【每日晨读】冰冻肺门之---小细胞肺癌



冰冻肺门(小细胞肺癌)



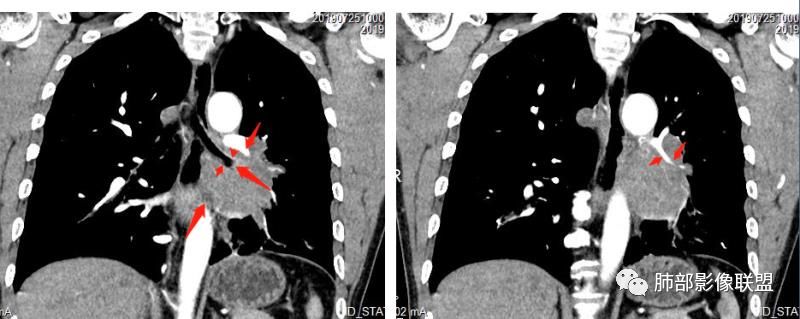
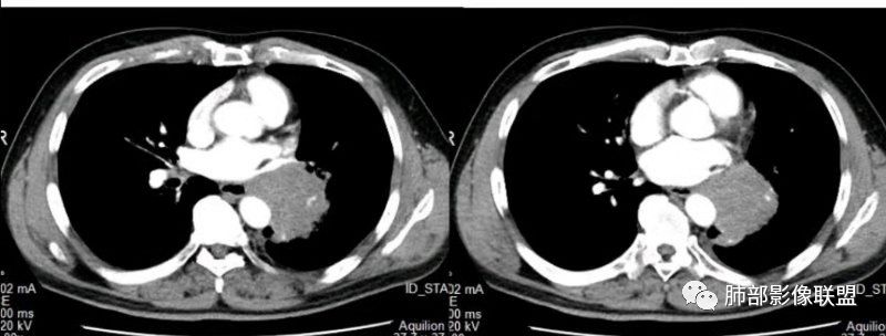
01 病例资料









































