【每日晨读】跨叶肺脓肿,另有玄机?


跨越叶间裂的肺脓肿

Autumn story




农谚说:“一场秋雨一场寒”,“白露秋分夜,一夜冷一夜”。“八月雁门开,雁儿脚下带霜来”,东北地区降温早的年分,秋分见霜已不足为奇。




































微信讨论:

青衫赋雪: 
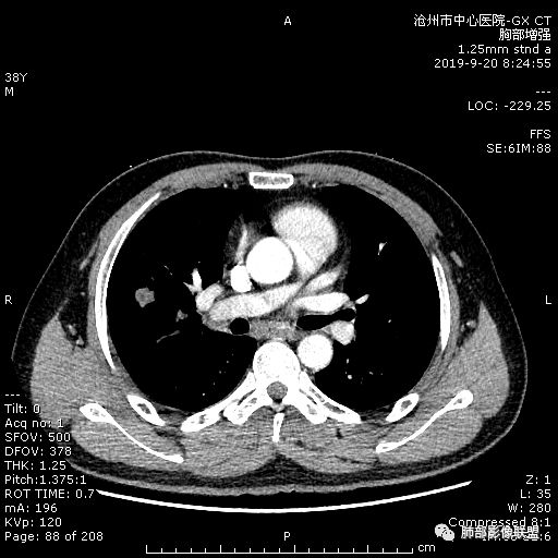
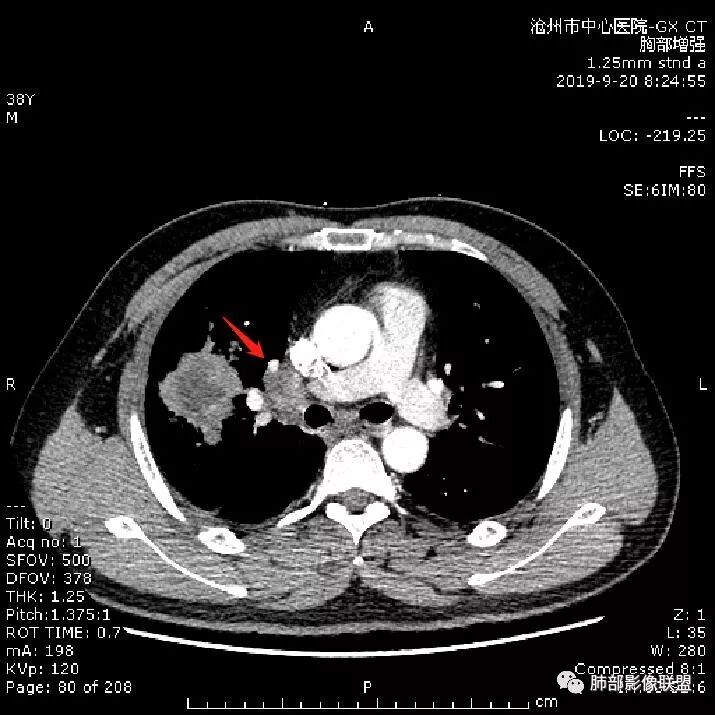
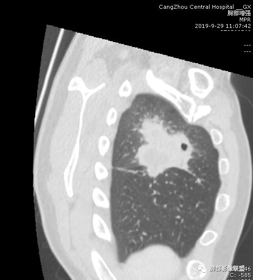
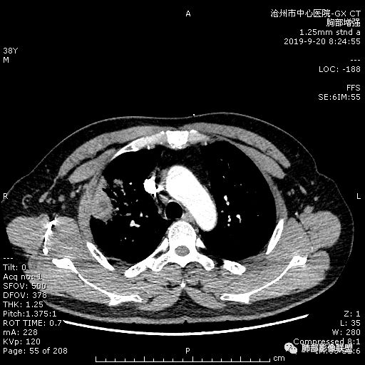
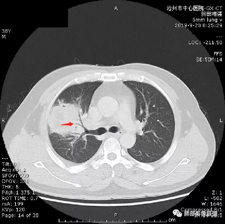
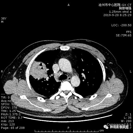
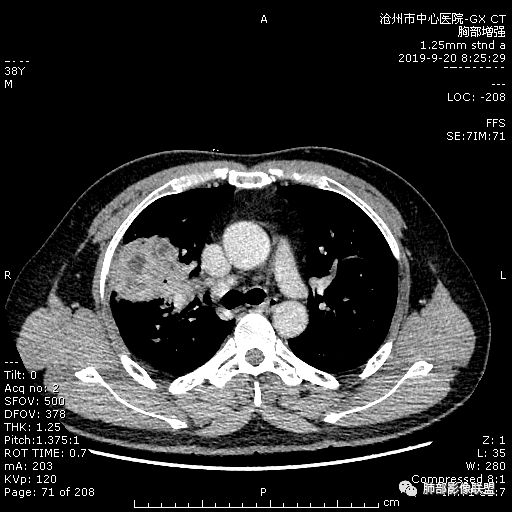
青年男性,肿瘤指标无异,右上中肺团片影,形态不规,跨叶生长,
病灶内见坏死,增强边缘强化,考虑炎性肉芽肿,TB,鉴别鳞。
葛良卫(随遇而安):
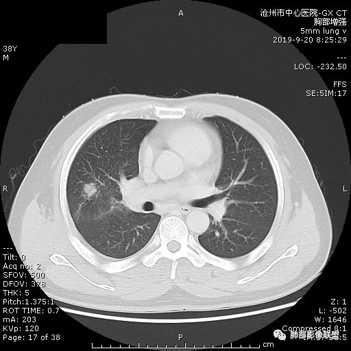
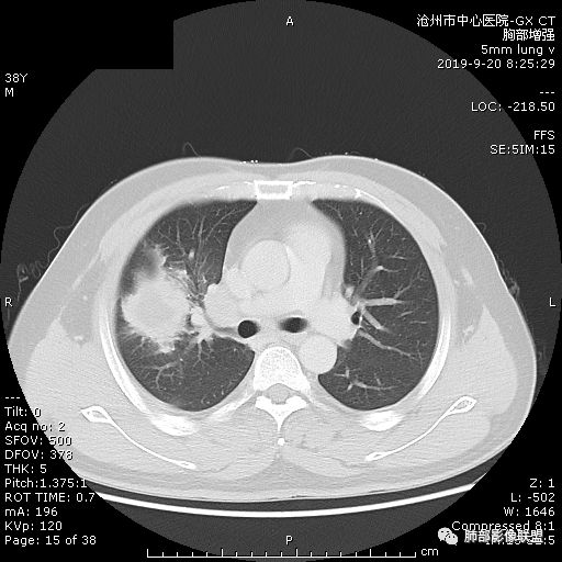
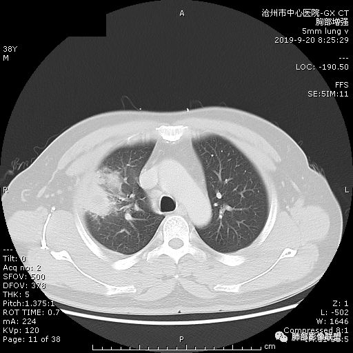
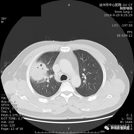
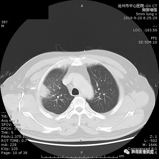
年轻男性,咳嗽2月,痰中带血,胸痛,炎症指标稍高,肿标正常。影像,右肺上叶不规则团块影,浅分叶,伴边界不清磨玻璃影,从外周向内分布,局部胸膜增厚,病灶中央坏死,坏死边界尚清,空洞形成,空洞内壁光滑;考虑炎性肉芽肿性病变,结核可能,鉴别恶性肿瘤及真菌感染。病灶分布特点不考虑隐球。
老衲:
形态上考虑癌,尽管很多层面表现出炎性肉芽肿病变的特征
金豆: 
右肺上叶不规则病灶,密度不均,有分叶,边缘不清,中央有坏死,坏死壁尚光滑,增强壁有强化,病灶有外朝内,整体收缩为主,慢性病程,考虑炎性病变,肺脓肿或者结核,淋巴结肿大,支气管截断,胸膜脂肪间隙变窄,加个鉴别恶性肿瘤。
