【每日晨读】经典再现—血源性“金葡君”



01
病例资料








































02
病例讨论

放声讨论吧
王开金江津中心医院呼吸科 
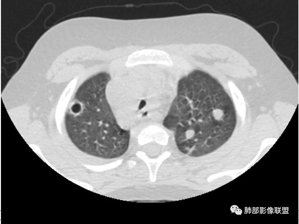
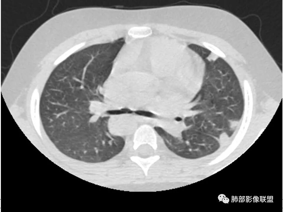
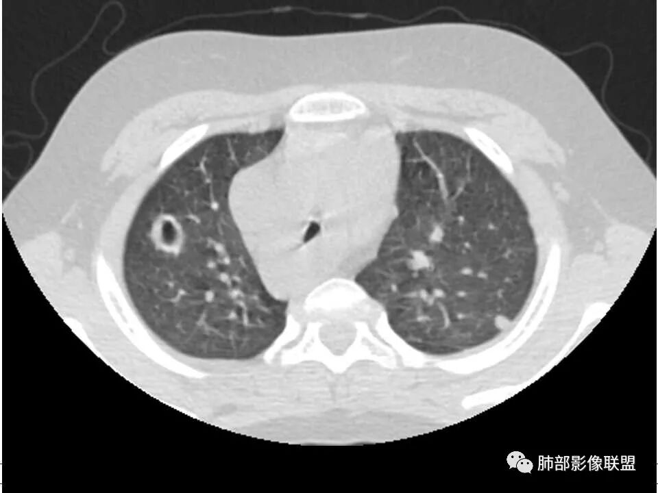
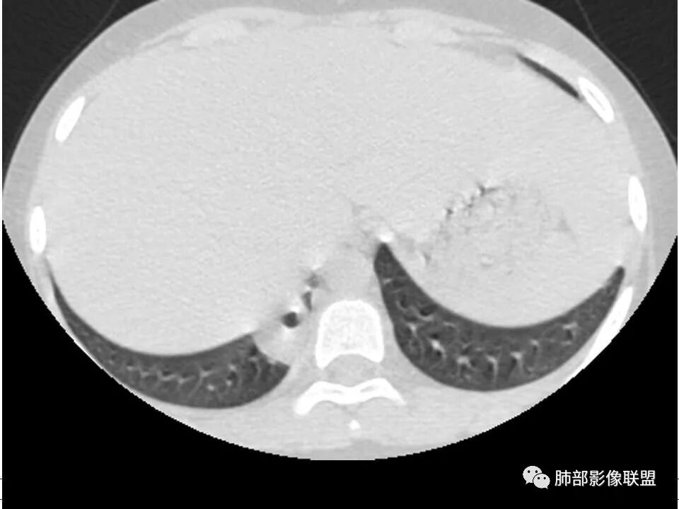