02 精彩讨伦
王开金江津中心医院呼吸科
40岁以上男性,以咳嗽,咳痰,痰血为主要表现,胸部ct左肺肿块,毛刺,分叶,不均匀强化,血管破坏力差,外压加侵入气管,考虑恶性肿瘤,小大于麟。
大雄
中年男性,发现左肺门占位10月余,咳嗽咳痰伴咯血,左下叶背段支气管堵塞,整体不均匀轻度强化,血管漂浮。NSE稍高。恶性,SCLC可能,建议支气管镜
凝睦:
左肺门肿块,体积大,密度均匀,包绕血管支气管,考虑小细胞癌。
看图说话
左肺门肿块,气管阻塞,包绕气管血管,不均匀强化,恶性,考虑小细胞癌
张秀兰
中年男性,咳嗽,咳痰,咯血,左下肺门肿块,毛刺,分叶,不均匀低强化,气管受压闭塞远端显示不清,NSE明显升高考虑恶性,小细胞癌?
孙冰伟
50岁男性,咳嗽,咳痰,痰血,胸部CT左侧肺门肿块,毛刺,分叶,不均匀强化,左下叶背段支气管堵塞,左肺上叶胸膜下多发磨玻璃密度影及结节影。考虑恶性肿瘤,小>鳞,建议支气管镜检查。
崇军
男性,50岁,以咳嗽,咳痰,痰血为主要表现,胸部ct左肺门肿块,毛刺,分叶,不均匀强化,其内未见明显坏死,血管在其内走形正常,但受侵犯,支气管阻塞但无明显阻塞性肺不张。两肺弥漫小结节影,说明为呼吸性细支气管炎,即患者有吸烟史,但对鳞癌与SCLC无鉴别意义。结合化验还是SCLC首先考虑,鳞癌次之。
甄德强
晨读病例考虑小细胞癌,肺门肿块,未见明显肺不张及阻塞肺炎,肿块内血管走行自如,肿瘤标志物,烯醇化酶增高。
醒梦如一
左肺下叶肺门处肿块,支气管变窄(有阻塞?)和纵隔淋巴结有融合?冰冻纵隔感觉欠点,血管受侵犯,强化,血管造影征;临床:痰血,胸痛,活动后气喘;考虑:恶性,小/鳞
晕晕菜
患者中年男性,以咳嗽  咳痰  痰中带血就诊,胸CT:左下肺占位性病变,呈膨胀性生长,左下肺支气管阻塞,病灶边缘呈浅分叶,增强可见病灶强化,左肺下叶肺动脉明显受侵,血管狭窄闭塞,考虑恶性可能,小?腺?
水晶石头
患者中年男性,咳嗽、咳痰、痰中带血10月余,再发加重1月余。左胸部疼痛。胸部CT:左肺下叶后基底段结节灶并左肺门不规则肿块,内可见血管造影征,走形自然,左肺下叶背段支气管堵塞,左肺下叶可见部分小叶间隔增厚及小结节灶。符合娘小崽大,结合NSE升高,综合考虑小细胞肺癌,鉴别淋巴瘤。
^_^果
中年男性,发现左肺门占位10月余,咳嗽咳痰,痰中带血10月余。NSE稍高。CT示左肺门肿块,左肺下叶支气管阻塞,左肺动脉包绕狭窄。考虑恶性,小细胞可能,建议支气管镜。
薏米
中年,慢性病程,咳咳痰带血,无发热。胸部CT:左肺近肺门可见一团块样密度增高影,边界清,有分叶,临近支气管狭窄,增强可见血管影,坏死不明显,恶性,倾向于腺癌,鉴别小细胞,行气管镜检查
红日东升
中年男性,咳嗽咳痰咯血。左下肺门旁肿块,左下叶支气管堵塞,轻中度强化,坏死不著,可见血管显影,阻塞性炎症不著,NSE升高。考虑恶性,小细胞癌可能,建议支气管镜。
男,50岁,咳嗽,咳痰带血,左侧肺门见肿块影,形态不规则,左肺下叶支气管堵塞,增强扫描病灶轻度强化,病灶内未见明显坏死,考虑小细胞癌,不除外腺癌。
岁月
病史:男,50岁,咳痰血,左肺门占位,左下肺阻塞性肺炎,右下叶炎症;对症,无明显好转,痰血,胸闷喘,左胸痛。
肿块,坏死不明显,质地较均匀,其内可见点状血管影,支气管明显阻塞,似乎冠状位下面病灶蔓延?牵拉力不足。角蛋白、SCC不高,NSE36.67HU;土豆,有指状。
思维过程:似乎均指向小细胞肺癌,我会查pro-GRP;临床处置简单,支气管镜检;可疑处,大病灶,转移小;少量胸腔积液,会考虑什么呢?复查NSE,看是否溶血引起?严格标本采集。
诊断:恶性,小细胞?鳞癌?
看病史,病人是放弃治疗,积极关于,估计预后不太好,低分化?
欣:
左肺门肿块,包裹血管,左上肺主支气管堵塞,增强有强化,血管侵袭,左下肺动脉侵袭,中央型肺癌,考虑小细胞肺癌
良孑:
左肺门肿块,冰冻肺门,肿块沿支气管壁向外生长,低强化,血管漂浮征,师门肿块明显但阻塞征象轻,考虑小细胞癌,鉴别鳞
可芸:
中年男性,以咳嗽  咳痰  痰中带血就诊;
胸CT:左下肺占位性病变,呈膨胀性生长,左下肺支气管阻塞,病灶边缘呈浅分叶;增强可见病灶强化,可见血管漂浮征,考虑小细胞
