【每日晨读】一剑封喉之---脐凹征




点击上面“蓝字”关注我们


一剑封喉之“脐凹征”


第一部分病例资料































第二部分病例讨论

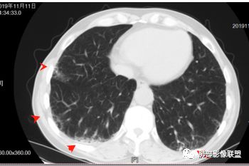
大雄:老年男性,有类风湿病史,长期服用激素,无阳性主诉CT示右肺上叶后段及左肺下叶基底段胸膜下多结节影,境界清晰,边缘毛糙,整体收缩,长轴与胸膜平行,增强扫描轻中度均匀强化。考虑炎性病变,建议查隐球荚膜多糖滴度试验
晕晕菜:患者中老年男性,体检发现肺部占位。既往既往有类风湿关节炎,长期口服激素胸CT:间隔旁肺气肿,右肺上叶后段胸膜下病变,与胸膜宽基底相连,局部胸膜明显增厚,病灶内可见空洞,病灶周围有散在卫星灶。左肺下叶背段胸膜下实变,病灶边界清楚,与长轴与胸膜平行,病灶周围可见软毛刺,纵隔窗可见病灶与胸膜呈糊墙征。 总体考虑良性病变。右上:结核?左下:隐球菌?
没意见:老年男性,明确有风免疾病背景,长期激素治疗,CT:双肺下叶外周多发结节,大部分宽基底胸膜相连,长轴垂直支气管,刀切平直,密度较为均匀,近心端空洞,强化程度目测略低,下肺背侧网格、磨玻璃、小蜂窝,考虑炎性结节,至于是感染还是风湿结节难度较大,需要结合临床来进一步确认
小赵:老年男性,类风湿及长期服药史。胸部CT所见右肺上叶及左肺下叶胸膜下多发病灶,右肺上叶病灶内见空洞及液平面,内壁光滑,周围散在条索及小结节样卫星灶,邻近胸膜增厚,增强扫描病灶轻度强化。左肺下叶病灶长轴平行于胸膜,周围见边界不清磨玻璃密度影,与邻近胸膜成糊墙改变。增强扫描病变成不均匀明显强化,内见强化血管影。诊断一元考虑双肺炎性病变,隐球菌可能。二元考虑右肺上叶结核,左肺下叶隐球菌感染,粘液腺癌待排。
俞丽:双侧胸膜下结节及斑片影,与胸膜平行,大部分周围有晕症,边界模糊,胸膜下脂肪间隙存在,边缘平直,有强化。老年女性,良性,考虑隐球菌感染
菲菲菲:男,63,体检发现肺占位,既往类风湿性关节炎13年,双肺胸膜下多发斑片及结节影,右肺下叶病灶内见偏心性小空洞形成,周围有卫星灶,胸膜增厚,左肺下叶病灶轻度强化,纵隔内无肿大淋巴结,考虑炎性病变。隐球菌鉴别结核
一米阳光:双肺胸膜下多发结节病影,小结节融合,病灶与胸膜面平行,垂直支气管,边缘模糊,晕征,支气管进入堵塞,内见小空洞,增强均匀强化。结合病史,有类风湿病史,考虑炎性肉芽肿,隐球菌感染。鉴别,结核建议,穿刺,隐球荚膜抗原检查
雪上一枝蒿(陈显静):右上肺病灶,似见周边卫星灶,空洞朝向肺门,考虑炎性病变,结核?左下肺结节长轴平行胸膜,强化后似有低密度影,隐球菌?二元论?。
破风5:胸部CT:右上叶胸膜下病变,与胸膜宽基底相连,累及胸膜,病灶内可见空洞,洞壁光滑,病灶周围有散在卫星灶。有类风湿激素口服历史,结核首先考虑。左肺下叶背段胸膜下实变,病灶边界清楚,与长轴与胸膜平行,血管伸入,纵隔窗可见糊墙征。考虑良性病变,隐球?总体,右上肺结核,左下肺隐球,CTD-ILD
流心明智:患者,老年男性,既往有类风湿关节炎,长期口服激素史。胸CT:间隔旁肺气肿,右肺上叶后段胸膜下病变,与胸膜宽基底相连,局部胸膜增厚,病灶内向肺门侧空洞,病灶周围卫星灶。考虑炎性病灶。左肺下叶胸膜下气肿背景边缘实变、边界清楚、有膨隆、滋养血管征,软毛刺、多结节融合、糊墙征。 总体考虑:良性病变,右上:结核?左下:隐球菌?左下鉴别Ca。
傅昌瑜:男,63,体检发现肺占位,既往类风湿性关节炎13年,RF升高,右下肺胸膜下结节,边缘多发斑片,右肺下叶病灶内见偏心性小空洞形成,相应层面胸膜增厚,左肺下叶两个结节,上面大点的结节位于胸膜下,似有支气管进入后截断,病灶轻度强化,病灶内见坏死区,纵隔内无肿大淋巴结。肺内病灶似乎不怎么类似,隐球菌应该是兄弟同心。肺内病灶考虑肉芽肿性病灶,有长期口服糖皮质激素史,首先考虑奴卡可能,鉴别隐球菌及结核这个妖怪。类风湿结节没有见过。
初学者:支持。。。类风湿关节炎,那么肺内表现的是间质性肺炎,这个没有问题。现在就是看这些结节和团块是什么。患者有哪些危险因素:1.类风湿关节炎:类风湿结节 2.因为激素治疗,熊大说激素就是小艾滋,那么会容易得得:隐球菌,结核,PCP等等。3.间质性肺炎本身就容易发生肿瘤。所以目前我们需要考虑得三个方向:类风湿结节,肉芽肿性炎,或肿瘤。三者鉴别


