【每日晨读】 混合型磨玻璃结节--良恶性之争?




点击上方蓝字关注我们


夜,结束了一天的喧嚣后安静下来,伴随着远处路灯那微弱的光。风,毫无预兆地席卷整片旷野,撩动人的思绪万千。
































冠、矢状位视频:


讨论分析:


一米阳光:
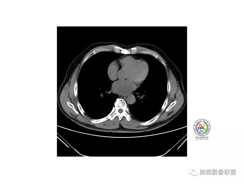
右肺下叶见边界清晰混合磨玻璃密度影,目测内见实性结节小于5mm,有浅分叶,前缘小叶间隔阻挡,月牙铲?胸膜牵拉,老年患者,MIA可能,鉴别炎性病变,抗炎后复查

晕晕菜:
患者老年男性,以咳嗽 、咳痰3天就诊,胸CT:右肺下叶前基底段mGGO,内可见血管形态改变,细支气管扩张,病灶边界清,边缘可见月牙铲。考虑恶性,腺癌?但建议先抗炎治疗后复查

市医院--时建文:
老年男性、咳嗽咳痰三天,右下前基底段GGN,血管影增多,伴类似的树芽,边缘稍模糊,考虑结核。

看图说话:
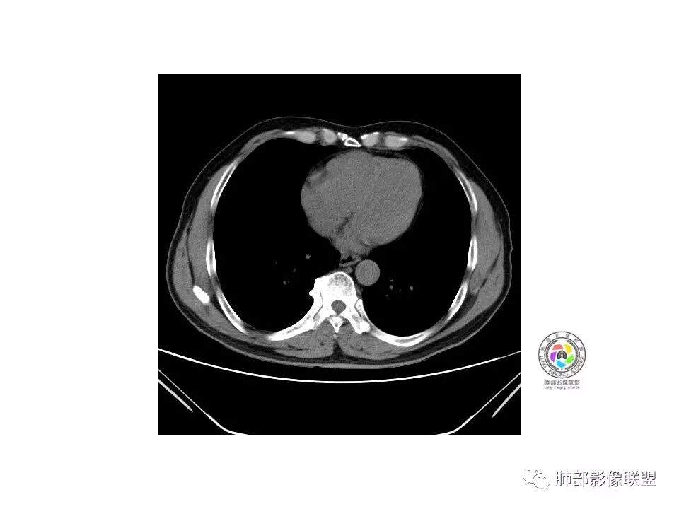
右肺下叶磨玻璃结节,密度不均,边缘收缩,胸膜牵拉,考虑炎性,建议复查,除外腺癌。

穿越七海的风:
右肺下叶混合磨玻璃结节,边缘清晰,浅分叶,月牙铲,胸膜牵拉,血管进入,考虑MIA可能,鉴别炎性病变

甄德强:
磨玻璃结节,边缘清楚,浅分叶,月牙铲,考虑腺癌可能,抗炎后复查。

小景:
右肺下叶混合磨玻璃密度结节影,局部胸膜牵拉,月牙铲,考虑腺癌

飞鹰行动:
磨玻璃小结节,有明显收缩性表现,胸膜凹陷,考虑腺癌

水晶石头:
患者老年男性,咳嗽  咳痰3天就诊。胸部CT:右肺下叶前基底段混合磨玻璃结节,边缘清楚,可见毛刺、胸膜牵拉、血管集束、月牙铲征象。综合考虑微浸润腺癌可能大。

一笑而过:
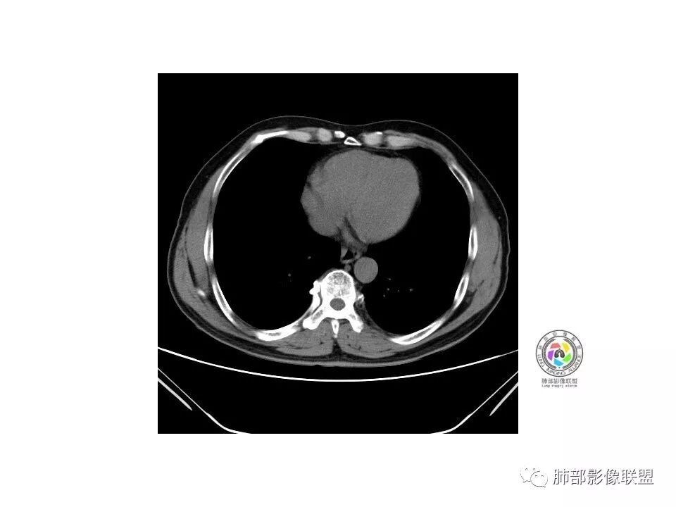
右肺下叶前基底段混合磨玻璃结节,边界清,浅分叶,胸膜牵拉,月牙铲,血管进入,考虑:微浸润腺癌可能性大,抗炎后复查。

