继续操作前请注册或者登录。

可乐可以治病?!这种长在胃里的石头,还跟吃柿子有关



星标关注不迷路
说起胆结石、肾结石
大家可能非常熟悉
但是,你听说过「胃石症」吗?
前段时间
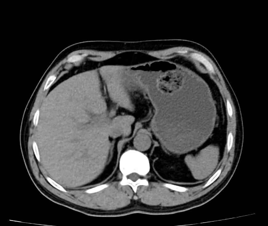
浙大四院消化内科住院部
收治了好几个「胃石症」的患者
这类患者常因腹痛
于急诊或门诊就诊
行腹部 CT 检查
发现胃石症而入院

什么是胃石症?
胃石症,顾名思义是指胃内产生结石,属于胃内异物的一种。

根据结石成分的不同,胃结石可分为植物性胃石、动物性胃石、药物性胃石、混合性胃石等。
其中以植物性胃石最常见,是由于某些食物在胃内不被消化,凝结成块,常见者多为柿子、黑枣、山楂等食物。
胃石症会有什么表现?
病人可以完全无症状,也可以有上腹不适、食欲不振、口臭、恶心、呕吐或不同程度的腹胀、腹痛等表现。

-胃石症合并溃疡-
部分病人可因胃石引起机械性摩擦、压迫损伤,从而导致胃粘膜糜烂、溃疡、出血,或也可能排入肠道导致肠梗阻。
胃石症的诊断
若曾于发病前空腹食用山楂、柿子、黑枣等食物,同时胃镜或者 CT 等影像学检查后,发现胃内结石者,可基本诊断胃石症。



左右滑动查看图片
胃石症易发生在消化功能较差的人,如老人、胃轻瘫、糖尿病、既往有消化性溃疡、胃大部切除术等病史患者中,可能与这些患者胃动力下降、胃排空延迟、调节功能下降有关。
病程可分急性和慢性两种。急性型在大量吃柿子、山楂等食物后半小时就可出现症状,上腹部沉坠感,胀满、恶心、呕吐,也可呕血。病程超过六个月为慢性型。慢性型的症状与溃疡或慢性胃炎相似,如食欲不振,消化不良、上腹疼痛、反酸烧心、呕吐等。
如何治疗胃石症?
➊ 药物治疗:如口服碳酸氢钠、抑酸剂及支持性治疗等,饮用可乐......并注意饮食,防止胃石进一步增大,促进胃石经过肠道排出。

为什么推荐可乐?
可乐中含有大量二氧化碳气体,气体析出可以使胃内压力增加,二氧化碳向胃石内渗透,使胃结石松散并促进胃结石溶解。
➋ 胃镜检查及胃镜下碎石术:绞碎后的胃结石小者可自行排出,大的需从胃内取出,以免排入肠道后引起肠梗阻。

-内镜下治疗-
➌ 手术治疗:内科治疗无效患者的最终选择。主要适用于胃结石伴大出血、穿孔、肠梗阻及部分内科治疗失败者等。

如何预防胃石症?
➊ 避免空腹进食大量柿子、黑枣等。
➋ 克服嚼食毛发的怪癖。
➌ 积极治疗胃肠动力障碍性疾病,以防胃石再形成。
➍ 最好不要空腹吃山楂,更要避免同时食用牛奶、红薯、咖啡、海鲜等富含蛋白质,又刺激胃酸分泌的食物。




原创
撰稿:消化内科 孔雨晴
审稿:戴一扬、王芳
责编:谢蕊
扫下方二维码预约挂号

*部分图片来源网络,如有侵权请告知删除


✦✦


【阅读推荐】
一家三代4人都是尿毒症,都是因为这个最常见的遗传肾病!
小便泡沫多,眼睛、下肢浮肿,胸闷气短...可能是水肿了
真相了!吃核桃能不能补脑?
期待你的
分享
点赞
在看
到顶部