初学者:脐凹?
大部分病灶都是平直。一元就是肉芽肿性炎:隐球菌,类风湿结节。。二元就是这个脐凹,局部膨隆和坏死的家伙是二元肺癌。
前者一定有,后者不排除。
隐球菌本来单发与肺癌就很难鉴别。我建议是这样:隐球菌荚膜抗原检查排一下隐球菌,然后如果阳性,吃药后复查。穿刺的话传左下肺的:是隐球菌,类风湿结节还是肺癌一目了然
三个石头:胸膜下多发结节,右肺上叶内空洞。增强扫描强化不明显。考虑良性病变,1.有类风湿病史,首先考虑类风湿结节,位于胸膜下,可以有空洞符合。如果病人皮下有类风湿结节,更符合类风湿肺结节,穿刺可以确诊。2.病灶长轴平行胸膜,不排除隐球菌,建议查隐球菌夹膜。
果哣.:老年男性,有免疫抑制服药史,右肺上叶后段胸膜下一节结影,内有空洞靠近肺门,周围散在小叶中心结节,左肺下叶靠近胸膜一节结影,长轴垂直支气管,糊墙,轻度强化,考虑结核,隐球菌带排。
第三部分 南边老师解读


南边:病灶很多,一元?2元?3元?
南边:

南边:类风湿性肺纤维化——NSIP

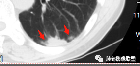
右上叶边缘收缩,宽基底与胸膜相连,胸膜增厚,附近索条,支持炎性





南边:糊墙,长轴与胸膜平行;边缘收缩+膨隆;脐凹征
常规:隐球菌与癌鉴别
脐凹征,高度提示恶性
因为其与胸膜的关系与右上叶的不一致,所以不能一元论
而且周围的表现不一致
还有就是间质性病变基础上,恶性变的几率很高




