继续操作前请注册或者登录。

“在宝宝的肚子里,挖呀挖呀挖...”小小的肚子,都能“挖”出什么呢?



星标关注不迷路
在宝宝的肚子里 
挖呀 挖呀 挖
有硬币、有橡皮
还有很多「宝藏」呀

小朋友爱往嘴里塞东西
是很多宝爸宝妈操心事
万一噎住就麻烦了
接下来由小四带你
了解了解消化道异物吧!
消化道异物
通常指被误吞的难以消化且未及时排出而滞留消化道的各种物体,是消化科常见的危急症之一,且消化道异物在儿童中最为常见,约 75% 发生在 4 岁以下儿童。

该阶段儿童安全意识差、缺乏认知能力且充满好奇心,误吞异物的种类繁多。
如果没有得到及时诊断和规范处理,消化道异物可能会造成严重并发症,甚至危及生命!
近期我院急诊儿科
收治多例儿童消化道异物
异物种类多种多样
有误食鸡骨头的
还有误服螺丝钉的...
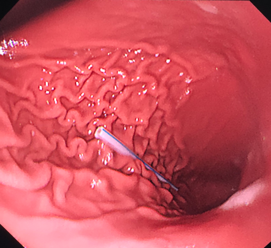
案例一
2 岁的尘尘宝宝误食了鸡骨头,伴有咽部疼痛,家长发现后赶紧带着孩子至浙大四院急诊儿科就诊。
CT 检查提示食管内异物,嵌顿于食管内,可能导致食管损伤、撕裂,甚至可能损伤食管周围的组织,包括损伤血管、气管、导致纵隔组织感染等,情况非常危急,需要及时处理!

- 内镜下的骨片 -
处于休息时间的儿科李中跃主任医师,在了解该患儿情况后,立即从家中驱车赶至医院。

- 顺利取出的骨片 -
在急诊科、麻醉科及手术室医护人员的多科协助下,李中跃主任医师将嵌顿于食管上的 2 cm 尖锐骨片,用鼠齿钳夹住并运用一定手法后顺利取出。
万幸尘尘家长送诊及时,经过有效的处理,术后第二天,宝宝又可以正常进食了 ~
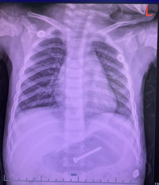
案例二
2 岁的坤坤宝宝在家中玩耍时,误服螺丝钉一枚,宝宝哭吵伴长时间止不住地流口水。
家长立即至浙大四院急诊儿科就诊,检查后发现胃区钉状致密影,螺丝钉随时可进入肠道、损伤肠道组织。

- 胸片显示异物位于胃腔内 -
危险性较大,经评估后,医生立即安排患儿入院,行急诊内镜下处理。   


- 内镜下圈套包裹取出的螺纹钉 -
内镜下医生发现孩子的胃肠道黏膜已经有损伤、糜烂。并且随着肠道蠕动,螺丝钉现已移动到十二指肠远端。
经验丰富的李中跃主任,当即决定用圈套圈住螺纹钉近端后取出。     
经过及时处理,坤坤术后第二天便能正常进食。
消化道异物发生时,
需要注意什么?
异物的种类
1. 钝性异物:硬币、纽扣、弹珠。
2. 尖锐异物:枣核、螺丝钉、针、骨刺等。
3. 长形异物:棒棒糖棒、笔帽、棉签等。


- 内镜下钳取的棒棒糖棒 -
4. 食物团块。
5. 磁性异物:磁珠、磁铁等;其中其中尖锐异物、纽扣电池、多枚磁性异物或单枚磁性异物合并金属异物发生并发症的风险较高,危险性较大。

- 误食多枚磁珠可致胃肠穿孔 -
异物的部位
1. 上消化道异物:指滞留在屈氏韧带以上的消化道异物,包括口咽部、食管、胃、十二指肠,其中以食管最为常见。
2. 下消化道异物:指滞留在屈氏韧带以下的消化道异物。
诊断要点
异物吞服史:包括询问异物的种类、形状和大小,误吞时间及相关的症状。这点很重要家长们一定要回答清楚,有利于医生后续处理。
临床表现:小婴儿可表现为流涎、呕吐、反复哭闹、拒乳拒食,大儿童可表现为咽痛、吞咽困难、吞咽疼痛、哽噎。

当异物位压迫气管时,可出现咳嗽、喘息或呼吸困难。异物亦可引起消化道黏膜糜烂、溃疡及出血。
辅助检查:
➊ 喉镜:异物位于口咽部、食管入口时。
➋ X线检查:适用于金属或高密度异物。
➌ CT:临床高度怀疑消化道异物,而X线片结果阴性时可行CT辅助检查。
➍ 消化内镜检查:高度怀疑异物时可行内镜探查。
四、治疗原则
评估患儿生命体征,根据异物的性质、滞留部位及时间等因素拟定相应处理方案包括观察及随访及内镜下异物取出等。
关于消化道异物,家长应该怎么做?
➊ 重在预防:应教导儿童不要将物品放入口中,应妥善放置诸如硬币、纽扣电池、钥匙等小物件,避免儿童在无看护情况下接触存在误吞可能性的各种玩具。

培养儿童养成良好的进食习惯,进食时不玩耍、吵闹;在给儿童制作食物的过程中,避免将鱼刺、碎骨片和果核等混入食物,在儿童进食过程中,避免食用大块食物,同时教导其充分咀嚼后再下咽。

➋ 及时处理:如果发现患儿误服异物后,应立即停止进食,不建议家长给患儿采用饭团、韭菜、馒头等食物强行吞咽的方法。

因为很有可能导致异物嵌顿加深或划伤食管,增加并发症发生率和手术难度,如异物停留在口咽部,且患儿配合度好,可尝试引导患儿排出异物。
否则建议应立即前往医院就诊,同时可携带或拍摄误服异物的情况帮助医师判断患儿病情。
撰稿:儿科 耿甜
审核:马鸣、王芳
编辑:毛雨晴
责编:谢蕊
扫下方二维码预约挂号

*部分图片来源网络,如有侵权请告知删除


✦✦


【阅读推荐】
千里迢迢来求医,他说:因为出汗太多,我不敢跟人有肢体接触
肥胖带来的 8 种疾病!学会两招,不饿肚子也能瘦下来
全民营养周 | 合理膳食,怎样吃才健康?
期待你的
分享
点赞
在看
到顶部