徐婕:
左肺门肿块,分叶,气管阻塞,冰冻肺门,强化,考虑恶性,小,鉴别鳞。
傅昌瑜:
中年男性,病史10个月,咳嗽、咳痰,有血痰,1月来经抗炎等治疗无效,并出现气喘、左胸痛。CT见左肺门肿块影,边缘清,见分叶,支持恶性肿瘤。病灶堵塞左下叶支气管,但左下肺无阻塞性肺不张,阻塞性炎症不明显,提示病变沿支气管粘膜下蔓延生长为主;增强见左下肺动脉被病变包绕,血管破坏不明显,左肺下静脉被推移,提示其破坏力不强;病灶外缘间条片状影;NSE升高。考虑小细胞肺癌。可支气管镜检查明确。
欧阳英:
50岁男性,左肺门肿块沿支气管生长,左肺上叶支气管狭窄,下叶支气管闭塞,左肺动脉近段分支包绕、受压变形,增强后不均匀强化,边缘深分叶,蟹足样生长,考虑恶性肿瘤,以小细胞肺癌可能
弹指之间:
中年男性,咳嗽,咳痰,痰血,胸部CT左侧肺门肿块,毛刺,分叶,不均匀强化,左下叶背段支气管堵塞,血管包绕,左肺上叶胸膜下多发磨玻璃密度影及结节影,NSE升高。考虑恶性肿瘤,小>鳞,建议支气管镜检查。
王秀仙:
左下叶肿块,下叶背段支气管堵塞,病灶整体均匀轻度强化,血管漂浮。NSE稍高。中年男性,发现左肺门占位10月余,咳嗽咳痰伴咯血。考虑恶性,SCLC可能。鉴别腺癌。
Shelia??:
中年男性,左下肺门区肿块,支气管堵塞,不均匀轻度强化,血管漂浮,周围血管呈受压推移改变,未见阻塞性肺不张及炎症,NSE稍高,考虑恶性,SCLC可能,建议支气管镜。
小赵:
中年男性,左肺下叶团块,边界尚清,分叶明显,左肺下叶支气管阻塞,远端阻塞性肺炎不显著,增强扫描肿块明显强化,尚均匀,坏死不明显,内见部分强化血管影,包绕肺动脉并侵蚀破坏,局部伸入左主支气管与主动脉间隙,左侧肾上腺区似见肿块,NSE略高,左侧胸腔积液。综合考虑左肺下叶占位,考虑恶性,小细胞肺癌肺癌可能性大,鉴别腺癌,类癌及淋巴瘤。建议支气管镜检查或穿刺活检。
风之子:
中年男性,左肺门肿块,支气管堵塞,但阻塞性肺炎不显著,增强扫描肿块均匀强化,坏死不明显,内见部分强化血管影,包绕肺动脉并破坏,恶性没问题,小细胞肺癌可能性大,建议穿刺活检。
飞鹰行动:
老年人,左肺门占位,左肺下叶支气管壁阻塞,病灶边缘光滑,可见尾征,增强病灶可见中度以上强化,内见穿行血管,血管壁不光滑,纵隔未见明显增大淋巴结,小细胞肺癌转移,娘小崽大等表现均不符合,鳞癌阻塞性炎症和增强内部坏死也不符合,考虑类癌,大细胞肺癌待排除。
一米阳光:
中年男性,左肺门肿块,支气管堵塞,血管漂浮征,血管受压侵犯,增强肿块均匀强化,坏死不明显。NSE增高。总体恶性,小细胞肺癌可能,不支持点纵隔淋巴结增大不明显。鉴别,鳞癌,血管破坏,咳血。不支持点,坏死不明显。鉴别,低分化腺癌,周围侵袭性强,坏死较少。建议穿刺活检。
心灵鸡汤:
老年男性,咳嗽咯血就诊,左肺下叶近肺门可见团块影,左下叶支气管截断,增强目测动脉期强化,可见血管受压变窄、包埋,未见明显破坏,常规考虑恶性肺内肿瘤,鳞/腺癌可能,小细胞癌待排,建议支气管镜检查或穿刺活检。
一切∮随缘:
左肺降主动脉旁不规则肿块,边缘彭隆生长,有分叶,边缘光滑,病灶上部似包绕气管生长,平扫密度均匀,增强后,强化较均匀,内部包绕血管,远端可见索条,老年男性,有咯血,综合考虑恶性:小细胞肺癌,鳞癌,腺癌
采莲:
中年男性,咳嗽痰中带血10个月,左肺下叶靠近肺门巨大肿块,有分叶,支气管受压截断,左肺动脉及肺静脉均受侵破坏,肺门同侧淋巴结肿大,病灶中度不均质强化,同侧少量胸腔积液。考虑恶性肿瘤,小细胞或腺癌可能性大。
wonderful:
我觉得小的影像上的一个特点 :支气管看起来明明堵塞了,确没有肺不张。特别重要
丽:
老年男性,慢性病程,左肺门团块影,伴支气管截断,增强后均匀强化,内血管走形如常,伴同侧肺门淋巴结肿大,考虑恶性,支持小细胞肺癌
尘缘:
左肺门肿块,部分和淋巴结融合,后纵隔有融合淋巴结,肿瘤从外向内生长,逐渐堵塞支气管,增强后无明显坏死,远端阻塞性炎症不明显,血管走行其中,挤压征明显,无明显破坏,NSE增高,这个都不是小细胞的话,就太没有天理了。
尘缘:

