【每日晨读】腺癌?结核?魔神之争






病例资料












群内讨论
晕晕菜:
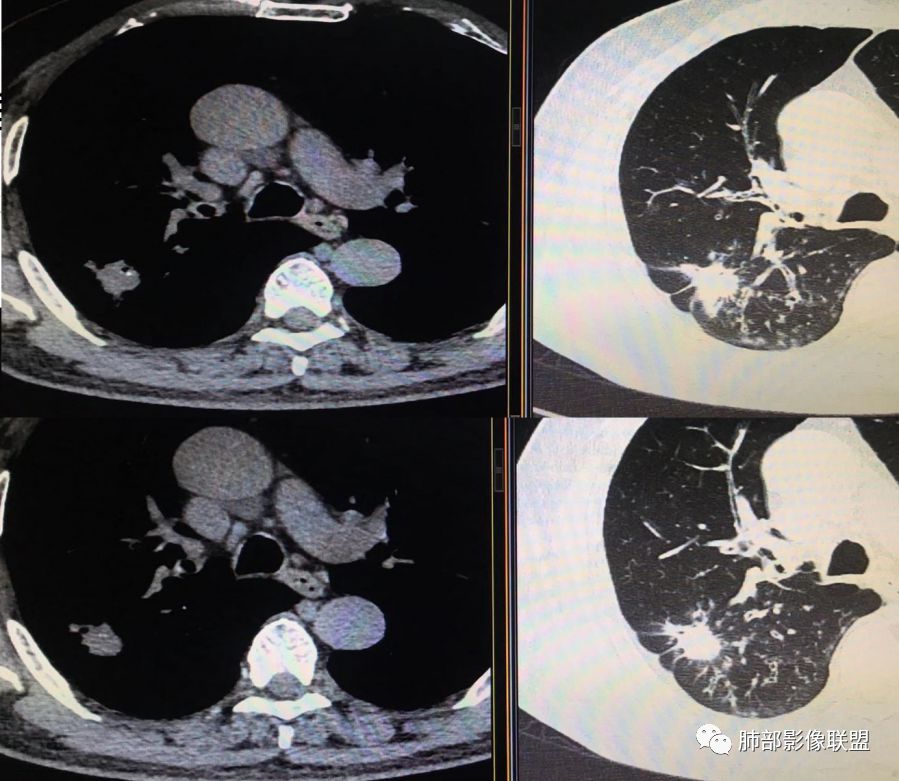
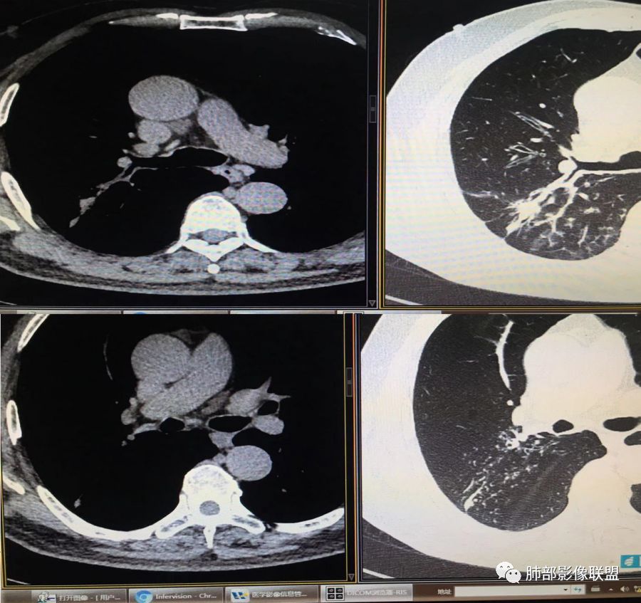
胸CT示病变位于右肺上叶,右肺上叶前段支气管壁不规则增厚狭窄、远端扩张。右肺上叶后段实变影,纵隔窗实变内可见钙化灶,可见支气管引流征,引流支气管壁明显增厚,边缘可见短硬毛刺,胸膜牵拉,u型征,周围可见卫星灶,并可见支气管扩张及其管壁增厚;病灶整体存在膨胀性生长。考虑良性病(结核)变基础上合并癌变,腺癌?
水晶石头:
患者中老年男性,咳嗽喘息半年。查体双肺闻及哮鸣音。胸部CT:右肺上叶后段不规则结节灶,可见长毛刺、胸膜牵拉、分叶及钙化征象,周围见点片状卫星灶,近端支气管壁增厚,呈支气管爬行征。综合考虑结核。鉴别恶性病变。
小监:
右上肺的占位,毛刺,凹陷,总体偏恶性,但周围卫星灶,考虑腺癌可能性最大,结核也不能排除。
大雄:
老年男性,咳嗽半年,右肺上叶后段实性结节伴粟粒状卫星灶,结节内有钙化,部分边缘平直,周围见长索条,有胸膜牵拉,结核是明确的,常规需要增强判断有无合并肺癌,当然该患者已经穿刺。
风之子:
右肺上叶后段结节,点状钙化,边缘见细长毛刺,胸膜凹陷,卫星灶伴树芽症,支气管壁增厚扩张,有截断,考虑结核,但腺癌没法排除,确实有增强就基本能明确。
火焱:
右肺上叶后段实性结节伴卫星灶,结节内有钙化,部分边缘平直,长索条,胸膜牵拉,考虑结核,但恶性征象还是有的,需除外腺癌!
日月@中心:
右肺上叶后段不规则结节,长毛刺,卫星灶,斑点状钙化伴细小钙化,边缘部分平直,收缩力不强,倾向一元解释TB可能大,鉴别腺癌
金豆:
右肺上叶病灶,可见分叶、毛刺、胸膜牵拉,周围见花花草草,似乎是卫星灶,考虑结核,鉴别腺癌。右肺支气管管壁增厚并扩张,考虑支扩,病史有喘息,哮鸣音,考虑合并有曲霉菌感染。综合考虑腺癌合并结核,曲霉感染。二元。
没意见:
右肺上叶后段结节,长毛刺、钙化灶、近端小空洞、索条影、周围支气管树丫、引流支气管增厚,主体病灶侧后方分隔样空腔,弥漫支气管增厚,大气道受累,支持感染的征象较多,TB、曲霉;分叶、膨隆、脊状凸起、毛刺等恶性征象也有,遗憾没看到增强,只有期待活检一槌定音。
丽:
右肺上叶后段结节,呈不规则状,内可见钙化,边缘可见长短不一毛刺及胸膜牵拉,并可见分叶,邻近支气管管壁增厚,周围可见多发点状及结节状高密度影,首先考虑结核。
心灵鸡汤:
老年男性,咳嗽半年,右肺上叶后段实性结节,内见钙化,边缘部分膨隆,有长短毛刺、分叶、空泡征,胸膜侧见胸膜牵拉,周围不干净,见小卫星灶,右上叶后段支气管管壁增厚,扩张,有炎性及恶性征象,一元论常规考虑炎性肉芽肿病变,结核可能,腺癌不除外,二元结核并腺癌,建议增强及穿刺活检。