老衲: 
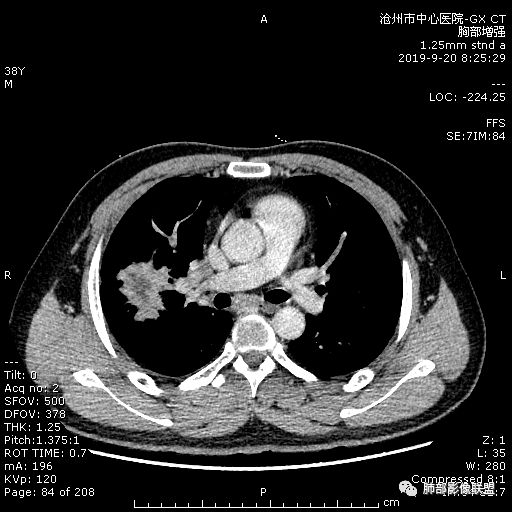
近端支气管截断,非坏死区的强化特征,肺门区肿大淋巴结,所谓的“月牙铲”,这些强烈提示病变是癌;胸膜、相邻肋间肌的改变,提示是炎性改变;在癌与炎性肉芽肿之间,哪个占主导地位?是解决问题的关键;坏死区的形态,也支持炎性病变。
一米阳光: 
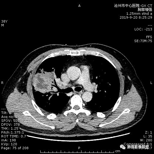
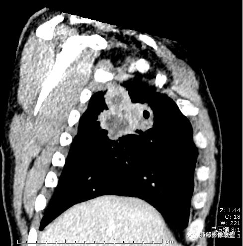
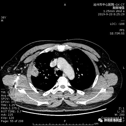
右肺上叶分叶状肿块(冠状位尤为明显),内见液化坏死,支气管截断,收缩力强,周围有片状影,右侧腋窝及纵隔淋巴结增大,增强有强化,定性恶性病变,脓肿形态及临床症状不符,暂排除。
小监: 
右上肺占位,总体膨胀性生长,支气管截断,坏死明显,常规考虑鳞。
傅昌瑜: 
38岁,男性,慢性咳嗽2月,右胸痛8天,无发热;白细胞高,肿瘤标志物不高;右上肺不规则块状影,周围有磨玻璃影,边界清,整体有膨胀感,分叶,与胸膜糊墙,并见栽赃,增强肿块中央坏死,周边强化。综合考虑,考虑恶性,鳞癌可能。
优彤: 
右肺上叶不规则团块影,边缘欠清晰,增强扫描坏死区边界清晰,水平裂牵拉上移,考虑机化性肺炎并脓肿,鉴别:结核、肺癌。
风之子: 
38岁,男性,慢性咳嗽2月,右胸痛8天,无发热。白细胞高,肿瘤标志物不高。右上肺不规则块状影,周围有磨玻璃影,边界模糊,整体有膨胀感,分叶,与胸膜糊墙,可疑栽赃,增强肿块中央坏死,边界清,周边强化明显,强化区有低密度影,壁不规则,跨叶生长,支气管截断,伴支气管扩张,综合考虑腺癌
大雄: 
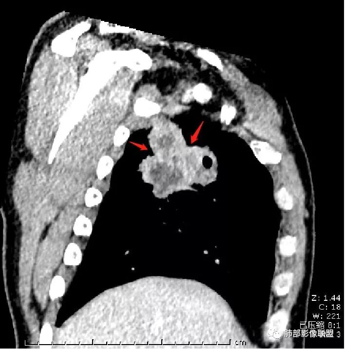
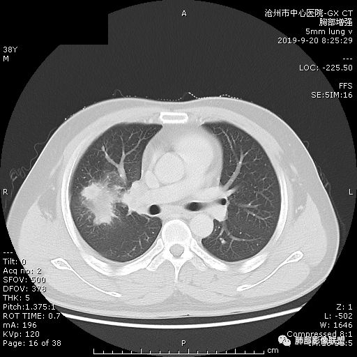
中年男性,咳嗽2月,伴胸痛8天,少许痰血,无发热中性粒明显增高,低氧,肿标不高,右肺上叶不规则实性肿块,深分叶,局部凹陷呈月牙铲改变,多坏死,多空泡,前段支气管分支似见堵塞,2R、4R、10R和7区淋巴结肿大。考虑肺癌可能,建议支气管镜活检
仲夏: 
