【每日晨读】南边解读—支气管树爬行征的是是非非





2019/9/25
己亥年
农历八月二十七



病历资料























病例讨论




THINKER:
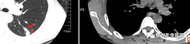
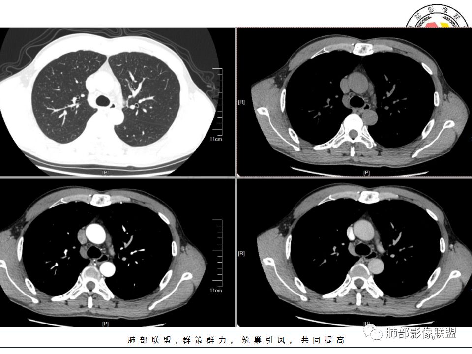
左肺下叶背结节丶融合趋势,形态较单一,平直,无胸膜凹陷,目测轻强化,有支气管爬行丶子灶。诊断:TB>pC>腺癌。

甄德强:
左肺下叶结节,边缘平直为主,部分膨隆,卫星病灶,似乎无强化,糊墙,胸膜下脂肪间隙增宽,结核可能性大,腺癌待排。

没意见:
左肺下叶背段孤立结节,长轴与胸膜平行,支气管近端截断,刀削平直,糊墙,卫星灶轻强化,考虑TB。

彭君:
左肺下叶背段小结节 ,糊墙 ,胸膜外脂肪间隙增宽 ,引流支气管壁厚 ,有爬行征 ,病灶无明显强化,考虑结核可能。

曹志勇:
考虑结核,左肺下叶病灶,强化不明显,胸膜反应性增厚,有卫星灶,强化不明显。

岁月:
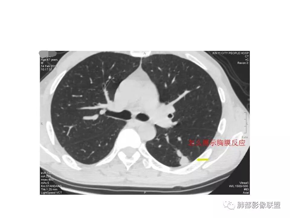
病史:男,50岁,胸痛15天,无抽烟;胸膜下病灶,有可能相关;
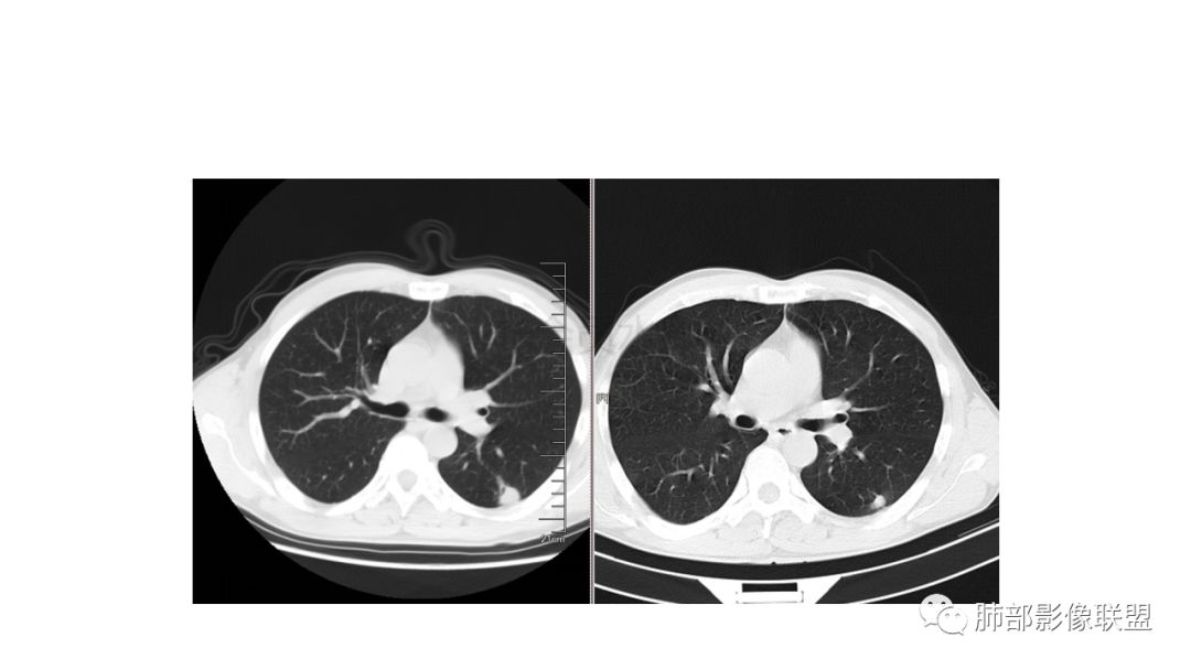
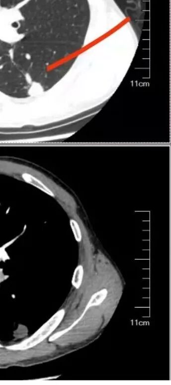
影像:病灶不规则,形态奇特,矢状位可能看到病灶的真实形态;上面近端病灶似乎与主病灶不相连续,多病灶?内侧似乎小花小草,疑为卫星灶;胸膜下病变,与胸膜关系不密切,胸膜线状强化;强化方式渐进性,感觉不均匀,也许是伪影;病灶凹陷平直不膨隆,考虑良性。诊断:结核;鉴别:腺癌(近胸膜端三个胸膜反应凹,偏上部层面毛刺不能除外,但其他地方没有,整体收缩力还比较弱,无钙化,考虑没有形成钙化和纤维化。

