【每日晨读】纵隔未解之谜



有些人总在羡慕别人的生活多姿多彩,感叹自己的生活平淡无奇。与其羡慕别人,不如努力去成为有趣的自己。真正有趣的生活,不需要用诗和远方堆砌。保持好奇、善于发现,你的日子也能闪闪发光。新的一天,早安
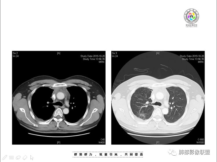
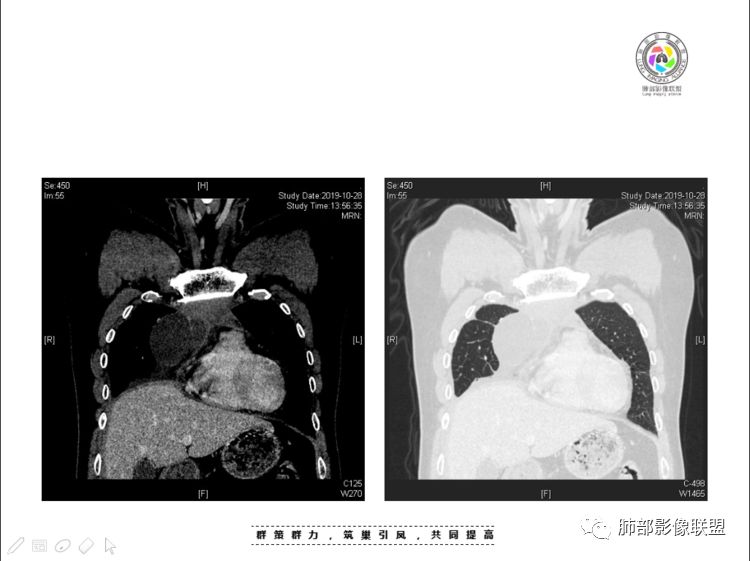
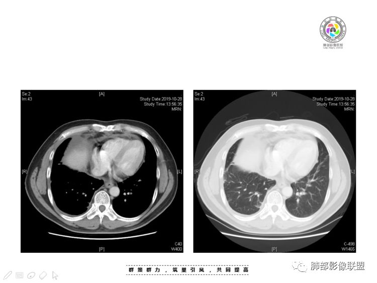
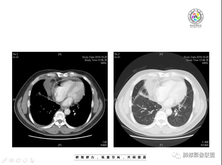
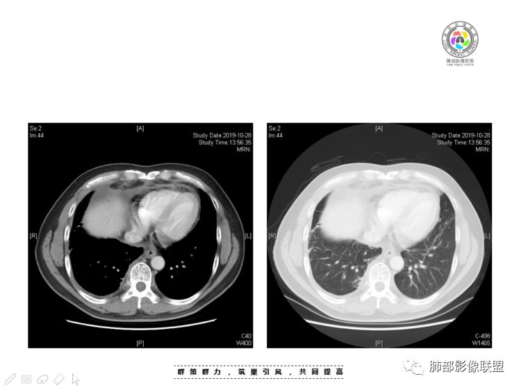
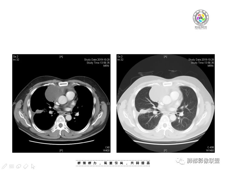
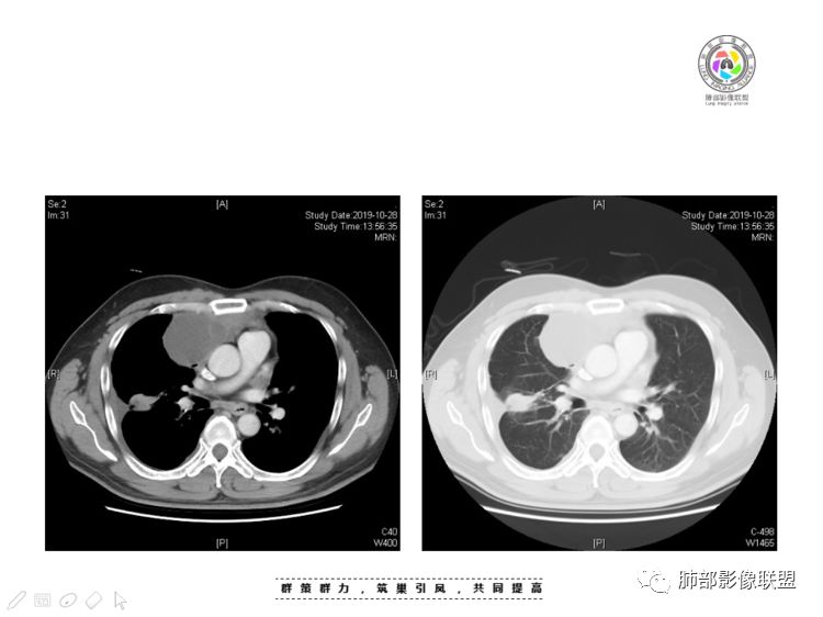
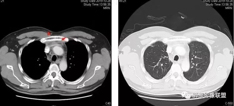
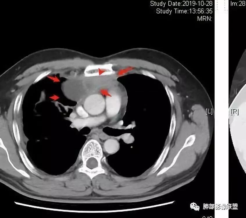
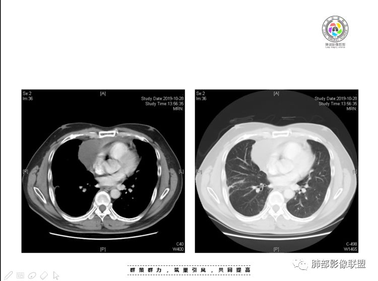
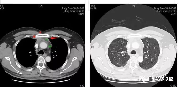
病例资料
























































