双肺上中肺野多发斑片磨玻璃影,沿支气管血管束分布,小支气管壁增粗,扩张,有树芽征,考虑肺结核,结节病待排。
Sugar阿Q:
考虑慢支并感染,肺气肿,肺大疱,左侧胸膜炎,结核,op待排,建议积极抗感染后复查
生来征服~浪子:
双肺多发斑片,小结节影,支气管血管周围分布为主,部分胸膜下分布,中央间质增厚,部分支气管牵拉扩张。考虑淋巴增殖性病变,lip?结节病?
毛勤香:
两肺弥漫性病变,沿支气管血管束分布,部分细支气管轻度扩张,两上中肺为主,部分累及胸膜下,部分磨玻璃影,部分纤维化,肺气肿肺大疱背景,胸膜增厚,少量积液,病程一月余,crp高反复发热,两肺门区增大钙化淋巴结,间质性疾病,考虑淋巴增殖性病变为主,结核可能性大,待鉴别NTM,结节病,LIP,PCP纤维化
蔣勝華:
中年男性,发热1月,影像:支气管血管束分布,实变,磨玻璃,肺气肿,支扩,部分累及胸膜,考虑感染继发op?
慎独:
两肺弥漫性病变,沿支气管血管束分布,部分细支气管轻度扩张,两上中肺为主,部分累及胸膜下,部分磨玻璃影,部分纤维化,肺气肿肺大疱背景,胸膜增厚,少量积液,考虑结核可能性大,鉴别op、LIP,PCP纤维化
HP:
中老年男性,发热1月余,双肺弥漫性病变,多发网格、结节、斑片状实变影及磨玻璃影,胸膜下及中轴间质都受累,支气管血管束增粗、变形,支气管扩张,叶间裂及小叶间隔增厚,整体间质性改变明显,考虑结核?OP、LIP?进一步除外PCP、肿瘤、结节病等。
良孑:
两肺弥漫性斑片样磨玻璃影,以两肺下叶、右肺上叶较明显,并牵拉性支气管扩张,小叶间隔增厚呈蜂窝状,病变以间质改变为主,支气管血管束增粗,有支扩有蜂窝,有午后发热,血糖不高,影像提示为慢性进程,首先考虑为慢性炎性病变,结合影像改变,考虑cop或NTM
幸福一半多多:
中老年男性,发热时间长,有高热,血沉不快,双肺弥漫性病变,多发网格、结节、斑片状实变影及磨玻璃影,胸膜下、中轴间质及小叶间隔增厚,支气管血管束增粗、变形,牵拉性支气管扩张,叶间裂及小叶间隔增厚,第一考虑弥漫性间质病变,炎症?结核?结节病?综合考虑,结核排前面,多形态,病程长,间质增厚明显,较一般感染硬结感强。不确定的地方在,病灶范围广,间质累及严重,而且病人高热。其次考虑感染,或特殊菌感染。结节病不除外。
空格:
从内科的角度一点不意外,而且病史采集很到位,午后低热,同时出现心包和胸腔积液,常见病中,最可能是结核和转移。前面说过,其他一些征象也支持结核。
弥漫性间质疾病,还伴心包,胸腔积液的,肺水肿也有可能,但临床不符,没有胸闷气急。
丁啸:
间质增厚,纤维化,牵拉性支扩,伴ggo,两肺多发小结节,叶间裂也可见结节,中心分布为主。考虑:结节病?鉴别pcp,结核。
elegant  baby:
两肺弥漫病变,网格状改变,部分累及胸膜,两肺支气管血管束增粗,小叶间隔增厚,部分支气管走形有扭曲扩张。考虑pcp,鉴别结核
宇宙星空:
多发蜂窝+GGO+支气管扩张+胸膜增厚,考虑慢性炎性病变
doctor:
这个病例气管横径=同侧脊柱横径,需考虑气管支气管巨大症?