晨读病例,右肺上叶胸壁处占位,边缘分叶毛刺,收缩力强,多发坏死,远端支气管截断,不均匀性强化,血管穿行变窄,纵隔多发淋巴结肿大,考虑恶性肿瘤,首先考虑腺癌
没意见: 
膨隆、深分叶,支气管截断,叶裂推移,淋巴结肿大,均提示恶性可能;但毕竟年轻,血象高,内部坏死边界清晰,局部收缩感,提示感染可能,另外内部数个小空洞改变,是扩张支气管吗?需要连续层面看,如果是,就更支持感染。
空城: 
右肺上叶不规则实性肿块,有膨胀有收缩,多坏死,空泡,右肺门淋巴结肿大,考虑肺癌,就是才38岁,太年轻了
日月@中心: 
晨读:青年男性,咳嗽痰中带血,亚急性起病,白细胞高,超敏高,CT示右肺上叶分叶肿块,内部坏死,病灶周围小结节,近端支气管通过,纵隔淋巴结肿大,综合考虑肉芽肿型结核较鳞癌可能大
王海瑛: 
晨读:右肺上叶不规则团块,深分叶,膨胀为主,有部分收缩,叶间裂牵拉上移,内多液化坏死,有支气管扩张,右肺上叶大支气管近端通畅,远端堵塞,说明肿块来源于外周,纵隔及右肺门淋巴结肿大,胸膜糊墙为主,年轻人,肿标不高,炎性指标高,综合考虑炎性肉芽肿放前面脓肿,结核,肿瘤放后面。
良孑: 晨读病例,右上肺不规则实变,边界模糊,内可见多发坏死灶,腔内坏死壁厚薄不均,有支气管截断,强化时病灶内血管受累,右肺门淋巴结肿大,从影像上看恶性鳞癌征象较多,但病变明显强化,且坏死壁是均匀强化,炎性标志物高,患者年龄较轻,病史较长,病灶内多个坏死液化灶且内缘光整,综和判断,首先考虑亚急性肺脓肿,其次考虑鳞癌
doctor: 
病灶垮叶,强化明显,病灶内见坏死、空泡,周围模糊,考虑放线菌病?鉴别鳞癌
云中月影: 
青年男性,右肺上叶肿块,分叶,明显膨隆,内见空洞与支气管相通,增强环形强化,中心液化坏死。实验室鳞癌指标不高。考虑:1,结核,2,肺脓肿。鉴别鳞癌。
采莲: 
中年男性,咳嗽2月病史伴胸疼。白细胞及中性粒细胞高。右上肺团块影,边缘平直内收,与胸膜宽基底相连,胸膜肥厚,肿块内多灶性坏死,有空泡征,支气管进入,走行自然,近端有阻塞,考虑感染性疾病,肺脓肿。但是有深分叶,鳞癌合并感染也不排除。
elegant baby: 
右肺上叶不规则病灶,密度不均,有分叶,边缘不清,中央有坏死,坏死壁尚光滑,增强壁有强化,考虑肺脓肿或者结核,但是淋巴结肿大,支气管截断,不除外肿瘤。