群内讨论
穿越七海的风:右前纵隔占位,恶性肿瘤,生殖来源?右肺实变是占位or肺不张?考虑为部分肺不张FeNo:右前纵隔占位,右肺结节,胸膜凹陷,小尾巴,右肺不张,考虑恶性杨旭华:恶性,前纵隔肿物,与血管关系密切,上腔静脉变窄,右肺野一元论考虑叶间裂增厚,恶性胸膜间皮瘤可能大小丽:到底是纵隔来源还是胸膜来源?我怎么倾向于胸膜来源,和叶间胸膜关系密切,而且纵隔内上腔静脉是向内侧推移。胸膜肿瘤(间皮瘤?SFT?)包裹性胸腔积液?马春平(张家港市一院胸外科):前纵隔占位,左无名受压,右大量胸腔积液可能是胸导管汇入处侵犯受压,考虑纵隔鳞癌孙冰伟:右上纵隔占位,也感觉和叶间胸膜关系密切,右侧胸膜局限性增厚,考虑恶性可能性大灵:前纵隔占位,血性胸水,胸膜凹凸不平,查见肿瘤细胞,结合免疫组化考虑胸腺癌。鉴别胸膜间皮瘤。采莲:右前上纵膈旁可见类圆形肿块,纵隔血管内移,感觉来源于胸膜,肿块内密度低,似水样密度,右侧胸膜广泛增厚,少量胸腔积液。心包少量积液。考虑胸膜间皮瘤,鉴别肺癌并胸膜转移?水晶石头:患者中年男性,胸闷15天。有“高血压、慢性肾小球肾炎”病史。查肿瘤标志物正常,胸水提示渗出液,胸水病理查见瘤细胞。胸部CT:右肺上叶后段结节、斑片影,见胸膜牵拉、包裹积液及部分纤维条索灶,似见卫星灶,右侧胸膜增厚。前纵隔脂肪密度增厚,右侧可见类圆形低密度(液体)肿块,边缘光滑。综合考虑右肺腺癌并胸膜转移,结核可能。周太狼:考虑纵隔胸膜来源肿瘤,恶性,胸膜间皮瘤伴转移?徐飞:中年男性,影像为右侧胸腔及叶间积液,叶间胸膜增厚轻度强化。前纵隔右侧心缘旁团块,可见坏死。胸水见癌细胞,综合考虑恶性,胸腺癌伴转移。小赵:中年男性,血性胸水,常规查见癌细胞,李凡他实验阳性。胸部CT示前纵隔见不均匀密度影,与邻近大血管分界不清,囊变坏死明显,增强扫描呈不均匀强化,心包及右侧胸膜增厚,并心包及右侧胸腔少量积液。综合考虑胸腺癌。右肺中叶病变周围见多发纤维条索,支气管部分进入病灶,考虑炎性病变。流心明智:患者,男性,50岁。胸闷15天。高血压20年,慢性肾小球肾炎15年。肿标正常,胸水提示渗出液,胸水查见癌细胞。胸部CT:右肺肿块影,斑片影,索条影,可见胸膜牵拉、多发包裹积液,纵隔上腔静脉受累,心包受累。综合考虑:ROSE似腺?考虑右肺腺癌并胸膜转移,心包受累。鉴别胸腺Ca、淋巴瘤,纵隔病变不懂,等老师们精彩分析。王秀仙:前纵膈囊实性肿块,与纵膈分界不清,心脏大血管及上腔静脉受压向内后移,右侧后胸膜、侧胸膜增厚,右侧叶间裂不规则增厚,心包积液,根据腔静脉移位情况,考虑纵膈胸膜来源恶性肿瘤,胸膜间皮瘤?鉴别胸腺癌并胸膜转移。高广飞:上纵隔占位,右侧叶间胸腔积液,需考虑恶性自信人生:多发囊实性病灶,包裹性积液,考虑胸膜来源 只是没有看到壁结节,恶性胸膜间皮瘤巴伟:前上纵隔占位,胸膜及心包结节,考虑胸腺瘤或癌,右肺病灶,先考虑陈旧炎性病变。Lenle董:前纵隔占位,部分边缘模糊,病灶内囊变?坏死?上腔静脉受侵,考虑胸腺癌;叶间片状影,强化明显,炎性考虑。常志强:前纵隔囊实混杂密度肿块,边界不清,实性部分强化明显,结合胸水内见癌细胞,考虑恶性肿瘤伴转移。