尘缘:

尘缘:

尘缘:

甄德强:
小细胞支气管镜是不是检不到呀,那个老师知道
尘缘:
@甄德强 庆安县人民医院 影像科 应该要咬出去才好找到肿瘤细胞吧。
风之子:
不突破黏膜不一定能检到
蔡磊:
@甄德强 庆安县人民医院 影像科?镜子如果找不到腺癌和鳞癌,那就基本肯定是小了吧。
wonderful:
小细胞镜子下有时就是外压 粘膜稍微不光滑 基本取不到 所以就要做TBNA了,那种把支气管外压后侵犯到管腔,长堵死的 就能取到了
小赵:
@罗冬楚-湘乡市第二人民医院放射科?我觉得还有一个层面支持小细胞;
罗老师您看看这个层面,有没有说明病灶比较软?


病理结果


回顾性分析病例
1.左下肺门区巨大肿块,支气管显示不清,轻度阻塞性炎症,没有明显肺不张,提示管腔受压狭窄可能性大于堵塞,这较少见于鳞癌。
2.病灶边缘光滑,未见明显分叶、毛刺,未见明显强化,这符合腺癌影像学特点,却符合神经内分泌癌表现。
3.病灶内密度均匀,轻到中度均匀强化,大病灶未见明显液化坏死区及空洞,不符合鳞癌而符合小细胞肺癌特点。
4.病灶内有肺动脉走形,血管局部受压,未见破坏,病灶乏血供,呈血管包埋或血管造影征;侵袭性力强及破坏力弱、血管漂浮都符合SCLC,所以鳞癌的可能性也不大。
5.左肺门块影或淋巴结肿大,竭力挤兑肺门血管结构,呈冰冻肺门;有时候SCLC可以单独呈现冰冻肺门,而没有没有冰冻纵隔。
6.临床NSE增高,对提示神经内分泌肿瘤有一定意义。
7.须特别注意的是,肺门区的融合块影,不排除它可能仅仅为转移淋巴结。

那NSE到底是什么呢?
NSE全称神经元特异性烯醇化酶;血清NSE是神经元和神经内分泌细胞所特有的一种酸性蛋白酶,神经内分泌肿瘤的特异性标志,如神经母细胞瘤、甲状腺髓质癌和小细胞肺癌。NSE可作为检测小细胞肺癌首选标志物,60-81%小细胞肺癌病例NSE浓度升高。尽管NSE浓度与转移部位或脑部转移没有相关性,但是与临床分期如疾病进展有很好的相关性。
正常值:正常人血清NSE水平<12.5 U/mL。
小细胞肺癌患者NSE水平明显高于肺腺癌、肺鳞癌、大细胞肺癌等非小细胞肺癌(NSCLC),可用于鉴别诊断,监测小细胞肺癌放疗,化疗后的治疗效果,治疗有效时NSE浓度逐渐降低至正常水平,复发时血清NSE升高。用神经元特异性烯醇化酶监测小细胞肺癌的复发,比临床确定复发要早4~12周。

End
编辑:靳文剑
审核:蔡笑燕  徐  晓
病例提供:邢台医专第二附属医院 崔刚


到顶部