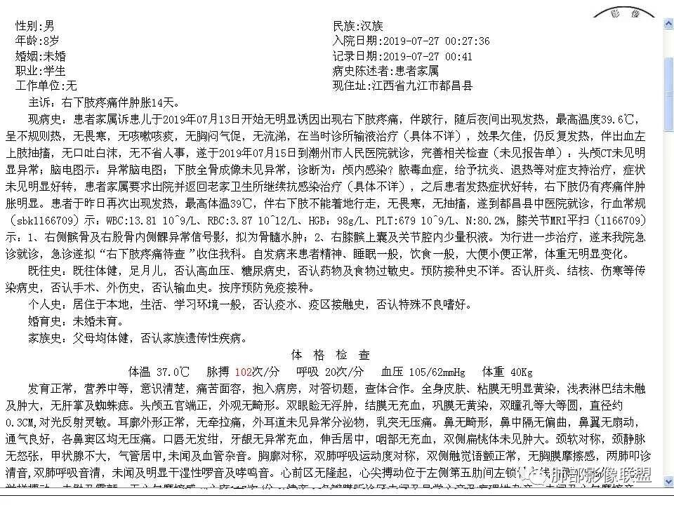
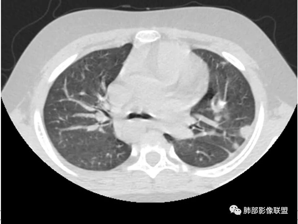
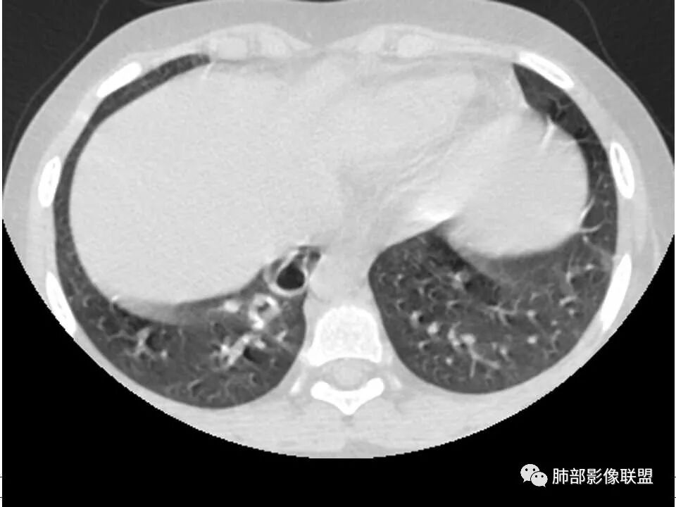
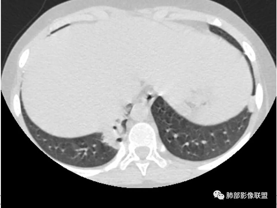
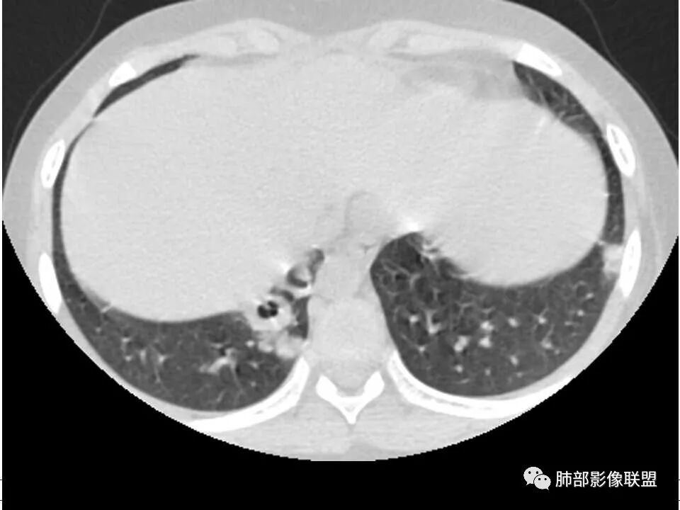
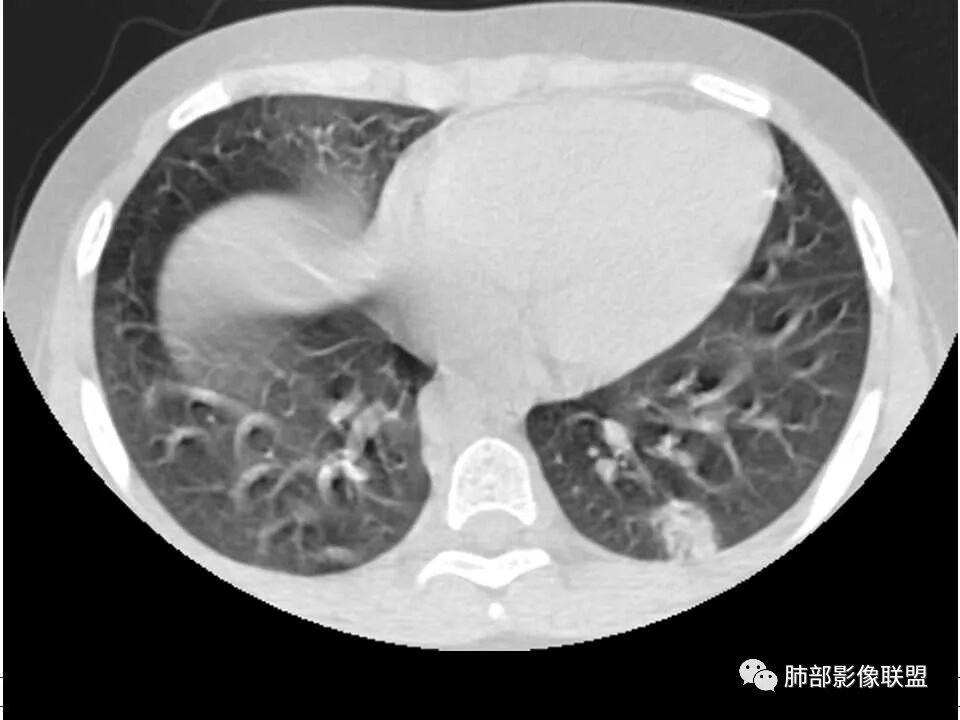
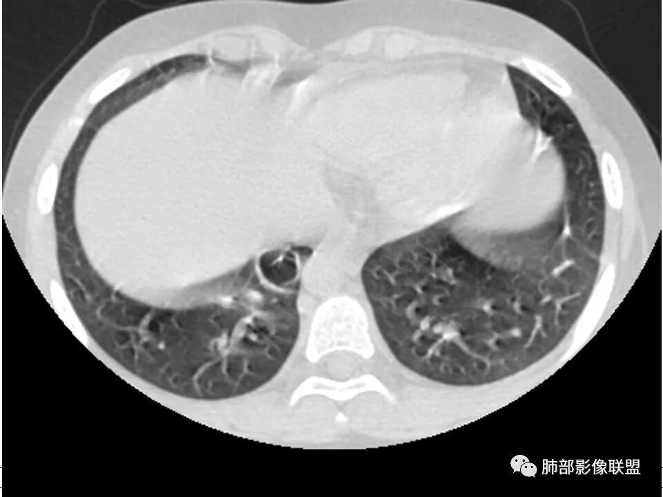