飞鹰行动:前纵隔占位,软组织密度及囊性密度,实性部分密度均匀,致密,病灶与周围血管分界不清,增强后病灶强化有类似不温不火强化,部分血管受侵犯,右肺见肿块样病变及条索状病变,一元论,考虑淋巴瘤,二元论,考虑胸腺瘤B2—B3伴右肺病变。尽量一元论考虑,淋巴瘤可能。看图说话:右肺索条病灶,边缘膨隆,胸膜牵拉,考虑右肺癌伴胸膜转移。晨:前纵隔囊实性肿块,与纵隔分界不清,右侧后胸膜、侧胸膜增厚,右侧叶间裂不规则增厚,考虑纵隔胸膜来源恶性肿瘤,考虑胸腺癌并胸膜转移。丽:中年男性,前纵隔囊实性肿块,呈偏心性生长,临近大血管受压推移,增强后实性部分不均匀强化,心包可见条形积液,考虑胸膜来源恶性肿瘤,胸腺癌可能大。另右肺多发斑片状高密度影及实变密度影,实变影呈均匀强化,右侧胸膜局限性增厚,考虑炎性病变。小飞:右前纵隔囊实性占位,实性部分明显强化,右侧叶间胸膜增厚,右侧胸腔积液,心包积液,考虑恶性胸腺瘤!尘缘:支持恶性胸腺瘤(囊实性肿块,实性强化,且侵犯纵隔,脂肪间隙模糊)伴肺内及胸膜转移。浪迹天涯:考虑侵袭性胸腺瘤——胸腺前纵隔占位,周围脂肪间隙模糊不清。尘缘:不除外另一种可能:二元,肺内腺癌合并胸膜转移,纵隔的畸胎瘤可能。一米阳光:晨读中年男性,右肺结节影,叶间裂及胸膜增厚牵拉,右侧胸水。心包多发结节改变。胸水查见癌细胞。考虑,腺癌并转移。鉴别,胸膜间皮瘤并转移前纵隔囊实性占位,二元考虑。心灵鸡汤:老年男性,右肺中叶外段长条状软组织密度影,边缘膨隆,邻近胸膜牵拉,部分胸膜有栽脏,右中叶外侧段支气管堵塞,常规考虑恶性肿瘤,腺癌可能,结核、鳞癌不除外,另右肺上叶斑片影,小叶性肺不张?右前纵隔囊实性不规则形密度影,其内见部分脂肪样极低密度影,与邻近血管边界不清,心包外膜有侵犯,增强未见纵隔窗平扫,实性及分隔见增化,其内低密度影未强化,考虑低度恶性纵隔肿瘤,间皮瘤可能,畸胎瘤、淋巴瘤待排,建议支气管镜及穿刺活检。曹志勇:右前纵隔考虑来源于胸膜的恶性肿瘤,右肺内病灶考虑鳞癌,二元德芙~云味:中年男性,右肺见结节、斑片影,右侧包裹积液、胸膜牵拉,纤维条索,前纵隔囊性占位,考虑腺癌、并转移。欧阳英:右前中纵隔囊实性肿块及右肺内结节灶,支持恶性肿瘤,胸腺癌并肺内转移可能张延军:前纵隔见不规则软组织影,密度不均,右侧缘见囊变区,纵膈及侧胸壁胸膜增厚,增强呈不均匀强化,右肺中叶见结节灶,近段支气管阻塞,叶间胸膜不规则增厚,考虑1:右肺中叶腺癌伴纵膈及胸膜转移;2:前纵膈侵袭性胸腺瘤并胸膜侵犯,中叶炎性改变?彭君:老年,前纵隔占位 ,坏死边缘清, 侵犯心包 右侧胸膜及叶间胸膜结节 ,少量胸水, cea不高 ,考虑恶性, 间皮瘤可能 ,转移待除外。毛勤香:恶性没问题,胸水查见癌细胞,一元还是2元,右肺中叶肿块,边缘毛糙,局部似有毛刺,周围有粘连,右侧胸膜腔少量积液,胸膜增厚多发结节,含叶间裂结节,纵膈脂肪间隙模糊,纵膈胸膜增厚,心包增厚积液,右前那个类圆形低密度肿块,纵膈血管内移,我考虑胸膜来源可能性大,综合考虑,一元肺腺癌并多发转移,二元考虑胸膜间皮瘤并多发转移,肺内炎症不张。