第四部分 病例结果


病理结果:巨细胞癌。



第五部分 脐凹征

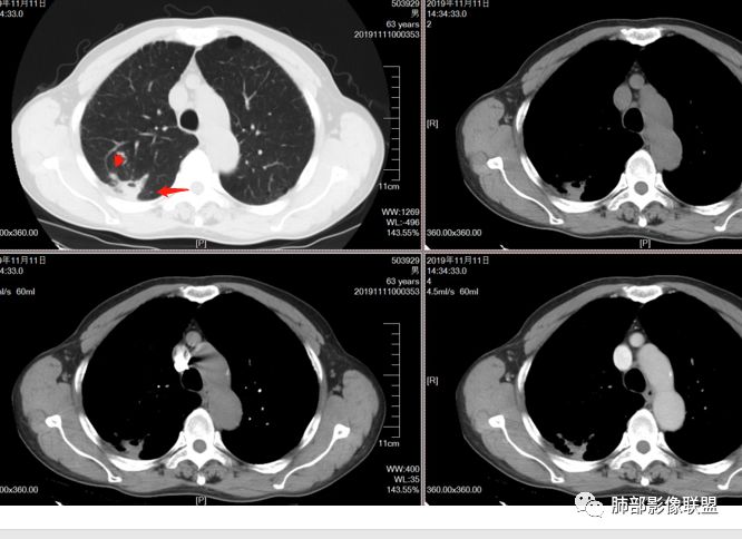
南边老师论述:    分叶凹陷的地方有血管,支气管进去,这个价值很大,后来引申到血管、支气管从凹陷的地方进去就叫脐凹征,就像番茄柄🍅,辣椒柄、苹果柄🍎一样的。后来就把这个做为脐凹征,95%以上的特异性。如下例:



   后来发现胸膜牵拉,由远端凹陷的地方进去,他的价值也很大,诊断腺癌,几乎很少失误,后来把这个也纳入到脐凹征里。由凹陷处进入的胸膜牵拉征,由凹陷处进去的血管,都属于脐凹征。原理是由凹陷处进去的血管,因为肿瘤膨胀生长,生长过程中遇到血管,支气管区域受阻,边缘代偿性生长,膨胀的更厉害了,所以局部凹陷,前提是血管、支气管肯定在肺门侧,不会在远端有一条血管阻碍他的,可能性太小了。
    脐凹征,支气管、血管引起的在肺门侧,因肿瘤生长在近端膨胀受阻的,病灶本身围绕支气管、血管周围包绕的不算,只有进去其中受阻的才算。

第六部分 巨细胞癌小结

一  非小细胞肺癌分类(WHO 2015):
腺癌
鳞癌
神经内分泌癌
大细胞癌
腺鳞癌
肉瘤样癌
     多形性癌
     梭形细胞癌
     巨细胞癌
     癌肉瘤
             肺母细胞瘤
二   巨细胞癌相关内容概述 
1.临床特征:发生率极低,约占所有肺部肿瘤 0.3%-0.4% ,多数患者有大量吸烟病史。
转移特点:常转移至骨、肾上腺、肺、肝和肾,较易转移至小肠特别是空肠,可引起梗阻、肠出血甚至肠套叠。
2.影像特征:周围型多见,中央型不足30%。较大的周围型肿块,易大范围坏死,囊样变甚至空洞形成。增强扫描常见环形强化。肿瘤多发生在肺上叶。PET-CT:肿瘤因高代谢而致SUV值较高。 
3. 病理特点:肉眼见恶性肿瘤的切割面通常是灰白色或黄褐色,并经常出现黏液、坏死和/或出血灶,在CT增强扫描上这些区域往往表现为低密度。 
4. 发病和遗传学改变:c-myc扩增,部分有K-ras 突变。
5. 预后:因生长迅速侵袭性强,预后很差,5年生存率约为10%。

相关内容链接:
1.周围型肺癌征象之分叶征、毛刺征、棘状突起
  2.看南大如何分析--肉瘤样癌
编辑:杨宏刚
审核:徐   晓
病例提供:新沂市人民医院  唐大川


到顶部