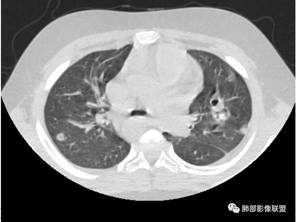
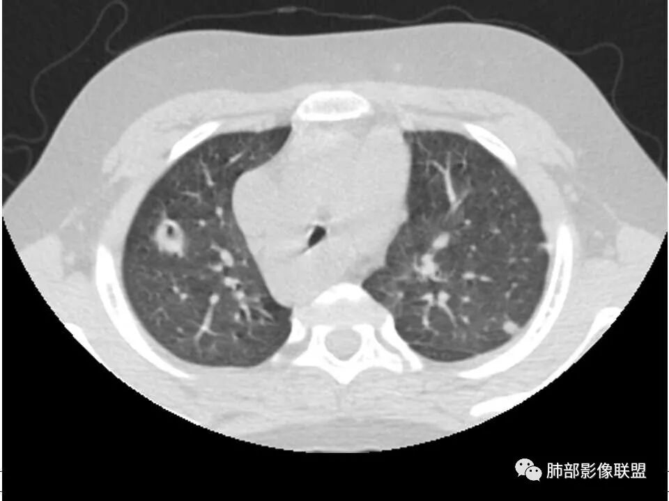
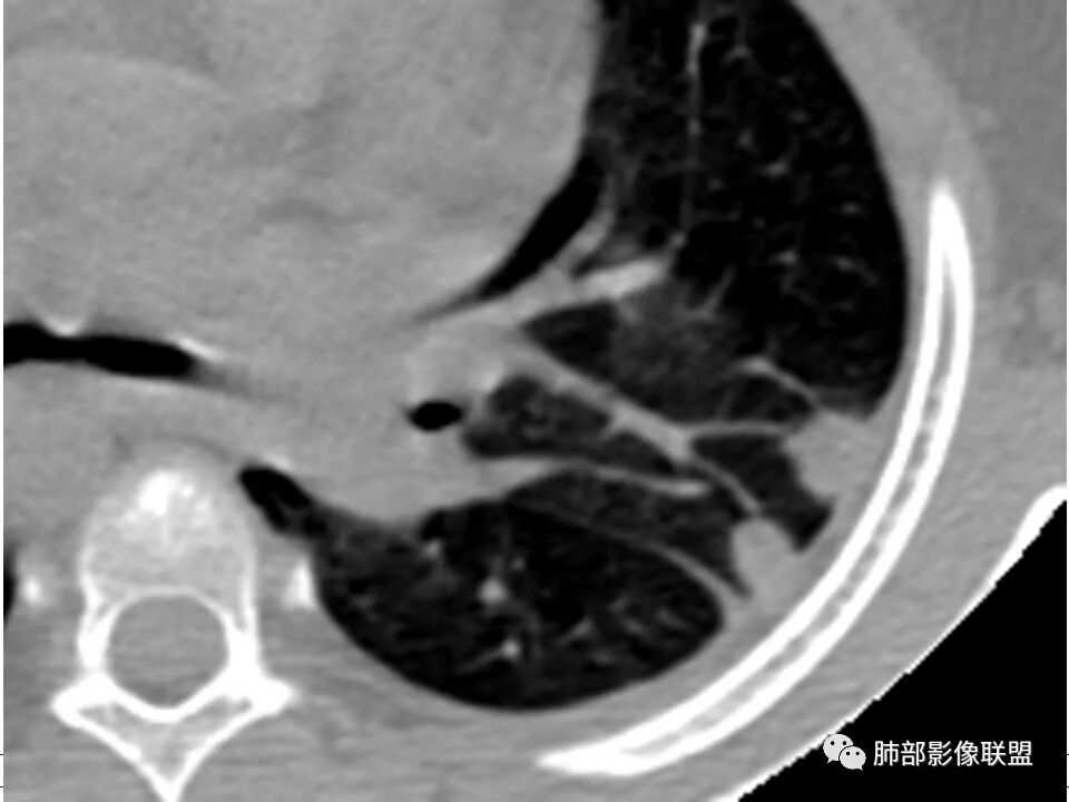
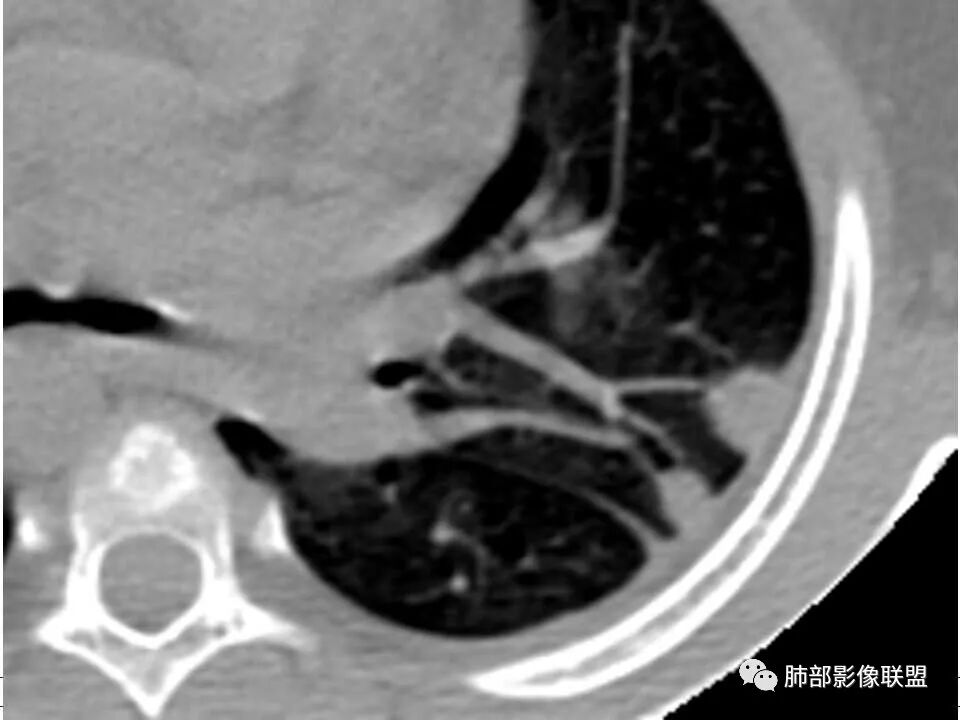
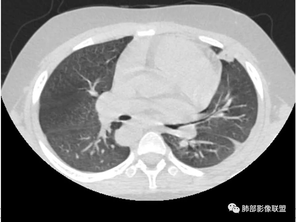
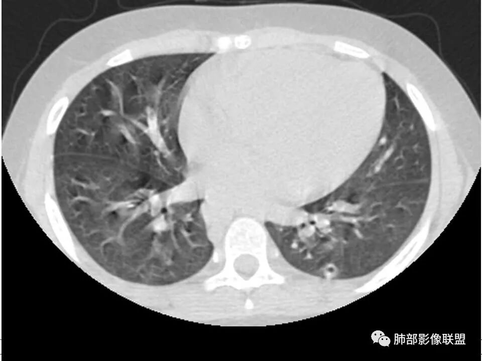