南边老师分析
南边:                            
说说炎性的依据?恶性的依据?就是要从发报告的角度出发,具体结果是一回事,我们的报告该如何发?
临床知识先分析一下,看看有啥提示;然后看看良恶性的鉴别点。
Coke with ice:            
炎性:延迟强化,病变内气体,糊墙,胸膜增厚;恶性:分叶、收缩;我考虑机化性肺炎并局灶性脓肿,实际工作中把炎性放前面,抗炎复查或穿刺活检除外肿瘤。
尘缘:                           
炎性依据,边缘模糊,白细胞增高,肿块不规则,糊墙,恶性征象,支气管截断,淋巴结增大,部分边缘膨隆,分叶。                             
临床除了白细胞增高,病程两月,加重8天外,没有更多有意义的提示了。
南边:                            
咳嗽2月,加重伴胸痛8天,病史两月,加重--伴胸痛8天,常规考虑是累及胸膜了。
尘缘:                            
临床上分析是这样,应该累及胸膜,但是影像上看栽赃还不太明显。
抚顺赵蕊:                       
 请教一下,栽赃什么影像?病灶累及胸膜吗?提示什么?意义内?
尘缘:                            
栽赃和糊墙的区别就是你在墙上贴一副画,采取的方式不同,栽赃是用钉子钉进去,能看到墙(胸膜)受侵破坏;糊墙就是用胶水或浆糊把画粘上去,墙(胸膜)不破坏。
南边:                             
没抗炎,止咳而已,炎性指标高,肿瘤标志物正常,目前提示炎性,恶性的依据不是很明显,我们看影像,定位在哪?(段)
郑道练:
有跨裂生长,炎症多见吗?

