【每日晨读】爱发光却又很腼腆的“隐球君”



有人在奔跑,有人在睡觉;有人在感恩,有人在抱怨;有目标的睡不着,没目标的人睡不醒;努力才是人生应有的态度,睁开眼就是新的开始。
(致敬图片提供者 : Echo女士)
2019年11月12日晨读
(病例由临汾市中心医院  程磊老师)
REC
01
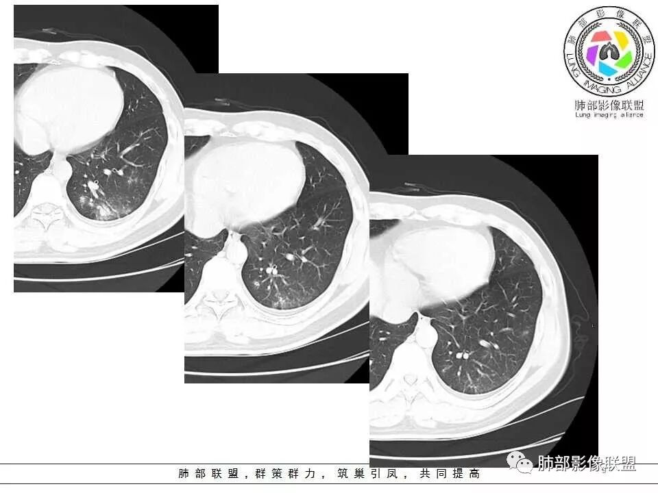
临床病史



起飞

02
影像资料















起飞

03
微信群留言

王秀仙
左肺下叶肿块,密度不均,其内有低密度坏死,周围有晕,支气管进入阻塞,长轴平行胸膜,周围可见形态密度一致小病灶,考虑隐球菌。鉴别淋巴瘤。

薏米
青年男性,急性起病,左肺下叶近胸膜可见实变及结节影,宽基底与胸膜相连,胸膜下脂肪间隙可见,支气管部分中断,未见树芽,良性病变,考虑隐球菌可能,鉴别结核。

风儿
左肺下叶实变,长轴与胸膜平行,边缘平直、膨隆,周围有边缘模糊晕,近端支气管进入病灶,內有低密度坏死,邻近胸膜弥漫性增厚,胸膜外间隙增宽;病灶周围肺野有多个斑片,部分内有扩张小支气管。青年男性,病史10天,考虑炎性,1、隐球菌,2、TB。

傅昌瑜
青年男性,咳嗽、左侧胸痛10余天。血常规(一)。左下肺胸膜下见一肿块影,糊墙,长轴与胸膜平行(碰到胸膜往两侧走),近端支气管进入后堵塞,内有小片状低密度区,边缘见模糊的GGO。肿块周围见类似密度的小结节。综上考虑良性病变,隐球菌可能性大。

小鱼
胸膜下,边缘平直,支气管进入后稍扩张,周边有晕,类似结节,横轴与胸膜平行,首先考虑隐球菌。

一米阳光
青年男性,左肺下叶实变影,长轴与胸膜平行,支气管进入后堵塞,边缘晕征,略膨隆,内有低密度影。结合病史,咳嗽,咳痰。考虑:炎性肉芽肿,隐球菌感染。建议检查隐球菌抗原、增强或穿刺活检。鉴别,淋巴瘤,肺链。

周太狼
青年男性,左肺下叶背段实变,宽基底与胸膜相连,周围有晕,考虑炎性病变,隐球菌?TB?

崔少钢
青年男性,无发热,呼吸痛,体重下降。左肺下叶实变,宽基底,气管进入后截断,周边有模糊的晕,晕中带刺儿,内见多发小坏死,收缩为主,稍有膨隆,糊墙,多发病灶,支持隐球。


青年男性,以胸痛为主,左肺下叶胸膜下多发实变团块影,病灶相似,边缘有晕,部分边缘平直,胸膜糊墙,大病灶内可见支气管进入,远端阻塞,纵膈窗显示病变密度不均,首先考虑感染性病变,隐球菌可能大。