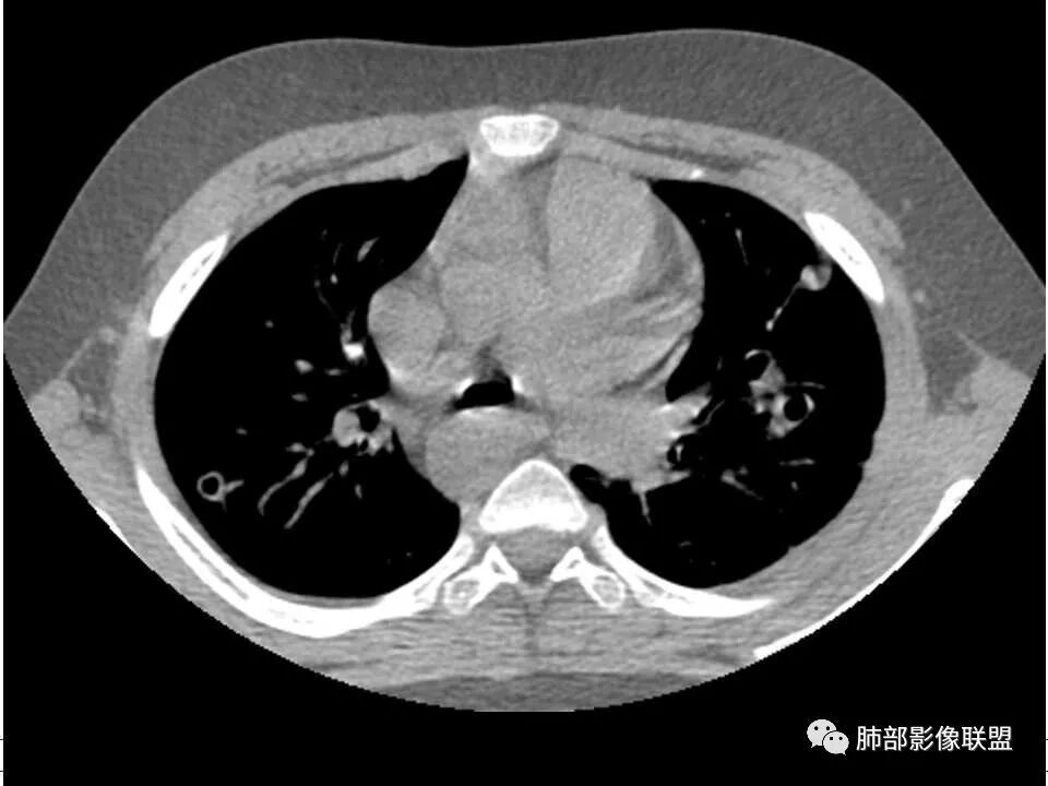
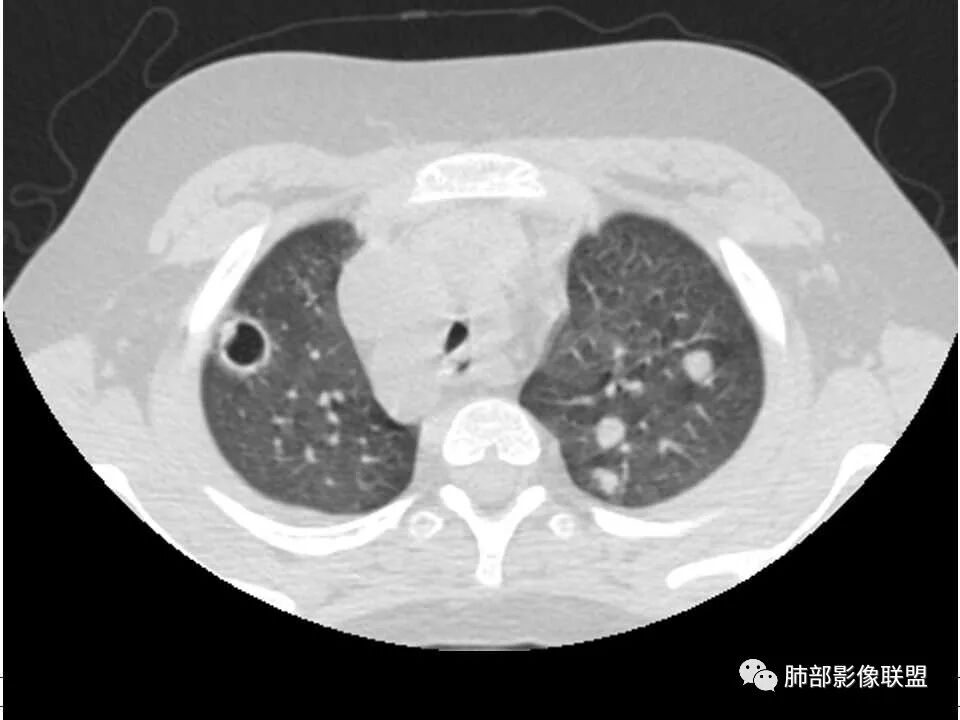
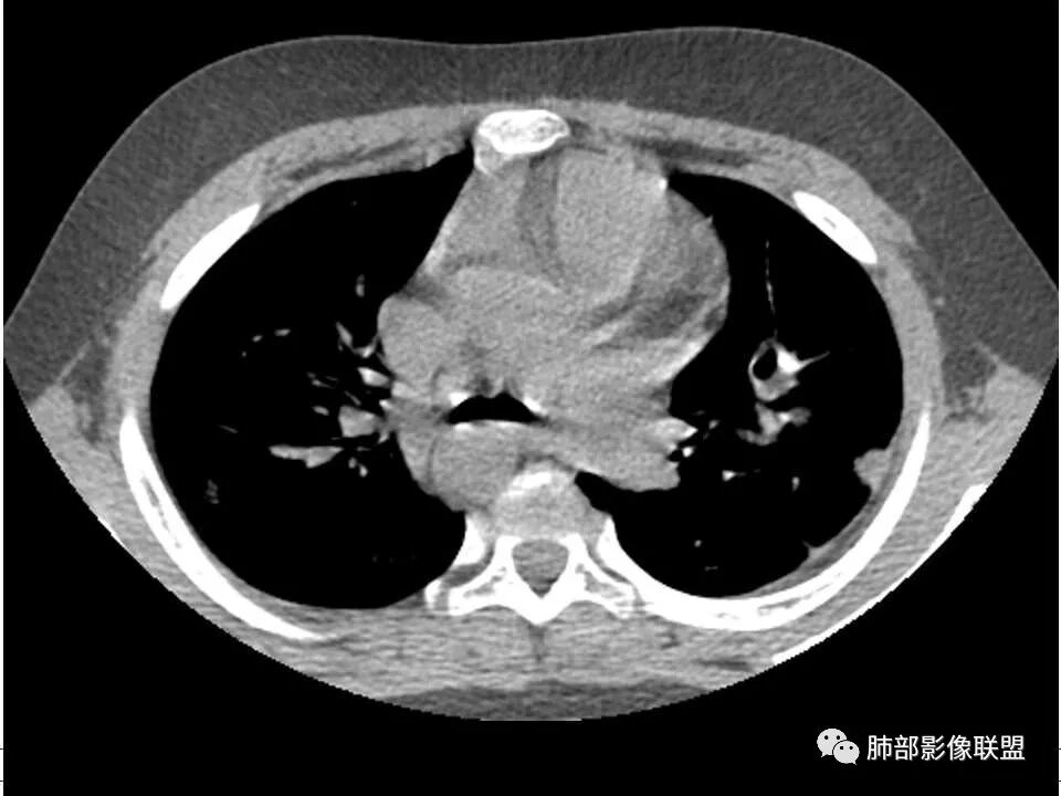
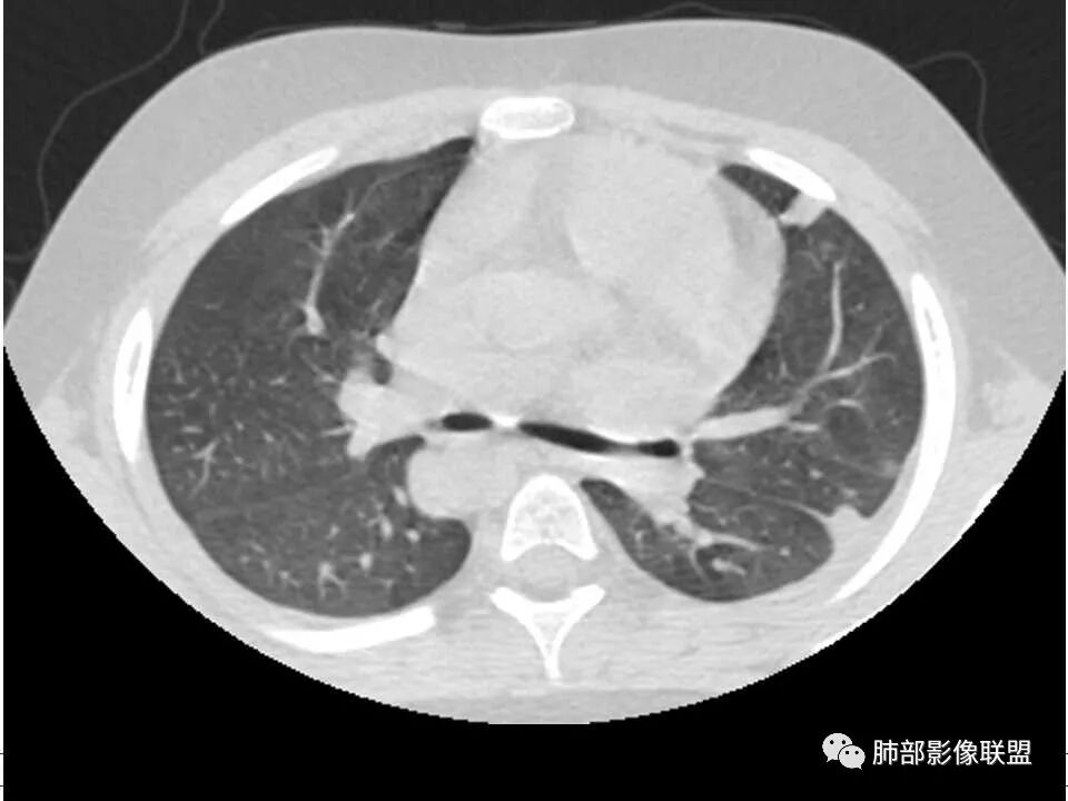
晨读,儿童,起病急,病程短,有下肢疼痛伴肿胀病史,发热,白细胞升高,结合下肢辅查,考虑骨髓炎,胸部ct:双肺多发空洞,结节,外带下叶为主,空洞内外光滑,无丝状物,有血管滋养征,综合病史及影像考虑脓毒性肺栓塞,金葡可能性大,建议痰培养,血培养,必要时ngs。
THINKER
金葡菌骨髓炎→血流感染→血源性肺栓塞
阳光 
双肺胸膜下多大结节并空洞,考虑SPE,来源考虑骨髓,病原学倾向金葡
黄云开 
多个病灶出现空洞,分开于胸膜下为主,考虑金葡感染
倏忽 
薄壁囊腔,结节,结合病史考虑LCH
清嘉 
两肺胸膜下为主结节伴空洞,考虑血流感染。
草木春华 
考虑脓毒栓子,其次lch
丁啸 
注意认真看病史
急性起病,高热,白细胞明显升高,与LCH不符合吧
1这 
患者右下肢肿胀疼痛,发热,血象高,双肺多发结节囊腔,考虑血流性感染(金葡?)