03
答案揭晓








04
间质性肺结核
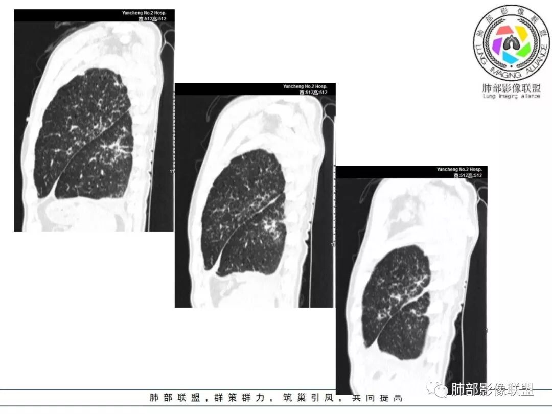
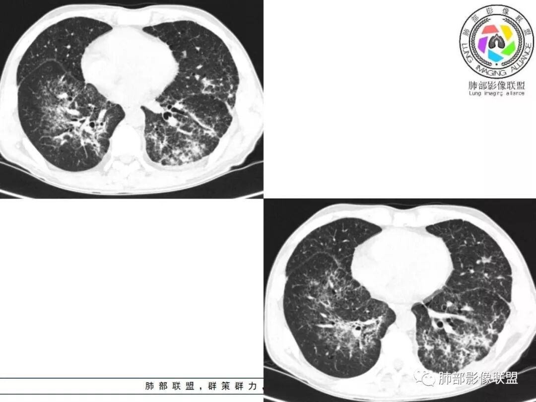
  间质性肺结核是结核的一种特殊影像学表现,为继发性肺结核,影像学表现与常见的继发性肺结核有所不同,有一定的特征性:
病灶呈片状磨玻璃密度影,呈典型的烟花征。磨玻璃影密度偏高,有网结节样改变,与正常肺实质分界清楚,且常见相对高密度的勾画。
烟花征分为3肿类型:晕征、反晕征及均匀分布。
病变一般沿血管支气管束分布或小叶分布,一般上肺多于下肺(这与常见继发性肺结核分布相若)。
常会伴有其他继发性肺结核病灶,如斑片影、结节影,树芽征,新旧不等改变。
临床中毒症状常较轻,病变相对稳定,增强扫描常无异常强化。
                     
                                病例小结
1.  老年男性,发热为主诉,体温38°-39°,发热以午后及晚上为主,伴黄痰,CRP增高,临床病史支持感染性病变; 
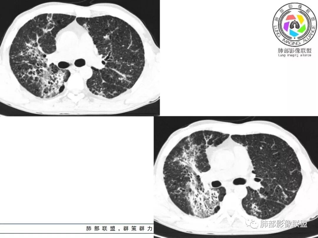
2. 肺气肿背景(小叶中心性肺气肿);双肺多发病灶整体沿血管支气管束及胸膜下分布,以上叶及下叶背段分布为主,有实变及GGO,边界清楚,有树芽,小叶间隔及中央间质增厚,叶间裂见到多发结节,部分支气管不规则牵拉扩张,提示病灶纤维化明显,结合临床病史,考虑病灶为间质性感染,肺门及纵隔内有钙化淋巴结,小叶间隔结节,考虑淋巴道增值性疾病可能,综合常规要怀疑间质性肺结核。
3.  该病例临床提示感染,有支气管扩张,提示纤维化,需要与感染后的OP鉴别,但是OP病灶常无结节感;间质性肺结核有时与不典型结节病鉴别也比较困难,结节病常以双肺门淋巴结增大为特征。临床上结核发病率较高。   

拓展阅读
【广西群读片系列】第11期 不一样的结核
 烟花璀璨的那一刻,你想到谁——间质性肺结核
千变万化的肺结核总有端倪可寻
编辑:张玉
审核:蔡笑燕  
病例提供:王崇军  山西省运城市第二医院放射科

到顶部