心灵鸡汤
青年男性,咳嗽10余天,体检发现,左肺下叶胸膜下团块影,与支气管相通,内见坏死区,边缘长毛刺,有晕征,胸膜下脂肪间隙存在,周围见小结节影,常规考虑肉芽肿病变,隐球菌可能,结核待排,建议增强及抗炎后复查。

Shelia
左肺下叶胸膜下肿块,密度不均,内见低密度坏死区,病灶边缘有膨隆,也有收缩,周围有晕,支气管进入近端阻塞,远端支气管走行通畅,病灶长轴平行胸膜,胸膜糊墙,周围可见多发类似结节,形态单一,考虑感染性病变,隐球菌?

毛勤香
青年男性,左肺下叶实变影,长轴与胸膜平行,支气管进入后闭塞略扩张,边缘晕征,略膨隆,内有低密度影,糊墙,周围小结节状小片状影类似,考虑炎性病变,隐球菌可能,不除外一般炎症并小脓肿形成,建议结合临床和隐球菌抗原检查。

采莲
中年男性,咳嗽胸疼,左肺下叶团片状影,边缘平直,内有多灶坏死,胸膜下分布,与胸膜宽基底相连,周围有晕及晕中毛刺,有卫星灶,支气管进入走行自然,有的穿过,有的近中段阻塞,胸膜下脂肪间隙清晰,考感染性疾病,隐球菌肺炎可能性大,鉴别op。

淘时光
隐球菌+1,长轴平行胸膜、有晕,有蘑菇兄弟,支气管进入病灶后阻塞,边缘平直为主,广基底与胸膜相连。

尘缘
青年男性,咳嗽,胸痛10天,白细胞不高,中性粒细胞不高,1月前有发热史,1年内体重下降10公斤,胸部CT所见左肺下叶跨背段及后基底段不规则形团块影,宽基底与胸膜相连,胸膜下脂肪间隙清楚(糊墙),长轴平行胸膜,内有坏死,边缘毛糙,周围见晕征,病灶旁有斑点状及小结节状影,病灶由外向内包绕支气管,考虑:炎性肉芽肿,隐球菌可能,结核待排,查隐球菌荚膜实验,必要时痰检及结核相关检查。

蔡磊
男性,29岁。咳嗽伴左侧胸痛10余天,吸气时胸痛加重,无发热/咳血盗汗。左肺下叶背段斑片样阴影,部分边缘欠清,周围可见小片状偏高密度影,近胸膜面分布。支气管进入病灶内,感觉走形较柔软,主体病灶长轴与支气管垂直,壁层胸膜下脂肪间隙可见,病灶内似可见更低密度影。结合临床,考虑炎性病变,隐球可能性大,结核抗体弱阳性,还是要待排的。

宇宙星空
左肺下叶胸膜下片状高密度影,密度均匀,近端支气管进入后阻断,形态欠规则,边缘GGO模糊,病灶长轴与胸膜平行,与相邻胸膜呈糊墙改变,相应胸膜增厚,考虑炎性病变,隐球菌可能性大。

没意见
青年男性,急性病程,右肺下叶背段块影,宽基底与胸膜相连,胸膜下脂肪间隙清晰,支气管有近端截断,远段有贯通,密度均匀,边缘有模糊的晕,附近有类似小病灶,考虑感染,隐球菌。

德芙~云味
左肺下叶胸膜下多发病灶,支气管进入有堵塞,长轴平行胸膜,糊墙,考虑炎性病变可能性大 ,隐球菌首先考虑。待排粘液腺癌。

王金海
青年男性,左肺下叶团片影,支气管进入有堵塞,病灶边缘有晕,周围散在相似小病灶,病灶胸膜平行,考虑炎性病变,隐球菌?