采莲:
男性,胸疼,左肺下叶背段结节,边缘光滑,有平直收缩,轻度延迟强化?胸膜肥厚,有轻度胸膜牵拉,周围有卫星灶,考虑炎性病变,结核,隐球可能性大。鉴别腺癌。

蔡磊:
左肺下叶背段结节,边缘较光整,平直,近端支气管未见明确截断征象,沿支气管走行,临近胸膜局限性增厚,增强目测未见明确强化,周围见稀疏小树芽分布,整体考虑良性病变,结核放前考虑。

崇军:
男,50岁,左肺下叶结节影,似乎两个结节,相邻,上面一个偏内,有分叶,下面一个偏外,胸膜下,内侧有稍增厚的支气管影,并且支气管进入病灶内,周围有更小卫星灶,外侧有胸膜增厚,糊墙。总的来说,考虑炎性病灶,结核可能性最大。但靠内侧的结节有恶性特征,腺癌待排。

傅昌瑜:
50岁男性,吸烟,胸痛15天。左肺下叶胸膜下结节,边缘平直为主,部分膨隆,但似乎呈山丘,沿支气管爬行,周围是卫星灶还是小花小草,考虑恶性,小细胞癌可能性大,结核待排。

马宁强:
左肺下叶背段结节,边缘光滑,有平直收缩,强化不明显,胸膜肥厚,有轻度胸膜牵拉,周围有卫星灶,考虑感染性病变,结核首选。

红日东升:
左肺下叶背段结节,形态近似两个结节融合或靠近,沿支气管走行分布,近侧支气管内见条状软组织,增强未见明确强化,周围见小树芽,首先考虑结核,鉴别小。

水晶石头:
患者中年男性,因胸痛半月入院。查血常规、凝血功能、肾功能正常。有抽烟史。胸部CT:左肺下叶背段胸膜下与胸膜垂直长条形不规则病灶,支气管爬行改变,边缘欠清楚,部分层面呈葫芦样见血管集束征、周围点状卫星灶,增强无明显强化,左肺门淋巴结肿大。综合常规结核可能性大,其次小细胞肺癌。鉴别其他。

波波:
左肺下叶病变,边缘平直,似有U形凹陷,树芽及卫星病灶,支气管爬行征?无明显强化,考虑结核。

丽:
左肺下叶背段近胸膜下结节,部分边缘平直并可见卫星灶,增强后强化不明显,首先考虑结核。

张帅:
中年男性,左肺下叶背段结节,内可见支气管充气征,周围有晕,周围有结节,局部胸膜增厚,可见脂肪间隙。考虑良性病变可能,隐球?,鉴别结核;病灶有沿支气管生长趋势,气道阻塞,经皮肺穿除外肺癌。