峰 
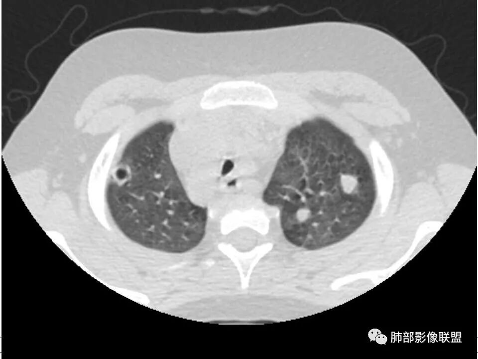
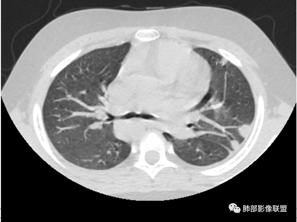
儿童患者,右下肢肿痛、发热起病,血象升高,双肺多发结节影,右肺结节并囊腔或空洞,左肺多发实性结节以胸膜下分布为主,考虑感染性病灶,有右下肢肿胀,需考虑蜂窝织炎, 血源性肺播散,金葡感染可能性大?
王秀仙 
双肺多发空洞、结节及胸膜下楔形密度增高影,结合临床考虑:1.金葡菌肺感染。2脓毒性肺栓塞。
弹指之间 
常规思路——双肺多发结节,空洞,血播,金葡可能。
Lotus 
需要看膝关节mri,如果膝是骨髓炎,肺内是脓毒栓子。如果膝是肉瘤,肺内是转移。如果膝是类风湿,肺内是类风湿结节。
阿飞 
双肺多发结节,空洞,与胸膜相连,血道来源,空洞内壁光滑,结节周围模糊,考虑金葡菌感染。
薏米 
有脓毒性肺栓塞了,有空洞,有结节,有血管滋养征,考虑血源性金葡菌感染
水晶石头
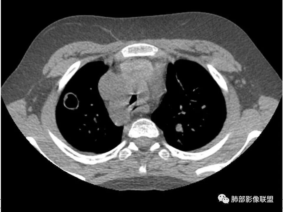
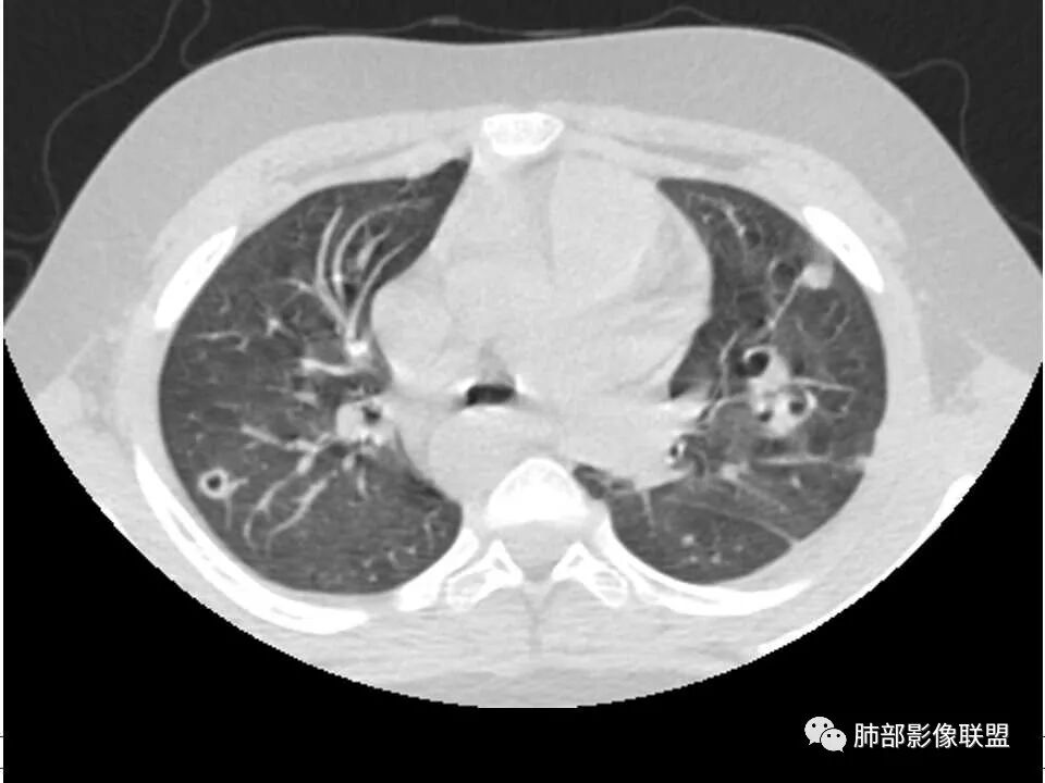
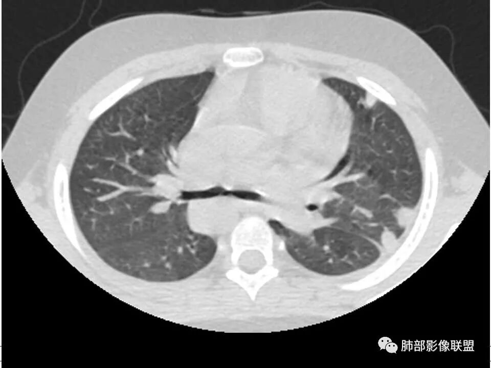
患者儿童,因右下肢疼痛伴肿胀14天就诊。病程中有发热及伴随症状。膝关节MRI提示右侧膝关节及右髌骨髁异常信号影,右膝髌上囊及关节腔内少量积液。胸部CT:双肺胸膜下多发结节影,部分结节空洞形成,且结节周围可见血管集束征。综合考虑血源性脓毒性肺栓塞、坏死性肺炎。右侧骨髓炎、血播性金葡菌肺炎,鉴别其他特殊感染及血管炎。
徐婕 
胸部ct:双肺多发空洞,结节,外带下叶为主,空洞内外光滑,有血管滋养征,综合病史及影像考虑脓毒性肺栓塞,结合病史,金葡可能性大。