杨庆池:
右上肺后段结节,边界清晰,可见分叶及毛刺,血管集束征,胸膜牵拉,内见斑点状钙化,周围见斑点状模糊影,同时伴支气管扩张,管壁增厚。整体感觉恶性征象多于良性,首先考虑肺癌,鉴别肉芽肿性病变,结核位置不像。
仲夏:
右肺上叶后段占位,毛刺,胸膜凹陷,病灶边缘内可见钙化、空泡,血管进入,病灶周围可见多发粟粒及树芽征,首先考虑肺结核;鉴别腺癌?鳞癌(周围小花、小草?)?
罗华:
右上叶结节,毛刺、胸膜兔儿、空泡、钙化、血管,恶性征象不少,但是,可见沿支气管血管束分布的,周围可见卫星病灶,支气管扩张,外边胸膜是增厚的,结核可能性大。
薏米:
中年男性,CT提示右肺上叶后段可见一结节影,可见长、短毛刺,胸膜牵拉,邻近支气管壁增厚,可见卫星灶,病灶内可见钙化,符合结核改变,腺癌待排。
琦遇:
右肺上叶后段团块影,内见钙化,周围胸膜有牵拉,近段支气管扩张管壁增厚,周围可见卫星灶,右支气管狭窄,综合考虑支气管内膜结核,鉴别真菌感染(气道侵袭性曲霉菌病)。
明日の路过:
中老年男性,右肺上叶不规则团块状病灶,深分叶、长软毛刺,内部见空泡、多发钙化,相邻支气管增厚,考虑病变来源于气道,首先考虑结核,有空泡,这个腺癌多见,需要鉴别。
文件:
右肺上叶后段不规则结节,可见多发长毛刺,边界欠清,密度不均匀,其内可见斑点状钙化影,相应支气管壁增厚,管腔通畅,病灶周围见斑片状、斑点状稍高密度模糊影,考虑结核可能性较大。
黄兴:
中老年男性,右肺上叶不规则团块状病灶,深分叶、长毛刺,内部见空洞(近心侧)、钙化,相邻支气管增厚,有结核背景,首先考虑结核,腺癌需要鉴别。
三个石头:
右肺肿块,边缘平直,往下部分有膨胀感,毛刺、胸膜牵拉,内钙化,周围树芽,边界清,支气管壁增厚,考虑结核;不除外合并恶性。
THINKER:
右上后段结节,整体收缩,长软毛刺丶胸膜凹陷,有点状钙化丶小空洞,引流支气管明显管壁增厚,周边卫星灶明显,有喘息史半年,可能有应用激素史,致内源性复发,考虑TB,鉴别腺癌。
蔡:
右肺上叶后段占位,分叶,毛刺,胸膜凹陷,病灶边缘内可见钙化、空泡,血管进入,病灶周围卫星灶,考虑肺结核合并肺癌。
菁菁者莪:
不给增强图像,仅就形态判断,腺癌、结核都有可能。腺癌:分叶,毛刺,胸膜牵拉,近端支气管爬行结核:分叶,毛刺,胸膜牵拉,粗颗粒钙化散在分布,引流方向支气管壁增厚。这种情况通常放射科诊断不下结论:部位,病变,建议增强检查/穿刺活检。
甄德强:
这个病灶确实有点担忧局部边缘是膨隆的,结果腺癌,可能是结核合并了腺癌。
弹指之间:
钙化与软组织成分明显不成比例时一定要小心ca,尤其钙化位于偏心的位置时,肿瘤包裹钙化。
南边:结核一定要下,癌肯定不能排除,不能排除的原因:粗短毛刺、膨隆。