小赵:
中年男性,胸痛,吸烟史。左肺下叶背段结节,边界清楚,局部见小毛刺及胸膜牵拉,部分层面成葫芦形,局部与胸膜宽基底相贴,邻近胸膜增厚。近端支气管达病灶边缘处,似略增厚。周围见少量卫星微结节及树丫。增强扫描无强化。考虑:1,结核:支持点有发病部位,邻近卫星灶及树丫,近病灶边缘支气管壁似略增厚,邻近胸膜增厚。不支持点,引流支气管壁增厚范围不够长。2,小细胞癌:支持点有局部葫芦形,似沿支气管向肺门区扩展。3,腺癌:支持点有毛刺和胸膜牵拉,当然结核也可以有这两个征象。不支持点有无强化。

心灵鸡汤:


南边分析

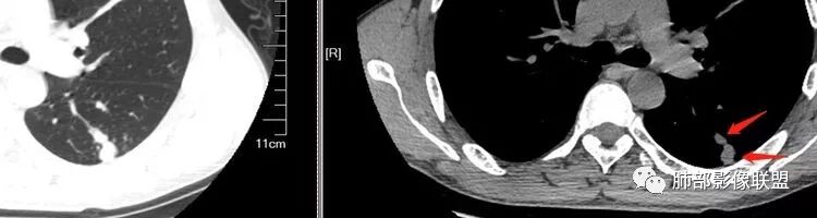
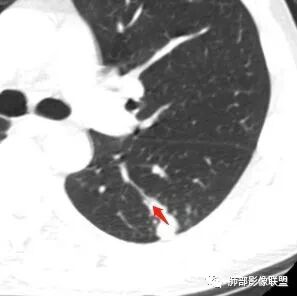
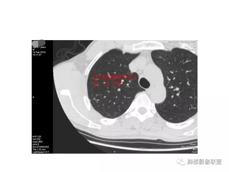
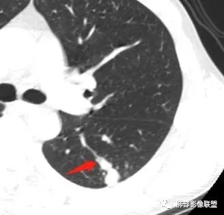
南边:问一个问题:支气管在这里堵了吗
Shelia:堵了,而且支气管壁增厚了。
 
Coke with ice:我认为堵了,不倾向于肿瘤的堵塞。对于这个病例来说,结核的爬行和肿瘤的堵塞鉴别点不清晰。



南边:这是支气管吗?

张立:是
 南边:
远端有支气管显示,提示支气管局部没有堵塞,这个近端的看起来堵塞的支气管可能是假象。


南边:
这是我首先把它定在炎性,附近有一些小卫星灶,我还是倾向结核放在前面,待排恶性肿瘤。刚才有老师考虑隐球,这个就不太支持,因为它的长轴是沿支气管过来的,这明显就不是隐球特点。附近有一些小卫星灶,我还是倾向一个结核的可能性大。
岁月:
我会做一做支气管的CPR,肺动脉的CPR。
因为南边的考虑一定要看到支气管,怎么办呢?
我很早以前做早癌,就是用CPR技术来观看病灶与支气管、血管的关系。
wonderful:
薄层
岁月:
我的重建图像大部分是这样。












岁月:
360旋转,可以观看意想不到的效果,我一直很重视这两种重建方法。比想象好 直观。
尘缘:沿支气管由外向内的爬行,常规分析还是考虑结核,小细胞癌待排。
炎症结核这种沿支气管爬的,一般是粘液栓,咳嗽咳痰应该有,很少只是胸痛表现

wonderful:答案



南边:
支气管树爬行征这个观点是袁怀平老师提出来的。当时提出了一个观点,就是说支气管是通畅的。
现在就是支气管树爬行征的认定问题,就是关于支气管通与不通?如果堵塞,在哪个区域堵塞?
支气管树爬行征就是肉芽肿性病变,不过它是沿着支气管周围间质往里面走的。我们以前认定支气管要通畅的,但是我们读了隐球菌发现,包括肺炎性肺癌,你就发现外围的病变往内带进展,可以支气管堵塞,例如隐球菌有个特点非常明显的,一个大片状影,支气管在中近端堵塞。我们反推过来,结核也可以这样变化;支气管爬行征原来是要求支气管通畅,改良为支气管可以通畅,也可以在中间堵塞。
该如何判断支气管树爬行征,还需要大宗数据进行观察总结。
支气管树爬行征:肺内结核性肉芽肿的特征性CT征象之一

编辑:冯连彩
审核:徐   晓
病例提供者:新沂市人民医院呼吸内科 唐大川


到顶部