八爪🐠 
发热,下肢肿胀骨髓水肿,骨髓炎可能;双肺多发结节,部分空洞,左下肺胸膜下楔形阴影,考虑感染性病变,肺梗死;上腔静脉、奇静脉增宽,肝大,考虑股部深静脉拴子进入体循环及肺动脉,综上考虑下肢骨髓炎,深静脉脓毒栓子,肺部感染并肺栓塞
毛勤香 
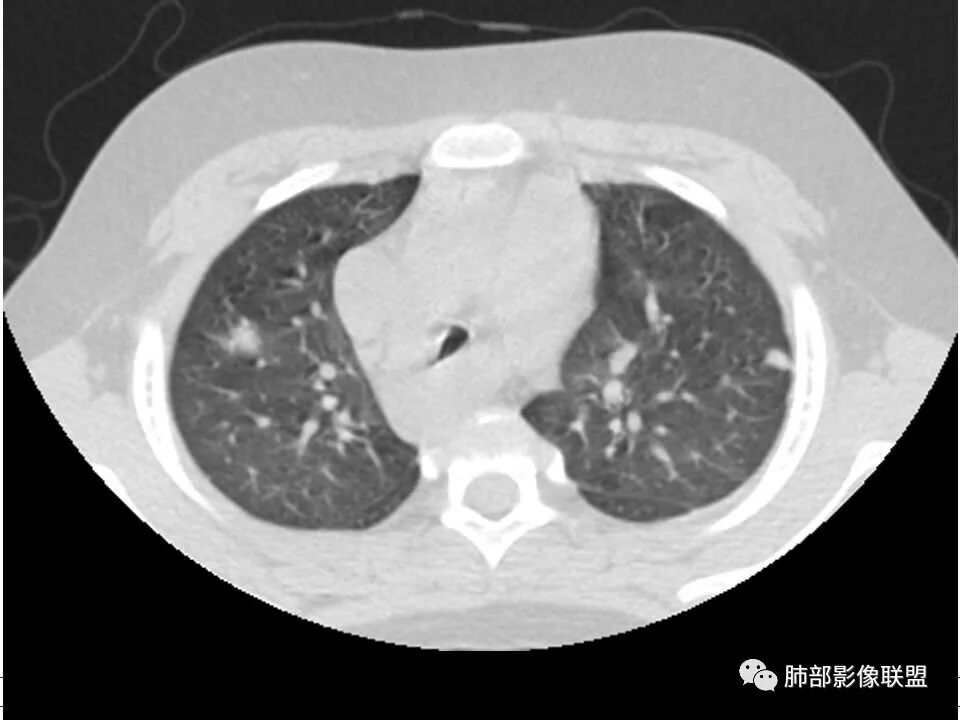
男,8岁,两肺多发随机分布结节空洞影,壁光整,考虑血道来源,结合右侧膝关节有骨髓水肿信号,临床感染指标明显增高,考虑骨髓炎并血道播散,金葡菌感染?LCH小孩骨头症状相对较轻,放在代排吧。
Shelia🌞 
小儿,急性起病,下肢疼痛,mr提示骨髓水肿,临床化验炎性指标高,考虑金葡菌骨髓炎,双肺多发结节,以血管支气管束及胸膜下分布为主,部分结节近端与血管相连,部分结节可见空腔,内壁光整,部分囊腔有张力,考虑骨髓炎并肺内血播感染,金葡?
了 
双肺多发结节影,可见空洞,分布以胸膜及血管束为主,洞内壁光滑,外壁锐利,无明显渗出,儿童以发热和下肢疼痛为主要表现,炎症指标高,首先考虑感染,但从病史及化验单又不那么支持脓肿,有些疑惑的点
血管滋养征明显
日月@中心
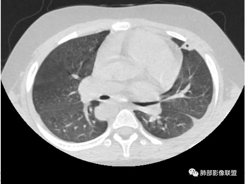
儿童,发热,急性起病,右下肢骨水肿,两肺弥漫性病变,伴囊,胸膜下分布,部分呈楔形,血道分布,符合金葡菌感染,脓毒肺栓塞

03
结果
REC



04
分析
生来征服~浪子
这个应该是骨髓炎引起的金葡吧
大雄 
是的
市医院--时建文 
血道播散,感染_金葡可以想到,脓毒性肺栓塞没有接触过
大雄 
金葡引起的骨髓炎以及spe
奔跑的37°Doctor(陆喜红 )
问下这个脓毒性肺栓塞和金葡引起肺的血播感染,是一个概念吗?