结果

(右肺肿物穿刺)肺腺癌,贴壁生长型为主,少部分为腺泡型。

病例小结
1.腺癌是当代病例系列研究中最常见的肺癌类型,约占肺癌病例的半数。新分类将侵润性肺腺癌分为:附壁状、腺泡状、乳头状、微乳头状、实体型,较少见的生长模式包括侵润性黏液型、胶样、肠型和胎儿型。腺癌影像表现为磨玻璃影、部分实性结节、实性结节或实变。
2.继发性肺结核影像表现:多位于上叶尖段和下叶背段,尤其是上叶尖后段多见,病灶边缘模糊,可见广泛的支气管播散灶呈大小不等的斑点或小斑片影,沿支气管血管束排列,可见引流支气管。本病例主要需与结核球相鉴别,结核球一般呈圆形、椭圆形致密阴影,大小一般2-3cm,少数4cm以上,边缘清晰,密度不均,其内常见钙化或溶解区,溶解区可呈新月状,钙化可呈分层状;周围常见“卫星灶”,邻近胸膜增厚粘连,少数可见浅分叶,增强后无强化或呈环形强化。
3.本例病灶影像表现为:右肺上叶后段不规则结节灶,病灶整体存在膨胀性生长,可见毛刺、胸膜牵拉、分叶及钙化征象,近心端小空洞,周围见点片状卫星灶并出现磨玻璃影,近端支气管壁增厚,管腔扩张,既有恶性征象,也有结核的征象。南边老师考虑结核与腺癌同时存在,但遗憾的是缺乏增强扫描图像,亦未提供结核相关辅助检查结果。
4.肺结核是临床常见病、多发病,影像表现千变万化,有时与肺癌很难鉴别,尤其是在结核基础上发生的肺癌,影像应仔细甄别,比较既往图像,有无新生物瞒天过海!如果良恶性征象都存在,可以建议临床穿刺活检等临床其他手段来进行鉴别。
 
编辑:黄   震
审核:蔡笑燕   徐  晓
病例提供:山东 邹平


到顶部