大雄:

老年男性,右下叶孤立ggo,先抗炎2-3周复查,无变化→切,小了→炎性

王开金江津中心医院呼吸科:
40岁以上男性,孤立混合磨玻璃,边界清楚,分叶,胸膜凹陷,血管集束、穿行,考虑腺癌。

毛勤香:
右肺下叶孤立混合磨玻璃结节,隐约细小毛刺,似有月牙铲,胸膜稍牵拉,考虑MIA(微浸润腺癌)可能,常规飞一下。

RockJ-ason:
先按临床常规思路抗炎治疗,没有吸收变化后,根据病人意愿可以选择随访观察或者直接手术,腺癌还是得常规考虑

RockJ-ason:


RockJ-ason:
有收缩、有膨隆

彭君:
右肺下叶前基底段混合磨玻璃密度结节 边缘见月牙铲 部分边缘清 部分似清非清 远端见磨玻璃片影,炎性和粘液腺癌鉴别 先抗炎复查

岁月:
病史:老年男性,咳、痰三天;
1.纵膈窗未显示;水平裂有轻微凹陷,那个条索影,有形成机理进一步分析;前方那个血管,可能是肺动脉?有一定弯曲度(向病灶),后方这个是肺静脉;3个小叶凹,有可能,受到阻挡,邻近小血管有相应改变;薄层那个细小血管有弯曲,形成部分实性;
2.大小:估计15*10mm左右;
3.CT值:混杂,有些偏高;
4.周围小血管,有形成毛刺趋势;
5.血管:如上述;
6.胸膜和叶间裂:有轻微牵拉;
诊断:浸润性腺癌;鉴别:炎性结节;
处理:炎标、肿标、病史、职业史、抽烟史,既往胸部检查;

流心明智:
老年男性,咳嗽、咳痰3天。胸部CT:右肺下叶前基底段mGGN,边缘清楚,内可见不规则实性成分,病灶可见空泡、毛刺、胸膜牵拉、血管集束征象。考虑MIA可能大,抗炎2W后复查。

一米阳光:
老年男性,右下肺前基底段混合GGN,边缘清晰,月牙铲,叶间胸膜牵拉,有轻度收缩力。结合病史抗炎2-3周后复查,消失考虑炎症,变化不大为腺癌。本例总体支持腺癌

孙冰伟:
老年男性,咳嗽3天,右肺下叶前基底段混合磨玻璃结节,形态不规整,相邻胸膜凹陷,可见血管影,考虑腺癌可能性大,不除外炎症可能,建议抗炎1~2周,1个月复查胸部CT。

红日东升:
右肺下叶mGGN,内部结构紊乱,可见小点状高密度影,边缘清晰,小叶间隔阻挡,轻度收缩力,考虑MIA,常规飞一会20天复查。

生来征服~浪子:
右肺下叶磨玻璃影,边界似清非清(考虑部分为血管断面围绕),周边见条索灶,胸膜牵拉弱。我把炎症放前面,建议抗炎治疗后复查除外恶性。

小赵:
老年男性,右肺下叶前基底段GGN,界清,内部血管结构杂乱,叶间胸膜牵拉。考虑恶性,早期腺癌可能,建议抗炎治疗后复查对比。

张延军:
右肺下叶前基底段见一磨玻璃结节影,呈分叶状,边缘部分模糊,与胸膜间有长条索粘连,内有增粗的血管影,后者边缘毛糙,考虑微浸润性腺癌,建议抗炎治疗后复查

心灵鸡汤:
老年男性,右肺下叶前基底段斜裂旁可见单个混合型磨玻璃结节mGGN,边缘清,内部结构紊乱,进入的血管增粗,支气管关系不好判断,斜裂侧可见牵拉,常规考虑微侵腺癌MIA,建议先抗炎后复查及手术干预。

傅昌瑜:
老年男性,咳嗽咳痰3天。MGGN,边缘见月牙铲、胸膜牵拉,血管移动联通?冠状位隐约可见支气管穿行,考虑MIA,重建冠位可见结节比较靠近叶裂,可积极手术处理。

曹志勇:
老年男性,右S8混合磨玻璃结节,边缘尚清晰,局部凹陷,叶间胸膜牵拉,考虑MIA可能大,建议抗炎治疗10天,6-8周后复查

不倾城不可爱:
请问月牙铲是什么样的表现?