南边:                            
 @郑道练,炎性多见,但是要具体分析。
风之子:                        
炎性性跨叶是什么机理?
南边:                          
 @风之子  是直接炎性蔓延;
首先病灶示:跨尖、后、前三段,局部突入中叶;大家理解一下:是不是光滑的地方有叶裂,毛糙的地方没叶裂。

南边:                            
这个病变两侧受叶裂的局限,中央没有,如果是穿透叶裂的是否边缘也毛糙?事实上这叶裂边缘的叶裂是很光滑的,我倾向于这个是局部叶裂有缺陷;就是从缺陷处进来有病灶的本色:边缘毛糙;附近叶裂的阻挡,边缘光滑;既然怀疑是局部的缺陷就对良恶性没价值。

初学者:                           
中央太突兀了,有道理;如果恶性侵犯也不会这么突兀,所以可能是有缺陷或薄弱的地方;
马宁强                           
恶性侵犯,整体都会毛糙
初学者:                           
对,这个病灶周围胸膜没有膨隆或占位效应,会不会病变以收缩为主;如果有缺陷,这种良恶性都可以,两侧胸膜没有膨隆,也不能说排除恶性;如果膨隆,恶性可能性大,但是也可以被阻挡。
南边:                            

周围GGO,不是远端;
而且这个病灶明显跨段,属于外围的病变,不受某一段支气管的局限;
宽基底,胸膜增厚

炎性病变一定有

但是深分叶,坏死部分内壁不清

近端支气管堵塞

肺门淋巴结肿大
恶性一定不能除外
建议治疗后复查或穿刺,警惕恶性;
为啥说不能排除,而不是直接下恶性?因为有感染的同时很多征象都不是很确定;万一感染掩盖了,或者感染某个过程造成的假象,我们直接下诊断,就没退路了,我觉得应该从写报告的角度去读最合适。
1


病理结果

1



跨叶的疾病思路---南边语录
      跨叶病灶有很多种思路,跨叶的病灶多是炎性的,炎性病变沿着胸膜直接蔓延到对侧;恶性肿瘤也有,但是不多,相对比例低,但是恶性肿瘤目前的观点,有两大派:
第一种有直接侵犯过去的;叶间胸膜有2层脏层胸膜,间隔胸膜腔,侵及对侧常会形成胸水,胸膜或多或少都有改变。
第二种是局部叶裂畸形或发育不全、有缺陷,病灶经缺陷处侵犯蔓延,事实上叶裂缺并非少见,影像观察应当结合冠矢状位。
    假如一个病灶直接跨越胸膜侵犯过来,应该边缘都很毛糙,不应该是最突出的地方毛糙,应该是逐步毛糙过去的,充其量越到外面毛糙越少;但事实上今天这个病变是一个很突兀的毛糙,突然间嘎然而止的毛糙;所以这个提示应该是从缺陷处跨过来的;还有今天的这个病例,病灶跨叶的部分对附近的胸膜是推移的,附近的胸膜还是很光滑,但是跨叶的病灶区很毛糙,提示跨叶部分存在胸膜缺陷可能;一般来说恶性肿瘤直接侵犯到对侧还是少的,如果这个地方你怀疑有缺陷,跨胸膜在诊断良恶性价值就不大了。 

病例小结--肺脓肿
1.肺脓肿是有化脓菌引起的肺部化脓性炎症,病变变化、坏死及坏死物排出后形成空洞为其主要特征,可为病原菌经呼吸道感染或经通过血行感染。
2.根据临床经过分为急性和慢性。急性肺
脓肿变现为发热 、咳嗽、胸痛、咳血。白细胞总数增加。慢性肺脓肿可由急性肺脓肿发展而来,也可无急性过程,白细胞总数无可变化。
3.ct表现:肺脓肿可呈结节状或团块状,有时呈不规则形,气道来源肺脓肿常单发,血行来源常多发,边缘模糊,部分病灶周围可见片状肺实变及磨玻璃影;病灶中央为液化坏死区,若脓肿与支气管相通,脓液排出可形成空洞,空洞内可形成液平;急性肺脓肿内壁多不规则;慢性肺脓肿洞壁较厚,一般不规则或形成多房空洞:CT增强扫描空洞壁可见强化,空洞壁为纤维肉芽组织,呈典型的环形强化;慢性肺脓肿周围可有较广泛的纤维索条影,可伴支气管扩张.肺
气肿或胸膜增厚表现。

今天病例坏死周围也可以看到明显强化的脓肿壁,只是局部脓肿壁不规则模糊,部分脓肿壁规则清楚。

END
编辑:车晓华
审核:蔡笑燕  徐  晓
病例提供者:沧州市中心医院  何翔

到顶部