大雄 
算是,脓毒性肺栓塞还可以是其他病原体,不单是金葡
 
spe除了病原体的毒素对肺的破坏,更强调的还是小动脉内菌栓的堵塞,伴或不伴肺梗死

熊桅老师: 关于金葡(血播)感染的分析
应该是非常经典1.这是金葡感染的另一个高发人群—儿童;儿童和糖尿病是两大危险因素。2.儿童,尤其男孩因为运动活泼,非常容易有小外伤-小外伤引起破皮。金葡一般在环境里污染严重区域,先造成皮肤感染,由于其凝固酶阳性特点,容易形成菌栓随血流播散。3.对于儿童有一个非常不一样的解剖学特点:成人的骨髓炎,外伤后局部蔓延的多;儿童血播的多。4.因为儿童的骨骺端没有骨化,是骨的生长点,这个地方有骨组织的营养血管,而且还在骨骺端走形弯曲;我们根据血流的流体动力学,这个地方容易形成涡流。所以金葡的菌栓随血流到达此处容易因为涡流原因发生沉降。从而种植在骨骺端形成播散型骨髓炎。5.这也是血流种植感染种植部位的一般规律。6.血流播散型泌尿系感染:其脓毒栓子也必然感染在肾脏的皮髓质交界处,因为这个部位血流拐弯了。7.这个患者肺内表现也是金葡典型的高张力囊腔,胸膜下分布,没有气道改变,也支持血播金葡。8.要警惕右心系统的心内膜炎可能,但是那个引起急性心衰,症状会重。9.你们看这个孩子骨髓炎部位,肯定是在关节附近,这是和我们分析的吻合的。10.儿童另外也可以出现其他血播骨髓炎:如沙门和大肠,都是因为偶尔菌血症和骨骺特殊发育,导致菌栓在血流中清除延长而致;沙门氏菌一般是食物不洁污染从肠道粘膜血播,大肠埃希菌也类似。有原发的泌尿系问题等,只是成年人血播清除快,儿童容易骨髓炎,当然新生儿也容易脑膜炎。
                    说在后面的话
1.男性儿童,病程14天,先有右下肢肿痛,继而高热,缺乏呼吸道症状。
2.双肺多发片影,随机分布,多空洞或囊腔,胸膜下多楔形影,气道未见受累等等符合脓毒血症影像学表现,尤其是金葡。
3.资料显示患儿有“股骨及髌骨骨髓水肿及关节积液”表述,结合临床表现及实验室检查,能够符合急性骨髓炎。可惜未能提供骨关节影像学资料。
4.急性骨髓炎多为血源性感染,金葡菌感染居多,好发于血供丰富而流速相对缓慢的干骺端,在儿童因骺软骨阻挡而较少蔓延至骨骺及关节腔(关节腔常有反应性积液),脓腔高张力加之沿哈氏管(Haversian canal)及骨膜下蔓延易于导致骨组织缺血坏死。及时开窗引流有助于防止病情恶化或迁延。
急性骨髓炎尚可起因于临近软组织的直接蔓延和开放性骨折等。

05
扩展
一、金葡菌肺部感染影像:
潘军平(南边)老师:
金葡菌变化以小时计,临床与影像不同步:
1、早期,临床非常重,影像仅仅是树丫、斑片、结节等。
2、后期临床好转的时候,脓肿、气囊、大泡都会出现。
3、容易侵犯胸膜,引起脓胸,脓气胸,支气管胸膜瘘。
4、病变延续时间长,好转不愈合,继发其他。
以小时计,变化快,多以短期复查是很好的鉴别方法。临床与影像不同步。
首都儿研所的袁新宇教授曾讲过,如果是患儿症状较重而影像表现不明显,你可以4-6小时安排复查一次,对诊断很有帮助。
影像特点:
1、常见大片实变影,进展快,支气管远端不显示(堵塞),鉴别大叶性肺炎,后者支气管直达远方;
2、脓肿:实变区内脓肿,最常见吸入性金葡菌引起的多,下叶多见,在实变区中央,外壁不清,内壁光滑,可见气液平面;血源性脓肿,多发,结节状,大小无差异,边清,光滑,壁薄;
金葡菌的脓肿很少融合成团。
金葡菌囊和脓肿常互相转换。
高莉老师:
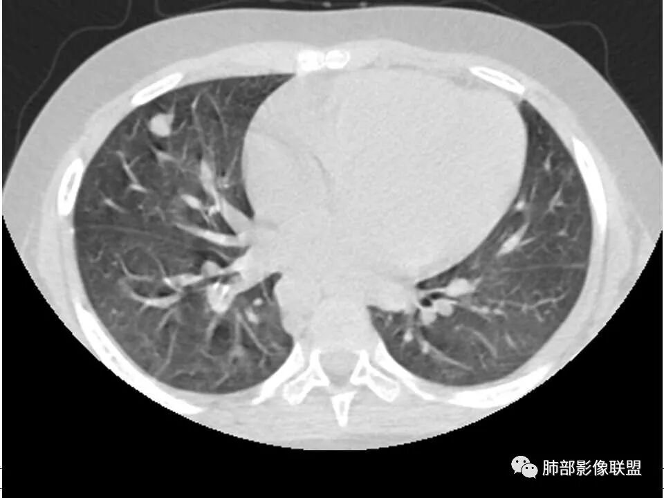
气囊不是一开始就出来的,是慢慢,从厚到薄,最后吸收。这例就符合它的典型发展过程
就是说,第一次的CT ,只能考虑感染,建议复查,第二次的多发气囊出现,就要想到金葡菌的可能。继续复查变化一般非常快。
关于临床症状,有个知识点:金葡菌肺炎从病变分布上,分血源性感染和呼吸道感染。其中血源性感染的金葡,临床症状很重;而呼吸道感染的症状相对较轻。
二、SPE
脓毒型肺栓塞, 
是肺栓塞的一种少见类型,但病情严重,其特征为含有病原体的栓子脱落后随血流进入肺血管系统导致肺栓塞(或梗死 ) 和局灶性肺脓肿。国内报道的 SPE 较少,且为个案报道或小样本数的报道。SPE 诊断依靠临床、微生物学及影像学的证据。SPE 诊断标准,总结如下:
1. 多发胸膜下外周结节、< 3 cm 的楔形影和滋养血管征 CT 表现;
2. 作为可能的脓毒栓子来源,存在活动性肺外感染;
3. 除外其它可能引起肺部浸润影的疾病;
4.经恰当的抗生素治疗,肺部浸润影吸收。滋养血管征为一支血管影连接肺部周边病灶,在 2/3 以上患者出现,可作为高度提示 SPE 的征象。
1
END

回顾指引
Review of previous periods
●金葡菌肺部感染影像分析
●【肺部联盟MDT系列】从原发性金葡菌肺炎谈起:病原生物的细胞通讯与协同感染
●南大讲座:金葡萄肺炎解析(一)
编辑:刘青青
审核:冯连彩  徐  晓
到顶部