曹志勇:

局部凹陷的地方,考虑小叶间隔阻挡,为月牙铲


张立:
右肺下叶混合磨玻璃密度结节,有月牙铲,内可见血管,血管移动联通,常规消炎复查,还存在考虑AIS-MIA

go and see:
患者老年男性,右下肺前基底段靠近胸膜侧可见一个mGGO结节,边缘清淅,可见分叶征及月牙铲,小结节病灶胸膜牵拉明显,首先考虑MIA可能性大。

弹指之间:
右肺下叶mGGO,边缘清晰,浅分叶,内血管影增粗,见点状实性成分,小支气管牵拉扩张,考虑MIA,建议抗炎后复查。

张小兵:
右肺下叶前基底段mGGN,边界清晰,内部结构杂乱,见网格空泡感,月牙铲,浅分叶及胸膜牵拉,倾向MIA。

Shelia??:
右肺下叶GGO,边缘清晰,有月牙铲,有血管进入,内部结构紊乱,胸膜牵拉,考虑MIA,常规建议抗炎治疗后复查。

崇军:
右肺下叶磨玻璃结节,边界清晰,边缘有分叶及月牙铲,并可见轻度胸膜牵拉,收缩力弱,有血管移动联通征,而且病灶内血管影轻度增粗,实性成分很少,考虑AIS,可以让子弹再飞一会,或常规抗炎治疗后复查。

欣:
界清ggo,月牙铲,考虑腺癌

欧阳英:
右肺下叶前基底段磨玻璃小结节,其内血管稍增粗,边缘见分叶、月牙铲,考虑ais,炎性结节不排

南边老师分析
是GGN吗?边界清吗?收缩力?


丽:
边界清,收缩力强

南边:
血管如何?


南边:


南边:


丽:
下面红色箭头这是月牙铲吗?


小强:
血管似有增粗

南边:
有增粗,联通、移动,高度怀疑Ca,常规抗炎后复查


病理结果
              腺癌

那AAH,AIS,MIA,IAC影像学上如何识别?那让我们一起来学习一下王兆宇老师的经典总结。

王兆宇老师的经典总结
1)AAH特征小结:1.病灶呈纯磨玻璃影,无实性成分。2.病灶大小多在0.5CM以下,个别有达到1CM。3.病灶密度均较低,CT值小于-700HU。4.病灶无恶性征象。5.病灶通过长期随访不变。
2)AIS特征小结:1.病灶呈纯磨玻璃影或混合磨玻璃影,边界较清楚。2.病灶大小多在0.5CM以上,有少数可达到1.5CM以上,一般集中在0.6-1.5CM之间。3.病灶CT值在-630HU左右,临床把AAH与AIS称为浸润前病变,与浸润性病变的临界CT值约为-529HU。.少数病灶可有恶性征象,如分叶、血管集束征等。5.和AAH一样,病灶通过长期随访不变。混合磨玻璃影中的实性成分大多为血管影、肺泡塌陷、纤维灶、淋巴组织增生等原因,实践工作中要注意与癌性浸润灶区别。
3)MIA特征小结:1.病灶以混合磨玻璃影为主,少数有纯磨玻璃影,但是密度一般较高,实践工作中要注意癌性浸润灶与肺泡塌陷、血管等鉴别。典型病变表现为纯磨玻璃影中出现小于5MM的实性成分,薄扫加三维重建是诊断的关键。2.病灶大小多在1CM左右,根据我们的统计平均大小会比AIS多1-2MM左右。3.病灶CT值在-450HU左右。4.病灶可有其中的1-2个恶性征象。(分叶、脐凹征、毛刺、胸膜凹陷征、空泡征、空气支气管征等)。5.如果怀疑MIA,临床上不建议长期随访。
4)IAC特征小结:1.病变几乎呈混合磨玻璃影,罕见有纯磨玻璃影。2.病灶大小多在1CM以上。3.病灶CT值在-300HU左右,甚至更高。4.病灶1个恶性征象要怀疑诊断,2个以上者要考虑诊断。(分叶、脐凹征、毛刺、胸膜凹陷征、空泡征、空气支气管征等)。5.病理特点:以附壁样(鳞屑样)、腺泡样、乳头状、实性、微乳头状生长,其中以微乳头状生长方式最为凶险,以附壁成分生长为主者预后良好。

The end
往期回顾
擒拿肺腺癌的利器----月牙铲!
曹舅舅告诉您影像判断肺腺癌亚型分型
编辑:罗冬楚
审核:蔡笑燕  徐  晓


到顶部