南边老师分析
南边:   
大家考虑啥;囊性病变定位在哪?依据?  
大家考虑啥 ?几元论?胸水、肺内病灶、囊性病变是否能统一,
囊性病变有啥特点?肺内病灶有啥特点?
三个石头:这个囊性和实性是一个病灶吧,整体囊实性清嘉:好像不能统一Coke with ice:没想起来用什么病来同时解释纵隔及肺内病变南边:患者,男,50岁主诉:胸闷15天既往史:高血压病史20余年,慢性肾小球肾炎17年入院前胸片:右侧大量胸腔积液。病史提示:慢性肾小球肾炎17年,高血压20年,才50岁提示30岁就有问题高血压可能与肾病有关









南边:大家看看前纵隔的病灶,符合肿瘤吗脂肪,周围密度增高  
三个石头:比较散;像炎症的蔓延生长南边:是,这些看着心里不踏实觉得把这个纳入肿瘤去考虑是否合适总觉得边缘收缩的、散在的朝周围蔓延;中央还跨过脂肪,朝对侧胸膜蔓延把这个与囊性病变连到一起去考虑是否还需要斟酌一下因为这个就方向差异大了南边:连在一起,囊实性,边界不清,自然考虑恶性:如果独立,囊张力高、边界清楚,间隔,自然朝良性考虑:
这个方向就截然相反了
Coke with ice:囊性部分考虑包裹性积液?南边:不是积液;有间隔;张力高;而且位置有些特殊
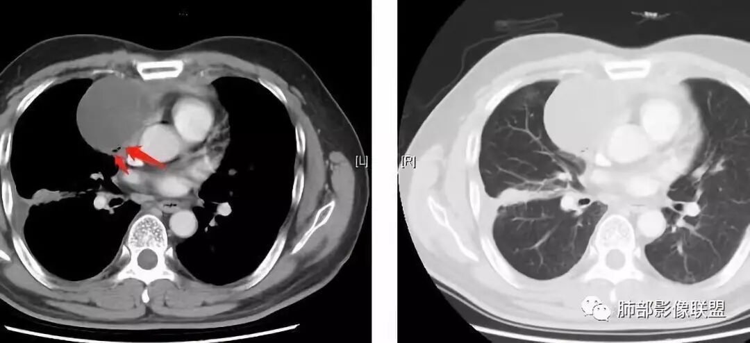
大家仔细看看积液中的游离气体;
不是支气管,是积气;是穿刺进去的;