看图说话
左肺下叶胸膜下肿块,支气管进入有堵塞,长轴平行胸膜,内部有坏死,考虑炎性病变 ,考虑隐球菌。

小赵
青年男性,咳嗽咳痰胸痛,有发热史,体重下降,结核抗体弱阳性。胸部CT所见左肺下叶跨背段及后基底段不规则形团块影,边界相对清楚,内部似见坏死,病灶沿胸膜下平行于胸膜横向发展,邻近胸膜增厚,周围见边界不清磨玻璃密度影。左肺下叶背段及后基底段近肋膈角区见多发较小形态及密度相似结节,部分结节周围见条索影。综合考虑炎性病变,隐球菌感染可能性大,建议查隐球菌荚膜实验,询问有无鸽子接触史等。

tsing(青)
青年男性,咳嗽无发热,结核抗体阳性,体重下降明显,CT影像示左肺下叶团片状高密度灶,形态欠规整,周围见斑点片状卫星灶,病灶中心部分坏死,宽基底与胸膜相连,支气管穿行,管壁光滑,远端似见闭塞,余肺未见明显异常,倾向考虑感染性病变。

起飞

04
答案揭晓

电话随访结果:隐球菌

起飞

05
转发南边老师关于
隐球菌影像表现总结的经典语录

小赵
        1、边远山区:病灶多数位于双肺外围,胸膜下,类似肺内边远山区。
       2、葫芦兄弟:各个病灶之间形态类似,像葫芦兄弟一样。
       3、兄弟同心:多个结节病灶之间很容易融合成团,只要结节稍微大一点,就容易融合在一起,平行于胸膜,沿胸膜下呈带状分布。
       4、欺软怕硬:隐球菌不容易侵犯胸膜,病变发展到胸膜下之后,就开始向肺内发展,容易朝周边侵犯,向两侧发展,早期磨玻璃影的时候,支气管通畅,发展到密实的时候,堵塞支气管的中近端,不堵塞支气管的开口处。
       5、很死心眼:不沿淋巴道和血道播散。只朝周边一点一点侵犯。
       6、外脏内净:周围有很多磨玻璃样密度影,模模糊糊的,看起来脏兮兮的,就是那种外围脏。但是内部很干净,如果有空洞,洞内干干净净,没有残留物,只有少量间隔在里面。


南边老师趣味解读:
       在遥远的边远山区(胸膜下),有一群兄弟(多个性质相同的病灶),他们表面看起来很脏(有晕),但内心很实诚(基本不坏死),他们很聪明(踫到南墙也就是胸壁会往两侧走,往往会留点空气给自己→近端支气管进入堵塞或支气管可以直达病灶远端),兄弟们比较死心眼,就朝周围蔓延发展,不走其他路(少或无血道、淋巴道、支气管播散),比较自私,家里干净(内部空洞干净、壁光滑),家外脏,周围晕。这是大片状、多发结节状隐球菌肺炎的特点,不适用于免疫力特低下的。

起飞

06
往期课件中南边老师
关于隐球菌相关知识的总结
南边:
        1、分布多为下叶单叶胸膜下,少数两肺多发,多叶段分布;长轴沿胸膜下走形;
       2、各病灶大部分大小不一,个别大小一致,各结节密度、形态类似;而且结节往往与实变同行(65%),实变灶也类似;
       3、大部分病灶宽基底与胸膜相连(85%),多为糊墙征;部分与胸膜有点距离,但有胸膜牵拉征;
       4、晕征:大部分有,约20%无晕征;
       5、结节或实变区密度均匀,边缘清楚,均匀强化,且延迟强化,个别内有低强化区;内可见内壁光滑空腔或空洞,内有间隔,约20%见到空泡征;多发灶可以部分实变,部分合并有空泡征。
       6、大部分结节边界清楚,有刀切征、平直征(约80%);20%边界稍模糊,35%伴有毛刺征;近端均与血管相连,其内血管走形自然;
       7、含气支气管征与密度、晕征的关系:支气管可以直达远端,也可以近端堵塞,堵塞处支气管正常或稍扩张,走形正常;密度密实程度越高晕征越少,含气支气管近端堵塞的几率越高;如果周围晕征明显,密度偏低,边界欠清晰,含气支气管会直达远端;
        8、约10%伴有纵膈及肺门淋巴结肿大。

起飞

感谢关注


编辑:赵永兵
审核:蔡笑燕  徐  晓
病例提供者:病例由临汾市中心医院  程磊老师


到顶部