南边: 
囊内密度不一致
我认为囊张力高,积液中的气体均在周围,外侧、下方,囊内有间隔:各腔密度不一致;提示:囊腔属于前纵隔,不是包裹性积液;现在的问题:囊腔与内侧的病灶是否是一体的




南边:我总觉得这个纵隔内不像是一个肿块的改变,扁平,周围蔓延:有符合炎性的的特点,或者肿瘤的侵犯;但是肿瘤的侵犯,不大符合,实性部位的边缘过于柔和,没有毛糙的侵犯边缘。
如果前纵隔淋巴瘤,囊在中央,周围大量实性才对
初学者:
比如畸胎瘤破裂?或者恶性浸润。
还没有说肺内                                                                
胸腺癌胸膜转移伴周围浸润。
血性胸水一般是恶性。这个可能是常规考虑
转移一般不这样是吧。
如果畸胎瘤破裂。肺内解释不通
为什么会有炎症
Coke with ice:
淋巴瘤有没有这样的
肺内这个病灶牵拉太明显了,离胸膜这么远都牵拉起来了
肺内病变猜个恶性。纵膈病变还没有思路
假如纵膈内是炎性蔓延,囊变怎么解释?临床也不支持。纵膈感染好像症状比较重而且假如纵膈是炎症,那个囊变就要考虑脓肿之类的了,临床也不支持
纵膈病变没有想到疾病谱。
三个石头:脓肿壁有点薄
南边:纵隔囊性病变:良性?恶性:胸腺癌?



南边:
肺内结节,近端支气管堵塞狭窄
整体边缘收缩,部分膨隆
炎性要考虑,但恶性不能排除

病理结果



病例小结
本例纵隔与肺内两处病变,回顾总结分析:
   1、右肺内病灶,病灶呈结节样,边缘欠规则,局部膨隆,叶间裂胸膜牵拉凹陷,再看相应支气管腔堵塞截断,临床资料胸水中查到癌细胞,均提示病灶倾向恶性,腺癌的病理意见与之相吻合。
   黄勇老师总结,腺癌如果与胸膜、叶间裂紧贴或伴胸膜凹陷,胸膜、叶间裂多发结节,应当高度怀疑腺癌转移。
    2、前纵隔内病灶囊实性混杂密度病灶,囊性病灶主要位于右侧,张力较高,有分隔影,囊壁右侧缘光整,病灶左侧实性部分边界不清明显强化,病灶肺瘤交界面大部分边界清楚,部分模糊。
    前纵隔肿块伴囊变坏死常见以有胸腺瘤、胸腺癌、淋巴瘤和生殖细胞肿瘤。
    患者年龄不符合生殖细胞瘤。
    纵隔内病灶不符合肺癌转移途径,且纵隔内单发的囊实性转移罕见。淋巴瘤无论是分布、形态、密度、还是强化方式度不符合。
     患者缺乏纵隔炎的临床表现,囊性病损更难以解释。
     胸腺瘤/胸腺癌符合吗?
胸腺瘤/胸腺癌:病灶内那么大的囊,常规考虑B型以上胸腺瘤,囊内有分隔影,病灶周围脂肪间隙模糊,常规考虑侵袭性胸腺瘤或胸腺癌,若侵袭性胸腺瘤,常侵犯胸膜、心包,很少累及肺。胸腺癌易侵犯胸膜、肺并纵隔淋巴结及远处转移。但肺内腺癌形态更符合原发灶。胸膜及叶间裂转移则即可来自肺,也可来自胸腺癌。
   尽管前纵隔病灶缺乏相关病理资料,但是小编还是认为肺内与纵隔病灶以二元论解释。只是肺内恶性病灶引发的胸膜改变可能会影响我们对纵隔病灶的判断。
       
往期推荐请点击:前纵隔肿瘤秒杀必修技!
编辑:李建丽
审核:蔡笑燕   徐  晓
病例提供:淄博市临淄区人民医院 王洪超 


到顶部